蜂蜜作为组织病理学的组织固定剂的标准化:形态计量学研究。

Q2 Dentistry
Dental Research Journal Pub Date : 2024-03-26 eCollection Date: 2024-01-01
B Sabarinath, Shruthi Suresh, G B Protyusha, S Dhanarathna
{"title":"蜂蜜作为组织病理学的组织固定剂的标准化:形态计量学研究。","authors":"B Sabarinath, Shruthi Suresh, G B Protyusha, S Dhanarathna","doi":"","DOIUrl":null,"url":null,"abstract":"<p><strong>Background: </strong>Tissue fixation is a crucial step to preserve the tissues in a life-like state with minimal disruption to its cellular and chemical composition for histopathological examination. The search for an effective alternate tissue fixative to the routinely used formaldehyde has gained interest as constant exposure to formaldehyde has proven to be toxic. Honey, an organic substance with high acidity and hygroscopic nature, exhibits tissue fixative properties and has been used in the present study. The present study aimed to standardize honey as a tissue fixative for histopathology by comparing it with formalin.</p><p><strong>Materials and methods: </strong><i>In vitro</i> study Oral tissue samples of goat were fixed in 10% honey and 10% formalin solution, respectively, for 24-48 h, followed by routine tissue processing and microscopic examination of 37 slides per group. 2200 epithelial cells (1100 per group) were selected for the computer-aided morphometric image analysis (Fiji-Image J) by three observers. Cell area (CA), cell perimeter (CP), nuclear area (NA), nuclear perimeter (NP), cytoplasmic area (Cyt A), and nuclear-cytoplasmic ratio were the parameters studied. Mann-Whitney <i>U</i>-test (STATA/IC version 16) for inter-group comparison was done and <i>P</i> < 0.05 was considered statistically significant.</p><p><strong>Results: </strong>The probability of epithelial cells in the honey-fixed group to have greater NA, NP, and N/C ratio was about 50%-60%. The probability of epithelial cells in formalin-fixed tissues to have greater CA, CP, and Cyt A was about 70%.</p><p><strong>Conclusion: </strong>Honey is a better nuclear fixative than formalin. Cytoplasmic shrinkage of epithelial cells should be taken into consideration while fixing tissues with honey.</p>","PeriodicalId":11016,"journal":{"name":"Dental Research Journal","volume":"21 ","pages":"24"},"PeriodicalIF":0.0000,"publicationDate":"2024-03-26","publicationTypes":"Journal Article","fieldsOfStudy":null,"isOpenAccess":false,"openAccessPdf":"https://www.ncbi.nlm.nih.gov/pmc/articles/PMC11132230/pdf/","citationCount":"0","resultStr":"{\"title\":\"Standardization of honey as a tissue fixative for histopathology: A morphometric study.\",\"authors\":\"B Sabarinath, Shruthi Suresh, G B Protyusha, S Dhanarathna\",\"doi\":\"\",\"DOIUrl\":null,\"url\":null,\"abstract\":\"<p><strong>Background: </strong>Tissue fixation is a crucial step to preserve the tissues in a life-like state with minimal disruption to its cellular and chemical composition for histopathological examination. The search for an effective alternate tissue fixative to the routinely used formaldehyde has gained interest as constant exposure to formaldehyde has proven to be toxic. Honey, an organic substance with high acidity and hygroscopic nature, exhibits tissue fixative properties and has been used in the present study. The present study aimed to standardize honey as a tissue fixative for histopathology by comparing it with formalin.</p><p><strong>Materials and methods: </strong><i>In vitro</i> study Oral tissue samples of goat were fixed in 10% honey and 10% formalin solution, respectively, for 24-48 h, followed by routine tissue processing and microscopic examination of 37 slides per group. 2200 epithelial cells (1100 per group) were selected for the computer-aided morphometric image analysis (Fiji-Image J) by three observers. Cell area (CA), cell perimeter (CP), nuclear area (NA), nuclear perimeter (NP), cytoplasmic area (Cyt A), and nuclear-cytoplasmic ratio were the parameters studied. Mann-Whitney <i>U</i>-test (STATA/IC version 16) for inter-group comparison was done and <i>P</i> < 0.05 was considered statistically significant.</p><p><strong>Results: </strong>The probability of epithelial cells in the honey-fixed group to have greater NA, NP, and N/C ratio was about 50%-60%. The probability of epithelial cells in formalin-fixed tissues to have greater CA, CP, and Cyt A was about 70%.</p><p><strong>Conclusion: </strong>Honey is a better nuclear fixative than formalin. Cytoplasmic shrinkage of epithelial cells should be taken into consideration while fixing tissues with honey.</p>\",\"PeriodicalId\":11016,\"journal\":{\"name\":\"Dental Research Journal\",\"volume\":\"21 \",\"pages\":\"24\"},\"PeriodicalIF\":0.0000,\"publicationDate\":\"2024-03-26\",\"publicationTypes\":\"Journal Article\",\"fieldsOfStudy\":null,\"isOpenAccess\":false,\"openAccessPdf\":\"https://www.ncbi.nlm.nih.gov/pmc/articles/PMC11132230/pdf/\",\"citationCount\":\"0\",\"resultStr\":null,\"platform\":\"Semanticscholar\",\"paperid\":null,\"PeriodicalName\":\"Dental Research Journal\",\"FirstCategoryId\":\"1085\",\"ListUrlMain\":\"\",\"RegionNum\":0,\"RegionCategory\":null,\"ArticlePicture\":[],\"TitleCN\":null,\"AbstractTextCN\":null,\"PMCID\":null,\"EPubDate\":\"2024/1/1 0:00:00\",\"PubModel\":\"eCollection\",\"JCR\":\"Q2\",\"JCRName\":\"Dentistry\",\"Score\":null,\"Total\":0}","platform":"Semanticscholar","paperid":null,"PeriodicalName":"Dental Research Journal","FirstCategoryId":"1085","ListUrlMain":"","RegionNum":0,"RegionCategory":null,"ArticlePicture":[],"TitleCN":null,"AbstractTextCN":null,"PMCID":null,"EPubDate":"2024/1/1 0:00:00","PubModel":"eCollection","JCR":"Q2","JCRName":"Dentistry","Score":null,"Total":0}
引用次数: 0

摘要

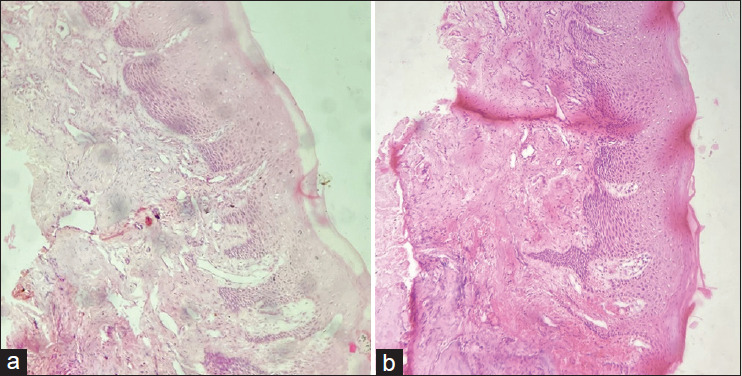
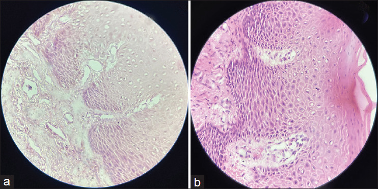
背景:组织固定是保存组织的关键步骤,以便在进行组织病理学检查时尽量减少对组织细胞和化学成分的破坏。由于持续接触甲醛已被证明是有毒的,因此寻找一种有效的组织固定剂来替代常规使用的甲醛已引起人们的兴趣。蜂蜜是一种具有高酸度和吸湿性的有机物,具有组织固定特性,因此被用于本研究中。本研究旨在通过比较蜂蜜与福尔马林,将蜂蜜作为组织病理学的组织固定剂标准化:体外研究 山羊的口腔组织样本分别在 10% 蜂蜜和 10% 福尔马林溶液中固定 24-48 小时,然后进行常规组织处理和显微镜检查,每组 37 张切片。选取 2200 个上皮细胞(每组 1100 个),由三名观察员进行计算机辅助形态计量图像分析(Fiji-Image J)。研究参数包括细胞面积(CA)、细胞周长(CP)、核面积(NA)、核周长(NP)、胞浆面积(Cyt A)和核-胞浆比。组间比较采用 Mann-Whitney U 检验(STATA/IC 16 版),P < 0.05 为差异有统计学意义:结果:蜂蜜固定组上皮细胞具有较大 NA、NP 和 N/C 比率的概率约为 50%-60%。福尔马林固定组织中上皮细胞具有较大 CA、CP 和 Cyt A 的概率约为 70%:结论:蜂蜜是比福尔马林更好的细胞核固定剂。结论:蜂蜜是比福尔马林更好的核固定剂,在用蜂蜜固定组织时应考虑到上皮细胞的细胞质收缩。
本文章由计算机程序翻译,如有差异,请以英文原文为准。

Standardization of honey as a tissue fixative for histopathology: A morphometric study.

Standardization of honey as a tissue fixative for histopathology: A morphometric study.

Standardization of honey as a tissue fixative for histopathology: A morphometric study.

Standardization of honey as a tissue fixative for histopathology: A morphometric study.

Background: Tissue fixation is a crucial step to preserve the tissues in a life-like state with minimal disruption to its cellular and chemical composition for histopathological examination. The search for an effective alternate tissue fixative to the routinely used formaldehyde has gained interest as constant exposure to formaldehyde has proven to be toxic. Honey, an organic substance with high acidity and hygroscopic nature, exhibits tissue fixative properties and has been used in the present study. The present study aimed to standardize honey as a tissue fixative for histopathology by comparing it with formalin.

Materials and methods: In vitro study Oral tissue samples of goat were fixed in 10% honey and 10% formalin solution, respectively, for 24-48 h, followed by routine tissue processing and microscopic examination of 37 slides per group. 2200 epithelial cells (1100 per group) were selected for the computer-aided morphometric image analysis (Fiji-Image J) by three observers. Cell area (CA), cell perimeter (CP), nuclear area (NA), nuclear perimeter (NP), cytoplasmic area (Cyt A), and nuclear-cytoplasmic ratio were the parameters studied. Mann-Whitney U-test (STATA/IC version 16) for inter-group comparison was done and P < 0.05 was considered statistically significant.

Results: The probability of epithelial cells in the honey-fixed group to have greater NA, NP, and N/C ratio was about 50%-60%. The probability of epithelial cells in formalin-fixed tissues to have greater CA, CP, and Cyt A was about 70%.

Conclusion: Honey is a better nuclear fixative than formalin. Cytoplasmic shrinkage of epithelial cells should be taken into consideration while fixing tissues with honey.

求助全文
通过发布文献求助,成功后即可免费获取论文全文。 去求助
来源期刊
Dental Research Journal
Dental Research Journal Dentistry-Dentistry (all)
CiteScore
1.70
自引率
0.00%
发文量
70
审稿时长
52 weeks
期刊介绍: Dental Research Journal, a publication of Isfahan University of Medical Sciences, is a peer-reviewed online journal with Bimonthly print on demand compilation of issues published. The journal’s full text is available online at http://www.drjjournal.net. The journal allows free access (Open Access) to its contents and permits authors to self-archive final accepted version of the articles on any OAI-compliant institutional / subject-based repository. The journal will cover technical and clinical studies related to health, ethical and social issues in field of Dentistry. Articles with clinical interest and implications will be given preference.
×
引用
GB/T 7714-2015
复制
MLA
复制
APA
复制
导出至
BibTeX EndNote RefMan NoteFirst NoteExpress
×
提示
您的信息不完整,为了账户安全,请先补充。
现在去补充
×
提示
您因"违规操作"
具体请查看互助需知
我知道了
×
提示
确定
请完成安全验证×
copy
已复制链接
快去分享给好友吧!
我知道了
右上角分享
点击右上角分享
0
联系我们:info@booksci.cn Book学术提供免费学术资源搜索服务,方便国内外学者检索中英文文献。致力于提供最便捷和优质的服务体验。 Copyright © 2023 布克学术 All rights reserved.
京ICP备2023020795号-1
ghs 京公网安备 11010802042870号
Book学术文献互助
Book学术文献互助群
群 号:604180095
Book学术官方微信