伊朗工业化奶牛场布鲁氏菌属循环特征:2016 - 2023 年实地研究。

IF 1.1 4区 农林科学 Q3 ZOOLOGY
Veterinary Research Forum Pub Date : 2024-01-01 Epub Date: 2024-04-15 DOI:10.30466/vrf.2024.2012972.4028
Saeed Alamian, Karim Amiry, Afshar Etemadi, Maryam Dadar
{"title":"伊朗工业化奶牛场布鲁氏菌属循环特征:2016 - 2023 年实地研究。","authors":"Saeed Alamian, Karim Amiry, Afshar Etemadi, Maryam Dadar","doi":"10.30466/vrf.2024.2012972.4028","DOIUrl":null,"url":null,"abstract":"<p><p>Bovine brucellosis, an infectious disease transmitted by <i>Brucella melitensis</i> and <i>Brucella abortus</i>, presents a significant zoonotic risk for agricultural economics and animal health. The primary objective of this study was to present a comprehensive understanding of the prevalence and features of <i>Brucella</i> strains within the industrial dairy farming sector in Iran. Rose Bengal plate test, standard agglutination test, and indirect enzyme linked immunosorbent assay tests were used to confirm all seropositive animals. A total number of 1,311 bovine samples from seropositive animals including were collected from 224 farms in 21 provinces of different regions of Iran and examined. The discovered <i>Brucella</i> isolates were phenotyped and molecularly characterized. The isolates were all <i>B. abortus</i> or <i>B. melitensis</i>. Bacteria analysis revealed that 70.53% of seropositive farms were tested positive for <i>Brucella</i> strains, predominantly <i>B. melitensis</i> biovar 1 (43.42%) and <i>B. abortus</i> biovar 3 (27.11%). Geographical distribution revealed that <i>B. melitensis</i> biovar 1 was the most common in dairy cow farms (16 provinces), followed by <i>B. abortus</i> biovar 3 (six provinces). Also, the prevalence of <i>B. melitensis</i> biovar 2, <i>B. melitensis</i> biovar 3, <i>B. abortus</i> biovar 1, <i>B. abortus</i> biovar 2 and RB51 vaccine were restricted to certain provinces. AMOS (<i>abortus melitensis ovis suis</i>)-polymerase chain reaction and Bruce-ladder PCR confirmed species identification. These results highlighted the complexity of bovine brucellosis in Iran and illustrated that <i>B. melitensis</i> was spread from small ruminants to cattle. This study provided important epidemiological insights for targeting future brucellosis control programs in the Iranian dairy farms.</p>","PeriodicalId":23989,"journal":{"name":"Veterinary Research Forum","volume":"15 4","pages":"195-202"},"PeriodicalIF":1.1000,"publicationDate":"2024-01-01","publicationTypes":"Journal Article","fieldsOfStudy":null,"isOpenAccess":false,"openAccessPdf":"https://www.ncbi.nlm.nih.gov/pmc/articles/PMC11102799/pdf/","citationCount":"0","resultStr":"{\"title\":\"Characterization of <i>Brucella</i> spp. circulating in industrial dairy cattle farms in Iran: a field study 2016 - 2023.\",\"authors\":\"Saeed Alamian, Karim Amiry, Afshar Etemadi, Maryam Dadar\",\"doi\":\"10.30466/vrf.2024.2012972.4028\",\"DOIUrl\":null,\"url\":null,\"abstract\":\"<p><p>Bovine brucellosis, an infectious disease transmitted by <i>Brucella melitensis</i> and <i>Brucella abortus</i>, presents a significant zoonotic risk for agricultural economics and animal health. The primary objective of this study was to present a comprehensive understanding of the prevalence and features of <i>Brucella</i> strains within the industrial dairy farming sector in Iran. Rose Bengal plate test, standard agglutination test, and indirect enzyme linked immunosorbent assay tests were used to confirm all seropositive animals. A total number of 1,311 bovine samples from seropositive animals including were collected from 224 farms in 21 provinces of different regions of Iran and examined. The discovered <i>Brucella</i> isolates were phenotyped and molecularly characterized. The isolates were all <i>B. abortus</i> or <i>B. melitensis</i>. Bacteria analysis revealed that 70.53% of seropositive farms were tested positive for <i>Brucella</i> strains, predominantly <i>B. melitensis</i> biovar 1 (43.42%) and <i>B. abortus</i> biovar 3 (27.11%). Geographical distribution revealed that <i>B. melitensis</i> biovar 1 was the most common in dairy cow farms (16 provinces), followed by <i>B. abortus</i> biovar 3 (six provinces). Also, the prevalence of <i>B. melitensis</i> biovar 2, <i>B. melitensis</i> biovar 3, <i>B. abortus</i> biovar 1, <i>B. abortus</i> biovar 2 and RB51 vaccine were restricted to certain provinces. AMOS (<i>abortus melitensis ovis suis</i>)-polymerase chain reaction and Bruce-ladder PCR confirmed species identification. These results highlighted the complexity of bovine brucellosis in Iran and illustrated that <i>B. melitensis</i> was spread from small ruminants to cattle. This study provided important epidemiological insights for targeting future brucellosis control programs in the Iranian dairy farms.</p>\",\"PeriodicalId\":23989,\"journal\":{\"name\":\"Veterinary Research Forum\",\"volume\":\"15 4\",\"pages\":\"195-202\"},\"PeriodicalIF\":1.1000,\"publicationDate\":\"2024-01-01\",\"publicationTypes\":\"Journal Article\",\"fieldsOfStudy\":null,\"isOpenAccess\":false,\"openAccessPdf\":\"https://www.ncbi.nlm.nih.gov/pmc/articles/PMC11102799/pdf/\",\"citationCount\":\"0\",\"resultStr\":null,\"platform\":\"Semanticscholar\",\"paperid\":null,\"PeriodicalName\":\"Veterinary Research Forum\",\"FirstCategoryId\":\"97\",\"ListUrlMain\":\"https://doi.org/10.30466/vrf.2024.2012972.4028\",\"RegionNum\":4,\"RegionCategory\":\"农林科学\",\"ArticlePicture\":[],\"TitleCN\":null,\"AbstractTextCN\":null,\"PMCID\":null,\"EPubDate\":\"2024/4/15 0:00:00\",\"PubModel\":\"Epub\",\"JCR\":\"Q3\",\"JCRName\":\"ZOOLOGY\",\"Score\":null,\"Total\":0}","platform":"Semanticscholar","paperid":null,"PeriodicalName":"Veterinary Research Forum","FirstCategoryId":"97","ListUrlMain":"https://doi.org/10.30466/vrf.2024.2012972.4028","RegionNum":4,"RegionCategory":"农林科学","ArticlePicture":[],"TitleCN":null,"AbstractTextCN":null,"PMCID":null,"EPubDate":"2024/4/15 0:00:00","PubModel":"Epub","JCR":"Q3","JCRName":"ZOOLOGY","Score":null,"Total":0}
引用次数: 0

摘要

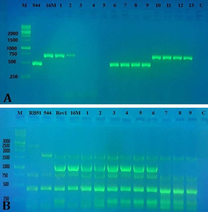
牛布鲁氏杆菌病是一种由黑布鲁氏杆菌和流产布鲁氏杆菌传播的传染病,对农业经济和动物健康构成了重大的人畜共患风险。本研究的主要目的是全面了解伊朗工业化奶牛养殖业中布鲁氏杆菌菌株的流行情况和特征。采用玫瑰红平板试验、标准凝集试验和间接酶联免疫吸附试验来确认所有血清阳性动物。从伊朗不同地区 21 个省的 224 个农场共采集了 1,311 份牛样本,其中包括血清阳性动物,并对其进行了检测。对发现的布鲁氏菌分离物进行了表型和分子鉴定。分离物均为流产布鲁氏菌或梅利特斯布鲁氏菌。细菌分析表明,70.53%的血清阳性猪场布鲁氏菌菌株检测呈阳性,主要是梅里特氏布鲁氏菌生物变种 1(43.42%)和流产布鲁氏菌生物变种 3(27.11%)。地理分布显示,布鲁氏菌生物变种 1 在奶牛场最常见(16 个省),其次是布鲁氏菌生物变种 3(6 个省)。此外,在某些省份,生物变种 2 号、生物变种 3 号、生物变种 1 号、生物变种 2 号和 RB51 疫苗的流行也受到限制。AMOS聚合酶链反应和布鲁斯-梯形聚合酶链反应证实了物种鉴定。这些结果突显了伊朗牛布鲁氏杆菌病的复杂性,并说明梅毒杆菌是从小反刍动物传播到牛的。这项研究为今后伊朗奶牛场布鲁氏菌病防治计划的针对性提供了重要的流行病学见解。
本文章由计算机程序翻译,如有差异,请以英文原文为准。

Characterization of <i>Brucella</i> spp. circulating in industrial dairy cattle farms in Iran: a field study 2016 - 2023.

Characterization of <i>Brucella</i> spp. circulating in industrial dairy cattle farms in Iran: a field study 2016 - 2023.

Characterization of Brucella spp. circulating in industrial dairy cattle farms in Iran: a field study 2016 - 2023.

Bovine brucellosis, an infectious disease transmitted by Brucella melitensis and Brucella abortus, presents a significant zoonotic risk for agricultural economics and animal health. The primary objective of this study was to present a comprehensive understanding of the prevalence and features of Brucella strains within the industrial dairy farming sector in Iran. Rose Bengal plate test, standard agglutination test, and indirect enzyme linked immunosorbent assay tests were used to confirm all seropositive animals. A total number of 1,311 bovine samples from seropositive animals including were collected from 224 farms in 21 provinces of different regions of Iran and examined. The discovered Brucella isolates were phenotyped and molecularly characterized. The isolates were all B. abortus or B. melitensis. Bacteria analysis revealed that 70.53% of seropositive farms were tested positive for Brucella strains, predominantly B. melitensis biovar 1 (43.42%) and B. abortus biovar 3 (27.11%). Geographical distribution revealed that B. melitensis biovar 1 was the most common in dairy cow farms (16 provinces), followed by B. abortus biovar 3 (six provinces). Also, the prevalence of B. melitensis biovar 2, B. melitensis biovar 3, B. abortus biovar 1, B. abortus biovar 2 and RB51 vaccine were restricted to certain provinces. AMOS (abortus melitensis ovis suis)-polymerase chain reaction and Bruce-ladder PCR confirmed species identification. These results highlighted the complexity of bovine brucellosis in Iran and illustrated that B. melitensis was spread from small ruminants to cattle. This study provided important epidemiological insights for targeting future brucellosis control programs in the Iranian dairy farms.

求助全文
通过发布文献求助,成功后即可免费获取论文全文。 去求助
来源期刊
Veterinary Research Forum
Veterinary Research Forum Veterinary-General Veterinary
CiteScore
1.50
自引率
0.00%
发文量
0
审稿时长
8 weeks
期刊介绍: Veterinary Research Forum (VRF) is a quarterly international journal committed to publish worldwide contributions on all aspects of veterinary science and medicine, including anatomy and histology, physiology and pharmacology, anatomic and clinical pathology, parasitology, microbiology, immunology and epidemiology, food hygiene, poultry science, fish and aquaculture, anesthesia and surgery, large and small animal internal medicine, large and small animal reproduction, biotechnology and diagnostic imaging of domestic, companion and farm animals.
×
引用
GB/T 7714-2015
复制
MLA
复制
APA
复制
导出至
BibTeX EndNote RefMan NoteFirst NoteExpress
×
提示
您的信息不完整,为了账户安全,请先补充。
现在去补充
×
提示
您因"违规操作"
具体请查看互助需知
我知道了
×
提示
确定
请完成安全验证×
copy
已复制链接
快去分享给好友吧!
我知道了
右上角分享
点击右上角分享
0
联系我们:info@booksci.cn Book学术提供免费学术资源搜索服务,方便国内外学者检索中英文文献。致力于提供最便捷和优质的服务体验。 Copyright © 2023 布克学术 All rights reserved.
京ICP备2023020795号-1
ghs 京公网安备 11010802042870号
Book学术文献互助
Book学术文献互助群
群 号:604180095
Book学术官方微信