11 名因 COVID-19 死亡患者的肺部组织病理学检查:病例系列。

Q3 Medicine
Iranian Journal of Pathology Pub Date : 2024-01-01 Epub Date: 2023-12-29 DOI:10.30699/IJP.2023.2008773.3153
Bahram Nikkhoo, Karim Naseri, Ramyar Rahimi Darehbagh, Mehrdad Habiby, Bahar Moasses-Ghafari
{"title":"11 名因 COVID-19 死亡患者的肺部组织病理学检查:病例系列。","authors":"Bahram Nikkhoo, Karim Naseri, Ramyar Rahimi Darehbagh, Mehrdad Habiby, Bahar Moasses-Ghafari","doi":"10.30699/IJP.2023.2008773.3153","DOIUrl":null,"url":null,"abstract":"<p><p>COVID-19 is known to present with acute respiratory distress syndrome pathological manifestations. Studies have shown that patients with COVID-19 can develop diffuse alveolar damage, acute bronchopneumonia, necrotic bronchiolitis, and viral pneumonia. In this study, we investigated 11 cases. Needle necropsies of 11 patients, hospitalized at Tohid and Kowsar hospitals of Kurdistan University of Medical Sciences, with a positive antemortem SARS-CoV-2 (COVID-19) real-time PCR test, were fixated within 3 hours after death in the negative-pressure isolation morgue. The participants included six men (54%) and five women (46%) with a mean age of 73.82±10.58 (52-86) years old. The average hospitalization was 14.27±15.72 days. The results showed interstitial lymphocytic pneumonitis in most of the cases, varied from mild to moderate and up to severe in some cases. In 7 cases, anthracosis was noted, while one case demonstrated anthracosis with fibrosis. The hyaline membrane was reported in two patients. In one case, severe interstitial lymphocytic pneumonia with intra-alveolar exudate with organization, lithiasis, bronchiolitis pattern (BOOP), intra-alveolar hemorrhage, and mild fibrosis were seen. As a result, it is suggested to keep an eye on these pathologies in management of the severe cases of COVID-19 infection.</p>","PeriodicalId":38900,"journal":{"name":"Iranian Journal of Pathology","volume":"19 1","pages":"126-131"},"PeriodicalIF":0.0000,"publicationDate":"2024-01-01","publicationTypes":"Journal Article","fieldsOfStudy":null,"isOpenAccess":false,"openAccessPdf":"https://www.ncbi.nlm.nih.gov/pmc/articles/PMC11164306/pdf/","citationCount":"0","resultStr":"{\"title\":\"Histopathological Examination of Lung Necropsy of 11 Patients Who Died Due to COVID-19: A Case Series.\",\"authors\":\"Bahram Nikkhoo, Karim Naseri, Ramyar Rahimi Darehbagh, Mehrdad Habiby, Bahar Moasses-Ghafari\",\"doi\":\"10.30699/IJP.2023.2008773.3153\",\"DOIUrl\":null,\"url\":null,\"abstract\":\"<p><p>COVID-19 is known to present with acute respiratory distress syndrome pathological manifestations. Studies have shown that patients with COVID-19 can develop diffuse alveolar damage, acute bronchopneumonia, necrotic bronchiolitis, and viral pneumonia. In this study, we investigated 11 cases. Needle necropsies of 11 patients, hospitalized at Tohid and Kowsar hospitals of Kurdistan University of Medical Sciences, with a positive antemortem SARS-CoV-2 (COVID-19) real-time PCR test, were fixated within 3 hours after death in the negative-pressure isolation morgue. The participants included six men (54%) and five women (46%) with a mean age of 73.82±10.58 (52-86) years old. The average hospitalization was 14.27±15.72 days. The results showed interstitial lymphocytic pneumonitis in most of the cases, varied from mild to moderate and up to severe in some cases. In 7 cases, anthracosis was noted, while one case demonstrated anthracosis with fibrosis. The hyaline membrane was reported in two patients. In one case, severe interstitial lymphocytic pneumonia with intra-alveolar exudate with organization, lithiasis, bronchiolitis pattern (BOOP), intra-alveolar hemorrhage, and mild fibrosis were seen. As a result, it is suggested to keep an eye on these pathologies in management of the severe cases of COVID-19 infection.</p>\",\"PeriodicalId\":38900,\"journal\":{\"name\":\"Iranian Journal of Pathology\",\"volume\":\"19 1\",\"pages\":\"126-131\"},\"PeriodicalIF\":0.0000,\"publicationDate\":\"2024-01-01\",\"publicationTypes\":\"Journal Article\",\"fieldsOfStudy\":null,\"isOpenAccess\":false,\"openAccessPdf\":\"https://www.ncbi.nlm.nih.gov/pmc/articles/PMC11164306/pdf/\",\"citationCount\":\"0\",\"resultStr\":null,\"platform\":\"Semanticscholar\",\"paperid\":null,\"PeriodicalName\":\"Iranian Journal of Pathology\",\"FirstCategoryId\":\"1085\",\"ListUrlMain\":\"https://doi.org/10.30699/IJP.2023.2008773.3153\",\"RegionNum\":0,\"RegionCategory\":null,\"ArticlePicture\":[],\"TitleCN\":null,\"AbstractTextCN\":null,\"PMCID\":null,\"EPubDate\":\"2023/12/29 0:00:00\",\"PubModel\":\"Epub\",\"JCR\":\"Q3\",\"JCRName\":\"Medicine\",\"Score\":null,\"Total\":0}","platform":"Semanticscholar","paperid":null,"PeriodicalName":"Iranian Journal of Pathology","FirstCategoryId":"1085","ListUrlMain":"https://doi.org/10.30699/IJP.2023.2008773.3153","RegionNum":0,"RegionCategory":null,"ArticlePicture":[],"TitleCN":null,"AbstractTextCN":null,"PMCID":null,"EPubDate":"2023/12/29 0:00:00","PubModel":"Epub","JCR":"Q3","JCRName":"Medicine","Score":null,"Total":0}
引用次数: 0

摘要

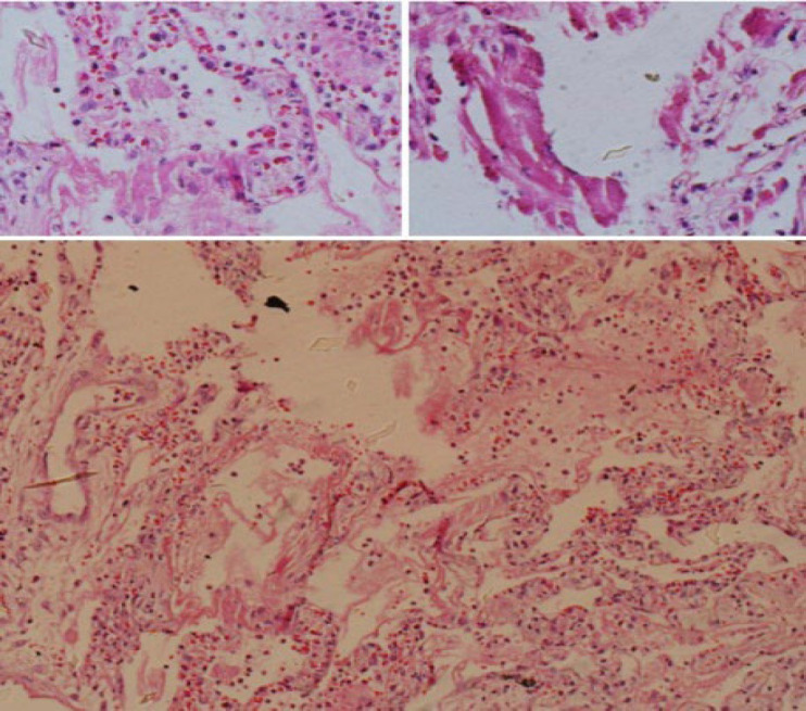
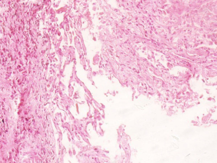
据了解,COVID-19 具有急性呼吸窘迫综合征的病理表现。研究表明,COVID-19 患者可出现弥漫性肺泡损伤、急性支气管肺炎、坏死性支气管炎和病毒性肺炎。在本研究中,我们调查了 11 个病例。库尔德斯坦医科大学 Tohid 和 Kowsar 医院的 11 名患者死前 SARS-CoV-2 (COVID-19) 实时 PCR 检测结果呈阳性,死后 3 小时内被固定在负压隔离停尸房。参与者包括 6 名男性(54%)和 5 名女性(46%),平均年龄为 73.82±10.58(52-86)岁。平均住院时间为(14.27±15.72)天。结果显示,大多数病例为间质性淋巴细胞性肺炎,病情从轻度到中度不等,部分病例病情严重。有 7 例出现炭疽,1 例炭疽伴有纤维化。有两名患者出现了透明膜。一例患者出现严重的间质性淋巴细胞肺炎,肺泡内渗出物伴有组织、碎石、支气管炎模式(BOOP)、肺泡内出血和轻度纤维化。因此,建议在处理 COVID-19 感染的重症病例时关注这些病变。
本文章由计算机程序翻译,如有差异,请以英文原文为准。

Histopathological Examination of Lung Necropsy of 11 Patients Who Died Due to COVID-19: A Case Series.

Histopathological Examination of Lung Necropsy of 11 Patients Who Died Due to COVID-19: A Case Series.

Histopathological Examination of Lung Necropsy of 11 Patients Who Died Due to COVID-19: A Case Series.

Histopathological Examination of Lung Necropsy of 11 Patients Who Died Due to COVID-19: A Case Series.

COVID-19 is known to present with acute respiratory distress syndrome pathological manifestations. Studies have shown that patients with COVID-19 can develop diffuse alveolar damage, acute bronchopneumonia, necrotic bronchiolitis, and viral pneumonia. In this study, we investigated 11 cases. Needle necropsies of 11 patients, hospitalized at Tohid and Kowsar hospitals of Kurdistan University of Medical Sciences, with a positive antemortem SARS-CoV-2 (COVID-19) real-time PCR test, were fixated within 3 hours after death in the negative-pressure isolation morgue. The participants included six men (54%) and five women (46%) with a mean age of 73.82±10.58 (52-86) years old. The average hospitalization was 14.27±15.72 days. The results showed interstitial lymphocytic pneumonitis in most of the cases, varied from mild to moderate and up to severe in some cases. In 7 cases, anthracosis was noted, while one case demonstrated anthracosis with fibrosis. The hyaline membrane was reported in two patients. In one case, severe interstitial lymphocytic pneumonia with intra-alveolar exudate with organization, lithiasis, bronchiolitis pattern (BOOP), intra-alveolar hemorrhage, and mild fibrosis were seen. As a result, it is suggested to keep an eye on these pathologies in management of the severe cases of COVID-19 infection.

求助全文
通过发布文献求助,成功后即可免费获取论文全文。 去求助
来源期刊
Iranian Journal of Pathology
Iranian Journal of Pathology Medicine-Pathology and Forensic Medicine
CiteScore
2.00
自引率
0.00%
发文量
99
审稿时长
20 weeks
×
引用
GB/T 7714-2015
复制
MLA
复制
APA
复制
导出至
BibTeX EndNote RefMan NoteFirst NoteExpress
×
提示
您的信息不完整,为了账户安全,请先补充。
现在去补充
×
提示
您因"违规操作"
具体请查看互助需知
我知道了
×
提示
确定
请完成安全验证×
copy
已复制链接
快去分享给好友吧!
我知道了
右上角分享
点击右上角分享
0
联系我们:info@booksci.cn Book学术提供免费学术资源搜索服务,方便国内外学者检索中英文文献。致力于提供最便捷和优质的服务体验。 Copyright © 2023 布克学术 All rights reserved.
京ICP备2023020795号-1
ghs 京公网安备 11010802042870号
Book学术文献互助
Book学术文献互助群
群 号:604180095
Book学术官方微信