念珠菌和放线菌合并感染引起的气管食管瘘:病例报告和文献综述。

European journal of microbiology & immunology Pub Date : 2024-05-13 Print Date: 2024-09-11 DOI:10.1556/1886.2024.00043
A Teshon, R Reyes, D P Schammel, O Corso, C Schammel, P Kent, A M Devane
{"title":"念珠菌和放线菌合并感染引起的气管食管瘘:病例报告和文献综述。","authors":"A Teshon, R Reyes, D P Schammel, O Corso, C Schammel, P Kent, A M Devane","doi":"10.1556/1886.2024.00043","DOIUrl":null,"url":null,"abstract":"<p><p>Acquired benign tracheoesophageal fistulas and bronchoesophageal fistulas (TEF) are typically associated with granulomatous mediastinal infections, 75% of which are iatrogenic. Candida albicans and Actinomyces are commonly occurring organisms, but are uncommon etiologies of TEF. Normal colonization and the slow growth characteristics of some species of these agents rarely result in infection, mycetoma, and broncholithiasis, and thus, delays in diagnosis and treatment are likely. Few reports describe C. albicans or Actinomyces spp. as the etiology of TEF or broncholithiasis. Herein, we report a case of benign acquired TEF secondary to coinfection of Candida and Actinomyces complicated by the formation of an actinomycetoma and broncholithiasis and a comprehensive literature review to highlight the unique nature of this presentation and offer a diagnostic algorithm for diagnosis and treatment of TEFs. Following a presentation of three months of productive cough, choking sensation, night sweats, and weight loss, a bronchoscopy revealed a fistulous connection between the esophagus and the posterior right middle lobe. Pathology identified a calcified fungus ball and a broncholith secondary to the co-infection of Candida and Actinomyces. This unique presentation of Candida and Actinomyces co-infection and the associated diagnostic algorithm are presented as education and a useful tool for clinicians.</p>","PeriodicalId":93998,"journal":{"name":"European journal of microbiology & immunology","volume":" ","pages":"296-307"},"PeriodicalIF":0.0000,"publicationDate":"2024-05-13","publicationTypes":"Journal Article","fieldsOfStudy":null,"isOpenAccess":false,"openAccessPdf":"https://www.ncbi.nlm.nih.gov/pmc/articles/PMC11393647/pdf/","citationCount":"0","resultStr":"{\"title\":\"Tracheoesophageal fistula due to Candida and Actinomyces co-infection: A case report and comprehensive review of the literature.\",\"authors\":\"A Teshon, R Reyes, D P Schammel, O Corso, C Schammel, P Kent, A M Devane\",\"doi\":\"10.1556/1886.2024.00043\",\"DOIUrl\":null,\"url\":null,\"abstract\":\"<p><p>Acquired benign tracheoesophageal fistulas and bronchoesophageal fistulas (TEF) are typically associated with granulomatous mediastinal infections, 75% of which are iatrogenic. Candida albicans and Actinomyces are commonly occurring organisms, but are uncommon etiologies of TEF. Normal colonization and the slow growth characteristics of some species of these agents rarely result in infection, mycetoma, and broncholithiasis, and thus, delays in diagnosis and treatment are likely. Few reports describe C. albicans or Actinomyces spp. as the etiology of TEF or broncholithiasis. Herein, we report a case of benign acquired TEF secondary to coinfection of Candida and Actinomyces complicated by the formation of an actinomycetoma and broncholithiasis and a comprehensive literature review to highlight the unique nature of this presentation and offer a diagnostic algorithm for diagnosis and treatment of TEFs. Following a presentation of three months of productive cough, choking sensation, night sweats, and weight loss, a bronchoscopy revealed a fistulous connection between the esophagus and the posterior right middle lobe. Pathology identified a calcified fungus ball and a broncholith secondary to the co-infection of Candida and Actinomyces. This unique presentation of Candida and Actinomyces co-infection and the associated diagnostic algorithm are presented as education and a useful tool for clinicians.</p>\",\"PeriodicalId\":93998,\"journal\":{\"name\":\"European journal of microbiology & immunology\",\"volume\":\" \",\"pages\":\"296-307\"},\"PeriodicalIF\":0.0000,\"publicationDate\":\"2024-05-13\",\"publicationTypes\":\"Journal Article\",\"fieldsOfStudy\":null,\"isOpenAccess\":false,\"openAccessPdf\":\"https://www.ncbi.nlm.nih.gov/pmc/articles/PMC11393647/pdf/\",\"citationCount\":\"0\",\"resultStr\":null,\"platform\":\"Semanticscholar\",\"paperid\":null,\"PeriodicalName\":\"European journal of microbiology & immunology\",\"FirstCategoryId\":\"1085\",\"ListUrlMain\":\"https://doi.org/10.1556/1886.2024.00043\",\"RegionNum\":0,\"RegionCategory\":null,\"ArticlePicture\":[],\"TitleCN\":null,\"AbstractTextCN\":null,\"PMCID\":null,\"EPubDate\":\"2024/9/11 0:00:00\",\"PubModel\":\"Print\",\"JCR\":\"\",\"JCRName\":\"\",\"Score\":null,\"Total\":0}","platform":"Semanticscholar","paperid":null,"PeriodicalName":"European journal of microbiology & immunology","FirstCategoryId":"1085","ListUrlMain":"https://doi.org/10.1556/1886.2024.00043","RegionNum":0,"RegionCategory":null,"ArticlePicture":[],"TitleCN":null,"AbstractTextCN":null,"PMCID":null,"EPubDate":"2024/9/11 0:00:00","PubModel":"Print","JCR":"","JCRName":"","Score":null,"Total":0}
引用次数: 0

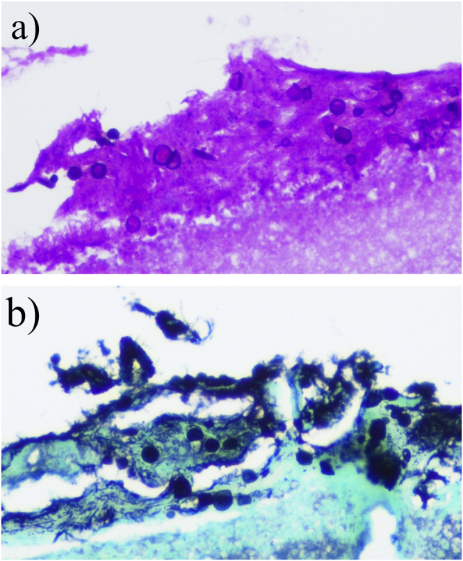
摘要

获得性良性气管食管瘘和支气管食管瘘(TEF)通常与肉芽肿性纵隔感染有关,其中75%是先天性的。白色念珠菌(Candida albicans)和放线菌(Actinomyces)是常见的病原体,但 TEF 的病因并不常见。这些病原体的正常定植和某些种类生长缓慢的特点很少导致感染、霉菌瘤和支气管胆石症,因此很可能延误诊断和治疗。很少有报道称白僵菌或放线菌是 TEF 或支气管胆石症的病原体。在此,我们报告了一例继发于白色念珠菌和放线菌共同感染的良性获得性 TEF 病例,该病例并发放线菌瘤的形成和支气管胆石症,我们还进行了全面的文献综述,以强调该病例的特殊性,并提供 TEF 的诊断和治疗算法。在出现三个月的有痰咳嗽、窒息感、盗汗和体重减轻后,支气管镜检查发现食管和右中叶后部之间有瘘管连接。病理检查发现了一个钙化的真菌球和一个继发于念珠菌和放线菌共同感染的支气管结石。这种念珠菌和放线菌合并感染的独特表现形式以及相关的诊断算法将为临床医生提供教育和有用的工具。
本文章由计算机程序翻译,如有差异,请以英文原文为准。

Tracheoesophageal fistula due to Candida and Actinomyces co-infection: A case report and comprehensive review of the literature.

Tracheoesophageal fistula due to Candida and Actinomyces co-infection: A case report and comprehensive review of the literature.

Tracheoesophageal fistula due to Candida and Actinomyces co-infection: A case report and comprehensive review of the literature.

Tracheoesophageal fistula due to Candida and Actinomyces co-infection: A case report and comprehensive review of the literature.

Acquired benign tracheoesophageal fistulas and bronchoesophageal fistulas (TEF) are typically associated with granulomatous mediastinal infections, 75% of which are iatrogenic. Candida albicans and Actinomyces are commonly occurring organisms, but are uncommon etiologies of TEF. Normal colonization and the slow growth characteristics of some species of these agents rarely result in infection, mycetoma, and broncholithiasis, and thus, delays in diagnosis and treatment are likely. Few reports describe C. albicans or Actinomyces spp. as the etiology of TEF or broncholithiasis. Herein, we report a case of benign acquired TEF secondary to coinfection of Candida and Actinomyces complicated by the formation of an actinomycetoma and broncholithiasis and a comprehensive literature review to highlight the unique nature of this presentation and offer a diagnostic algorithm for diagnosis and treatment of TEFs. Following a presentation of three months of productive cough, choking sensation, night sweats, and weight loss, a bronchoscopy revealed a fistulous connection between the esophagus and the posterior right middle lobe. Pathology identified a calcified fungus ball and a broncholith secondary to the co-infection of Candida and Actinomyces. This unique presentation of Candida and Actinomyces co-infection and the associated diagnostic algorithm are presented as education and a useful tool for clinicians.

求助全文
通过发布文献求助,成功后即可免费获取论文全文。 去求助
来源期刊
自引率
0.00%
发文量
0
×
引用
GB/T 7714-2015
复制
MLA
复制
APA
复制
导出至
BibTeX EndNote RefMan NoteFirst NoteExpress
×
提示
您的信息不完整,为了账户安全,请先补充。
现在去补充
×
提示
您因"违规操作"
具体请查看互助需知
我知道了
×
提示
确定
请完成安全验证×
copy
已复制链接
快去分享给好友吧!
我知道了
右上角分享
点击右上角分享
0
联系我们:info@booksci.cn Book学术提供免费学术资源搜索服务,方便国内外学者检索中英文文献。致力于提供最便捷和优质的服务体验。 Copyright © 2023 布克学术 All rights reserved.
京ICP备2023020795号-1
ghs 京公网安备 11010802042870号
Book学术文献互助
Book学术文献互助群
群 号:604180095
Book学术官方微信