结合白蛋白原位杂交和 C 反应蛋白免疫组化分析诊断肝内胆管癌:迈向分子分类范式。

IF 2 4区 医学 Q2 PATHOLOGY
Thomas Albrecht, Annik Rossberg, Fabian Rose, Kai Breuhahn, Eva-Marie Baumann, Marcell Tóth, Fritz Brinkmann, Alphonse Charbel, Monika Nadja Vogel, Bruno Köhler, Arianeb Mehrabi, Markus Wolfgang Büchler, Stephan Singer, Wiebke Solass, Beate Straub, Peter Schirmacher, Stephanie Roessler, Benjamin Goeppert
{"title":"结合白蛋白原位杂交和 C 反应蛋白免疫组化分析诊断肝内胆管癌:迈向分子分类范式。","authors":"Thomas Albrecht, Annik Rossberg, Fabian Rose, Kai Breuhahn, Eva-Marie Baumann, Marcell Tóth, Fritz Brinkmann, Alphonse Charbel, Monika Nadja Vogel, Bruno Köhler, Arianeb Mehrabi, Markus Wolfgang Büchler, Stephan Singer, Wiebke Solass, Beate Straub, Peter Schirmacher, Stephanie Roessler, Benjamin Goeppert","doi":"10.1136/jcp-2024-209429","DOIUrl":null,"url":null,"abstract":"<p><strong>Aims: </strong>Intrahepatic cholangiocarcinoma (iCCA) is a diagnosis of exclusion that can pose a challenge to the pathologist despite thorough clinical workup. Although several immunohistochemical markers have been proposed for iCCA, none of them reached clinical practice. We here assessed the combined usage of two promising diagnostic approaches, albumin in situ hybridisation (Alb-ISH) and C reactive protein (CRP) immunohistochemistry, for distinguishing iCCA from other adenocarcinoma primaries.</p><p><strong>Methods: </strong>We conducted Alb-ISH and CRP immunohistochemistry in a large European iCCA cohort (n=153) and compared the results with a spectrum of other glandular adenocarcinomas of different origin (n=885). In addition, we correlated expression patterns with clinicopathological information and mutation data.</p><p><strong>Results: </strong>Alb-ISH was highly specific for iCCA (specificity 98.8%) with almost complete negativity in perihilar CCA and only rare positives among other adenocarcinomas (sensitivity 69.5%). CRP identified the vast majority of iCCA cases (sensitivity 84.1%) at a lower specificity of 86.4%. Strikingly, the combination of CRP and Alb-ISH boosted the diagnostic sensitivity to 88.0% while retaining a considerable specificity of 86.1%. Alb-ISH significantly correlated with CRP expression, specific tumour morphologies and small or large duct iCCA subtypes. Neither Alb-ISH nor CRP was associated with iCCA patient survival. 16 of 17 recurrent mutations in either IDH1, IDH2 and FGFR2 affected Alb-ISH positive cases, while the only KRAS mutation corresponded to an Alb-ISH negative case.</p><p><strong>Conclusions: </strong>In conclusion, we propose a sequential diagnostic approach for iCCA, integrating CRP immunohistochemistry and Alb-ISH. This may improve the accuracy of CCA classification and pave the way towards a molecular-guided CCA classification.</p>","PeriodicalId":15391,"journal":{"name":"Journal of Clinical Pathology","volume":" ","pages":"307-316"},"PeriodicalIF":2.0000,"publicationDate":"2025-04-17","publicationTypes":"Journal Article","fieldsOfStudy":null,"isOpenAccess":false,"openAccessPdf":"https://www.ncbi.nlm.nih.gov/pmc/articles/PMC12015024/pdf/","citationCount":"0","resultStr":"{\"title\":\"Combined analysis of albumin in situ hybridisation and C reactive protein immunohistochemistry for the diagnosis of intrahepatic cholangiocarcinoma: towards a molecular classification paradigm.\",\"authors\":\"Thomas Albrecht, Annik Rossberg, Fabian Rose, Kai Breuhahn, Eva-Marie Baumann, Marcell Tóth, Fritz Brinkmann, Alphonse Charbel, Monika Nadja Vogel, Bruno Köhler, Arianeb Mehrabi, Markus Wolfgang Büchler, Stephan Singer, Wiebke Solass, Beate Straub, Peter Schirmacher, Stephanie Roessler, Benjamin Goeppert\",\"doi\":\"10.1136/jcp-2024-209429\",\"DOIUrl\":null,\"url\":null,\"abstract\":\"<p><strong>Aims: </strong>Intrahepatic cholangiocarcinoma (iCCA) is a diagnosis of exclusion that can pose a challenge to the pathologist despite thorough clinical workup. Although several immunohistochemical markers have been proposed for iCCA, none of them reached clinical practice. We here assessed the combined usage of two promising diagnostic approaches, albumin in situ hybridisation (Alb-ISH) and C reactive protein (CRP) immunohistochemistry, for distinguishing iCCA from other adenocarcinoma primaries.</p><p><strong>Methods: </strong>We conducted Alb-ISH and CRP immunohistochemistry in a large European iCCA cohort (n=153) and compared the results with a spectrum of other glandular adenocarcinomas of different origin (n=885). In addition, we correlated expression patterns with clinicopathological information and mutation data.</p><p><strong>Results: </strong>Alb-ISH was highly specific for iCCA (specificity 98.8%) with almost complete negativity in perihilar CCA and only rare positives among other adenocarcinomas (sensitivity 69.5%). CRP identified the vast majority of iCCA cases (sensitivity 84.1%) at a lower specificity of 86.4%. Strikingly, the combination of CRP and Alb-ISH boosted the diagnostic sensitivity to 88.0% while retaining a considerable specificity of 86.1%. Alb-ISH significantly correlated with CRP expression, specific tumour morphologies and small or large duct iCCA subtypes. Neither Alb-ISH nor CRP was associated with iCCA patient survival. 16 of 17 recurrent mutations in either IDH1, IDH2 and FGFR2 affected Alb-ISH positive cases, while the only KRAS mutation corresponded to an Alb-ISH negative case.</p><p><strong>Conclusions: </strong>In conclusion, we propose a sequential diagnostic approach for iCCA, integrating CRP immunohistochemistry and Alb-ISH. This may improve the accuracy of CCA classification and pave the way towards a molecular-guided CCA classification.</p>\",\"PeriodicalId\":15391,\"journal\":{\"name\":\"Journal of Clinical Pathology\",\"volume\":\" \",\"pages\":\"307-316\"},\"PeriodicalIF\":2.0000,\"publicationDate\":\"2025-04-17\",\"publicationTypes\":\"Journal Article\",\"fieldsOfStudy\":null,\"isOpenAccess\":false,\"openAccessPdf\":\"https://www.ncbi.nlm.nih.gov/pmc/articles/PMC12015024/pdf/\",\"citationCount\":\"0\",\"resultStr\":null,\"platform\":\"Semanticscholar\",\"paperid\":null,\"PeriodicalName\":\"Journal of Clinical Pathology\",\"FirstCategoryId\":\"3\",\"ListUrlMain\":\"https://doi.org/10.1136/jcp-2024-209429\",\"RegionNum\":4,\"RegionCategory\":\"医学\",\"ArticlePicture\":[],\"TitleCN\":null,\"AbstractTextCN\":null,\"PMCID\":null,\"EPubDate\":\"\",\"PubModel\":\"\",\"JCR\":\"Q2\",\"JCRName\":\"PATHOLOGY\",\"Score\":null,\"Total\":0}","platform":"Semanticscholar","paperid":null,"PeriodicalName":"Journal of Clinical Pathology","FirstCategoryId":"3","ListUrlMain":"https://doi.org/10.1136/jcp-2024-209429","RegionNum":4,"RegionCategory":"医学","ArticlePicture":[],"TitleCN":null,"AbstractTextCN":null,"PMCID":null,"EPubDate":"","PubModel":"","JCR":"Q2","JCRName":"PATHOLOGY","Score":null,"Total":0}
引用次数: 0

摘要

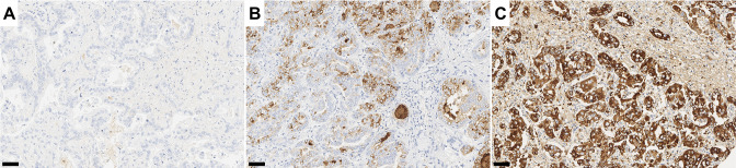
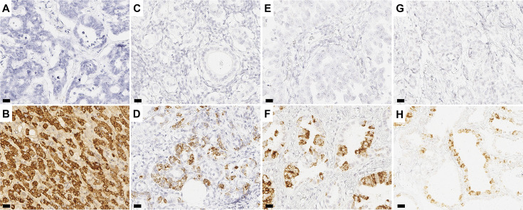
目的:肝内胆管癌(iCCA)是一种排除性诊断,尽管进行了全面的临床检查,但仍会给病理学家带来挑战。虽然已经提出了几种 iCCA 的免疫组化标记物,但没有一种能用于临床实践。我们在此评估了白蛋白原位杂交(Alb-ISH)和C反应蛋白(CRP)免疫组化这两种有前途的诊断方法的联合使用情况,以区分iCCA和其他腺癌原发灶:我们在一个大型欧洲 iCCA 队列(人数=153)中进行了 Alb-ISH 和 CRP 免疫组化,并将结果与不同来源的其他腺癌(人数=885)进行了比较。此外,我们还将表达模式与临床病理信息和突变数据进行了关联:结果:Alb-ISH 对 iCCA 具有高度特异性(特异性为 98.8%),对周围型 CCA 几乎完全阴性,而对其他腺癌只有极少数阳性(敏感性为 69.5%)。CRP 能识别绝大多数 iCCA 病例(灵敏度 84.1%),但特异性较低,仅为 86.4%。引人注目的是,CRP 和 Alb-ISH 的组合将诊断灵敏度提高到了 88.0%,同时保留了 86.1% 的相当高的特异性。Alb-ISH 与 CRP 表达、特定肿瘤形态和小导管或大导管 iCCA 亚型有明显相关性。Alb-ISH 和 CRP 均与 iCCA 患者的存活率无关。IDH1、IDH2和FGFR2的17个复发性突变中有16个影响到Alb-ISH阳性病例,而唯一的KRAS突变与Alb-ISH阴性病例相对应:总之,我们提出了一种整合 CRP 免疫组化和 Alb-ISH 的 iCCA 序列诊断方法。这可能会提高 CCA 分类的准确性,并为实现分子引导的 CCA 分类铺平道路。
本文章由计算机程序翻译,如有差异,请以英文原文为准。

Combined analysis of albumin in situ hybridisation and C reactive protein immunohistochemistry for the diagnosis of intrahepatic cholangiocarcinoma: towards a molecular classification paradigm.

Combined analysis of albumin in situ hybridisation and C reactive protein immunohistochemistry for the diagnosis of intrahepatic cholangiocarcinoma: towards a molecular classification paradigm.

Combined analysis of albumin in situ hybridisation and C reactive protein immunohistochemistry for the diagnosis of intrahepatic cholangiocarcinoma: towards a molecular classification paradigm.

Combined analysis of albumin in situ hybridisation and C reactive protein immunohistochemistry for the diagnosis of intrahepatic cholangiocarcinoma: towards a molecular classification paradigm.

Aims: Intrahepatic cholangiocarcinoma (iCCA) is a diagnosis of exclusion that can pose a challenge to the pathologist despite thorough clinical workup. Although several immunohistochemical markers have been proposed for iCCA, none of them reached clinical practice. We here assessed the combined usage of two promising diagnostic approaches, albumin in situ hybridisation (Alb-ISH) and C reactive protein (CRP) immunohistochemistry, for distinguishing iCCA from other adenocarcinoma primaries.

Methods: We conducted Alb-ISH and CRP immunohistochemistry in a large European iCCA cohort (n=153) and compared the results with a spectrum of other glandular adenocarcinomas of different origin (n=885). In addition, we correlated expression patterns with clinicopathological information and mutation data.

Results: Alb-ISH was highly specific for iCCA (specificity 98.8%) with almost complete negativity in perihilar CCA and only rare positives among other adenocarcinomas (sensitivity 69.5%). CRP identified the vast majority of iCCA cases (sensitivity 84.1%) at a lower specificity of 86.4%. Strikingly, the combination of CRP and Alb-ISH boosted the diagnostic sensitivity to 88.0% while retaining a considerable specificity of 86.1%. Alb-ISH significantly correlated with CRP expression, specific tumour morphologies and small or large duct iCCA subtypes. Neither Alb-ISH nor CRP was associated with iCCA patient survival. 16 of 17 recurrent mutations in either IDH1, IDH2 and FGFR2 affected Alb-ISH positive cases, while the only KRAS mutation corresponded to an Alb-ISH negative case.

Conclusions: In conclusion, we propose a sequential diagnostic approach for iCCA, integrating CRP immunohistochemistry and Alb-ISH. This may improve the accuracy of CCA classification and pave the way towards a molecular-guided CCA classification.

求助全文
通过发布文献求助,成功后即可免费获取论文全文。 去求助
来源期刊
CiteScore
7.80
自引率
2.90%
发文量
113
审稿时长
3-8 weeks
期刊介绍: Journal of Clinical Pathology is a leading international journal covering all aspects of pathology. Diagnostic and research areas covered include histopathology, virology, haematology, microbiology, cytopathology, chemical pathology, molecular pathology, forensic pathology, dermatopathology, neuropathology and immunopathology. Each issue contains Reviews, Original articles, Short reports, Correspondence and more.
×
引用
GB/T 7714-2015
复制
MLA
复制
APA
复制
导出至
BibTeX EndNote RefMan NoteFirst NoteExpress
×
提示
您的信息不完整,为了账户安全,请先补充。
现在去补充
×
提示
您因"违规操作"
具体请查看互助需知
我知道了
×
提示
确定
请完成安全验证×
copy
已复制链接
快去分享给好友吧!
我知道了
右上角分享
点击右上角分享
0
联系我们:info@booksci.cn Book学术提供免费学术资源搜索服务,方便国内外学者检索中英文文献。致力于提供最便捷和优质的服务体验。 Copyright © 2023 布克学术 All rights reserved.
京ICP备2023020795号-1
ghs 京公网安备 11010802042870号
Book学术文献互助
Book学术文献互助群
群 号:604180095
Book学术官方微信