一种罕见的浆细胞性尿路上皮癌引发的直肠狭窄

IF 0.5 Q4 GASTROENTEROLOGY & HEPATOLOGY
Case Reports in Gastrointestinal Medicine Pub Date : 2024-05-24 eCollection Date: 2024-01-01 DOI:10.1155/2024/4823396
Ahmad Alnasarat, Rasheed Musa, Asaiel Makahleh, Mohammad N Kloub
{"title":"一种罕见的浆细胞性尿路上皮癌引发的直肠狭窄","authors":"Ahmad Alnasarat, Rasheed Musa, Asaiel Makahleh, Mohammad N Kloub","doi":"10.1155/2024/4823396","DOIUrl":null,"url":null,"abstract":"<p><p>Malignant rectal strictures are uncommon, but they may pose a diagnostic challenge in clinical practice. We report the case of an 85-year-old male with an initially puzzling presentation of abdominal distention and discomfort. The patient was ultimately diagnosed with a rectal stricture caused by a plasmacytoid variant of urothelial cell carcinoma originating from the bladder. This case emphasizes the necessity of considering unique etiologies when evaluating rectal strictures and the aggressive character of this type of urothelial carcinoma.</p>","PeriodicalId":45645,"journal":{"name":"Case Reports in Gastrointestinal Medicine","volume":"2024 ","pages":"4823396"},"PeriodicalIF":0.5000,"publicationDate":"2024-05-24","publicationTypes":"Journal Article","fieldsOfStudy":null,"isOpenAccess":false,"openAccessPdf":"https://www.ncbi.nlm.nih.gov/pmc/articles/PMC11142857/pdf/","citationCount":"0","resultStr":"{\"title\":\"Rectal Stricture Caused by a Rare Plasmacytoid Urothelial Carcinoma.\",\"authors\":\"Ahmad Alnasarat, Rasheed Musa, Asaiel Makahleh, Mohammad N Kloub\",\"doi\":\"10.1155/2024/4823396\",\"DOIUrl\":null,\"url\":null,\"abstract\":\"<p><p>Malignant rectal strictures are uncommon, but they may pose a diagnostic challenge in clinical practice. We report the case of an 85-year-old male with an initially puzzling presentation of abdominal distention and discomfort. The patient was ultimately diagnosed with a rectal stricture caused by a plasmacytoid variant of urothelial cell carcinoma originating from the bladder. This case emphasizes the necessity of considering unique etiologies when evaluating rectal strictures and the aggressive character of this type of urothelial carcinoma.</p>\",\"PeriodicalId\":45645,\"journal\":{\"name\":\"Case Reports in Gastrointestinal Medicine\",\"volume\":\"2024 \",\"pages\":\"4823396\"},\"PeriodicalIF\":0.5000,\"publicationDate\":\"2024-05-24\",\"publicationTypes\":\"Journal Article\",\"fieldsOfStudy\":null,\"isOpenAccess\":false,\"openAccessPdf\":\"https://www.ncbi.nlm.nih.gov/pmc/articles/PMC11142857/pdf/\",\"citationCount\":\"0\",\"resultStr\":null,\"platform\":\"Semanticscholar\",\"paperid\":null,\"PeriodicalName\":\"Case Reports in Gastrointestinal Medicine\",\"FirstCategoryId\":\"1085\",\"ListUrlMain\":\"https://doi.org/10.1155/2024/4823396\",\"RegionNum\":0,\"RegionCategory\":null,\"ArticlePicture\":[],\"TitleCN\":null,\"AbstractTextCN\":null,\"PMCID\":null,\"EPubDate\":\"2024/1/1 0:00:00\",\"PubModel\":\"eCollection\",\"JCR\":\"Q4\",\"JCRName\":\"GASTROENTEROLOGY & HEPATOLOGY\",\"Score\":null,\"Total\":0}","platform":"Semanticscholar","paperid":null,"PeriodicalName":"Case Reports in Gastrointestinal Medicine","FirstCategoryId":"1085","ListUrlMain":"https://doi.org/10.1155/2024/4823396","RegionNum":0,"RegionCategory":null,"ArticlePicture":[],"TitleCN":null,"AbstractTextCN":null,"PMCID":null,"EPubDate":"2024/1/1 0:00:00","PubModel":"eCollection","JCR":"Q4","JCRName":"GASTROENTEROLOGY & HEPATOLOGY","Score":null,"Total":0}
引用次数: 0

摘要

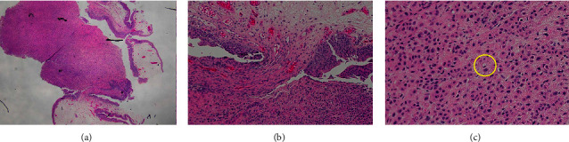
恶性直肠狭窄并不常见,但在临床实践中可能会给诊断带来挑战。我们报告了一例 85 岁男性患者的病例,该患者最初表现为腹胀和不适,令人费解。患者最终被诊断为直肠狭窄,病因是源自膀胱的浆液性尿路上皮细胞癌变种。该病例强调了在评估直肠狭窄时考虑独特病因的必要性,以及这类尿路上皮癌的侵袭性特点。
本文章由计算机程序翻译,如有差异,请以英文原文为准。

Rectal Stricture Caused by a Rare Plasmacytoid Urothelial Carcinoma.

Rectal Stricture Caused by a Rare Plasmacytoid Urothelial Carcinoma.

Rectal Stricture Caused by a Rare Plasmacytoid Urothelial Carcinoma.

Rectal Stricture Caused by a Rare Plasmacytoid Urothelial Carcinoma.

Malignant rectal strictures are uncommon, but they may pose a diagnostic challenge in clinical practice. We report the case of an 85-year-old male with an initially puzzling presentation of abdominal distention and discomfort. The patient was ultimately diagnosed with a rectal stricture caused by a plasmacytoid variant of urothelial cell carcinoma originating from the bladder. This case emphasizes the necessity of considering unique etiologies when evaluating rectal strictures and the aggressive character of this type of urothelial carcinoma.

求助全文
通过发布文献求助,成功后即可免费获取论文全文。 去求助
来源期刊
Case Reports in Gastrointestinal Medicine
Case Reports in Gastrointestinal Medicine GASTROENTEROLOGY & HEPATOLOGY-
自引率
0.00%
发文量
33
审稿时长
14 weeks
×
引用
GB/T 7714-2015
复制
MLA
复制
APA
复制
导出至
BibTeX EndNote RefMan NoteFirst NoteExpress
×
提示
您的信息不完整,为了账户安全,请先补充。
现在去补充
×
提示
您因"违规操作"
具体请查看互助需知
我知道了
×
提示
确定
请完成安全验证×
copy
已复制链接
快去分享给好友吧!
我知道了
右上角分享
点击右上角分享
0
联系我们:info@booksci.cn Book学术提供免费学术资源搜索服务,方便国内外学者检索中英文文献。致力于提供最便捷和优质的服务体验。 Copyright © 2023 布克学术 All rights reserved.
京ICP备2023020795号-1
ghs 京公网安备 11010802042870号
Book学术文献互助
Book学术文献互助群
群 号:604180095
Book学术官方微信