一只猫的发育性肺病与严重肺动脉高压的高概率相关:自然史、组织病理学和基因分析。

IF 0.7 Q3 VETERINARY SCIENCES
Journal of Feline Medicine and Surgery Open Reports Pub Date : 2024-05-30 eCollection Date: 2024-01-01 DOI:10.1177/20551169241249003
Yari Nebel, Kurt Williams, Leslie A Lyons, Carol Reinero, Riccardo Ferriani, Roberto Toschi Corneliani, Ilaria Spalla
{"title":"一只猫的发育性肺病与严重肺动脉高压的高概率相关:自然史、组织病理学和基因分析。","authors":"Yari Nebel, Kurt Williams, Leslie A Lyons, Carol Reinero, Riccardo Ferriani, Roberto Toschi Corneliani, Ilaria Spalla","doi":"10.1177/20551169241249003","DOIUrl":null,"url":null,"abstract":"<p><strong>Case summary: </strong>This report describes the diagnostic findings, natural history and genetic analysis of the candidate gene <i>Forkhead Box F1</i> (<i>FOXF1</i>) in a young cat with developmental lung disease and high probability of pulmonary hypertension. A 1-year-old male entire Chartreux cat was referred for cardiac murmur investigation and exercise intolerance. Echocardiography identified a high-velocity tricuspid regurgitant jet with right-sided cardiac changes, supporting a high probability of pulmonary hypertension. No congenital cardiac shunts or left-sided cardiac changes were found to support a primary cardiac cause of pulmonary hypertension. Extensive laboratory work, thoracic radiographs and CT were performed. Histopathological characterisation (lung biopsy and later post mortem) was necessary to reach the final diagnosis. Eight months after diagnosis, the cat developed right-sided congestive heart failure, eventually leading to euthanasia. Survival from diagnosis to death was 12 months.</p><p><strong>Relevance and novel information: </strong>Developmental lung disease belongs to a group of diffuse lung diseases in humans associated with pulmonary hypertension. The veterinary literature describing lung growth disorders in cats is sparse, and the present report provides information on clinical presentation and progression alongside a thorough diagnostic workup, which may aid clinicians in identifying this condition. Lung biopsy was pivotal in reaching the final diagnosis. No causal variants in <i>FOXF1</i> were identified.</p>","PeriodicalId":36588,"journal":{"name":"Journal of Feline Medicine and Surgery Open Reports","volume":"10 1","pages":"20551169241249003"},"PeriodicalIF":0.7000,"publicationDate":"2024-05-30","publicationTypes":"Journal Article","fieldsOfStudy":null,"isOpenAccess":false,"openAccessPdf":"https://www.ncbi.nlm.nih.gov/pmc/articles/PMC11141230/pdf/","citationCount":"0","resultStr":"{\"title\":\"Developmental lung disease in a cat associated with high probability of severe pulmonary hypertension: natural history, histopathology and genetic analysis.\",\"authors\":\"Yari Nebel, Kurt Williams, Leslie A Lyons, Carol Reinero, Riccardo Ferriani, Roberto Toschi Corneliani, Ilaria Spalla\",\"doi\":\"10.1177/20551169241249003\",\"DOIUrl\":null,\"url\":null,\"abstract\":\"<p><strong>Case summary: </strong>This report describes the diagnostic findings, natural history and genetic analysis of the candidate gene <i>Forkhead Box F1</i> (<i>FOXF1</i>) in a young cat with developmental lung disease and high probability of pulmonary hypertension. A 1-year-old male entire Chartreux cat was referred for cardiac murmur investigation and exercise intolerance. Echocardiography identified a high-velocity tricuspid regurgitant jet with right-sided cardiac changes, supporting a high probability of pulmonary hypertension. No congenital cardiac shunts or left-sided cardiac changes were found to support a primary cardiac cause of pulmonary hypertension. Extensive laboratory work, thoracic radiographs and CT were performed. Histopathological characterisation (lung biopsy and later post mortem) was necessary to reach the final diagnosis. Eight months after diagnosis, the cat developed right-sided congestive heart failure, eventually leading to euthanasia. Survival from diagnosis to death was 12 months.</p><p><strong>Relevance and novel information: </strong>Developmental lung disease belongs to a group of diffuse lung diseases in humans associated with pulmonary hypertension. The veterinary literature describing lung growth disorders in cats is sparse, and the present report provides information on clinical presentation and progression alongside a thorough diagnostic workup, which may aid clinicians in identifying this condition. Lung biopsy was pivotal in reaching the final diagnosis. No causal variants in <i>FOXF1</i> were identified.</p>\",\"PeriodicalId\":36588,\"journal\":{\"name\":\"Journal of Feline Medicine and Surgery Open Reports\",\"volume\":\"10 1\",\"pages\":\"20551169241249003\"},\"PeriodicalIF\":0.7000,\"publicationDate\":\"2024-05-30\",\"publicationTypes\":\"Journal Article\",\"fieldsOfStudy\":null,\"isOpenAccess\":false,\"openAccessPdf\":\"https://www.ncbi.nlm.nih.gov/pmc/articles/PMC11141230/pdf/\",\"citationCount\":\"0\",\"resultStr\":null,\"platform\":\"Semanticscholar\",\"paperid\":null,\"PeriodicalName\":\"Journal of Feline Medicine and Surgery Open Reports\",\"FirstCategoryId\":\"1085\",\"ListUrlMain\":\"https://doi.org/10.1177/20551169241249003\",\"RegionNum\":0,\"RegionCategory\":null,\"ArticlePicture\":[],\"TitleCN\":null,\"AbstractTextCN\":null,\"PMCID\":null,\"EPubDate\":\"2024/1/1 0:00:00\",\"PubModel\":\"eCollection\",\"JCR\":\"Q3\",\"JCRName\":\"VETERINARY SCIENCES\",\"Score\":null,\"Total\":0}","platform":"Semanticscholar","paperid":null,"PeriodicalName":"Journal of Feline Medicine and Surgery Open Reports","FirstCategoryId":"1085","ListUrlMain":"https://doi.org/10.1177/20551169241249003","RegionNum":0,"RegionCategory":null,"ArticlePicture":[],"TitleCN":null,"AbstractTextCN":null,"PMCID":null,"EPubDate":"2024/1/1 0:00:00","PubModel":"eCollection","JCR":"Q3","JCRName":"VETERINARY SCIENCES","Score":null,"Total":0}
引用次数: 0

摘要

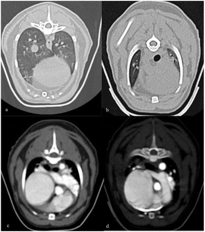
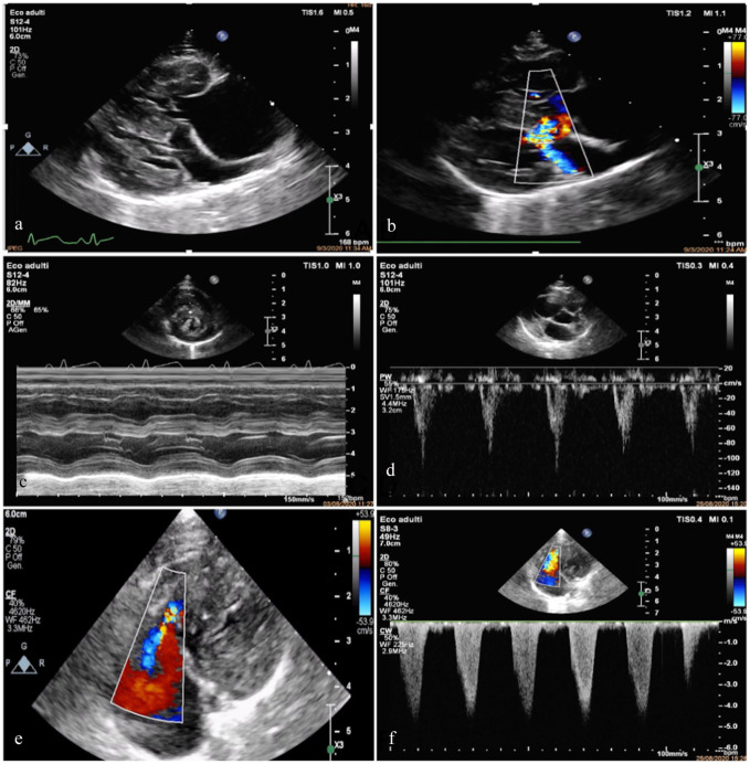
病例摘要:本报告描述了一只患有肺发育疾病和肺动脉高压高风险的幼猫的候选基因叉头盒 F1 (FOXF1) 的诊断结果、自然病史和遗传分析。一只 1 岁大的雄性全Chartreux猫因心脏杂音调查和运动不耐受而被转诊。超声心动图检查发现三尖瓣反流射流速度较快,并伴有右侧心脏变化,肺动脉高压的可能性很高。没有发现先天性心脏分流或左侧心脏病变,支持肺动脉高压的原发性心脏病因。对患者进行了广泛的实验室检查、胸部X光检查和CT检查。组织病理学鉴定(肺活检和随后的尸检)是最终诊断的必要条件。确诊八个月后,该猫出现右侧充血性心力衰竭,最终导致安乐死。从确诊到死亡的存活期为 12 个月:发育性肺病属于人类弥漫性肺病的一种,与肺动脉高压有关。描述猫肺发育障碍的兽医文献很少,本报告提供了有关临床表现和病情发展的信息以及全面的诊断工作,这可能有助于临床医生识别这种疾病。肺部活检是最终诊断的关键。未发现 FOXF1 的致病变异。
本文章由计算机程序翻译,如有差异,请以英文原文为准。

Developmental lung disease in a cat associated with high probability of severe pulmonary hypertension: natural history, histopathology and genetic analysis.

Developmental lung disease in a cat associated with high probability of severe pulmonary hypertension: natural history, histopathology and genetic analysis.

Developmental lung disease in a cat associated with high probability of severe pulmonary hypertension: natural history, histopathology and genetic analysis.

Developmental lung disease in a cat associated with high probability of severe pulmonary hypertension: natural history, histopathology and genetic analysis.

Case summary: This report describes the diagnostic findings, natural history and genetic analysis of the candidate gene Forkhead Box F1 (FOXF1) in a young cat with developmental lung disease and high probability of pulmonary hypertension. A 1-year-old male entire Chartreux cat was referred for cardiac murmur investigation and exercise intolerance. Echocardiography identified a high-velocity tricuspid regurgitant jet with right-sided cardiac changes, supporting a high probability of pulmonary hypertension. No congenital cardiac shunts or left-sided cardiac changes were found to support a primary cardiac cause of pulmonary hypertension. Extensive laboratory work, thoracic radiographs and CT were performed. Histopathological characterisation (lung biopsy and later post mortem) was necessary to reach the final diagnosis. Eight months after diagnosis, the cat developed right-sided congestive heart failure, eventually leading to euthanasia. Survival from diagnosis to death was 12 months.

Relevance and novel information: Developmental lung disease belongs to a group of diffuse lung diseases in humans associated with pulmonary hypertension. The veterinary literature describing lung growth disorders in cats is sparse, and the present report provides information on clinical presentation and progression alongside a thorough diagnostic workup, which may aid clinicians in identifying this condition. Lung biopsy was pivotal in reaching the final diagnosis. No causal variants in FOXF1 were identified.

求助全文
通过发布文献求助,成功后即可免费获取论文全文。 去求助
来源期刊
CiteScore
1.30
自引率
14.30%
发文量
57
审稿时长
15 weeks
×
引用
GB/T 7714-2015
复制
MLA
复制
APA
复制
导出至
BibTeX EndNote RefMan NoteFirst NoteExpress
×
提示
您的信息不完整,为了账户安全,请先补充。
现在去补充
×
提示
您因"违规操作"
具体请查看互助需知
我知道了
×
提示
确定
请完成安全验证×
copy
已复制链接
快去分享给好友吧!
我知道了
右上角分享
点击右上角分享
0
联系我们:info@booksci.cn Book学术提供免费学术资源搜索服务,方便国内外学者检索中英文文献。致力于提供最便捷和优质的服务体验。 Copyright © 2023 布克学术 All rights reserved.
京ICP备2023020795号-1
ghs 京公网安备 11010802042870号
Book学术文献互助
Book学术文献互助群
群 号:604180095
Book学术官方微信