表现为单发脑肿块的腔外原发性渗出淋巴瘤。

Q1 Medicine
CNS Oncology Pub Date : 2024-06-06 Epub Date: 2024-06-12 DOI:10.1080/20450907.2024.2357535
Tiffany Javadi, Bryan Morales, Jeffery J Olson, Shawn Kothari, Linsheng Zhang, Malak Abedalthagafi
{"title":"表现为单发脑肿块的腔外原发性渗出淋巴瘤。","authors":"Tiffany Javadi, Bryan Morales, Jeffery J Olson, Shawn Kothari, Linsheng Zhang, Malak Abedalthagafi","doi":"10.1080/20450907.2024.2357535","DOIUrl":null,"url":null,"abstract":"<p><p>Primary effusion lymphoma (PEL) is an uncommon B-cell lymphoma associated with human herpesvirus 8 and comprises 3-4% of all HIV-related lymphomas. It traditionally presents as a pleural, pericardial, and/or peritoneal effusion, though it can occasionally manifest as an extracavitary or solid mass in the absence of an effusion. The extracavitary or solid variant of primary effusion lymphoma has been reported in the skin, gastrointestinal tract, lung, and lymph nodes. However, very few cases have been reported in the central nervous system. We describe a case of extracavitary or solid variant of primary effusion lymphoma presenting as a brain mass in an HIV-positive man, highlighting the clinicopathologic and immunophenotypic findings of a rare entity.</p>","PeriodicalId":10469,"journal":{"name":"CNS Oncology","volume":"13 1","pages":"2357535"},"PeriodicalIF":0.0000,"publicationDate":"2024-06-06","publicationTypes":"Journal Article","fieldsOfStudy":null,"isOpenAccess":false,"openAccessPdf":"https://www.ncbi.nlm.nih.gov/pmc/articles/PMC11172242/pdf/","citationCount":"0","resultStr":"{\"title\":\"Extracavitary primary effusion lymphoma presenting as a solitary brain mass.\",\"authors\":\"Tiffany Javadi, Bryan Morales, Jeffery J Olson, Shawn Kothari, Linsheng Zhang, Malak Abedalthagafi\",\"doi\":\"10.1080/20450907.2024.2357535\",\"DOIUrl\":null,\"url\":null,\"abstract\":\"<p><p>Primary effusion lymphoma (PEL) is an uncommon B-cell lymphoma associated with human herpesvirus 8 and comprises 3-4% of all HIV-related lymphomas. It traditionally presents as a pleural, pericardial, and/or peritoneal effusion, though it can occasionally manifest as an extracavitary or solid mass in the absence of an effusion. The extracavitary or solid variant of primary effusion lymphoma has been reported in the skin, gastrointestinal tract, lung, and lymph nodes. However, very few cases have been reported in the central nervous system. We describe a case of extracavitary or solid variant of primary effusion lymphoma presenting as a brain mass in an HIV-positive man, highlighting the clinicopathologic and immunophenotypic findings of a rare entity.</p>\",\"PeriodicalId\":10469,\"journal\":{\"name\":\"CNS Oncology\",\"volume\":\"13 1\",\"pages\":\"2357535\"},\"PeriodicalIF\":0.0000,\"publicationDate\":\"2024-06-06\",\"publicationTypes\":\"Journal Article\",\"fieldsOfStudy\":null,\"isOpenAccess\":false,\"openAccessPdf\":\"https://www.ncbi.nlm.nih.gov/pmc/articles/PMC11172242/pdf/\",\"citationCount\":\"0\",\"resultStr\":null,\"platform\":\"Semanticscholar\",\"paperid\":null,\"PeriodicalName\":\"CNS Oncology\",\"FirstCategoryId\":\"1085\",\"ListUrlMain\":\"https://doi.org/10.1080/20450907.2024.2357535\",\"RegionNum\":0,\"RegionCategory\":null,\"ArticlePicture\":[],\"TitleCN\":null,\"AbstractTextCN\":null,\"PMCID\":null,\"EPubDate\":\"2024/6/12 0:00:00\",\"PubModel\":\"Epub\",\"JCR\":\"Q1\",\"JCRName\":\"Medicine\",\"Score\":null,\"Total\":0}","platform":"Semanticscholar","paperid":null,"PeriodicalName":"CNS Oncology","FirstCategoryId":"1085","ListUrlMain":"https://doi.org/10.1080/20450907.2024.2357535","RegionNum":0,"RegionCategory":null,"ArticlePicture":[],"TitleCN":null,"AbstractTextCN":null,"PMCID":null,"EPubDate":"2024/6/12 0:00:00","PubModel":"Epub","JCR":"Q1","JCRName":"Medicine","Score":null,"Total":0}
引用次数: 0

摘要

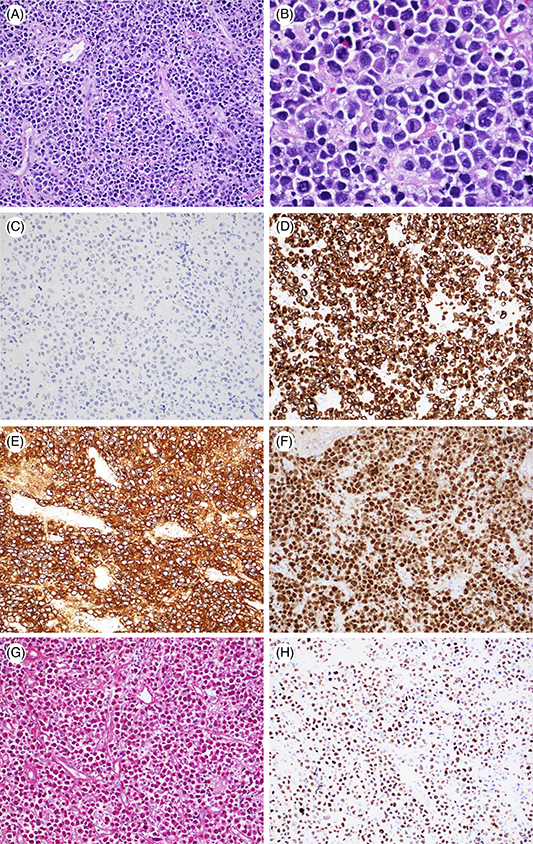
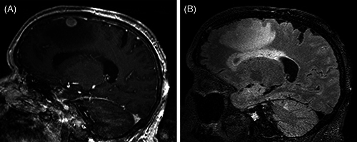
原发性渗出淋巴瘤(PEL)是一种不常见的与人类疱疹病毒 8 相关的 B 细胞淋巴瘤,占所有 HIV 相关淋巴瘤的 3-4%。它传统上表现为胸膜、心包和/或腹腔积液,但偶尔也会表现为无积液的腔外或实性肿块。据报道,原发性渗出淋巴瘤的腔外或实性变异表现在皮肤、胃肠道、肺部和淋巴结。然而,中枢神经系统淋巴瘤的病例却鲜有报道。我们描述了一例表现为脑部肿块的原发性腔外或实性变异性渗出淋巴瘤(HIV 阳性男性),重点介绍了这一罕见病例的临床病理和免疫分型结果。
本文章由计算机程序翻译,如有差异,请以英文原文为准。

Extracavitary primary effusion lymphoma presenting as a solitary brain mass.

Extracavitary primary effusion lymphoma presenting as a solitary brain mass.

Extracavitary primary effusion lymphoma presenting as a solitary brain mass.

Primary effusion lymphoma (PEL) is an uncommon B-cell lymphoma associated with human herpesvirus 8 and comprises 3-4% of all HIV-related lymphomas. It traditionally presents as a pleural, pericardial, and/or peritoneal effusion, though it can occasionally manifest as an extracavitary or solid mass in the absence of an effusion. The extracavitary or solid variant of primary effusion lymphoma has been reported in the skin, gastrointestinal tract, lung, and lymph nodes. However, very few cases have been reported in the central nervous system. We describe a case of extracavitary or solid variant of primary effusion lymphoma presenting as a brain mass in an HIV-positive man, highlighting the clinicopathologic and immunophenotypic findings of a rare entity.

求助全文
通过发布文献求助,成功后即可免费获取论文全文。 去求助
来源期刊
CNS Oncology
CNS Oncology Medicine-Neurology (clinical)
CiteScore
3.80
自引率
0.00%
发文量
12
审稿时长
13 weeks
×
引用
GB/T 7714-2015
复制
MLA
复制
APA
复制
导出至
BibTeX EndNote RefMan NoteFirst NoteExpress
×
提示
您的信息不完整,为了账户安全,请先补充。
现在去补充
×
提示
您因"违规操作"
具体请查看互助需知
我知道了
×
提示
确定
请完成安全验证×
copy
已复制链接
快去分享给好友吧!
我知道了
右上角分享
点击右上角分享
0
联系我们:info@booksci.cn Book学术提供免费学术资源搜索服务,方便国内外学者检索中英文文献。致力于提供最便捷和优质的服务体验。 Copyright © 2023 布克学术 All rights reserved.
京ICP备2023020795号-1
ghs 京公网安备 11010802042870号
Book学术文献互助
Book学术文献互助群
群 号:604180095
Book学术官方微信