与 COVID-19 相关的犀牛口腔黏液瘤病的磁共振成像。

Current health sciences journal Pub Date : 2024-01-01 Epub Date: 2024-03-31 DOI:10.12865/CHSJ.50.01.10
Mircea Viorel Ciurea, Ionuț Isaia Jeican, Nicolae Balica, Daniela Vrânceanu, Silviu Albu
{"title":"与 COVID-19 相关的犀牛口腔黏液瘤病的磁共振成像。","authors":"Mircea Viorel Ciurea, Ionuț Isaia Jeican, Nicolae Balica, Daniela Vrânceanu, Silviu Albu","doi":"10.12865/CHSJ.50.01.10","DOIUrl":null,"url":null,"abstract":"<p><p>Rhino-sinusal mucormycosis is an acute invasive fungal infection rarely encountered in the clinical setting, occurring in severe immunosuppressed patients. However, in patients suffering from COVID-19 disease a dramatic increase in the incidence of mucormycosis has been recorded. The aim of the study is to discuss the MRI findings of patients with COVID-19 associated mucormycosis. This is a retrospective review of 10 hospitalized and operated patients in three Otolaryngologic Departments between the 1st of February 2021 and the 30th of October 2021. All patients presented nasal mucormycosis, histologically verified along with documented SARS-CoV-2 positive RT-PCR test. The sinus involvement, extra sinus spread and peri-sinus invasion were documented in all patients. The correlation between MRI and intra-operative findings was also assessed. The black turbinate sign and peri-antral soft tissue infiltration are early MRI signs characteristic of mucormycosis. Moreoever, MRI has a significantly high positive predictive value for intra-operative findings in COVID-19 associated mucormycosis.</p>","PeriodicalId":93963,"journal":{"name":"Current health sciences journal","volume":"50 1","pages":"74-80"},"PeriodicalIF":0.0000,"publicationDate":"2024-01-01","publicationTypes":"Journal Article","fieldsOfStudy":null,"isOpenAccess":false,"openAccessPdf":"https://www.ncbi.nlm.nih.gov/pmc/articles/PMC11151946/pdf/","citationCount":"0","resultStr":"{\"title\":\"Magnetic Resonance Imaging in COVID-19 Associated Rhino-Sinusal Mucormycosis.\",\"authors\":\"Mircea Viorel Ciurea, Ionuț Isaia Jeican, Nicolae Balica, Daniela Vrânceanu, Silviu Albu\",\"doi\":\"10.12865/CHSJ.50.01.10\",\"DOIUrl\":null,\"url\":null,\"abstract\":\"<p><p>Rhino-sinusal mucormycosis is an acute invasive fungal infection rarely encountered in the clinical setting, occurring in severe immunosuppressed patients. However, in patients suffering from COVID-19 disease a dramatic increase in the incidence of mucormycosis has been recorded. The aim of the study is to discuss the MRI findings of patients with COVID-19 associated mucormycosis. This is a retrospective review of 10 hospitalized and operated patients in three Otolaryngologic Departments between the 1st of February 2021 and the 30th of October 2021. All patients presented nasal mucormycosis, histologically verified along with documented SARS-CoV-2 positive RT-PCR test. The sinus involvement, extra sinus spread and peri-sinus invasion were documented in all patients. The correlation between MRI and intra-operative findings was also assessed. The black turbinate sign and peri-antral soft tissue infiltration are early MRI signs characteristic of mucormycosis. Moreoever, MRI has a significantly high positive predictive value for intra-operative findings in COVID-19 associated mucormycosis.</p>\",\"PeriodicalId\":93963,\"journal\":{\"name\":\"Current health sciences journal\",\"volume\":\"50 1\",\"pages\":\"74-80\"},\"PeriodicalIF\":0.0000,\"publicationDate\":\"2024-01-01\",\"publicationTypes\":\"Journal Article\",\"fieldsOfStudy\":null,\"isOpenAccess\":false,\"openAccessPdf\":\"https://www.ncbi.nlm.nih.gov/pmc/articles/PMC11151946/pdf/\",\"citationCount\":\"0\",\"resultStr\":null,\"platform\":\"Semanticscholar\",\"paperid\":null,\"PeriodicalName\":\"Current health sciences journal\",\"FirstCategoryId\":\"1085\",\"ListUrlMain\":\"https://doi.org/10.12865/CHSJ.50.01.10\",\"RegionNum\":0,\"RegionCategory\":null,\"ArticlePicture\":[],\"TitleCN\":null,\"AbstractTextCN\":null,\"PMCID\":null,\"EPubDate\":\"2024/3/31 0:00:00\",\"PubModel\":\"Epub\",\"JCR\":\"\",\"JCRName\":\"\",\"Score\":null,\"Total\":0}","platform":"Semanticscholar","paperid":null,"PeriodicalName":"Current health sciences journal","FirstCategoryId":"1085","ListUrlMain":"https://doi.org/10.12865/CHSJ.50.01.10","RegionNum":0,"RegionCategory":null,"ArticlePicture":[],"TitleCN":null,"AbstractTextCN":null,"PMCID":null,"EPubDate":"2024/3/31 0:00:00","PubModel":"Epub","JCR":"","JCRName":"","Score":null,"Total":0}
引用次数: 0

摘要

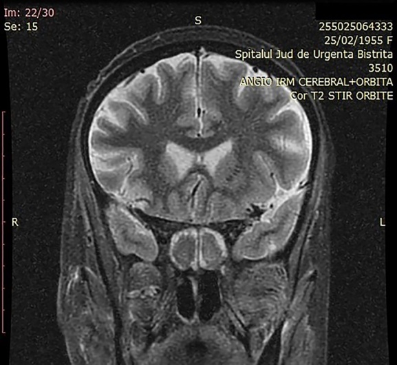
犀牛毒素粘孢子菌病是一种急性侵袭性真菌感染,临床上很少见,多发于严重免疫抑制的患者。然而,在 COVID-19 疾病患者中,粘孢子菌病的发病率急剧上升。本研究旨在讨论 COVID-19 相关粘孢子菌病患者的磁共振成像结果。本研究对 2021 年 2 月 1 日至 2021 年 10 月 30 日期间在三个耳鼻喉科住院和手术的 10 名患者进行了回顾性研究。所有患者均患有鼻腔粘液瘤病,经组织学验证,SARS-CoV-2 RT-PCR 检测呈阳性。所有患者均有鼻窦受累、鼻窦外扩散和鼻窦周围侵犯的记录。磁共振成像与术中发现之间的相关性也得到了评估。黑鼻甲征和鼻甲周围软组织浸润是粘液瘤病的早期磁共振特征。此外,磁共振成像对 COVID-19 相关粘液瘤病的术中发现具有很高的阳性预测价值。
本文章由计算机程序翻译,如有差异,请以英文原文为准。

Magnetic Resonance Imaging in COVID-19 Associated Rhino-Sinusal Mucormycosis.

Magnetic Resonance Imaging in COVID-19 Associated Rhino-Sinusal Mucormycosis.

Magnetic Resonance Imaging in COVID-19 Associated Rhino-Sinusal Mucormycosis.

Magnetic Resonance Imaging in COVID-19 Associated Rhino-Sinusal Mucormycosis.

Rhino-sinusal mucormycosis is an acute invasive fungal infection rarely encountered in the clinical setting, occurring in severe immunosuppressed patients. However, in patients suffering from COVID-19 disease a dramatic increase in the incidence of mucormycosis has been recorded. The aim of the study is to discuss the MRI findings of patients with COVID-19 associated mucormycosis. This is a retrospective review of 10 hospitalized and operated patients in three Otolaryngologic Departments between the 1st of February 2021 and the 30th of October 2021. All patients presented nasal mucormycosis, histologically verified along with documented SARS-CoV-2 positive RT-PCR test. The sinus involvement, extra sinus spread and peri-sinus invasion were documented in all patients. The correlation between MRI and intra-operative findings was also assessed. The black turbinate sign and peri-antral soft tissue infiltration are early MRI signs characteristic of mucormycosis. Moreoever, MRI has a significantly high positive predictive value for intra-operative findings in COVID-19 associated mucormycosis.

求助全文
通过发布文献求助,成功后即可免费获取论文全文。 去求助
来源期刊
自引率
0.00%
发文量
0
×
引用
GB/T 7714-2015
复制
MLA
复制
APA
复制
导出至
BibTeX EndNote RefMan NoteFirst NoteExpress
×
提示
您的信息不完整,为了账户安全,请先补充。
现在去补充
×
提示
您因"违规操作"
具体请查看互助需知
我知道了
×
提示
确定
请完成安全验证×
copy
已复制链接
快去分享给好友吧!
我知道了
右上角分享
点击右上角分享
0
联系我们:info@booksci.cn Book学术提供免费学术资源搜索服务,方便国内外学者检索中英文文献。致力于提供最便捷和优质的服务体验。 Copyright © 2023 布克学术 All rights reserved.
京ICP备2023020795号-1
ghs 京公网安备 11010802042870号
Book学术文献互助
Book学术文献互助群
群 号:604180095
Book学术官方微信