盎格鲁努比亚山羊胆囊粘膜的超结构组织。

IF 1.1 4区 农林科学 Q3 ZOOLOGY
Veterinary Research Forum Pub Date : 2024-01-01 Epub Date: 2024-03-15 DOI:10.30466/vrf.2024.2011081.4005
Anna Valerievna Prusakova, Nikolay Vyacheslavovich Zelenevskiy, Aleksey Viktorovich Prusakov, Anatoly Viktorovich Yashin, Vladimir Sergeevich Ponamarev
{"title":"盎格鲁努比亚山羊胆囊粘膜的超结构组织。","authors":"Anna Valerievna Prusakova, Nikolay Vyacheslavovich Zelenevskiy, Aleksey Viktorovich Prusakov, Anatoly Viktorovich Yashin, Vladimir Sergeevich Ponamarev","doi":"10.30466/vrf.2024.2011081.4005","DOIUrl":null,"url":null,"abstract":"<p><p>Currently, studies devoted to establish the anatomical and histological patterns of the internal organs organization in animals depending on their species and breed, as well as conditions of detention are the most relevant. The liver morphology in representatives of the ruminant family has not been sufficiently studied. Questions regarding the micro- and ultra-structural organizations of the gallbladder wall remain open. The aim of the study was to establish the ultra-structural organization features of the gallbladder mucous membrane of an Anglo-Nubian goat. The material for the study was the gallbladder wall's fragments of an adult Anglo-Nubian goat. Further processing of the obtained samples was carried out to acquire histological preparations. Ultra-thin sections were photographed in a Jem-1011 electron microscope at magnifications of 2,500 - 3,000. It was found that the gallbladder mucous membrane of an Anglo-Nubian goat is formed by the epithelial layer and its own lamina. The epithelial layer is represented by a single-layer prismatic epithelium. The nuclei are light, with clear contours. The apical surface of epithelial cells forms microvilli and the cytoplasm of the apical pole of cells contains many electron-dense secretory granules. The lateral surfaces of the cells in their apical part are interconnected by tight contacts. The lamina propria is formed by loose connective tissue containing many blood vessels and nerve fibers. Referring to the scientific literature describing possible pathologies of the gallbladder, we can conclude that the picture presented in the results generally corresponds to the position of the gallbladder without pathologies.</p>","PeriodicalId":23989,"journal":{"name":"Veterinary Research Forum","volume":"15 3","pages":"165-169"},"PeriodicalIF":1.1000,"publicationDate":"2024-01-01","publicationTypes":"Journal Article","fieldsOfStudy":null,"isOpenAccess":false,"openAccessPdf":"https://www.ncbi.nlm.nih.gov/pmc/articles/PMC11102583/pdf/","citationCount":"0","resultStr":"{\"title\":\"Ultra-structural organization of the gallbladder mucous membrane of Anglo-Nubian goat.\",\"authors\":\"Anna Valerievna Prusakova, Nikolay Vyacheslavovich Zelenevskiy, Aleksey Viktorovich Prusakov, Anatoly Viktorovich Yashin, Vladimir Sergeevich Ponamarev\",\"doi\":\"10.30466/vrf.2024.2011081.4005\",\"DOIUrl\":null,\"url\":null,\"abstract\":\"<p><p>Currently, studies devoted to establish the anatomical and histological patterns of the internal organs organization in animals depending on their species and breed, as well as conditions of detention are the most relevant. The liver morphology in representatives of the ruminant family has not been sufficiently studied. Questions regarding the micro- and ultra-structural organizations of the gallbladder wall remain open. The aim of the study was to establish the ultra-structural organization features of the gallbladder mucous membrane of an Anglo-Nubian goat. The material for the study was the gallbladder wall's fragments of an adult Anglo-Nubian goat. Further processing of the obtained samples was carried out to acquire histological preparations. Ultra-thin sections were photographed in a Jem-1011 electron microscope at magnifications of 2,500 - 3,000. It was found that the gallbladder mucous membrane of an Anglo-Nubian goat is formed by the epithelial layer and its own lamina. The epithelial layer is represented by a single-layer prismatic epithelium. The nuclei are light, with clear contours. The apical surface of epithelial cells forms microvilli and the cytoplasm of the apical pole of cells contains many electron-dense secretory granules. The lateral surfaces of the cells in their apical part are interconnected by tight contacts. The lamina propria is formed by loose connective tissue containing many blood vessels and nerve fibers. Referring to the scientific literature describing possible pathologies of the gallbladder, we can conclude that the picture presented in the results generally corresponds to the position of the gallbladder without pathologies.</p>\",\"PeriodicalId\":23989,\"journal\":{\"name\":\"Veterinary Research Forum\",\"volume\":\"15 3\",\"pages\":\"165-169\"},\"PeriodicalIF\":1.1000,\"publicationDate\":\"2024-01-01\",\"publicationTypes\":\"Journal Article\",\"fieldsOfStudy\":null,\"isOpenAccess\":false,\"openAccessPdf\":\"https://www.ncbi.nlm.nih.gov/pmc/articles/PMC11102583/pdf/\",\"citationCount\":\"0\",\"resultStr\":null,\"platform\":\"Semanticscholar\",\"paperid\":null,\"PeriodicalName\":\"Veterinary Research Forum\",\"FirstCategoryId\":\"97\",\"ListUrlMain\":\"https://doi.org/10.30466/vrf.2024.2011081.4005\",\"RegionNum\":4,\"RegionCategory\":\"农林科学\",\"ArticlePicture\":[],\"TitleCN\":null,\"AbstractTextCN\":null,\"PMCID\":null,\"EPubDate\":\"2024/3/15 0:00:00\",\"PubModel\":\"Epub\",\"JCR\":\"Q3\",\"JCRName\":\"ZOOLOGY\",\"Score\":null,\"Total\":0}","platform":"Semanticscholar","paperid":null,"PeriodicalName":"Veterinary Research Forum","FirstCategoryId":"97","ListUrlMain":"https://doi.org/10.30466/vrf.2024.2011081.4005","RegionNum":4,"RegionCategory":"农林科学","ArticlePicture":[],"TitleCN":null,"AbstractTextCN":null,"PMCID":null,"EPubDate":"2024/3/15 0:00:00","PubModel":"Epub","JCR":"Q3","JCRName":"ZOOLOGY","Score":null,"Total":0}
引用次数: 0

摘要

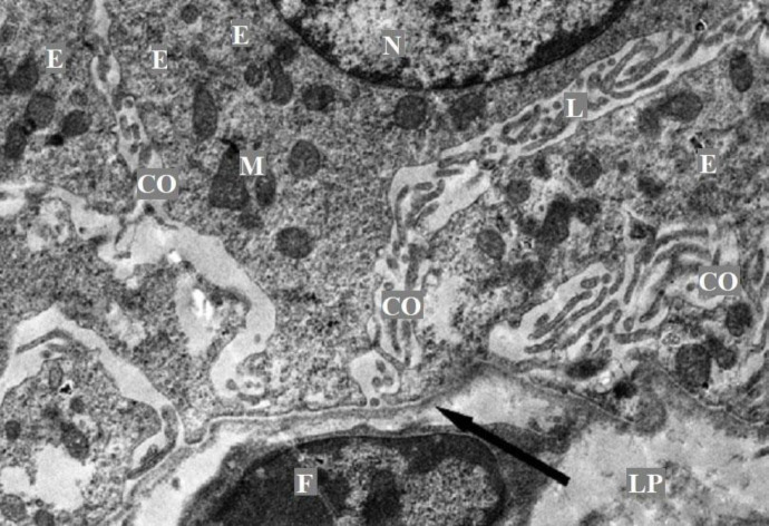
目前,最重要的研究是根据动物的种类和品种以及饲养条件,确定动物内脏器官组织的解剖学和组织学模式。对反刍动物肝脏形态的研究还不够深入。有关胆囊壁的微观和超微结构组织的问题仍未解决。本研究旨在确定盎格鲁努比亚山羊胆囊粘膜的超结构组织特征。研究材料是一只成年盎格鲁-努比亚山羊的胆囊壁碎片。对获得的样本进行了进一步处理,以获得组织学制片。超薄切片在 Jem-1011 电子显微镜下以 2,500 - 3,000 倍的放大率拍摄。结果发现,盎格鲁-努比亚山羊的胆囊粘膜由上皮层和自身的薄层构成。上皮层为单层棱柱形上皮。细胞核颜色浅,轮廓清晰。上皮细胞的顶端表面形成微绒毛,细胞顶端的细胞质中含有许多电子致密的分泌颗粒。细胞顶端部分的侧表面通过紧密接触相互连接。固有层由含有许多血管和神经纤维的疏松结缔组织形成。参考描述胆囊可能病变的科学文献,我们可以得出结论,结果中呈现的情况一般符合无病变胆囊的位置。
本文章由计算机程序翻译,如有差异,请以英文原文为准。

Ultra-structural organization of the gallbladder mucous membrane of Anglo-Nubian goat.

Ultra-structural organization of the gallbladder mucous membrane of Anglo-Nubian goat.

Ultra-structural organization of the gallbladder mucous membrane of Anglo-Nubian goat.

Ultra-structural organization of the gallbladder mucous membrane of Anglo-Nubian goat.

Currently, studies devoted to establish the anatomical and histological patterns of the internal organs organization in animals depending on their species and breed, as well as conditions of detention are the most relevant. The liver morphology in representatives of the ruminant family has not been sufficiently studied. Questions regarding the micro- and ultra-structural organizations of the gallbladder wall remain open. The aim of the study was to establish the ultra-structural organization features of the gallbladder mucous membrane of an Anglo-Nubian goat. The material for the study was the gallbladder wall's fragments of an adult Anglo-Nubian goat. Further processing of the obtained samples was carried out to acquire histological preparations. Ultra-thin sections were photographed in a Jem-1011 electron microscope at magnifications of 2,500 - 3,000. It was found that the gallbladder mucous membrane of an Anglo-Nubian goat is formed by the epithelial layer and its own lamina. The epithelial layer is represented by a single-layer prismatic epithelium. The nuclei are light, with clear contours. The apical surface of epithelial cells forms microvilli and the cytoplasm of the apical pole of cells contains many electron-dense secretory granules. The lateral surfaces of the cells in their apical part are interconnected by tight contacts. The lamina propria is formed by loose connective tissue containing many blood vessels and nerve fibers. Referring to the scientific literature describing possible pathologies of the gallbladder, we can conclude that the picture presented in the results generally corresponds to the position of the gallbladder without pathologies.

求助全文
通过发布文献求助,成功后即可免费获取论文全文。 去求助
来源期刊
Veterinary Research Forum
Veterinary Research Forum Veterinary-General Veterinary
CiteScore
1.50
自引率
0.00%
发文量
0
审稿时长
8 weeks
期刊介绍: Veterinary Research Forum (VRF) is a quarterly international journal committed to publish worldwide contributions on all aspects of veterinary science and medicine, including anatomy and histology, physiology and pharmacology, anatomic and clinical pathology, parasitology, microbiology, immunology and epidemiology, food hygiene, poultry science, fish and aquaculture, anesthesia and surgery, large and small animal internal medicine, large and small animal reproduction, biotechnology and diagnostic imaging of domestic, companion and farm animals.
×
引用
GB/T 7714-2015
复制
MLA
复制
APA
复制
导出至
BibTeX EndNote RefMan NoteFirst NoteExpress
×
提示
您的信息不完整,为了账户安全,请先补充。
现在去补充
×
提示
您因"违规操作"
具体请查看互助需知
我知道了
×
提示
确定
请完成安全验证×
copy
已复制链接
快去分享给好友吧!
我知道了
右上角分享
点击右上角分享
0
联系我们:info@booksci.cn Book学术提供免费学术资源搜索服务,方便国内外学者检索中英文文献。致力于提供最便捷和优质的服务体验。 Copyright © 2023 布克学术 All rights reserved.
京ICP备2023020795号-1
ghs 京公网安备 11010802042870号
Book学术文献互助
Book学术文献互助群
群 号:604180095
Book学术官方微信