硫丹可诱导雌雄瑞士白化小鼠产生生殖和遗传毒性效应。

IF 2.9 Q3 MEDICINE, RESEARCH & EXPERIMENTAL
Priya, Arun Kumar, Mohammad Ali, Abhinav Srivastava, Ranjit Kumar, Ashok Kumar Ghosh
{"title":"硫丹可诱导雌雄瑞士白化小鼠产生生殖和遗传毒性效应。","authors":"Priya, Arun Kumar, Mohammad Ali, Abhinav Srivastava, Ranjit Kumar, Ashok Kumar Ghosh","doi":"10.1186/s42826-024-00208-4","DOIUrl":null,"url":null,"abstract":"<p><strong>Background: </strong>Toxicity by pesticide has become a global health issue and leaves a harmful impact on human health via various ways. The people exposed to pesticides in the rural population get affected by the harmful effects of it as they enter the human body system through skin, inhalation, oral administration, food chain and many more ways. The present work is designed to study the toxic effect of endosulfan in male (n=30) and female (n=30) Swiss albino mice. Endosulfan was administered by oral gavage (oral administration) method, at the dose of 3.5 mg/Kg body weight daily for period of 3 weeks, 5 weeks and 7 weeks. After the completion of the treatment, the mice were sacrificed and their ovary and testis tissues were dissected out to check the degeneration. The blood was collected for karyotyping, biochemical and hormonal analysis of pesticide induced genotoxicity. After 7 weeks of administration with Endosulfan, various abnormalities were observed in male and female mice.</p><p><strong>Results: </strong>Treatment with endosulfan at the dose of 3.5 mg/Kg body weight caused a higher degree of degeneration in the reproductive organ of Swiss albino mice . Treatment by this pesticide generated degeneration in long duration of dosage for 3,5 and 7 weeks. Ovaries of endosulfan administered groups showed degenerated germinal epithelium, Graffian follicles and corpus luteum. In testis of endosulfan treated mice, microscopic examination showed that there is significant damage and reduction in the tissue of seminiferous tubules and primordial germ cells. High degree of degeneration caused the disarrangement and deformation of spermatogonia with the decrease in the number of Sertoli cells. Biochemical and hormonal properties was also affected by endosulfan treatment. There was significant 5 folds decrease in the testosterone value of endosulfan in 7 weeks treated mice in comparison to control (p < 0.0001) and similarly there was significant elevation in the estrogen levels found in 7th week endosulfan treated mice. It also influenced the level of free radicals as there was significant decrease (p < 0.0001) in the value in catalase levels in 7 weeks endosulfan treated male and female mice, while significant (p < 0.0001) increase in the values of lipid peroxidation levels as 8 folds and 10 folds in 7 weeks endosulfan treated male and female Swiss albino mice respectively. This study hence speculates that the endosulfan exposed population are at the risk of reproductive health hazards.</p><p><strong>Conclusions: </strong>The present study thus concludes that, endosulfan after 7 weeks of exposure caused significant reproductive damage to both male and female Swiss albino mice groups. Moreover, the karyotyping study also correlated the genotoxic damage in the mice.</p>","PeriodicalId":17993,"journal":{"name":"Laboratory Animal Research","volume":"40 1","pages":"22"},"PeriodicalIF":2.9000,"publicationDate":"2024-05-22","publicationTypes":"Journal Article","fieldsOfStudy":null,"isOpenAccess":false,"openAccessPdf":"https://www.ncbi.nlm.nih.gov/pmc/articles/PMC11110251/pdf/","citationCount":"0","resultStr":"{\"title\":\"Endosulfan induces reproductive & genotoxic effect in male and female Swiss albino mice.\",\"authors\":\"Priya, Arun Kumar, Mohammad Ali, Abhinav Srivastava, Ranjit Kumar, Ashok Kumar Ghosh\",\"doi\":\"10.1186/s42826-024-00208-4\",\"DOIUrl\":null,\"url\":null,\"abstract\":\"<p><strong>Background: </strong>Toxicity by pesticide has become a global health issue and leaves a harmful impact on human health via various ways. The people exposed to pesticides in the rural population get affected by the harmful effects of it as they enter the human body system through skin, inhalation, oral administration, food chain and many more ways. The present work is designed to study the toxic effect of endosulfan in male (n=30) and female (n=30) Swiss albino mice. Endosulfan was administered by oral gavage (oral administration) method, at the dose of 3.5 mg/Kg body weight daily for period of 3 weeks, 5 weeks and 7 weeks. After the completion of the treatment, the mice were sacrificed and their ovary and testis tissues were dissected out to check the degeneration. The blood was collected for karyotyping, biochemical and hormonal analysis of pesticide induced genotoxicity. After 7 weeks of administration with Endosulfan, various abnormalities were observed in male and female mice.</p><p><strong>Results: </strong>Treatment with endosulfan at the dose of 3.5 mg/Kg body weight caused a higher degree of degeneration in the reproductive organ of Swiss albino mice . Treatment by this pesticide generated degeneration in long duration of dosage for 3,5 and 7 weeks. Ovaries of endosulfan administered groups showed degenerated germinal epithelium, Graffian follicles and corpus luteum. In testis of endosulfan treated mice, microscopic examination showed that there is significant damage and reduction in the tissue of seminiferous tubules and primordial germ cells. High degree of degeneration caused the disarrangement and deformation of spermatogonia with the decrease in the number of Sertoli cells. Biochemical and hormonal properties was also affected by endosulfan treatment. There was significant 5 folds decrease in the testosterone value of endosulfan in 7 weeks treated mice in comparison to control (p < 0.0001) and similarly there was significant elevation in the estrogen levels found in 7th week endosulfan treated mice. It also influenced the level of free radicals as there was significant decrease (p < 0.0001) in the value in catalase levels in 7 weeks endosulfan treated male and female mice, while significant (p < 0.0001) increase in the values of lipid peroxidation levels as 8 folds and 10 folds in 7 weeks endosulfan treated male and female Swiss albino mice respectively. This study hence speculates that the endosulfan exposed population are at the risk of reproductive health hazards.</p><p><strong>Conclusions: </strong>The present study thus concludes that, endosulfan after 7 weeks of exposure caused significant reproductive damage to both male and female Swiss albino mice groups. Moreover, the karyotyping study also correlated the genotoxic damage in the mice.</p>\",\"PeriodicalId\":17993,\"journal\":{\"name\":\"Laboratory Animal Research\",\"volume\":\"40 1\",\"pages\":\"22\"},\"PeriodicalIF\":2.9000,\"publicationDate\":\"2024-05-22\",\"publicationTypes\":\"Journal Article\",\"fieldsOfStudy\":null,\"isOpenAccess\":false,\"openAccessPdf\":\"https://www.ncbi.nlm.nih.gov/pmc/articles/PMC11110251/pdf/\",\"citationCount\":\"0\",\"resultStr\":null,\"platform\":\"Semanticscholar\",\"paperid\":null,\"PeriodicalName\":\"Laboratory Animal Research\",\"FirstCategoryId\":\"1085\",\"ListUrlMain\":\"https://doi.org/10.1186/s42826-024-00208-4\",\"RegionNum\":0,\"RegionCategory\":null,\"ArticlePicture\":[],\"TitleCN\":null,\"AbstractTextCN\":null,\"PMCID\":null,\"EPubDate\":\"\",\"PubModel\":\"\",\"JCR\":\"Q3\",\"JCRName\":\"MEDICINE, RESEARCH & EXPERIMENTAL\",\"Score\":null,\"Total\":0}","platform":"Semanticscholar","paperid":null,"PeriodicalName":"Laboratory Animal Research","FirstCategoryId":"1085","ListUrlMain":"https://doi.org/10.1186/s42826-024-00208-4","RegionNum":0,"RegionCategory":null,"ArticlePicture":[],"TitleCN":null,"AbstractTextCN":null,"PMCID":null,"EPubDate":"","PubModel":"","JCR":"Q3","JCRName":"MEDICINE, RESEARCH & EXPERIMENTAL","Score":null,"Total":0}
引用次数: 0

摘要

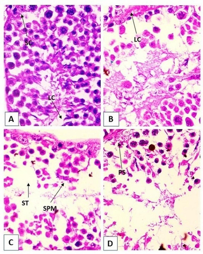
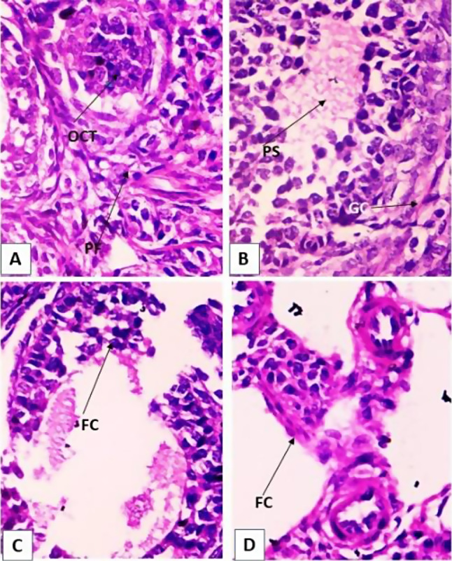
背景:农药中毒已成为一个全球性的健康问题,并通过各种途径对人类健康造成有害影响。接触农药的农村人口会通过皮肤、吸入、口服、食物链等多种途径进入人体系统,从而受到农药有害影响。本研究旨在研究硫丹对雄性(30 只)和雌性(30 只)瑞士白化小鼠的毒性作用。实验采用口服灌胃(口服给药)法给药硫丹,剂量为每天3.5毫克/千克体重,连续给药3周、5周和7周。治疗结束后,小鼠被处死,解剖其卵巢和睾丸组织以检查退化情况。收集血液进行核型、生化和激素分析,以确定农药诱导的遗传毒性。在服用硫丹 7 周后,观察到雌雄小鼠出现了各种异常:结果:剂量为 3.5 毫克/千克体重的硫丹会导致瑞士白化小鼠生殖器官出现较高程度的退化。使用这种杀虫剂进行3周、5周和7周的长期治疗会导致生殖器官退化。硫丹施用组的卵巢显示出生殖上皮、格拉夫卵泡和黄体退化。显微镜检查显示,硫丹处理过的小鼠的睾丸中,曲细精管和原始生殖细胞组织明显受损和减少。高度变性导致精原细胞排列紊乱和畸形,Sertoli细胞数量减少。生化和激素特性也受到硫丹处理的影响。与对照组相比,硫丹处理 7 周的小鼠睾酮值明显下降了 5 倍(p 结论):因此,本研究得出结论:接触硫丹 7 周后,雌性和雄性瑞士白化小鼠的生殖系统都会受到严重损害。此外,核型研究也与小鼠的基因毒性损伤有关。
本文章由计算机程序翻译,如有差异,请以英文原文为准。

Endosulfan induces reproductive & genotoxic effect in male and female Swiss albino mice.

Endosulfan induces reproductive & genotoxic effect in male and female Swiss albino mice.

Endosulfan induces reproductive & genotoxic effect in male and female Swiss albino mice.

Endosulfan induces reproductive & genotoxic effect in male and female Swiss albino mice.

Background: Toxicity by pesticide has become a global health issue and leaves a harmful impact on human health via various ways. The people exposed to pesticides in the rural population get affected by the harmful effects of it as they enter the human body system through skin, inhalation, oral administration, food chain and many more ways. The present work is designed to study the toxic effect of endosulfan in male (n=30) and female (n=30) Swiss albino mice. Endosulfan was administered by oral gavage (oral administration) method, at the dose of 3.5 mg/Kg body weight daily for period of 3 weeks, 5 weeks and 7 weeks. After the completion of the treatment, the mice were sacrificed and their ovary and testis tissues were dissected out to check the degeneration. The blood was collected for karyotyping, biochemical and hormonal analysis of pesticide induced genotoxicity. After 7 weeks of administration with Endosulfan, various abnormalities were observed in male and female mice.

Results: Treatment with endosulfan at the dose of 3.5 mg/Kg body weight caused a higher degree of degeneration in the reproductive organ of Swiss albino mice . Treatment by this pesticide generated degeneration in long duration of dosage for 3,5 and 7 weeks. Ovaries of endosulfan administered groups showed degenerated germinal epithelium, Graffian follicles and corpus luteum. In testis of endosulfan treated mice, microscopic examination showed that there is significant damage and reduction in the tissue of seminiferous tubules and primordial germ cells. High degree of degeneration caused the disarrangement and deformation of spermatogonia with the decrease in the number of Sertoli cells. Biochemical and hormonal properties was also affected by endosulfan treatment. There was significant 5 folds decrease in the testosterone value of endosulfan in 7 weeks treated mice in comparison to control (p < 0.0001) and similarly there was significant elevation in the estrogen levels found in 7th week endosulfan treated mice. It also influenced the level of free radicals as there was significant decrease (p < 0.0001) in the value in catalase levels in 7 weeks endosulfan treated male and female mice, while significant (p < 0.0001) increase in the values of lipid peroxidation levels as 8 folds and 10 folds in 7 weeks endosulfan treated male and female Swiss albino mice respectively. This study hence speculates that the endosulfan exposed population are at the risk of reproductive health hazards.

Conclusions: The present study thus concludes that, endosulfan after 7 weeks of exposure caused significant reproductive damage to both male and female Swiss albino mice groups. Moreover, the karyotyping study also correlated the genotoxic damage in the mice.

求助全文
通过发布文献求助,成功后即可免费获取论文全文。 去求助
来源期刊
CiteScore
4.40
自引率
0.00%
发文量
32
审稿时长
8 weeks
×
引用
GB/T 7714-2015
复制
MLA
复制
APA
复制
导出至
BibTeX EndNote RefMan NoteFirst NoteExpress
×
提示
您的信息不完整,为了账户安全,请先补充。
现在去补充
×
提示
您因"违规操作"
具体请查看互助需知
我知道了
×
提示
确定
请完成安全验证×
copy
已复制链接
快去分享给好友吧!
我知道了
右上角分享
点击右上角分享
0
联系我们:info@booksci.cn Book学术提供免费学术资源搜索服务,方便国内外学者检索中英文文献。致力于提供最便捷和优质的服务体验。 Copyright © 2023 布克学术 All rights reserved.
京ICP备2023020795号-1
ghs 京公网安备 11010802042870号
Book学术文献互助
Book学术文献互助群
群 号:604180095
Book学术官方微信