伴有脱发的光分布性苔藓样变:格雷厄姆-利特尔-皮卡迪-拉瑟尔综合征的独特表现

Q2 Medicine
International Journal of Trichology Pub Date : 2023-07-01 Epub Date: 2024-04-05 DOI:10.4103/ijt.ijt_47_22
Austin Ambur, Aashni Bhukhan, Charles Dunn, Rajiv Nathoo
{"title":"伴有脱发的光分布性苔藓样变:格雷厄姆-利特尔-皮卡迪-拉瑟尔综合征的独特表现","authors":"Austin Ambur, Aashni Bhukhan, Charles Dunn, Rajiv Nathoo","doi":"10.4103/ijt.ijt_47_22","DOIUrl":null,"url":null,"abstract":"<p><p>Graham-Little-Piccardi-Lasseur syndrome (GLPLS) is characterized by diffuse alopecia and a lichenoid follicular eruption affecting the scalp, eyebrows, and intertriginous regions. It is considered a variant of lichen planopilaris. The condition often begins as hyperkeratotic papules on the trunk and extremities followed by the development of alopecia. Several subtypes of lichen planus have been associated with a photodistriubuted eruption including lichenoid drug reactions, actinic lichen planus, and lichen planus pigmentosus; however, there are no reported cases associated with GLPLS. We herein report the first case of GLPLS displaying a photodistributed lichenoid eruption to expand upon the differential diagnosis of photoaggravated conditions. We also use this case to review the pathophysiology and therapeutic modalities to manage GLPLS.</p>","PeriodicalId":14417,"journal":{"name":"International Journal of Trichology","volume":"15 4","pages":"154-156"},"PeriodicalIF":0.0000,"publicationDate":"2023-07-01","publicationTypes":"Journal Article","fieldsOfStudy":null,"isOpenAccess":false,"openAccessPdf":"https://www.ncbi.nlm.nih.gov/pmc/articles/PMC11098140/pdf/","citationCount":"0","resultStr":"{\"title\":\"Photodistributed Lichenoid Eruption with Alopecia: A Unique Presentation of Graham-Little-Piccardi-Lasseur Syndrome.\",\"authors\":\"Austin Ambur, Aashni Bhukhan, Charles Dunn, Rajiv Nathoo\",\"doi\":\"10.4103/ijt.ijt_47_22\",\"DOIUrl\":null,\"url\":null,\"abstract\":\"<p><p>Graham-Little-Piccardi-Lasseur syndrome (GLPLS) is characterized by diffuse alopecia and a lichenoid follicular eruption affecting the scalp, eyebrows, and intertriginous regions. It is considered a variant of lichen planopilaris. The condition often begins as hyperkeratotic papules on the trunk and extremities followed by the development of alopecia. Several subtypes of lichen planus have been associated with a photodistriubuted eruption including lichenoid drug reactions, actinic lichen planus, and lichen planus pigmentosus; however, there are no reported cases associated with GLPLS. We herein report the first case of GLPLS displaying a photodistributed lichenoid eruption to expand upon the differential diagnosis of photoaggravated conditions. We also use this case to review the pathophysiology and therapeutic modalities to manage GLPLS.</p>\",\"PeriodicalId\":14417,\"journal\":{\"name\":\"International Journal of Trichology\",\"volume\":\"15 4\",\"pages\":\"154-156\"},\"PeriodicalIF\":0.0000,\"publicationDate\":\"2023-07-01\",\"publicationTypes\":\"Journal Article\",\"fieldsOfStudy\":null,\"isOpenAccess\":false,\"openAccessPdf\":\"https://www.ncbi.nlm.nih.gov/pmc/articles/PMC11098140/pdf/\",\"citationCount\":\"0\",\"resultStr\":null,\"platform\":\"Semanticscholar\",\"paperid\":null,\"PeriodicalName\":\"International Journal of Trichology\",\"FirstCategoryId\":\"1085\",\"ListUrlMain\":\"https://doi.org/10.4103/ijt.ijt_47_22\",\"RegionNum\":0,\"RegionCategory\":null,\"ArticlePicture\":[],\"TitleCN\":null,\"AbstractTextCN\":null,\"PMCID\":null,\"EPubDate\":\"2024/4/5 0:00:00\",\"PubModel\":\"Epub\",\"JCR\":\"Q2\",\"JCRName\":\"Medicine\",\"Score\":null,\"Total\":0}","platform":"Semanticscholar","paperid":null,"PeriodicalName":"International Journal of Trichology","FirstCategoryId":"1085","ListUrlMain":"https://doi.org/10.4103/ijt.ijt_47_22","RegionNum":0,"RegionCategory":null,"ArticlePicture":[],"TitleCN":null,"AbstractTextCN":null,"PMCID":null,"EPubDate":"2024/4/5 0:00:00","PubModel":"Epub","JCR":"Q2","JCRName":"Medicine","Score":null,"Total":0}
引用次数: 0

摘要

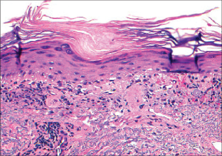
格雷厄姆-利特尔-皮卡迪-拉瑟尔综合征(GLPLS)的特征是弥漫性脱发和影响头皮、眉毛和三叉神经间区域的苔藓样毛囊性糜烂。它被认为是扁平苔藓的一种变异型。这种病通常先在躯干和四肢出现角化过度的丘疹,然后发展为脱发。有几种亚型的扁平苔藓与光敏性糜烂有关,包括类苔藓药物反应、光化性扁平苔藓和色素性扁平苔藓;但目前还没有与 GLPLS 相关的病例报道。我们在此报告首例显示光分布性苔藓样疹子的 GLPLS 病例,以扩大光加重病症的鉴别诊断范围。我们还通过这个病例回顾了病理生理学和治疗 GLPLS 的方法。
本文章由计算机程序翻译,如有差异,请以英文原文为准。

Photodistributed Lichenoid Eruption with Alopecia: A Unique Presentation of Graham-Little-Piccardi-Lasseur Syndrome.

Photodistributed Lichenoid Eruption with Alopecia: A Unique Presentation of Graham-Little-Piccardi-Lasseur Syndrome.

Photodistributed Lichenoid Eruption with Alopecia: A Unique Presentation of Graham-Little-Piccardi-Lasseur Syndrome.

Photodistributed Lichenoid Eruption with Alopecia: A Unique Presentation of Graham-Little-Piccardi-Lasseur Syndrome.

Graham-Little-Piccardi-Lasseur syndrome (GLPLS) is characterized by diffuse alopecia and a lichenoid follicular eruption affecting the scalp, eyebrows, and intertriginous regions. It is considered a variant of lichen planopilaris. The condition often begins as hyperkeratotic papules on the trunk and extremities followed by the development of alopecia. Several subtypes of lichen planus have been associated with a photodistriubuted eruption including lichenoid drug reactions, actinic lichen planus, and lichen planus pigmentosus; however, there are no reported cases associated with GLPLS. We herein report the first case of GLPLS displaying a photodistributed lichenoid eruption to expand upon the differential diagnosis of photoaggravated conditions. We also use this case to review the pathophysiology and therapeutic modalities to manage GLPLS.

求助全文
通过发布文献求助,成功后即可免费获取论文全文。 去求助
来源期刊
CiteScore
1.50
自引率
0.00%
发文量
38
×
引用
GB/T 7714-2015
复制
MLA
复制
APA
复制
导出至
BibTeX EndNote RefMan NoteFirst NoteExpress
×
提示
您的信息不完整,为了账户安全,请先补充。
现在去补充
×
提示
您因"违规操作"
具体请查看互助需知
我知道了
×
提示
确定
请完成安全验证×
copy
已复制链接
快去分享给好友吧!
我知道了
右上角分享
点击右上角分享
0
联系我们:info@booksci.cn Book学术提供免费学术资源搜索服务,方便国内外学者检索中英文文献。致力于提供最便捷和优质的服务体验。 Copyright © 2023 布克学术 All rights reserved.
京ICP备2023020795号-1
ghs 京公网安备 11010802042870号
Book学术文献互助
Book学术文献互助群
群 号:604180095
Book学术官方微信