从放射学角度看重症监护室消化道出血的不寻常原因。

IF 1.3 Q3 RADIOLOGY, NUCLEAR MEDICINE & MEDICAL IMAGING
Journal of Clinical Imaging Science Pub Date : 2024-05-25 eCollection Date: 2024-01-01 DOI:10.25259/JCIS_96_2023
S Hassan Rahmatullah, Jakob Saidman, Shireen Pais, Shekher Maddineni, Alexander S Somwaru, Oleg Epelbaum
{"title":"从放射学角度看重症监护室消化道出血的不寻常原因。","authors":"S Hassan Rahmatullah, Jakob Saidman, Shireen Pais, Shekher Maddineni, Alexander S Somwaru, Oleg Epelbaum","doi":"10.25259/JCIS_96_2023","DOIUrl":null,"url":null,"abstract":"<p><p>The great majority of patients admitted to the intensive care unit (ICU) for critical gastrointestinal bleeding (GIB) will have a predictable etiology. Once the site is localized to the upper versus the lower gastrointestinal tract, the number of typically encountered etiological possibilities is quite limited. On rare occasions, the cause of GIB requiring ICU care is not one of the standard considerations, potentially leading to diagnostic and therapeutic delays. Within a short time period, three patients were admitted to our institution's medical ICU each with a different unexpected cause of GIB. All three cases generated a variety of instructive images, which are used in the present series to illustrate these conditions and the role of radiology in their evaluation and management.</p>","PeriodicalId":15512,"journal":{"name":"Journal of Clinical Imaging Science","volume":"14 ","pages":"16"},"PeriodicalIF":1.3000,"publicationDate":"2024-05-25","publicationTypes":"Journal Article","fieldsOfStudy":null,"isOpenAccess":false,"openAccessPdf":"https://www.ncbi.nlm.nih.gov/pmc/articles/PMC11152535/pdf/","citationCount":"0","resultStr":"{\"title\":\"Unusual causes of gastrointestinal bleeding in the intensive care unit through the radiology lens.\",\"authors\":\"S Hassan Rahmatullah, Jakob Saidman, Shireen Pais, Shekher Maddineni, Alexander S Somwaru, Oleg Epelbaum\",\"doi\":\"10.25259/JCIS_96_2023\",\"DOIUrl\":null,\"url\":null,\"abstract\":\"<p><p>The great majority of patients admitted to the intensive care unit (ICU) for critical gastrointestinal bleeding (GIB) will have a predictable etiology. Once the site is localized to the upper versus the lower gastrointestinal tract, the number of typically encountered etiological possibilities is quite limited. On rare occasions, the cause of GIB requiring ICU care is not one of the standard considerations, potentially leading to diagnostic and therapeutic delays. Within a short time period, three patients were admitted to our institution's medical ICU each with a different unexpected cause of GIB. All three cases generated a variety of instructive images, which are used in the present series to illustrate these conditions and the role of radiology in their evaluation and management.</p>\",\"PeriodicalId\":15512,\"journal\":{\"name\":\"Journal of Clinical Imaging Science\",\"volume\":\"14 \",\"pages\":\"16\"},\"PeriodicalIF\":1.3000,\"publicationDate\":\"2024-05-25\",\"publicationTypes\":\"Journal Article\",\"fieldsOfStudy\":null,\"isOpenAccess\":false,\"openAccessPdf\":\"https://www.ncbi.nlm.nih.gov/pmc/articles/PMC11152535/pdf/\",\"citationCount\":\"0\",\"resultStr\":null,\"platform\":\"Semanticscholar\",\"paperid\":null,\"PeriodicalName\":\"Journal of Clinical Imaging Science\",\"FirstCategoryId\":\"1085\",\"ListUrlMain\":\"https://doi.org/10.25259/JCIS_96_2023\",\"RegionNum\":0,\"RegionCategory\":null,\"ArticlePicture\":[],\"TitleCN\":null,\"AbstractTextCN\":null,\"PMCID\":null,\"EPubDate\":\"2024/1/1 0:00:00\",\"PubModel\":\"eCollection\",\"JCR\":\"Q3\",\"JCRName\":\"RADIOLOGY, NUCLEAR MEDICINE & MEDICAL IMAGING\",\"Score\":null,\"Total\":0}","platform":"Semanticscholar","paperid":null,"PeriodicalName":"Journal of Clinical Imaging Science","FirstCategoryId":"1085","ListUrlMain":"https://doi.org/10.25259/JCIS_96_2023","RegionNum":0,"RegionCategory":null,"ArticlePicture":[],"TitleCN":null,"AbstractTextCN":null,"PMCID":null,"EPubDate":"2024/1/1 0:00:00","PubModel":"eCollection","JCR":"Q3","JCRName":"RADIOLOGY, NUCLEAR MEDICINE & MEDICAL IMAGING","Score":null,"Total":0}
引用次数: 0

摘要

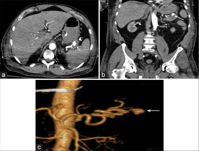
绝大多数因危重消化道出血(GIB)而入住重症监护室(ICU)的患者都有可预测的病因。一旦出血部位被定位在上消化道或下消化道,通常遇到的病因就非常有限。在极少数情况下,需要重症监护病房治疗的 GIB 的病因并非标准考虑因素之一,这可能会导致诊断和治疗延误。在很短的时间内,我们医院的内科重症监护室就收治了三名患者,每名患者的 GIB 病因都出乎意料。这三个病例都产生了各种具有启发性的图像,本系列文章将用这些图像来说明这些病症以及放射科在其评估和管理中的作用。
本文章由计算机程序翻译,如有差异,请以英文原文为准。

Unusual causes of gastrointestinal bleeding in the intensive care unit through the radiology lens.

Unusual causes of gastrointestinal bleeding in the intensive care unit through the radiology lens.

Unusual causes of gastrointestinal bleeding in the intensive care unit through the radiology lens.

Unusual causes of gastrointestinal bleeding in the intensive care unit through the radiology lens.

The great majority of patients admitted to the intensive care unit (ICU) for critical gastrointestinal bleeding (GIB) will have a predictable etiology. Once the site is localized to the upper versus the lower gastrointestinal tract, the number of typically encountered etiological possibilities is quite limited. On rare occasions, the cause of GIB requiring ICU care is not one of the standard considerations, potentially leading to diagnostic and therapeutic delays. Within a short time period, three patients were admitted to our institution's medical ICU each with a different unexpected cause of GIB. All three cases generated a variety of instructive images, which are used in the present series to illustrate these conditions and the role of radiology in their evaluation and management.

求助全文
通过发布文献求助,成功后即可免费获取论文全文。 去求助
来源期刊
Journal of Clinical Imaging Science
Journal of Clinical Imaging Science RADIOLOGY, NUCLEAR MEDICINE & MEDICAL IMAGING-
CiteScore
2.00
自引率
0.00%
发文量
65
期刊介绍: The Journal of Clinical Imaging Science (JCIS) is an open access peer-reviewed journal committed to publishing high-quality articles in the field of Imaging Science. The journal aims to present Imaging Science and relevant clinical information in an understandable and useful format. The journal is owned and published by the Scientific Scholar. Audience Our audience includes Radiologists, Researchers, Clinicians, medical professionals and students. Review process JCIS has a highly rigorous peer-review process that makes sure that manuscripts are scientifically accurate, relevant, novel and important. Authors disclose all conflicts, affiliations and financial associations such that the published content is not biased.
×
引用
GB/T 7714-2015
复制
MLA
复制
APA
复制
导出至
BibTeX EndNote RefMan NoteFirst NoteExpress
×
提示
您的信息不完整,为了账户安全,请先补充。
现在去补充
×
提示
您因"违规操作"
具体请查看互助需知
我知道了
×
提示
确定
请完成安全验证×
copy
已复制链接
快去分享给好友吧!
我知道了
右上角分享
点击右上角分享
0
联系我们:info@booksci.cn Book学术提供免费学术资源搜索服务,方便国内外学者检索中英文文献。致力于提供最便捷和优质的服务体验。 Copyright © 2023 布克学术 All rights reserved.
京ICP备2023020795号-1
ghs 京公网安备 11010802042870号
Book学术文献互助
Book学术文献互助群
群 号:604180095
Book学术官方微信