大前庭神经分裂瘤的自然消退:非手术治疗合理吗?

Kok Ann Colin Teo, Rachit Agrwal, Pin Lin Kei, Su Lone Lim, Siyang Ira Sun, Shiong Wen Low
{"title":"大前庭神经分裂瘤的自然消退:非手术治疗合理吗?","authors":"Kok Ann Colin Teo, Rachit Agrwal, Pin Lin Kei, Su Lone Lim, Siyang Ira Sun, Shiong Wen Low","doi":"10.14791/btrt.2024.0008","DOIUrl":null,"url":null,"abstract":"<p><p>Vestibular schwannomas (VSs) are the most common cerebellopontine tumors. The natural history of smaller-sized VSs (<30 mm) has been well-studied, leading to the recommendation of a \"watch and wait\" approach. However, large VSs (>30 mm) have not been extensively studied, mainly because of their rarity. As such, most patients are conventionally offered surgery which carries a significant risk of neurological morbidity. Here, we report a case of a giant VS (>40 mm) in a 30-year-old man who regressed spontaneously. He was lost to follow-up for 18 years and, upon re-presentation, the symptomatology drastically improved and repeat imaging demonstrated a marked reduction in tumor size. Referring to similar cases in other studies, we postulate that most large and giant VSs undergo a phase of growth and stasis, followed by regression due to shifts in the balance between tumorigenic and regressive factors. Taken together with emerging molecular data, further studies are required to better understand the history of large and giant VSs to shape more personalized treatment options. This potentially includes non-operative management as a tenable option.</p>","PeriodicalId":72453,"journal":{"name":"Brain tumor research and treatment","volume":"12 2","pages":"125-131"},"PeriodicalIF":0.0000,"publicationDate":"2024-04-01","publicationTypes":"Journal Article","fieldsOfStudy":null,"isOpenAccess":false,"openAccessPdf":"https://www.ncbi.nlm.nih.gov/pmc/articles/PMC11096635/pdf/","citationCount":"0","resultStr":"{\"title\":\"Spontaneous Regression of a Large Vestibular Schwannoma: Is Nonoperative Management Reasonable?\",\"authors\":\"Kok Ann Colin Teo, Rachit Agrwal, Pin Lin Kei, Su Lone Lim, Siyang Ira Sun, Shiong Wen Low\",\"doi\":\"10.14791/btrt.2024.0008\",\"DOIUrl\":null,\"url\":null,\"abstract\":\"<p><p>Vestibular schwannomas (VSs) are the most common cerebellopontine tumors. The natural history of smaller-sized VSs (<30 mm) has been well-studied, leading to the recommendation of a \\\"watch and wait\\\" approach. However, large VSs (>30 mm) have not been extensively studied, mainly because of their rarity. As such, most patients are conventionally offered surgery which carries a significant risk of neurological morbidity. Here, we report a case of a giant VS (>40 mm) in a 30-year-old man who regressed spontaneously. He was lost to follow-up for 18 years and, upon re-presentation, the symptomatology drastically improved and repeat imaging demonstrated a marked reduction in tumor size. Referring to similar cases in other studies, we postulate that most large and giant VSs undergo a phase of growth and stasis, followed by regression due to shifts in the balance between tumorigenic and regressive factors. Taken together with emerging molecular data, further studies are required to better understand the history of large and giant VSs to shape more personalized treatment options. This potentially includes non-operative management as a tenable option.</p>\",\"PeriodicalId\":72453,\"journal\":{\"name\":\"Brain tumor research and treatment\",\"volume\":\"12 2\",\"pages\":\"125-131\"},\"PeriodicalIF\":0.0000,\"publicationDate\":\"2024-04-01\",\"publicationTypes\":\"Journal Article\",\"fieldsOfStudy\":null,\"isOpenAccess\":false,\"openAccessPdf\":\"https://www.ncbi.nlm.nih.gov/pmc/articles/PMC11096635/pdf/\",\"citationCount\":\"0\",\"resultStr\":null,\"platform\":\"Semanticscholar\",\"paperid\":null,\"PeriodicalName\":\"Brain tumor research and treatment\",\"FirstCategoryId\":\"1085\",\"ListUrlMain\":\"https://doi.org/10.14791/btrt.2024.0008\",\"RegionNum\":0,\"RegionCategory\":null,\"ArticlePicture\":[],\"TitleCN\":null,\"AbstractTextCN\":null,\"PMCID\":null,\"EPubDate\":\"\",\"PubModel\":\"\",\"JCR\":\"\",\"JCRName\":\"\",\"Score\":null,\"Total\":0}","platform":"Semanticscholar","paperid":null,"PeriodicalName":"Brain tumor research and treatment","FirstCategoryId":"1085","ListUrlMain":"https://doi.org/10.14791/btrt.2024.0008","RegionNum":0,"RegionCategory":null,"ArticlePicture":[],"TitleCN":null,"AbstractTextCN":null,"PMCID":null,"EPubDate":"","PubModel":"","JCR":"","JCRName":"","Score":null,"Total":0}
引用次数: 0

摘要

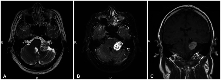
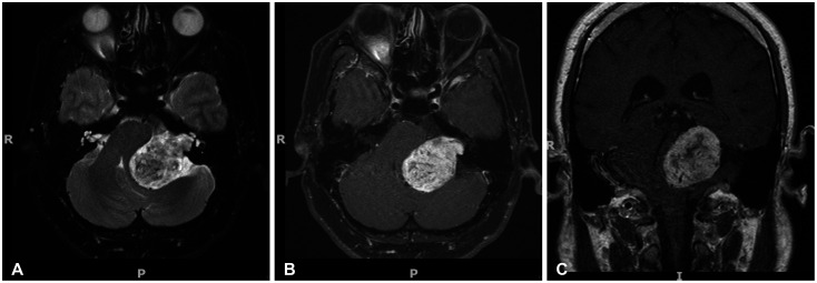
前庭分裂瘤(VS)是最常见的小脑肿瘤。对较小尺寸的 VS(30 毫米)的自然史尚未进行广泛研究,这主要是因为它们非常罕见。因此,大多数患者都会接受传统的手术治疗,而手术会带来很大的神经系统发病风险。在此,我们报告了一例 30 岁男性的巨大 VS(>40 毫米)患者,该患者自发消退。他失去随访机会长达 18 年之久,再次就诊时症状明显改善,重复造影显示肿瘤明显缩小。参考其他研究中的类似病例,我们推测大多数大型和巨型 VS 都会经历一个生长和停滞阶段,随后由于致瘤因素和消退因素之间的平衡发生变化而消退。结合新出现的分子数据,我们需要开展进一步研究,以更好地了解大型和巨型 VS 的病史,从而制定更加个性化的治疗方案。这可能包括将非手术治疗作为一种可行的选择。
本文章由计算机程序翻译,如有差异,请以英文原文为准。

Spontaneous Regression of a Large Vestibular Schwannoma: Is Nonoperative Management Reasonable?

Spontaneous Regression of a Large Vestibular Schwannoma: Is Nonoperative Management Reasonable?

Spontaneous Regression of a Large Vestibular Schwannoma: Is Nonoperative Management Reasonable?

Spontaneous Regression of a Large Vestibular Schwannoma: Is Nonoperative Management Reasonable?

Vestibular schwannomas (VSs) are the most common cerebellopontine tumors. The natural history of smaller-sized VSs (<30 mm) has been well-studied, leading to the recommendation of a "watch and wait" approach. However, large VSs (>30 mm) have not been extensively studied, mainly because of their rarity. As such, most patients are conventionally offered surgery which carries a significant risk of neurological morbidity. Here, we report a case of a giant VS (>40 mm) in a 30-year-old man who regressed spontaneously. He was lost to follow-up for 18 years and, upon re-presentation, the symptomatology drastically improved and repeat imaging demonstrated a marked reduction in tumor size. Referring to similar cases in other studies, we postulate that most large and giant VSs undergo a phase of growth and stasis, followed by regression due to shifts in the balance between tumorigenic and regressive factors. Taken together with emerging molecular data, further studies are required to better understand the history of large and giant VSs to shape more personalized treatment options. This potentially includes non-operative management as a tenable option.

求助全文
通过发布文献求助,成功后即可免费获取论文全文。 去求助
来源期刊
自引率
0.00%
发文量
0
×
引用
GB/T 7714-2015
复制
MLA
复制
APA
复制
导出至
BibTeX EndNote RefMan NoteFirst NoteExpress
×
提示
您的信息不完整,为了账户安全,请先补充。
现在去补充
×
提示
您因"违规操作"
具体请查看互助需知
我知道了
×
提示
确定
请完成安全验证×
copy
已复制链接
快去分享给好友吧!
我知道了
右上角分享
点击右上角分享
0
联系我们:info@booksci.cn Book学术提供免费学术资源搜索服务,方便国内外学者检索中英文文献。致力于提供最便捷和优质的服务体验。 Copyright © 2023 布克学术 All rights reserved.
京ICP备2023020795号-1
ghs 京公网安备 11010802042870号
Book学术文献互助
Book学术文献互助群
群 号:604180095
Book学术官方微信