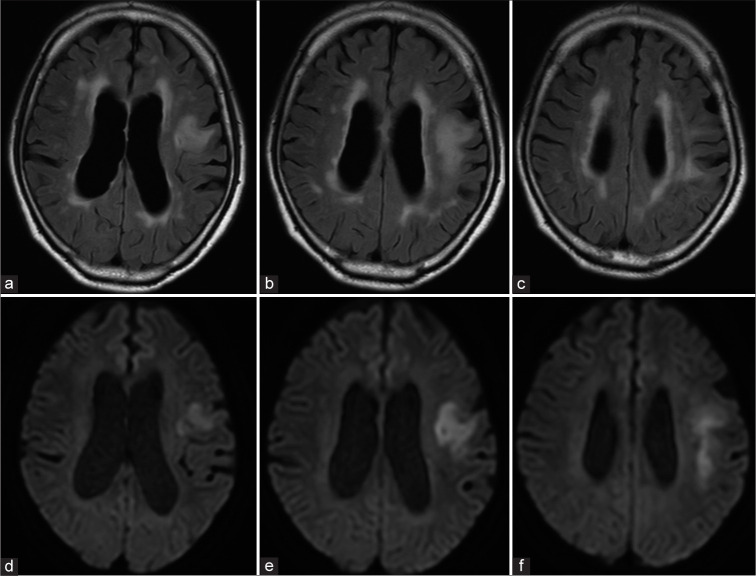
与利妥昔单抗治疗相关的进行性多灶性白质脑病。

IF 0.9 Q4 CLINICAL NEUROLOGY
Journal of Neurosciences in Rural Practice Pub Date : 2024-04-01 Epub Date: 2024-02-07 DOI:10.25259/JNRP_434_2023
Hiroshi Yokota, Yoshihiko Hoshida, Kotaro Watanabe, Tomonori Yamada
{"title":"与利妥昔单抗治疗相关的进行性多灶性白质脑病。","authors":"Hiroshi Yokota, Yoshihiko Hoshida, Kotaro Watanabe, Tomonori Yamada","doi":"10.25259/JNRP_434_2023","DOIUrl":null,"url":null,"abstract":"","PeriodicalId":16443,"journal":{"name":"Journal of Neurosciences in Rural Practice","volume":"15 2","pages":"396-398"},"PeriodicalIF":0.9000,"publicationDate":"2024-04-01","publicationTypes":"Journal Article","fieldsOfStudy":null,"isOpenAccess":false,"openAccessPdf":"https://www.ncbi.nlm.nih.gov/pmc/articles/PMC11090539/pdf/","citationCount":"0","resultStr":"{\"title\":\"Progressive multifocal leukoencephalopathy associated with rituximab treatment.\",\"authors\":\"Hiroshi Yokota, Yoshihiko Hoshida, Kotaro Watanabe, Tomonori Yamada\",\"doi\":\"10.25259/JNRP_434_2023\",\"DOIUrl\":null,\"url\":null,\"abstract\":\"\",\"PeriodicalId\":16443,\"journal\":{\"name\":\"Journal of Neurosciences in Rural Practice\",\"volume\":\"15 2\",\"pages\":\"396-398\"},\"PeriodicalIF\":0.9000,\"publicationDate\":\"2024-04-01\",\"publicationTypes\":\"Journal Article\",\"fieldsOfStudy\":null,\"isOpenAccess\":false,\"openAccessPdf\":\"https://www.ncbi.nlm.nih.gov/pmc/articles/PMC11090539/pdf/\",\"citationCount\":\"0\",\"resultStr\":null,\"platform\":\"Semanticscholar\",\"paperid\":null,\"PeriodicalName\":\"Journal of Neurosciences in Rural Practice\",\"FirstCategoryId\":\"1085\",\"ListUrlMain\":\"https://doi.org/10.25259/JNRP_434_2023\",\"RegionNum\":0,\"RegionCategory\":null,\"ArticlePicture\":[],\"TitleCN\":null,\"AbstractTextCN\":null,\"PMCID\":null,\"EPubDate\":\"2024/2/7 0:00:00\",\"PubModel\":\"Epub\",\"JCR\":\"Q4\",\"JCRName\":\"CLINICAL NEUROLOGY\",\"Score\":null,\"Total\":0}","platform":"Semanticscholar","paperid":null,"PeriodicalName":"Journal of Neurosciences in Rural Practice","FirstCategoryId":"1085","ListUrlMain":"https://doi.org/10.25259/JNRP_434_2023","RegionNum":0,"RegionCategory":null,"ArticlePicture":[],"TitleCN":null,"AbstractTextCN":null,"PMCID":null,"EPubDate":"2024/2/7 0:00:00","PubModel":"Epub","JCR":"Q4","JCRName":"CLINICAL NEUROLOGY","Score":null,"Total":0}
引用次数: 0

摘要

本文章由计算机程序翻译,如有差异,请以英文原文为准。

Progressive multifocal leukoencephalopathy associated with rituximab treatment.

Progressive multifocal leukoencephalopathy associated with rituximab treatment.

Progressive multifocal leukoencephalopathy associated with rituximab treatment.
求助全文
通过发布文献求助,成功后即可免费获取论文全文。 去求助
来源期刊
CiteScore
2.10
自引率
0.00%
发文量
129
审稿时长
22 weeks
×
引用
GB/T 7714-2015
复制
MLA
复制
APA
复制
导出至
BibTeX EndNote RefMan NoteFirst NoteExpress
×
提示
您的信息不完整,为了账户安全,请先补充。
现在去补充
×
提示
您因"违规操作"
具体请查看互助需知
我知道了
×
提示
确定
请完成安全验证×
copy
已复制链接
快去分享给好友吧!
我知道了
右上角分享
点击右上角分享
0
联系我们:info@booksci.cn Book学术提供免费学术资源搜索服务,方便国内外学者检索中英文文献。致力于提供最便捷和优质的服务体验。 Copyright © 2023 布克学术 All rights reserved.
京ICP备2023020795号-1
ghs 京公网安备 11010802042870号
Book学术文献互助
Book学术文献互助群
群 号:604180095
Book学术官方微信
小红书