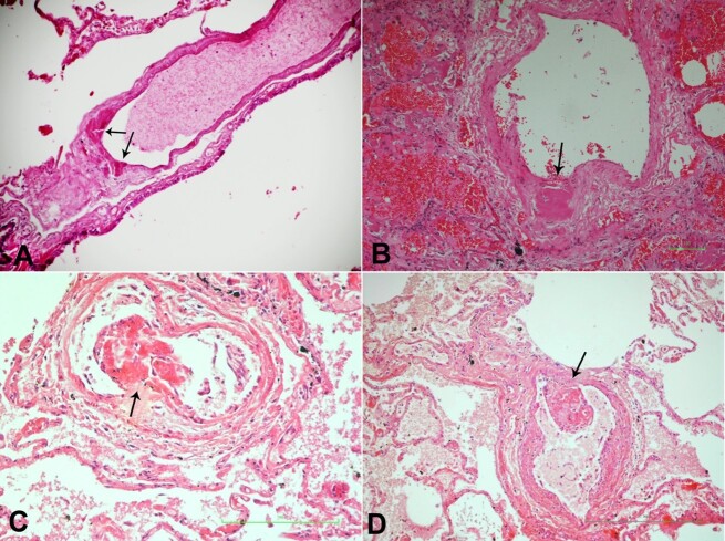
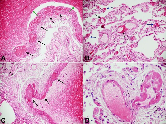
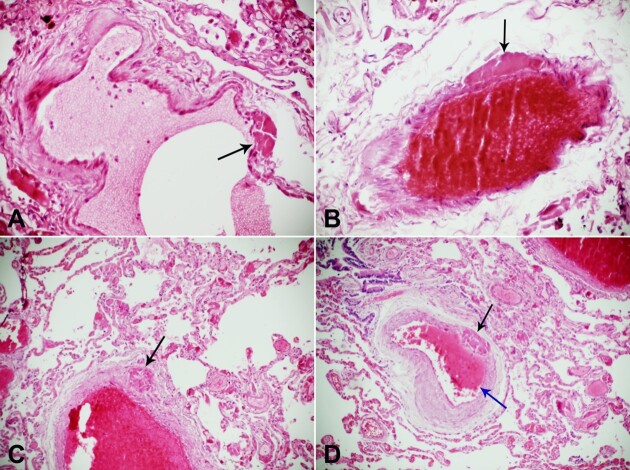
在 COVID-19 中,大、中型肺动脉和静脉的血管栓塞导致肺血栓栓塞。

Q4 Medicine
Autopsy and Case Reports Pub Date : 2024-05-22 eCollection Date: 2024-01-01 DOI:10.4322/acr.2024.491
Hubert Daisley, Oneka Acco, Martina Daisley, Dennecia George, Lilly Paul, Errol James, Arlene Rampersad, Farhaana Narinesingh, Ornella Humphrey, Johann Daisley, Melissa Nathan
{"title":"在 COVID-19 中,大、中型肺动脉和静脉的血管栓塞导致肺血栓栓塞。","authors":"Hubert Daisley, Oneka Acco, Martina Daisley, Dennecia George, Lilly Paul, Errol James, Arlene Rampersad, Farhaana Narinesingh, Ornella Humphrey, Johann Daisley, Melissa Nathan","doi":"10.4322/acr.2024.491","DOIUrl":null,"url":null,"abstract":"<p><p>The vasa vasorum of the large pulmonary vessels is involved in the pathology of COVID-19. This specialized microvasculature plays a major role in the biology and pathology of the pulmonary vessel walls. We have evidence that thrombosis of the vasa vasorum of the large and medium-sized pulmonary vessels during severe COVID-19 causes ischemia and subsequent death of the pulmonary vasculature endothelium. Subsequent release of thrombi from the vasa interna into the pulmonary circulation and pulmonary embolism generated at the ischemic pulmonary vascular endothelium site, are the central pathophysiological mechanisms in COVID-19 responsible for pulmonary thromboembolism. The thrombosis of the vasa vasorum of the large and medium-sized pulmonary vessels is an internal event leading to pulmonary thromboembolism in COVID-19.</p>","PeriodicalId":53117,"journal":{"name":"Autopsy and Case Reports","volume":"14 ","pages":"e2024491"},"PeriodicalIF":0.0000,"publicationDate":"2024-05-22","publicationTypes":"Journal Article","fieldsOfStudy":null,"isOpenAccess":false,"openAccessPdf":"https://www.ncbi.nlm.nih.gov/pmc/articles/PMC11129857/pdf/","citationCount":"0","resultStr":"{\"title\":\"Thrombosis of the vasa vasorum of the large and medium size pulmonary artery and vein leads to pulmonary thromboembolism in COVID-19.\",\"authors\":\"Hubert Daisley, Oneka Acco, Martina Daisley, Dennecia George, Lilly Paul, Errol James, Arlene Rampersad, Farhaana Narinesingh, Ornella Humphrey, Johann Daisley, Melissa Nathan\",\"doi\":\"10.4322/acr.2024.491\",\"DOIUrl\":null,\"url\":null,\"abstract\":\"<p><p>The vasa vasorum of the large pulmonary vessels is involved in the pathology of COVID-19. This specialized microvasculature plays a major role in the biology and pathology of the pulmonary vessel walls. We have evidence that thrombosis of the vasa vasorum of the large and medium-sized pulmonary vessels during severe COVID-19 causes ischemia and subsequent death of the pulmonary vasculature endothelium. Subsequent release of thrombi from the vasa interna into the pulmonary circulation and pulmonary embolism generated at the ischemic pulmonary vascular endothelium site, are the central pathophysiological mechanisms in COVID-19 responsible for pulmonary thromboembolism. The thrombosis of the vasa vasorum of the large and medium-sized pulmonary vessels is an internal event leading to pulmonary thromboembolism in COVID-19.</p>\",\"PeriodicalId\":53117,\"journal\":{\"name\":\"Autopsy and Case Reports\",\"volume\":\"14 \",\"pages\":\"e2024491\"},\"PeriodicalIF\":0.0000,\"publicationDate\":\"2024-05-22\",\"publicationTypes\":\"Journal Article\",\"fieldsOfStudy\":null,\"isOpenAccess\":false,\"openAccessPdf\":\"https://www.ncbi.nlm.nih.gov/pmc/articles/PMC11129857/pdf/\",\"citationCount\":\"0\",\"resultStr\":null,\"platform\":\"Semanticscholar\",\"paperid\":null,\"PeriodicalName\":\"Autopsy and Case Reports\",\"FirstCategoryId\":\"1085\",\"ListUrlMain\":\"https://doi.org/10.4322/acr.2024.491\",\"RegionNum\":0,\"RegionCategory\":null,\"ArticlePicture\":[],\"TitleCN\":null,\"AbstractTextCN\":null,\"PMCID\":null,\"EPubDate\":\"2024/1/1 0:00:00\",\"PubModel\":\"eCollection\",\"JCR\":\"Q4\",\"JCRName\":\"Medicine\",\"Score\":null,\"Total\":0}","platform":"Semanticscholar","paperid":null,"PeriodicalName":"Autopsy and Case Reports","FirstCategoryId":"1085","ListUrlMain":"https://doi.org/10.4322/acr.2024.491","RegionNum":0,"RegionCategory":null,"ArticlePicture":[],"TitleCN":null,"AbstractTextCN":null,"PMCID":null,"EPubDate":"2024/1/1 0:00:00","PubModel":"eCollection","JCR":"Q4","JCRName":"Medicine","Score":null,"Total":0}
引用次数: 0

摘要

肺大血管的血管腔与 COVID-19 的病理有关。这种特殊的微血管在肺血管壁的生物学和病理学中发挥着重要作用。我们有证据表明,在严重的 COVID-19 中,大、中型肺血管的血管腔血栓形成会导致肺血管内皮细胞缺血并随之死亡。随后,血栓从血管内膜释放到肺循环,并在缺血的肺血管内皮部位产生肺栓塞,这是 COVID-19 导致肺血栓栓塞的核心病理生理机制。大、中型肺血管的血管内膜血栓形成是导致 COVID-19 肺血栓栓塞的内部事件。
本文章由计算机程序翻译,如有差异,请以英文原文为准。

Thrombosis of the vasa vasorum of the large and medium size pulmonary artery and vein leads to pulmonary thromboembolism in COVID-19.

Thrombosis of the vasa vasorum of the large and medium size pulmonary artery and vein leads to pulmonary thromboembolism in COVID-19.

Thrombosis of the vasa vasorum of the large and medium size pulmonary artery and vein leads to pulmonary thromboembolism in COVID-19.

Thrombosis of the vasa vasorum of the large and medium size pulmonary artery and vein leads to pulmonary thromboembolism in COVID-19.

The vasa vasorum of the large pulmonary vessels is involved in the pathology of COVID-19. This specialized microvasculature plays a major role in the biology and pathology of the pulmonary vessel walls. We have evidence that thrombosis of the vasa vasorum of the large and medium-sized pulmonary vessels during severe COVID-19 causes ischemia and subsequent death of the pulmonary vasculature endothelium. Subsequent release of thrombi from the vasa interna into the pulmonary circulation and pulmonary embolism generated at the ischemic pulmonary vascular endothelium site, are the central pathophysiological mechanisms in COVID-19 responsible for pulmonary thromboembolism. The thrombosis of the vasa vasorum of the large and medium-sized pulmonary vessels is an internal event leading to pulmonary thromboembolism in COVID-19.

求助全文
通过发布文献求助,成功后即可免费获取论文全文。 去求助
来源期刊
Autopsy and Case Reports
Autopsy and Case Reports Medicine-Internal Medicine
CiteScore
1.20
自引率
0.00%
发文量
60
审稿时长
9 weeks
×
引用
GB/T 7714-2015
复制
MLA
复制
APA
复制
导出至
BibTeX EndNote RefMan NoteFirst NoteExpress
×
提示
您的信息不完整,为了账户安全,请先补充。
现在去补充
×
提示
您因"违规操作"
具体请查看互助需知
我知道了
×
提示
确定
请完成安全验证×
copy
已复制链接
快去分享给好友吧!
我知道了
右上角分享
点击右上角分享
0
联系我们:info@booksci.cn Book学术提供免费学术资源搜索服务,方便国内外学者检索中英文文献。致力于提供最便捷和优质的服务体验。 Copyright © 2023 布克学术 All rights reserved.
京ICP备2023020795号-1
ghs 京公网安备 11010802042870号
Book学术文献互助
Book学术文献互助群
群 号:604180095
Book学术官方微信