妊娠后三个月的磁共振成像作为超声诊断胎儿畸形的补充。

IF 1 Q4 RADIOLOGY, NUCLEAR MEDICINE & MEDICAL IMAGING
Acta radiologica open Pub Date : 2024-05-11 eCollection Date: 2024-05-01 DOI:10.1177/20584601241248820
Frida Cederlund, Ove Axelsson, Sara Desmond, Hashem Amini, Johan Wikström
{"title":"妊娠后三个月的磁共振成像作为超声诊断胎儿畸形的补充。","authors":"Frida Cederlund, Ove Axelsson, Sara Desmond, Hashem Amini, Johan Wikström","doi":"10.1177/20584601241248820","DOIUrl":null,"url":null,"abstract":"<p><strong>Background: </strong>Fetal ultrasound has limitations, especially if the patient is obese or in cases with oligohydramnios. Magnetic resonance imaging (MRI) can then be used as a complement, but only few studies have focused on examinations in the second trimester.</p><p><strong>Purpose: </strong>To validate MRI as a complement to diagnose fetal anomalies in the second trimester.</p><p><strong>Material and methods: </strong>This retrospective study retrieved data from January 2008 to July 2012 from the Fetal Medicine Unit and Department of Radiology at Uppsala University Hospital. Ultrasound and MRI findings were reviewed in 121 fetuses in relation to the final diagnosis, including postpartum follow-up and autopsy results.</p><p><strong>Results: </strong>Of the 121 fetuses, 51 (42%) had a CNS anomaly and 70 (58%) a non-CNS anomaly diagnosed or suspected. MRI provided additional information in 21% of all cases without changing the management and revealed information that changed the management of the pregnancy in 13%. When a CNS anomaly was detected or suspected, the MRI provided additional information in 22% and changed the management in 10%. The corresponding figures for non-CNS cases were 21% and 16%, respectively. The proportion of cases with additional information that changed the management was especially high in patients with a BMI >30 kg/m<sup>2</sup> (25%) and in patients with oligohydramnios (38%). In five cases in category III, false-positive ultrasound findings were identified.</p><p><strong>Conclusions: </strong>MRI in the second trimester complements ultrasound and improves diagnosis of fetal CNS- and non-CNS anomalies especially when oligohydramnios or maternal obesity is present.</p>","PeriodicalId":72063,"journal":{"name":"Acta radiologica open","volume":"13 5","pages":"20584601241248820"},"PeriodicalIF":1.0000,"publicationDate":"2024-05-11","publicationTypes":"Journal Article","fieldsOfStudy":null,"isOpenAccess":false,"openAccessPdf":"https://www.ncbi.nlm.nih.gov/pmc/articles/PMC11088812/pdf/","citationCount":"0","resultStr":"{\"title\":\"Magnetic resonance imaging in the second trimester as a complement to ultrasound for diagnosis of fetal anomalies.\",\"authors\":\"Frida Cederlund, Ove Axelsson, Sara Desmond, Hashem Amini, Johan Wikström\",\"doi\":\"10.1177/20584601241248820\",\"DOIUrl\":null,\"url\":null,\"abstract\":\"<p><strong>Background: </strong>Fetal ultrasound has limitations, especially if the patient is obese or in cases with oligohydramnios. Magnetic resonance imaging (MRI) can then be used as a complement, but only few studies have focused on examinations in the second trimester.</p><p><strong>Purpose: </strong>To validate MRI as a complement to diagnose fetal anomalies in the second trimester.</p><p><strong>Material and methods: </strong>This retrospective study retrieved data from January 2008 to July 2012 from the Fetal Medicine Unit and Department of Radiology at Uppsala University Hospital. Ultrasound and MRI findings were reviewed in 121 fetuses in relation to the final diagnosis, including postpartum follow-up and autopsy results.</p><p><strong>Results: </strong>Of the 121 fetuses, 51 (42%) had a CNS anomaly and 70 (58%) a non-CNS anomaly diagnosed or suspected. MRI provided additional information in 21% of all cases without changing the management and revealed information that changed the management of the pregnancy in 13%. When a CNS anomaly was detected or suspected, the MRI provided additional information in 22% and changed the management in 10%. The corresponding figures for non-CNS cases were 21% and 16%, respectively. The proportion of cases with additional information that changed the management was especially high in patients with a BMI >30 kg/m<sup>2</sup> (25%) and in patients with oligohydramnios (38%). In five cases in category III, false-positive ultrasound findings were identified.</p><p><strong>Conclusions: </strong>MRI in the second trimester complements ultrasound and improves diagnosis of fetal CNS- and non-CNS anomalies especially when oligohydramnios or maternal obesity is present.</p>\",\"PeriodicalId\":72063,\"journal\":{\"name\":\"Acta radiologica open\",\"volume\":\"13 5\",\"pages\":\"20584601241248820\"},\"PeriodicalIF\":1.0000,\"publicationDate\":\"2024-05-11\",\"publicationTypes\":\"Journal Article\",\"fieldsOfStudy\":null,\"isOpenAccess\":false,\"openAccessPdf\":\"https://www.ncbi.nlm.nih.gov/pmc/articles/PMC11088812/pdf/\",\"citationCount\":\"0\",\"resultStr\":null,\"platform\":\"Semanticscholar\",\"paperid\":null,\"PeriodicalName\":\"Acta radiologica open\",\"FirstCategoryId\":\"1085\",\"ListUrlMain\":\"https://doi.org/10.1177/20584601241248820\",\"RegionNum\":0,\"RegionCategory\":null,\"ArticlePicture\":[],\"TitleCN\":null,\"AbstractTextCN\":null,\"PMCID\":null,\"EPubDate\":\"2024/5/1 0:00:00\",\"PubModel\":\"eCollection\",\"JCR\":\"Q4\",\"JCRName\":\"RADIOLOGY, NUCLEAR MEDICINE & MEDICAL IMAGING\",\"Score\":null,\"Total\":0}","platform":"Semanticscholar","paperid":null,"PeriodicalName":"Acta radiologica open","FirstCategoryId":"1085","ListUrlMain":"https://doi.org/10.1177/20584601241248820","RegionNum":0,"RegionCategory":null,"ArticlePicture":[],"TitleCN":null,"AbstractTextCN":null,"PMCID":null,"EPubDate":"2024/5/1 0:00:00","PubModel":"eCollection","JCR":"Q4","JCRName":"RADIOLOGY, NUCLEAR MEDICINE & MEDICAL IMAGING","Score":null,"Total":0}
引用次数: 0

摘要

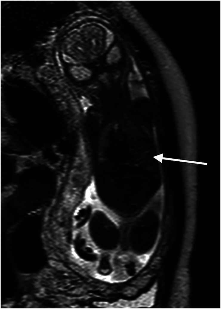
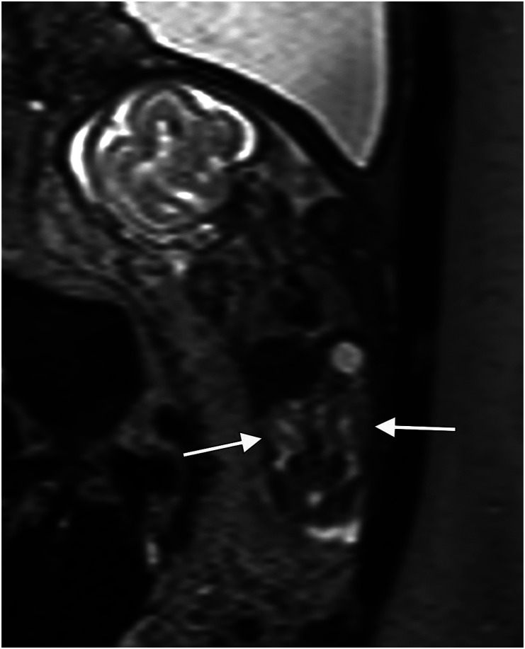
背景:胎儿超声波检查有其局限性,尤其是在患者肥胖或胎粪过少的情况下。核磁共振成像(MRI)可作为补充,但只有少数研究关注妊娠后三个月的检查。目的:验证核磁共振成像作为诊断妊娠后三个月胎儿畸形的补充:这项回顾性研究检索了乌普萨拉大学医院胎儿医学科和放射科 2008 年 1 月至 2012 年 7 月的数据。研究回顾了 121 个胎儿的超声和磁共振成像结果与最终诊断的关系,包括产后随访和尸检结果:结果:在 121 个胎儿中,51 个(42%)确诊或怀疑有中枢神经系统异常,70 个(58%)确诊或怀疑有非中枢神经系统异常。在所有病例中,核磁共振成像为21%的病例提供了额外的信息,但并未改变妊娠管理,而为13%的病例提供的信息改变了妊娠管理。当发现或怀疑中枢神经系统异常时,核磁共振成像为 22% 的病例提供了补充信息,改变了 10% 的病例的治疗方案。非中枢神经系统病例的相应数字分别为 21% 和 16%。在体重指数(BMI)大于 30 kg/m2 的患者(25%)和少腹水患者(38%)中,提供额外信息并改变处理方案的病例比例尤其高。在 5 例 III 类病例中,发现了假阳性超声检查结果:结论:妊娠后三个月的核磁共振成像是超声检查的补充,可提高对胎儿中枢神经系统和非中枢神经系统畸形的诊断率,尤其是在少子水肿或孕妇肥胖的情况下。
本文章由计算机程序翻译,如有差异,请以英文原文为准。

Magnetic resonance imaging in the second trimester as a complement to ultrasound for diagnosis of fetal anomalies.

Magnetic resonance imaging in the second trimester as a complement to ultrasound for diagnosis of fetal anomalies.

Magnetic resonance imaging in the second trimester as a complement to ultrasound for diagnosis of fetal anomalies.

Magnetic resonance imaging in the second trimester as a complement to ultrasound for diagnosis of fetal anomalies.

Background: Fetal ultrasound has limitations, especially if the patient is obese or in cases with oligohydramnios. Magnetic resonance imaging (MRI) can then be used as a complement, but only few studies have focused on examinations in the second trimester.

Purpose: To validate MRI as a complement to diagnose fetal anomalies in the second trimester.

Material and methods: This retrospective study retrieved data from January 2008 to July 2012 from the Fetal Medicine Unit and Department of Radiology at Uppsala University Hospital. Ultrasound and MRI findings were reviewed in 121 fetuses in relation to the final diagnosis, including postpartum follow-up and autopsy results.

Results: Of the 121 fetuses, 51 (42%) had a CNS anomaly and 70 (58%) a non-CNS anomaly diagnosed or suspected. MRI provided additional information in 21% of all cases without changing the management and revealed information that changed the management of the pregnancy in 13%. When a CNS anomaly was detected or suspected, the MRI provided additional information in 22% and changed the management in 10%. The corresponding figures for non-CNS cases were 21% and 16%, respectively. The proportion of cases with additional information that changed the management was especially high in patients with a BMI >30 kg/m2 (25%) and in patients with oligohydramnios (38%). In five cases in category III, false-positive ultrasound findings were identified.

Conclusions: MRI in the second trimester complements ultrasound and improves diagnosis of fetal CNS- and non-CNS anomalies especially when oligohydramnios or maternal obesity is present.

求助全文
通过发布文献求助,成功后即可免费获取论文全文。 去求助
来源期刊
自引率
0.00%
发文量
0
审稿时长
12 weeks
×
引用
GB/T 7714-2015
复制
MLA
复制
APA
复制
导出至
BibTeX EndNote RefMan NoteFirst NoteExpress
×
提示
您的信息不完整,为了账户安全,请先补充。
现在去补充
×
提示
您因"违规操作"
具体请查看互助需知
我知道了
×
提示
确定
请完成安全验证×
copy
已复制链接
快去分享给好友吧!
我知道了
右上角分享
点击右上角分享
0
联系我们:info@booksci.cn Book学术提供免费学术资源搜索服务,方便国内外学者检索中英文文献。致力于提供最便捷和优质的服务体验。 Copyright © 2023 布克学术 All rights reserved.
京ICP备2023020795号-1
ghs 京公网安备 11010802042870号
Book学术文献互助
Book学术文献互助群
群 号:604180095
Book学术官方微信