印度西部和中部地区流行的传染性法氏囊病病毒的分离和分子特征。

IF 1 4区 农林科学 Q3 VETERINARY SCIENCES
A A Agnihotri, S P Awandkar, R C Kulkarni, S G Chavhan, R D Suryawanshi, A Mohan, M B Kulkarni, V G Chavan
{"title":"印度西部和中部地区流行的传染性法氏囊病病毒的分离和分子特征。","authors":"A A Agnihotri, S P Awandkar, R C Kulkarni, S G Chavhan, R D Suryawanshi, A Mohan, M B Kulkarni, V G Chavan","doi":"10.22099/IJVR.2023.47037.6774","DOIUrl":null,"url":null,"abstract":"<p><strong>Background: </strong>Infectious bursal disease (IBD) caused substantial economic loss in central and western India during 2020 and 2021.</p><p><strong>Aims: </strong>The study was conducted to characterize IBD virus (IBDV) from field outbreaks.</p><p><strong>Methods: </strong>The study was conducted on 360 samples from 42 poultry flocks. The samples were subjected to histopathology and molecular detection, followed by phylogenetic typing of the partial <i>VP2</i> gene.</p><p><strong>Results: </strong>The mortality ranged from 15.25 to 60.18%. The necropsy showed hemorrhages on thigh muscles, mottled spleen, swelling of kidneys and bursae with hemorrhages, and cheesy exudate. Histopathology revealed extensive necrosis and depletion of follicular lymphoid cells within the cortex and medulla, along with widespread hemorrhages, edema, and cystic cavities in the bursa. The field isolates showed cytopathic effects in the seventh passage. The cytopathic effects included swelling, rounding, granulation of cytoplasm around the nucleus, fragmentation of the infected cells, and detachment. The reverse transcription-polymerase chain reaction amplified 664 bp partial <i>VP2</i> gene. The phylogenetic analysis identified 19 field isolates as very virulent IBDVs (vvIBDVs) and three as classical strains.</p><p><strong>Conclusion: </strong>The results indicated that different vvIBDV strains are involved in disease outbreaks in central and western India.</p>","PeriodicalId":14629,"journal":{"name":"Iranian journal of veterinary research","volume":"24 4","pages":"345-350"},"PeriodicalIF":1.0000,"publicationDate":"2023-01-01","publicationTypes":"Journal Article","fieldsOfStudy":null,"isOpenAccess":false,"openAccessPdf":"https://www.ncbi.nlm.nih.gov/pmc/articles/PMC11127732/pdf/","citationCount":"0","resultStr":"{\"title\":\"Isolation and molecular characterization of infectious bursal disease virus circulating in western and central India.\",\"authors\":\"A A Agnihotri, S P Awandkar, R C Kulkarni, S G Chavhan, R D Suryawanshi, A Mohan, M B Kulkarni, V G Chavan\",\"doi\":\"10.22099/IJVR.2023.47037.6774\",\"DOIUrl\":null,\"url\":null,\"abstract\":\"<p><strong>Background: </strong>Infectious bursal disease (IBD) caused substantial economic loss in central and western India during 2020 and 2021.</p><p><strong>Aims: </strong>The study was conducted to characterize IBD virus (IBDV) from field outbreaks.</p><p><strong>Methods: </strong>The study was conducted on 360 samples from 42 poultry flocks. The samples were subjected to histopathology and molecular detection, followed by phylogenetic typing of the partial <i>VP2</i> gene.</p><p><strong>Results: </strong>The mortality ranged from 15.25 to 60.18%. The necropsy showed hemorrhages on thigh muscles, mottled spleen, swelling of kidneys and bursae with hemorrhages, and cheesy exudate. Histopathology revealed extensive necrosis and depletion of follicular lymphoid cells within the cortex and medulla, along with widespread hemorrhages, edema, and cystic cavities in the bursa. The field isolates showed cytopathic effects in the seventh passage. The cytopathic effects included swelling, rounding, granulation of cytoplasm around the nucleus, fragmentation of the infected cells, and detachment. The reverse transcription-polymerase chain reaction amplified 664 bp partial <i>VP2</i> gene. The phylogenetic analysis identified 19 field isolates as very virulent IBDVs (vvIBDVs) and three as classical strains.</p><p><strong>Conclusion: </strong>The results indicated that different vvIBDV strains are involved in disease outbreaks in central and western India.</p>\",\"PeriodicalId\":14629,\"journal\":{\"name\":\"Iranian journal of veterinary research\",\"volume\":\"24 4\",\"pages\":\"345-350\"},\"PeriodicalIF\":1.0000,\"publicationDate\":\"2023-01-01\",\"publicationTypes\":\"Journal Article\",\"fieldsOfStudy\":null,\"isOpenAccess\":false,\"openAccessPdf\":\"https://www.ncbi.nlm.nih.gov/pmc/articles/PMC11127732/pdf/\",\"citationCount\":\"0\",\"resultStr\":null,\"platform\":\"Semanticscholar\",\"paperid\":null,\"PeriodicalName\":\"Iranian journal of veterinary research\",\"FirstCategoryId\":\"97\",\"ListUrlMain\":\"https://doi.org/10.22099/IJVR.2023.47037.6774\",\"RegionNum\":4,\"RegionCategory\":\"农林科学\",\"ArticlePicture\":[],\"TitleCN\":null,\"AbstractTextCN\":null,\"PMCID\":null,\"EPubDate\":\"\",\"PubModel\":\"\",\"JCR\":\"Q3\",\"JCRName\":\"VETERINARY SCIENCES\",\"Score\":null,\"Total\":0}","platform":"Semanticscholar","paperid":null,"PeriodicalName":"Iranian journal of veterinary research","FirstCategoryId":"97","ListUrlMain":"https://doi.org/10.22099/IJVR.2023.47037.6774","RegionNum":4,"RegionCategory":"农林科学","ArticlePicture":[],"TitleCN":null,"AbstractTextCN":null,"PMCID":null,"EPubDate":"","PubModel":"","JCR":"Q3","JCRName":"VETERINARY SCIENCES","Score":null,"Total":0}
引用次数: 0

摘要

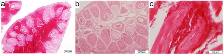
背景:传染性法氏囊病(IBD2020年和2021年期间,传染性法氏囊病(IBD)在印度中部和西部造成了巨大的经济损失:研究对来自 42 个禽群的 360 个样本进行了检测。对样本进行组织病理学和分子检测,然后对部分 VP2 基因进行系统发育分型:死亡率从 15.25% 到 60.18%不等。尸体解剖显示大腿肌肉出血、脾脏斑驳、肾脏和滑囊肿胀并伴有出血和干酪样渗出物。组织病理学显示,皮质和髓质内的滤泡淋巴细胞广泛坏死和耗竭,法氏囊内广泛出血、水肿和囊腔。野外分离物在第七通道出现细胞病理效应。细胞病理效应包括肿胀、变圆、细胞核周围细胞质颗粒化、受感染细胞破碎和脱落。反转录聚合酶链反应扩增出 664 bp 部分 VP2 基因。系统进化分析确定 19 个田间分离株为剧毒 IBDV(vvIBDV),3 个为经典株:结果表明,不同的 vvIBDV 株系参与了印度中部和西部的疾病暴发。
本文章由计算机程序翻译,如有差异,请以英文原文为准。

Isolation and molecular characterization of infectious bursal disease virus circulating in western and central India.

Isolation and molecular characterization of infectious bursal disease virus circulating in western and central India.

Isolation and molecular characterization of infectious bursal disease virus circulating in western and central India.

Isolation and molecular characterization of infectious bursal disease virus circulating in western and central India.

Background: Infectious bursal disease (IBD) caused substantial economic loss in central and western India during 2020 and 2021.

Aims: The study was conducted to characterize IBD virus (IBDV) from field outbreaks.

Methods: The study was conducted on 360 samples from 42 poultry flocks. The samples were subjected to histopathology and molecular detection, followed by phylogenetic typing of the partial VP2 gene.

Results: The mortality ranged from 15.25 to 60.18%. The necropsy showed hemorrhages on thigh muscles, mottled spleen, swelling of kidneys and bursae with hemorrhages, and cheesy exudate. Histopathology revealed extensive necrosis and depletion of follicular lymphoid cells within the cortex and medulla, along with widespread hemorrhages, edema, and cystic cavities in the bursa. The field isolates showed cytopathic effects in the seventh passage. The cytopathic effects included swelling, rounding, granulation of cytoplasm around the nucleus, fragmentation of the infected cells, and detachment. The reverse transcription-polymerase chain reaction amplified 664 bp partial VP2 gene. The phylogenetic analysis identified 19 field isolates as very virulent IBDVs (vvIBDVs) and three as classical strains.

Conclusion: The results indicated that different vvIBDV strains are involved in disease outbreaks in central and western India.

求助全文
通过发布文献求助,成功后即可免费获取论文全文。 去求助
来源期刊
CiteScore
1.70
自引率
8.30%
发文量
10
期刊介绍: The Iranian Journal of Veterinary Research(IJVR) is published quarterly in 4 issues. The aims of this journal are to improve and expand knowledge in all veterinary fields. It is an international journal indexed by the Thomson Institute for Scientific Information (ISI), Elsevier, Scopus, CAB International, Veterinary Bulletin and several other international databases. Research papers and reports on a wide range of veterinary topics are published in the journal after being evaluated by expert reviewers.The Editor-in-Chief is responsible for the editorial content of the journal—including peer-reviewed manuscripts—and the timing of its publication.
×
引用
GB/T 7714-2015
复制
MLA
复制
APA
复制
导出至
BibTeX EndNote RefMan NoteFirst NoteExpress
×
提示
您的信息不完整,为了账户安全,请先补充。
现在去补充
×
提示
您因"违规操作"
具体请查看互助需知
我知道了
×
提示
确定
请完成安全验证×
copy
已复制链接
快去分享给好友吧!
我知道了
右上角分享
点击右上角分享
0
联系我们:info@booksci.cn Book学术提供免费学术资源搜索服务,方便国内外学者检索中英文文献。致力于提供最便捷和优质的服务体验。 Copyright © 2023 布克学术 All rights reserved.
京ICP备2023020795号-1
ghs 京公网安备 11010802042870号
Book学术文献互助
Book学术文献互助群
群 号:604180095
Book学术官方微信