患有膝关节骨性关节炎的女性在踝关节和膝关节肌肉结构以及足底压力分布方面的差异。

IF 2.2 3区 医学 Q1 ORTHOPEDICS
Nazli Busra Cigercioglu, Zilan Bazancir-Apaydin, Hakan Apaydin, Gul Baltaci, Hande Guney-Deniz
{"title":"患有膝关节骨性关节炎的女性在踝关节和膝关节肌肉结构以及足底压力分布方面的差异。","authors":"Nazli Busra Cigercioglu, Zilan Bazancir-Apaydin, Hakan Apaydin, Gul Baltaci, Hande Guney-Deniz","doi":"10.1002/jfa2.12028","DOIUrl":null,"url":null,"abstract":"<p><strong>Background: </strong>The aim of this study was to compare the plantar pressure distribution and knee and ankle muscle architecture in women with and without knee osteoarthritis (OA).</p><p><strong>Methods: </strong>Fifty women with knee OA (mean age = 52.11 ± 4.96 years, mean Body mass index (BMI) = 30.94 ± 4.23 kg/m<sup>2</sup>) and 50 healthy women as a control group (mean age = 50.93 ± 3.78 years, mean BMI = 29.06 ± 4.82 kg/m<sup>2</sup>) were included in the study. Ultrasonography was used to evaluate knee and ankle muscles architecture and femoral cartilage thickness. The plantar pressure distribution was evaluated using the Digital Biometry Scanning System and Milleri software (DIASU, Italy). Static foot posture was evaluated using the Foot Posture Index (FPI), and pain severity was assessed using the Visual Analog Scale.</p><p><strong>Results: </strong>The OA group exhibited lower muscle thickness in Rectus Femoris (RF) (p = 0.003), Vastus Medialis (VM) (p = 0.004), Vastus Lateralis (p = 0.023), and Peroneus Longus (p = 0.002), as well as lower Medial Gastrocnemius pennation angle (p = 0.049) and higher Fat thickness (FT) in RF (p = 0.033) and VM (p = 0.037) compared to the control group. The OA group showed thinner femoral cartilage thickness (p = 0.001) and higher pain severity (p = 0.001) than the control groups. FPI scores were higher (p = 0.001) in OA group compared to the control group. The plantar pressure distribution results indicated an increase in total surface (p = 0.027), total load (p = 0.002), medial load (p = 0.005), and lateral load (p = 0.002) on dominant side in OA group compared to the control group.</p><p><strong>Conclusions: </strong>Knee and ankle muscle architecture, knee extensor muscle FT, and plantar pressure distribution in the dominant foot differed in individuals with knee OA compared to the control group.</p>","PeriodicalId":49164,"journal":{"name":"Journal of Foot and Ankle Research","volume":"17 2","pages":"e12028"},"PeriodicalIF":2.2000,"publicationDate":"2024-06-01","publicationTypes":"Journal Article","fieldsOfStudy":null,"isOpenAccess":false,"openAccessPdf":"https://www.ncbi.nlm.nih.gov/pmc/articles/PMC11296719/pdf/","citationCount":"0","resultStr":"{\"title\":\"Differences in ankle and knee muscle architecture and plantar pressure distribution among women with knee osteoarthritis.\",\"authors\":\"Nazli Busra Cigercioglu, Zilan Bazancir-Apaydin, Hakan Apaydin, Gul Baltaci, Hande Guney-Deniz\",\"doi\":\"10.1002/jfa2.12028\",\"DOIUrl\":null,\"url\":null,\"abstract\":\"<p><strong>Background: </strong>The aim of this study was to compare the plantar pressure distribution and knee and ankle muscle architecture in women with and without knee osteoarthritis (OA).</p><p><strong>Methods: </strong>Fifty women with knee OA (mean age = 52.11 ± 4.96 years, mean Body mass index (BMI) = 30.94 ± 4.23 kg/m<sup>2</sup>) and 50 healthy women as a control group (mean age = 50.93 ± 3.78 years, mean BMI = 29.06 ± 4.82 kg/m<sup>2</sup>) were included in the study. Ultrasonography was used to evaluate knee and ankle muscles architecture and femoral cartilage thickness. The plantar pressure distribution was evaluated using the Digital Biometry Scanning System and Milleri software (DIASU, Italy). Static foot posture was evaluated using the Foot Posture Index (FPI), and pain severity was assessed using the Visual Analog Scale.</p><p><strong>Results: </strong>The OA group exhibited lower muscle thickness in Rectus Femoris (RF) (p = 0.003), Vastus Medialis (VM) (p = 0.004), Vastus Lateralis (p = 0.023), and Peroneus Longus (p = 0.002), as well as lower Medial Gastrocnemius pennation angle (p = 0.049) and higher Fat thickness (FT) in RF (p = 0.033) and VM (p = 0.037) compared to the control group. The OA group showed thinner femoral cartilage thickness (p = 0.001) and higher pain severity (p = 0.001) than the control groups. FPI scores were higher (p = 0.001) in OA group compared to the control group. The plantar pressure distribution results indicated an increase in total surface (p = 0.027), total load (p = 0.002), medial load (p = 0.005), and lateral load (p = 0.002) on dominant side in OA group compared to the control group.</p><p><strong>Conclusions: </strong>Knee and ankle muscle architecture, knee extensor muscle FT, and plantar pressure distribution in the dominant foot differed in individuals with knee OA compared to the control group.</p>\",\"PeriodicalId\":49164,\"journal\":{\"name\":\"Journal of Foot and Ankle Research\",\"volume\":\"17 2\",\"pages\":\"e12028\"},\"PeriodicalIF\":2.2000,\"publicationDate\":\"2024-06-01\",\"publicationTypes\":\"Journal Article\",\"fieldsOfStudy\":null,\"isOpenAccess\":false,\"openAccessPdf\":\"https://www.ncbi.nlm.nih.gov/pmc/articles/PMC11296719/pdf/\",\"citationCount\":\"0\",\"resultStr\":null,\"platform\":\"Semanticscholar\",\"paperid\":null,\"PeriodicalName\":\"Journal of Foot and Ankle Research\",\"FirstCategoryId\":\"3\",\"ListUrlMain\":\"https://doi.org/10.1002/jfa2.12028\",\"RegionNum\":3,\"RegionCategory\":\"医学\",\"ArticlePicture\":[],\"TitleCN\":null,\"AbstractTextCN\":null,\"PMCID\":null,\"EPubDate\":\"\",\"PubModel\":\"\",\"JCR\":\"Q1\",\"JCRName\":\"ORTHOPEDICS\",\"Score\":null,\"Total\":0}","platform":"Semanticscholar","paperid":null,"PeriodicalName":"Journal of Foot and Ankle Research","FirstCategoryId":"3","ListUrlMain":"https://doi.org/10.1002/jfa2.12028","RegionNum":3,"RegionCategory":"医学","ArticlePicture":[],"TitleCN":null,"AbstractTextCN":null,"PMCID":null,"EPubDate":"","PubModel":"","JCR":"Q1","JCRName":"ORTHOPEDICS","Score":null,"Total":0}
引用次数: 0

摘要

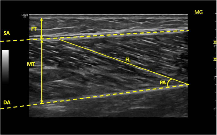
背景本研究旨在比较患有和未患有膝关节骨性关节炎(OA)的女性的足底压力分布以及膝关节和踝关节肌肉结构:研究纳入了 50 名患有膝关节 OA 的女性(平均年龄 = 52.11 ± 4.96 岁,平均体重指数 (BMI) = 30.94 ± 4.23 kg/m2)和 50 名健康女性作为对照组(平均年龄 = 50.93 ± 3.78 岁,平均体重指数 = 29.06 ± 4.82 kg/m2)。超声波检查用于评估膝关节和踝关节肌肉结构以及股骨头软骨厚度。使用数字生物测量扫描系统和 Milleri 软件(意大利 DIASU)评估足底压力分布。使用足部姿势指数(FPI)评估足部静态姿势,使用视觉模拟量表评估疼痛严重程度:结果:OA 组的股直肌(RF)(p = 0.003)、内侧阔肌(VM)(p = 0.004)、外侧阔肌(p = 0.023)和腓肠肌(p = 0.与对照组相比,OA 组的股内侧腓肠肌折角更小(p = 0.049),RF(p = 0.033)和 VM(p = 0.037)的脂肪厚度(FT)更高。与对照组相比,OA 组的股骨头软骨厚度更薄(p = 0.001),疼痛严重程度更高(p = 0.001)。与对照组相比,OA 组的 FPI 评分更高(p = 0.001)。足底压力分布结果表明,与对照组相比,OA 组优势侧的总表面(p = 0.027)、总负荷(p = 0.002)、内侧负荷(p = 0.005)和外侧负荷(p = 0.002)均有所增加:结论:与对照组相比,膝关节 OA 患者的膝关节和踝关节肌肉结构、膝关节伸肌 FT 和优势足的足底压力分布存在差异。
本文章由计算机程序翻译,如有差异,请以英文原文为准。

Differences in ankle and knee muscle architecture and plantar pressure distribution among women with knee osteoarthritis.

Differences in ankle and knee muscle architecture and plantar pressure distribution among women with knee osteoarthritis.

Differences in ankle and knee muscle architecture and plantar pressure distribution among women with knee osteoarthritis.

Background: The aim of this study was to compare the plantar pressure distribution and knee and ankle muscle architecture in women with and without knee osteoarthritis (OA).

Methods: Fifty women with knee OA (mean age = 52.11 ± 4.96 years, mean Body mass index (BMI) = 30.94 ± 4.23 kg/m2) and 50 healthy women as a control group (mean age = 50.93 ± 3.78 years, mean BMI = 29.06 ± 4.82 kg/m2) were included in the study. Ultrasonography was used to evaluate knee and ankle muscles architecture and femoral cartilage thickness. The plantar pressure distribution was evaluated using the Digital Biometry Scanning System and Milleri software (DIASU, Italy). Static foot posture was evaluated using the Foot Posture Index (FPI), and pain severity was assessed using the Visual Analog Scale.

Results: The OA group exhibited lower muscle thickness in Rectus Femoris (RF) (p = 0.003), Vastus Medialis (VM) (p = 0.004), Vastus Lateralis (p = 0.023), and Peroneus Longus (p = 0.002), as well as lower Medial Gastrocnemius pennation angle (p = 0.049) and higher Fat thickness (FT) in RF (p = 0.033) and VM (p = 0.037) compared to the control group. The OA group showed thinner femoral cartilage thickness (p = 0.001) and higher pain severity (p = 0.001) than the control groups. FPI scores were higher (p = 0.001) in OA group compared to the control group. The plantar pressure distribution results indicated an increase in total surface (p = 0.027), total load (p = 0.002), medial load (p = 0.005), and lateral load (p = 0.002) on dominant side in OA group compared to the control group.

Conclusions: Knee and ankle muscle architecture, knee extensor muscle FT, and plantar pressure distribution in the dominant foot differed in individuals with knee OA compared to the control group.

求助全文
通过发布文献求助,成功后即可免费获取论文全文。 去求助
来源期刊
CiteScore
4.50
自引率
10.30%
发文量
83
审稿时长
>12 weeks
期刊介绍: Journal of Foot and Ankle Research, the official journal of the Australian Podiatry Association and The College of Podiatry (UK), is an open access journal that encompasses all aspects of policy, organisation, delivery and clinical practice related to the assessment, diagnosis, prevention and management of foot and ankle disorders. Journal of Foot and Ankle Research covers a wide range of clinical subject areas, including diabetology, paediatrics, sports medicine, gerontology and geriatrics, foot surgery, physical therapy, dermatology, wound management, radiology, biomechanics and bioengineering, orthotics and prosthetics, as well the broad areas of epidemiology, policy, organisation and delivery of services related to foot and ankle care. The journal encourages submissions from all health professionals who manage lower limb conditions, including podiatrists, nurses, physical therapists and physiotherapists, orthopaedists, manual therapists, medical specialists and general medical practitioners, as well as health service researchers concerned with foot and ankle care. The Australian Podiatry Association and the College of Podiatry (UK) have reserve funds to cover the article-processing charge for manuscripts submitted by its members. Society members can email the appropriate contact at Australian Podiatry Association or The College of Podiatry to obtain the corresponding code to enter on submission.
×
引用
GB/T 7714-2015
复制
MLA
复制
APA
复制
导出至
BibTeX EndNote RefMan NoteFirst NoteExpress
×
提示
您的信息不完整,为了账户安全,请先补充。
现在去补充
×
提示
您因"违规操作"
具体请查看互助需知
我知道了
×
提示
确定
请完成安全验证×
copy
已复制链接
快去分享给好友吧!
我知道了
右上角分享
点击右上角分享
0
联系我们:info@booksci.cn Book学术提供免费学术资源搜索服务,方便国内外学者检索中英文文献。致力于提供最便捷和优质的服务体验。 Copyright © 2023 布克学术 All rights reserved.
京ICP备2023020795号-1
ghs 京公网安备 11010802042870号
Book学术文献互助
Book学术文献互助群
群 号:604180095
Book学术官方微信