腹侧前扣带回萎缩是短暂性全局失忆症的诱发因素。

Dementia and neurocognitive disorders Pub Date : 2024-04-01 Epub Date: 2024-03-26 DOI:10.12779/dnd.2024.23.2.89
Jeewon Suh, Young Ho Park, Hang-Rai Kim, Jae-Won Jang, SangHak Yi, Min Ju Kang, Yun Jung Bae, Byung Se Choi, Jae Hyoung Kim, SangYun Kim
{"title":"腹侧前扣带回萎缩是短暂性全局失忆症的诱发因素。","authors":"Jeewon Suh, Young Ho Park, Hang-Rai Kim, Jae-Won Jang, SangHak Yi, Min Ju Kang, Yun Jung Bae, Byung Se Choi, Jae Hyoung Kim, SangYun Kim","doi":"10.12779/dnd.2024.23.2.89","DOIUrl":null,"url":null,"abstract":"<p><strong>Background and purpose: </strong>This study aimed to evaluate the brain magnetic resonance imaging (MRI) of patients with acute transient global amnesia (TGA) using volumetric analysis to verify whether the brains of TGA patients have pre-existing structural abnormalities.</p><p><strong>Methods: </strong>We evaluated the brain MRI data from 87 TGA patients and 20 age- and sex-matched control subjects. We included brain MRIs obtained from TGA patients within 72 hours of symptom onset to verify the pre-existence of structural change. For voxel-based morphometric analyses, statistical parametric mapping was employed to analyze the structural differences between patients with TGA and control subjects.</p><p><strong>Results: </strong>TGA patients exhibited significant volume reductions in the bilateral ventral anterior cingulate cortices (corrected <i>p</i><0.05).</p><p><strong>Conclusions: </strong>TGA patients might have pre-existing structural changes in bilateral ventral anterior cingulate cortices prior to TGA attacks.</p>","PeriodicalId":72779,"journal":{"name":"Dementia and neurocognitive disorders","volume":"23 2","pages":"89-94"},"PeriodicalIF":0.0000,"publicationDate":"2024-04-01","publicationTypes":"Journal Article","fieldsOfStudy":null,"isOpenAccess":false,"openAccessPdf":"https://www.ncbi.nlm.nih.gov/pmc/articles/PMC11073926/pdf/","citationCount":"0","resultStr":"{\"title\":\"Ventral Anterior Cingulate Atrophy as a Predisposing Factor for Transient Global Amnesia.\",\"authors\":\"Jeewon Suh, Young Ho Park, Hang-Rai Kim, Jae-Won Jang, SangHak Yi, Min Ju Kang, Yun Jung Bae, Byung Se Choi, Jae Hyoung Kim, SangYun Kim\",\"doi\":\"10.12779/dnd.2024.23.2.89\",\"DOIUrl\":null,\"url\":null,\"abstract\":\"<p><strong>Background and purpose: </strong>This study aimed to evaluate the brain magnetic resonance imaging (MRI) of patients with acute transient global amnesia (TGA) using volumetric analysis to verify whether the brains of TGA patients have pre-existing structural abnormalities.</p><p><strong>Methods: </strong>We evaluated the brain MRI data from 87 TGA patients and 20 age- and sex-matched control subjects. We included brain MRIs obtained from TGA patients within 72 hours of symptom onset to verify the pre-existence of structural change. For voxel-based morphometric analyses, statistical parametric mapping was employed to analyze the structural differences between patients with TGA and control subjects.</p><p><strong>Results: </strong>TGA patients exhibited significant volume reductions in the bilateral ventral anterior cingulate cortices (corrected <i>p</i><0.05).</p><p><strong>Conclusions: </strong>TGA patients might have pre-existing structural changes in bilateral ventral anterior cingulate cortices prior to TGA attacks.</p>\",\"PeriodicalId\":72779,\"journal\":{\"name\":\"Dementia and neurocognitive disorders\",\"volume\":\"23 2\",\"pages\":\"89-94\"},\"PeriodicalIF\":0.0000,\"publicationDate\":\"2024-04-01\",\"publicationTypes\":\"Journal Article\",\"fieldsOfStudy\":null,\"isOpenAccess\":false,\"openAccessPdf\":\"https://www.ncbi.nlm.nih.gov/pmc/articles/PMC11073926/pdf/\",\"citationCount\":\"0\",\"resultStr\":null,\"platform\":\"Semanticscholar\",\"paperid\":null,\"PeriodicalName\":\"Dementia and neurocognitive disorders\",\"FirstCategoryId\":\"1085\",\"ListUrlMain\":\"https://doi.org/10.12779/dnd.2024.23.2.89\",\"RegionNum\":0,\"RegionCategory\":null,\"ArticlePicture\":[],\"TitleCN\":null,\"AbstractTextCN\":null,\"PMCID\":null,\"EPubDate\":\"2024/3/26 0:00:00\",\"PubModel\":\"Epub\",\"JCR\":\"\",\"JCRName\":\"\",\"Score\":null,\"Total\":0}","platform":"Semanticscholar","paperid":null,"PeriodicalName":"Dementia and neurocognitive disorders","FirstCategoryId":"1085","ListUrlMain":"https://doi.org/10.12779/dnd.2024.23.2.89","RegionNum":0,"RegionCategory":null,"ArticlePicture":[],"TitleCN":null,"AbstractTextCN":null,"PMCID":null,"EPubDate":"2024/3/26 0:00:00","PubModel":"Epub","JCR":"","JCRName":"","Score":null,"Total":0}
引用次数: 0

摘要

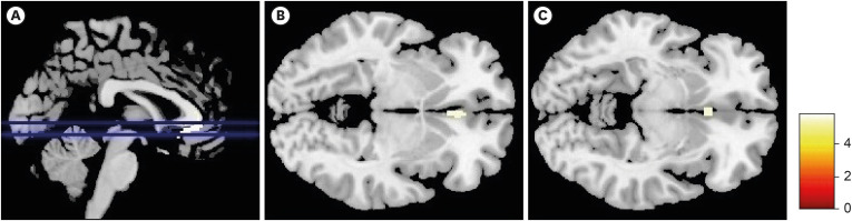
背景和目的:本研究旨在利用容积分析评估急性短暂性全面遗忘(TGA)患者的脑部磁共振成像(MRI),以验证TGA患者的大脑是否预先存在结构异常:我们评估了 87 名 TGA 患者和 20 名年龄和性别匹配的对照组受试者的脑部 MRI 数据。我们纳入了TGA患者在症状出现72小时内获得的脑部核磁共振成像数据,以验证结构变化是否预先存在。在基于体素的形态计量分析中,我们采用了统计参数映射法来分析TGA患者与对照组之间的结构差异:结果:TGA 患者双侧腹侧前扣带回皮质的体积明显缩小(校正后的 p):TGA患者在TGA发作前可能已经存在双侧腹侧前扣带回皮质的结构变化。
本文章由计算机程序翻译,如有差异,请以英文原文为准。

Ventral Anterior Cingulate Atrophy as a Predisposing Factor for Transient Global Amnesia.

Ventral Anterior Cingulate Atrophy as a Predisposing Factor for Transient Global Amnesia.

Ventral Anterior Cingulate Atrophy as a Predisposing Factor for Transient Global Amnesia.

Ventral Anterior Cingulate Atrophy as a Predisposing Factor for Transient Global Amnesia.

Background and purpose: This study aimed to evaluate the brain magnetic resonance imaging (MRI) of patients with acute transient global amnesia (TGA) using volumetric analysis to verify whether the brains of TGA patients have pre-existing structural abnormalities.

Methods: We evaluated the brain MRI data from 87 TGA patients and 20 age- and sex-matched control subjects. We included brain MRIs obtained from TGA patients within 72 hours of symptom onset to verify the pre-existence of structural change. For voxel-based morphometric analyses, statistical parametric mapping was employed to analyze the structural differences between patients with TGA and control subjects.

Results: TGA patients exhibited significant volume reductions in the bilateral ventral anterior cingulate cortices (corrected p<0.05).

Conclusions: TGA patients might have pre-existing structural changes in bilateral ventral anterior cingulate cortices prior to TGA attacks.

求助全文
通过发布文献求助,成功后即可免费获取论文全文。 去求助
来源期刊
自引率
0.00%
发文量
0
×
引用
GB/T 7714-2015
复制
MLA
复制
APA
复制
导出至
BibTeX EndNote RefMan NoteFirst NoteExpress
×
提示
您的信息不完整,为了账户安全,请先补充。
现在去补充
×
提示
您因"违规操作"
具体请查看互助需知
我知道了
×
提示
确定
请完成安全验证×
copy
已复制链接
快去分享给好友吧!
我知道了
右上角分享
点击右上角分享
0
联系我们:info@booksci.cn Book学术提供免费学术资源搜索服务,方便国内外学者检索中英文文献。致力于提供最便捷和优质的服务体验。 Copyright © 2023 布克学术 All rights reserved.
京ICP备2023020795号-1
ghs 京公网安备 11010802042870号
Book学术文献互助
Book学术文献互助群
群 号:604180095
Book学术官方微信