在腰椎间盘切除术后腰部综合征症状消失的患者中,硬膜外椎管尾部阻滞法与超声引导 S1 跨椎阻滞法的比较评估:双盲临床试验。

Q2 Medicine
Anesthesiology and Pain Medicine Pub Date : 2023-12-29 eCollection Date: 2023-12-01 DOI:10.5812/aapm-137325
Masoud Hashemi, Artadokht Khoshooei, Alireza Amanollahi, Sogol Asgari
{"title":"在腰椎间盘切除术后腰部综合征症状消失的患者中,硬膜外椎管尾部阻滞法与超声引导 S1 跨椎阻滞法的比较评估:双盲临床试验。","authors":"Masoud Hashemi, Artadokht Khoshooei, Alireza Amanollahi, Sogol Asgari","doi":"10.5812/aapm-137325","DOIUrl":null,"url":null,"abstract":"<p><strong>Background: </strong>Post-lumbar surgery syndrome (PLSS) refers to persistent or recurrent pain following spinal surgery with an unknown cause. It is commonly associated with epidural fibrosis (EF). Some studies suggest that epidural steroid injection (ESI) can effectively alleviate pain in PLSS, particularly when targeting the S1 nerve root using S1 transforaminal epidural steroid injection (S1-TFESI). A key factor in a successful block is accurately visualizing the first dorsal sacral foramen, and the needle's destination is the dorsal S1 foramen. Although S1-TFESI is often performed under fluoroscopy through the transforaminal route, an alternative to reduce radiation exposure is ultrasound guidance. This study aimed to compare the efficacy of ultrasound-guided caudal epidural steroid injection (CESI) and S1-TFESI in PLSS patients.</p><p><strong>Methods: </strong>A randomized double-blinded clinical trial was conducted involving 52 PLSS patients who were randomly assigned to either the CESI group or the S1-TFESI group. The patients were positioned prone. A linear transducer with a curve at a low frequency (2 - 5 MHz) was used to visualize the area. An aseptically prepared puncture site was used to insert a 2- to 5-MHz curved ultrasound probe with an ultrasound gel to identify the articular processes of the lower lumbar vertebrae and the posterior sacral surface. The probe was then positioned longitudinally to the para-sacral area, about 2 cm lateral to the midline. The articular process represented the L5/S1 level at the farthest caudal side, and the S1 posterior sacral foramen was represented by the concavity at the posterior sacral surface that was somewhat caudal. The probe was angled caudally to provide enough room for the needle to enter the S1 foramen. The injection site for the needle tip was the S1 foramen. A combination of triamcinolone (40 mg, 1 mL), normal saline (2 mL), and ropivacaine (0.2%) was administered. For TFS1 ESI, 5 mL of the combination was used. For CESI, the sacral hiatus was palpated in the prone position, and a linear high-frequency transducer was placed transversely to obtain a transverse view of the sacral hiatus. A combination of triamcinolone 40 mg and ropivacaine (0.2%) totaling 10 mL was employed. The Numerical Rating Scale (NRS) and Oswestry Disability Index (ODI) were used to assess patients' preoperative and postoperative conditions, and adverse events were recorded. Follow-up was conducted one week and one month after the procedures.</p><p><strong>Results: </strong>In both groups, NRS and ODI scores decreased at different time points after treatment, compared to baseline (P < 0.001). The CESI group had lower median ODI scores after one week and one month, although this difference did not reach statistical significance (P = 0.334). Despite similar baseline NRS ratings, the CESI group had statistically significantly lower mean NRS scores at one week and one month (P < 0.001).</p><p><strong>Conclusions: </strong>The current study demonstrated that both CESI and TFESI treatments for PLSS following lumbar discectomy are effective and safe. These procedures can alleviate pain and reduce disability. Although the success rates of the two procedures are comparable, CESI appears to be more successful in reducing pain at the one-week and one-month follow-up.</p>","PeriodicalId":7841,"journal":{"name":"Anesthesiology and Pain Medicine","volume":"13 6","pages":"e137325"},"PeriodicalIF":0.0000,"publicationDate":"2023-12-29","publicationTypes":"Journal Article","fieldsOfStudy":null,"isOpenAccess":false,"openAccessPdf":"https://www.ncbi.nlm.nih.gov/pmc/articles/PMC11078231/pdf/","citationCount":"0","resultStr":"{\"title\":\"Comparative Evaluation of Caudal Epidural Method to Ultrasound-Guided S1 Transforamen Block in Patient's Lumbar Discectomy with Failed Back Syndrome Symptoms: A Double-Blind Clinical Trial.\",\"authors\":\"Masoud Hashemi, Artadokht Khoshooei, Alireza Amanollahi, Sogol Asgari\",\"doi\":\"10.5812/aapm-137325\",\"DOIUrl\":null,\"url\":null,\"abstract\":\"<p><strong>Background: </strong>Post-lumbar surgery syndrome (PLSS) refers to persistent or recurrent pain following spinal surgery with an unknown cause. It is commonly associated with epidural fibrosis (EF). Some studies suggest that epidural steroid injection (ESI) can effectively alleviate pain in PLSS, particularly when targeting the S1 nerve root using S1 transforaminal epidural steroid injection (S1-TFESI). A key factor in a successful block is accurately visualizing the first dorsal sacral foramen, and the needle's destination is the dorsal S1 foramen. Although S1-TFESI is often performed under fluoroscopy through the transforaminal route, an alternative to reduce radiation exposure is ultrasound guidance. This study aimed to compare the efficacy of ultrasound-guided caudal epidural steroid injection (CESI) and S1-TFESI in PLSS patients.</p><p><strong>Methods: </strong>A randomized double-blinded clinical trial was conducted involving 52 PLSS patients who were randomly assigned to either the CESI group or the S1-TFESI group. The patients were positioned prone. A linear transducer with a curve at a low frequency (2 - 5 MHz) was used to visualize the area. An aseptically prepared puncture site was used to insert a 2- to 5-MHz curved ultrasound probe with an ultrasound gel to identify the articular processes of the lower lumbar vertebrae and the posterior sacral surface. The probe was then positioned longitudinally to the para-sacral area, about 2 cm lateral to the midline. The articular process represented the L5/S1 level at the farthest caudal side, and the S1 posterior sacral foramen was represented by the concavity at the posterior sacral surface that was somewhat caudal. The probe was angled caudally to provide enough room for the needle to enter the S1 foramen. The injection site for the needle tip was the S1 foramen. A combination of triamcinolone (40 mg, 1 mL), normal saline (2 mL), and ropivacaine (0.2%) was administered. For TFS1 ESI, 5 mL of the combination was used. For CESI, the sacral hiatus was palpated in the prone position, and a linear high-frequency transducer was placed transversely to obtain a transverse view of the sacral hiatus. A combination of triamcinolone 40 mg and ropivacaine (0.2%) totaling 10 mL was employed. The Numerical Rating Scale (NRS) and Oswestry Disability Index (ODI) were used to assess patients' preoperative and postoperative conditions, and adverse events were recorded. Follow-up was conducted one week and one month after the procedures.</p><p><strong>Results: </strong>In both groups, NRS and ODI scores decreased at different time points after treatment, compared to baseline (P < 0.001). The CESI group had lower median ODI scores after one week and one month, although this difference did not reach statistical significance (P = 0.334). Despite similar baseline NRS ratings, the CESI group had statistically significantly lower mean NRS scores at one week and one month (P < 0.001).</p><p><strong>Conclusions: </strong>The current study demonstrated that both CESI and TFESI treatments for PLSS following lumbar discectomy are effective and safe. These procedures can alleviate pain and reduce disability. Although the success rates of the two procedures are comparable, CESI appears to be more successful in reducing pain at the one-week and one-month follow-up.</p>\",\"PeriodicalId\":7841,\"journal\":{\"name\":\"Anesthesiology and Pain Medicine\",\"volume\":\"13 6\",\"pages\":\"e137325\"},\"PeriodicalIF\":0.0000,\"publicationDate\":\"2023-12-29\",\"publicationTypes\":\"Journal Article\",\"fieldsOfStudy\":null,\"isOpenAccess\":false,\"openAccessPdf\":\"https://www.ncbi.nlm.nih.gov/pmc/articles/PMC11078231/pdf/\",\"citationCount\":\"0\",\"resultStr\":null,\"platform\":\"Semanticscholar\",\"paperid\":null,\"PeriodicalName\":\"Anesthesiology and Pain Medicine\",\"FirstCategoryId\":\"1085\",\"ListUrlMain\":\"https://doi.org/10.5812/aapm-137325\",\"RegionNum\":0,\"RegionCategory\":null,\"ArticlePicture\":[],\"TitleCN\":null,\"AbstractTextCN\":null,\"PMCID\":null,\"EPubDate\":\"2023/12/1 0:00:00\",\"PubModel\":\"eCollection\",\"JCR\":\"Q2\",\"JCRName\":\"Medicine\",\"Score\":null,\"Total\":0}","platform":"Semanticscholar","paperid":null,"PeriodicalName":"Anesthesiology and Pain Medicine","FirstCategoryId":"1085","ListUrlMain":"https://doi.org/10.5812/aapm-137325","RegionNum":0,"RegionCategory":null,"ArticlePicture":[],"TitleCN":null,"AbstractTextCN":null,"PMCID":null,"EPubDate":"2023/12/1 0:00:00","PubModel":"eCollection","JCR":"Q2","JCRName":"Medicine","Score":null,"Total":0}
引用次数: 0

摘要

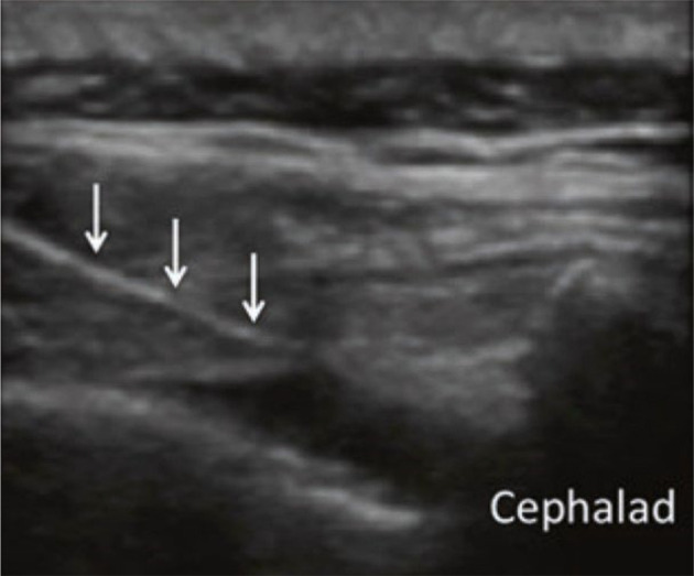
背景:腰椎手术后综合征(PLSS)是指脊柱手术后原因不明的持续性或复发性疼痛。它通常与硬膜外纤维化(EF)有关。一些研究表明,硬膜外类固醇注射(ESI)可有效缓解腰椎手术后综合征的疼痛,尤其是使用 S1 经椎间孔硬膜外类固醇注射(S1-TFESI)靶向 S1 神经根时。成功阻滞的关键因素是准确观察到骶骨第一背侧孔,而针头的目的地是 S1 背侧孔。虽然 S1-TFESI 通常是在透视下通过经椎孔途径进行的,但为了减少辐射,超声引导也是一种替代方法。本研究旨在比较超声引导下尾硬膜外类固醇注射(CESI)和S1-TFESI对PLSS患者的疗效:这项随机双盲临床试验涉及52名PLSS患者,他们被随机分配到CESI组或S1-TFESI组。患者俯卧位。使用低频(2 - 5 MHz)曲线线性传感器来观察该区域。在无菌准备好的穿刺部位插入 2-5 兆赫的弧形超声探头和超声凝胶,以确定下腰椎的关节突和骶骨后表面。然后将探针纵向定位到骶骨旁区域,距离中线外侧约 2 厘米。在最远的尾侧,关节突代表 L5/S1 水平,而 S1 后骶骨孔则由骶骨后表面的凹陷代表,该凹陷位于尾部。探针向尾部倾斜,以便为针头进入 S1 孔提供足够的空间。针尖的注射部位是 S1 孔。混合使用曲安奈德(40 毫克,1 毫升)、生理盐水(2 毫升)和罗哌卡因(0.2%)。在进行 TFS1 ESI 时,使用了 5 mL 混合液。进行 CESI 时,在俯卧位触诊骶骨裂孔,横向放置线性高频探头以获得骶骨裂孔的横向视图。使用三苯氧胺 40 毫克和罗哌卡因(0.2%)共 10 毫升。采用数字评分量表(NRS)和Oswestry残疾指数(ODI)评估患者的术前和术后情况,并记录不良事件。术后一周和一个月进行随访:与基线相比,两组患者在治疗后不同时间点的 NRS 和 ODI 评分均有所下降(P < 0.001)。CESI 组在一周后和一个月后的 ODI 评分中位数较低,但这一差异未达到统计学意义(P = 0.334)。尽管基线 NRS 评分相似,但 CESI 组在一周和一个月后的平均 NRS 评分显著低于 CESI 组(P < 0.001):本研究表明,CESI 和 TFESI 治疗腰椎间盘切除术后的 PLSS 既有效又安全。这些治疗方法可减轻疼痛并减少残疾。虽然两种治疗方法的成功率相当,但在一周和一个月的随访中,CESI 在减轻疼痛方面似乎更为成功。
本文章由计算机程序翻译,如有差异,请以英文原文为准。

Comparative Evaluation of Caudal Epidural Method to Ultrasound-Guided S1 Transforamen Block in Patient's Lumbar Discectomy with Failed Back Syndrome Symptoms: A Double-Blind Clinical Trial.

Comparative Evaluation of Caudal Epidural Method to Ultrasound-Guided S1 Transforamen Block in Patient's Lumbar Discectomy with Failed Back Syndrome Symptoms: A Double-Blind Clinical Trial.

Comparative Evaluation of Caudal Epidural Method to Ultrasound-Guided S1 Transforamen Block in Patient's Lumbar Discectomy with Failed Back Syndrome Symptoms: A Double-Blind Clinical Trial.

Comparative Evaluation of Caudal Epidural Method to Ultrasound-Guided S1 Transforamen Block in Patient's Lumbar Discectomy with Failed Back Syndrome Symptoms: A Double-Blind Clinical Trial.

Background: Post-lumbar surgery syndrome (PLSS) refers to persistent or recurrent pain following spinal surgery with an unknown cause. It is commonly associated with epidural fibrosis (EF). Some studies suggest that epidural steroid injection (ESI) can effectively alleviate pain in PLSS, particularly when targeting the S1 nerve root using S1 transforaminal epidural steroid injection (S1-TFESI). A key factor in a successful block is accurately visualizing the first dorsal sacral foramen, and the needle's destination is the dorsal S1 foramen. Although S1-TFESI is often performed under fluoroscopy through the transforaminal route, an alternative to reduce radiation exposure is ultrasound guidance. This study aimed to compare the efficacy of ultrasound-guided caudal epidural steroid injection (CESI) and S1-TFESI in PLSS patients.

Methods: A randomized double-blinded clinical trial was conducted involving 52 PLSS patients who were randomly assigned to either the CESI group or the S1-TFESI group. The patients were positioned prone. A linear transducer with a curve at a low frequency (2 - 5 MHz) was used to visualize the area. An aseptically prepared puncture site was used to insert a 2- to 5-MHz curved ultrasound probe with an ultrasound gel to identify the articular processes of the lower lumbar vertebrae and the posterior sacral surface. The probe was then positioned longitudinally to the para-sacral area, about 2 cm lateral to the midline. The articular process represented the L5/S1 level at the farthest caudal side, and the S1 posterior sacral foramen was represented by the concavity at the posterior sacral surface that was somewhat caudal. The probe was angled caudally to provide enough room for the needle to enter the S1 foramen. The injection site for the needle tip was the S1 foramen. A combination of triamcinolone (40 mg, 1 mL), normal saline (2 mL), and ropivacaine (0.2%) was administered. For TFS1 ESI, 5 mL of the combination was used. For CESI, the sacral hiatus was palpated in the prone position, and a linear high-frequency transducer was placed transversely to obtain a transverse view of the sacral hiatus. A combination of triamcinolone 40 mg and ropivacaine (0.2%) totaling 10 mL was employed. The Numerical Rating Scale (NRS) and Oswestry Disability Index (ODI) were used to assess patients' preoperative and postoperative conditions, and adverse events were recorded. Follow-up was conducted one week and one month after the procedures.

Results: In both groups, NRS and ODI scores decreased at different time points after treatment, compared to baseline (P < 0.001). The CESI group had lower median ODI scores after one week and one month, although this difference did not reach statistical significance (P = 0.334). Despite similar baseline NRS ratings, the CESI group had statistically significantly lower mean NRS scores at one week and one month (P < 0.001).

Conclusions: The current study demonstrated that both CESI and TFESI treatments for PLSS following lumbar discectomy are effective and safe. These procedures can alleviate pain and reduce disability. Although the success rates of the two procedures are comparable, CESI appears to be more successful in reducing pain at the one-week and one-month follow-up.

求助全文
通过发布文献求助,成功后即可免费获取论文全文。 去求助
来源期刊
Anesthesiology and Pain Medicine
Anesthesiology and Pain Medicine Medicine-Anesthesiology and Pain Medicine
CiteScore
4.60
自引率
0.00%
发文量
49
×
引用
GB/T 7714-2015
复制
MLA
复制
APA
复制
导出至
BibTeX EndNote RefMan NoteFirst NoteExpress
×
提示
您的信息不完整,为了账户安全,请先补充。
现在去补充
×
提示
您因"违规操作"
具体请查看互助需知
我知道了
×
提示
确定
请完成安全验证×
copy
已复制链接
快去分享给好友吧!
我知道了
右上角分享
点击右上角分享
0
联系我们:info@booksci.cn Book学术提供免费学术资源搜索服务,方便国内外学者检索中英文文献。致力于提供最便捷和优质的服务体验。 Copyright © 2023 布克学术 All rights reserved.
京ICP备2023020795号-1
ghs 京公网安备 11010802042870号
Book学术文献互助
Book学术文献互助群
群 号:604180095
Book学术官方微信