支气管扩张性放线菌病伴骨质增生伪装成肺癌

IF 2.1 Q4 PATHOLOGY
Archana Bhat, Manjunath J, Don Mascarenhas
{"title":"支气管扩张性放线菌病伴骨质增生伪装成肺癌","authors":"Archana Bhat, Manjunath J, Don Mascarenhas","doi":"10.5146/tjpath.2024.13407","DOIUrl":null,"url":null,"abstract":"<p><p>Bronchial involvement in pulmonary actinomycosis is rare and has been reported in the literature rarely. However, these reports describe endobronchial actinomycosis secondary to foreign body aspiration (for example, a fish bone). Our case did not have any history or clinical evidence suggesting foreign body aspiration, which makes it even more rare. A 55-year-old woman presented with complaints of on and off haemoptysis and cough for three weeks. In view of the haemoptysis and consolidation seen on imaging, a bronchoalveolar lavage was done and sent for cytological assessment. Few atypical cells with nuclear hyperchromasia and prominent nucleoli were noted. In view of the persistent haemoptysis, worsening symptoms, and non-resolution of the consolidation despite antibiotics, and the finding of atypical cells, segmental resection was done. A final diagnosis of bronchiectatic actinomycosis with osseous metaplasia was given. The patient was started on prolonged antibiotics with good response and recovery. Other risk factors associated with pulmonary actinomycosis include alcoholism, diabetes, haematological diseases, human immunodeficiency viral infection, use of immunosuppressants, and rarely chronic lung diseases, such as bronchiectasis. Our case had this rare association of bronchiectasis with bronchial actinomycosis. Bronchiectatic actinomycosis is a rare infection and it can mimic several lung disorders like unresolving pneumonia, pulmonary tuberculosis, foreign body, and even lung tumours. The pathologists and clinicians should be aware of this entity and thus help in the early diagnosis and better management of patients with this disease.</p>","PeriodicalId":45415,"journal":{"name":"Turkish Journal of Pathology","volume":" ","pages":"202-204"},"PeriodicalIF":2.1000,"publicationDate":"2024-01-01","publicationTypes":"Journal Article","fieldsOfStudy":null,"isOpenAccess":false,"openAccessPdf":"https://www.ncbi.nlm.nih.gov/pmc/articles/PMC11401733/pdf/","citationCount":"0","resultStr":"{\"title\":\"Bronchiectatic Actinomycosis with Osseous Metaplasia Masquerading as Lung Cancer.\",\"authors\":\"Archana Bhat, Manjunath J, Don Mascarenhas\",\"doi\":\"10.5146/tjpath.2024.13407\",\"DOIUrl\":null,\"url\":null,\"abstract\":\"<p><p>Bronchial involvement in pulmonary actinomycosis is rare and has been reported in the literature rarely. However, these reports describe endobronchial actinomycosis secondary to foreign body aspiration (for example, a fish bone). Our case did not have any history or clinical evidence suggesting foreign body aspiration, which makes it even more rare. A 55-year-old woman presented with complaints of on and off haemoptysis and cough for three weeks. In view of the haemoptysis and consolidation seen on imaging, a bronchoalveolar lavage was done and sent for cytological assessment. Few atypical cells with nuclear hyperchromasia and prominent nucleoli were noted. In view of the persistent haemoptysis, worsening symptoms, and non-resolution of the consolidation despite antibiotics, and the finding of atypical cells, segmental resection was done. A final diagnosis of bronchiectatic actinomycosis with osseous metaplasia was given. The patient was started on prolonged antibiotics with good response and recovery. Other risk factors associated with pulmonary actinomycosis include alcoholism, diabetes, haematological diseases, human immunodeficiency viral infection, use of immunosuppressants, and rarely chronic lung diseases, such as bronchiectasis. Our case had this rare association of bronchiectasis with bronchial actinomycosis. Bronchiectatic actinomycosis is a rare infection and it can mimic several lung disorders like unresolving pneumonia, pulmonary tuberculosis, foreign body, and even lung tumours. The pathologists and clinicians should be aware of this entity and thus help in the early diagnosis and better management of patients with this disease.</p>\",\"PeriodicalId\":45415,\"journal\":{\"name\":\"Turkish Journal of Pathology\",\"volume\":\" \",\"pages\":\"202-204\"},\"PeriodicalIF\":2.1000,\"publicationDate\":\"2024-01-01\",\"publicationTypes\":\"Journal Article\",\"fieldsOfStudy\":null,\"isOpenAccess\":false,\"openAccessPdf\":\"https://www.ncbi.nlm.nih.gov/pmc/articles/PMC11401733/pdf/\",\"citationCount\":\"0\",\"resultStr\":null,\"platform\":\"Semanticscholar\",\"paperid\":null,\"PeriodicalName\":\"Turkish Journal of Pathology\",\"FirstCategoryId\":\"1085\",\"ListUrlMain\":\"https://doi.org/10.5146/tjpath.2024.13407\",\"RegionNum\":0,\"RegionCategory\":null,\"ArticlePicture\":[],\"TitleCN\":null,\"AbstractTextCN\":null,\"PMCID\":null,\"EPubDate\":\"\",\"PubModel\":\"\",\"JCR\":\"Q4\",\"JCRName\":\"PATHOLOGY\",\"Score\":null,\"Total\":0}","platform":"Semanticscholar","paperid":null,"PeriodicalName":"Turkish Journal of Pathology","FirstCategoryId":"1085","ListUrlMain":"https://doi.org/10.5146/tjpath.2024.13407","RegionNum":0,"RegionCategory":null,"ArticlePicture":[],"TitleCN":null,"AbstractTextCN":null,"PMCID":null,"EPubDate":"","PubModel":"","JCR":"Q4","JCRName":"PATHOLOGY","Score":null,"Total":0}
引用次数: 0

摘要

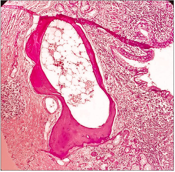
肺放线菌病很少累及支气管,文献中也鲜有报道。不过,这些报道描述的都是继发于异物吸入(如鱼骨)的支气管内放线菌病。我们的病例没有任何病史或临床证据显示异物吸入,因此更加罕见。一名 55 岁的女性患者主诉有断断续续的咯血和咳嗽症状,已持续三周。鉴于咯血和影像学检查发现的合并症,她接受了支气管肺泡灌洗,并送去进行细胞学评估。结果发现少量非典型细胞核色素沉着,核小体突出。考虑到持续咯血、症状恶化、使用抗生素后仍未缓解合并症以及非典型细胞的发现,患者接受了分段切除术。最终诊断为支气管扩张放线菌病伴骨化。患者开始长期服用抗生素,反应良好,并已康复。与肺放线菌病相关的其他危险因素包括酗酒、糖尿病、血液病、人类免疫缺陷病毒感染、使用免疫抑制剂,以及很少见的慢性肺部疾病,如支气管扩张。我们的病例罕见地合并了支气管扩张和支气管放线菌病。支气管放线菌病是一种罕见的感染,它可以模拟多种肺部疾病,如迁延不愈的肺炎、肺结核、异物,甚至肺部肿瘤。病理学家和临床医生应该了解这种疾病,从而帮助早期诊断和更好地治疗这种疾病的患者。
本文章由计算机程序翻译,如有差异,请以英文原文为准。

Bronchiectatic Actinomycosis with Osseous Metaplasia Masquerading as Lung Cancer.

Bronchiectatic Actinomycosis with Osseous Metaplasia Masquerading as Lung Cancer.

Bronchiectatic Actinomycosis with Osseous Metaplasia Masquerading as Lung Cancer.

Bronchial involvement in pulmonary actinomycosis is rare and has been reported in the literature rarely. However, these reports describe endobronchial actinomycosis secondary to foreign body aspiration (for example, a fish bone). Our case did not have any history or clinical evidence suggesting foreign body aspiration, which makes it even more rare. A 55-year-old woman presented with complaints of on and off haemoptysis and cough for three weeks. In view of the haemoptysis and consolidation seen on imaging, a bronchoalveolar lavage was done and sent for cytological assessment. Few atypical cells with nuclear hyperchromasia and prominent nucleoli were noted. In view of the persistent haemoptysis, worsening symptoms, and non-resolution of the consolidation despite antibiotics, and the finding of atypical cells, segmental resection was done. A final diagnosis of bronchiectatic actinomycosis with osseous metaplasia was given. The patient was started on prolonged antibiotics with good response and recovery. Other risk factors associated with pulmonary actinomycosis include alcoholism, diabetes, haematological diseases, human immunodeficiency viral infection, use of immunosuppressants, and rarely chronic lung diseases, such as bronchiectasis. Our case had this rare association of bronchiectasis with bronchial actinomycosis. Bronchiectatic actinomycosis is a rare infection and it can mimic several lung disorders like unresolving pneumonia, pulmonary tuberculosis, foreign body, and even lung tumours. The pathologists and clinicians should be aware of this entity and thus help in the early diagnosis and better management of patients with this disease.

求助全文
通过发布文献求助,成功后即可免费获取论文全文。 去求助
来源期刊
CiteScore
1.90
自引率
10.00%
发文量
23
审稿时长
14 weeks
×
引用
GB/T 7714-2015
复制
MLA
复制
APA
复制
导出至
BibTeX EndNote RefMan NoteFirst NoteExpress
×
提示
您的信息不完整,为了账户安全,请先补充。
现在去补充
×
提示
您因"违规操作"
具体请查看互助需知
我知道了
×
提示
确定
请完成安全验证×
copy
已复制链接
快去分享给好友吧!
我知道了
右上角分享
点击右上角分享
0
联系我们:info@booksci.cn Book学术提供免费学术资源搜索服务,方便国内外学者检索中英文文献。致力于提供最便捷和优质的服务体验。 Copyright © 2023 布克学术 All rights reserved.
京ICP备2023020795号-1
ghs 京公网安备 11010802042870号
Book学术文献互助
Book学术文献互助群
群 号:604180095
Book学术官方微信