从埃塞俄比亚西北部两个屠宰场分离出的致腹泻大肠埃希氏菌的检测和抗生素图谱:一个健康视角。

IF 3.6 Q2 INFECTIOUS DISEASES
Solomon Lulie Abey, Mersha Teka, Abebe Belete Bitew, Wassie Molla, Mebrat Ejo, Gashaw Getaneh Dagnaw, Takele Adugna, Seleshe Nigatu, Bemrew Admassu Mengistu, Mebrie Zemene Kinde, Adugna Berju, Mequanint Addisu Belete, Wudu Temesgen, Shimelis Dagnachew, Tesfaye Sisay Tesema
{"title":"从埃塞俄比亚西北部两个屠宰场分离出的致腹泻大肠埃希氏菌的检测和抗生素图谱:一个健康视角。","authors":"Solomon Lulie Abey, Mersha Teka, Abebe Belete Bitew, Wassie Molla, Mebrat Ejo, Gashaw Getaneh Dagnaw, Takele Adugna, Seleshe Nigatu, Bemrew Admassu Mengistu, Mebrie Zemene Kinde, Adugna Berju, Mequanint Addisu Belete, Wudu Temesgen, Shimelis Dagnachew, Tesfaye Sisay Tesema","doi":"10.1186/s42522-024-00102-y","DOIUrl":null,"url":null,"abstract":"<p><strong>Background: </strong>Diarrheagenic Escherichia coli (E. coli) is a zoonotic pathogen that contaminates abattoir workers, slaughter environments, slaughter equipment, and carcasses during abattoir processing. Infection with E. coli is associated with the consumption of contaminated food and water, and it is a potential threat to the health and welfare of both humans and animals. Hence, this study aimed to detect diarrheagenic E. coli and assess its antibiogram profile in two abattoir settings, in one health lens.</p><p><strong>Methods: </strong>A cross-sectional study in one health approach was conducted from December 2020 to June 2021. A total of 384 samples from abattoir workers' hands, carcasses, knives, cattle feces, abattoir water and effluents were collected. Bacterial culture and biochemical tests were conducted to isolate E. coli, while conventional polymerase chain reaction was performed to identify virulence genes. The antibiogram of diarrheagenic E. coli was tested against nine antimicrobials using the Kirby Bauer disk diffusion method.</p><p><strong>Results: </strong>A total of 115 (29.95%) E. coli were isolated from the 384 samples, and from these isolates, about 17 (14.8%) were confirmed to be diarrheagenic E. coli (DEC). Among the DEC pathotypes, nine (52.94%), five (29.4%), and three (17.65%) were Shiga toxin-producing, enterohemorrhagic, and enterotoxigenic E. coli, respectively. While 14 (82.35%) DEC isolates harbored the stx2 gene, five (29.41%) the eae gene, five (29.41%) the hlyA gene and three (17.65%) harbored the st gene. All the DEC isolates were resistant to erythromycin and vancomycin; whereas, they were susceptible to ampicillin, nalidixic acid and norfloxacin. Furthermore, 64.7% of DEC isolates showed resistance to both ceftazidime and kanamycin and 88.24% of the isolates showed multidrug resistance.</p><p><strong>Conclusion: </strong>This study detected DEC isolates having different virulence genes, which showed single and multiple antimicrobial resistance. Given the existing poor hygienic and sanitary practices along the abattoir-to-table food chain, coupled with the habit of raw meat consumption, this result indicates a potential public and animal health risk from the pathogen and antimicrobial resistance.</p>","PeriodicalId":94348,"journal":{"name":"One health outlook","volume":"6 1","pages":"8"},"PeriodicalIF":3.6000,"publicationDate":"2024-05-06","publicationTypes":"Journal Article","fieldsOfStudy":null,"isOpenAccess":false,"openAccessPdf":"https://www.ncbi.nlm.nih.gov/pmc/articles/PMC11071326/pdf/","citationCount":"0","resultStr":"{\"title\":\"Detection and antibiogram profile of diarrheagenic Escherichia coli isolated from two abattoir settings in northwest Ethiopia: a one health perspective.\",\"authors\":\"Solomon Lulie Abey, Mersha Teka, Abebe Belete Bitew, Wassie Molla, Mebrat Ejo, Gashaw Getaneh Dagnaw, Takele Adugna, Seleshe Nigatu, Bemrew Admassu Mengistu, Mebrie Zemene Kinde, Adugna Berju, Mequanint Addisu Belete, Wudu Temesgen, Shimelis Dagnachew, Tesfaye Sisay Tesema\",\"doi\":\"10.1186/s42522-024-00102-y\",\"DOIUrl\":null,\"url\":null,\"abstract\":\"<p><strong>Background: </strong>Diarrheagenic Escherichia coli (E. coli) is a zoonotic pathogen that contaminates abattoir workers, slaughter environments, slaughter equipment, and carcasses during abattoir processing. Infection with E. coli is associated with the consumption of contaminated food and water, and it is a potential threat to the health and welfare of both humans and animals. Hence, this study aimed to detect diarrheagenic E. coli and assess its antibiogram profile in two abattoir settings, in one health lens.</p><p><strong>Methods: </strong>A cross-sectional study in one health approach was conducted from December 2020 to June 2021. A total of 384 samples from abattoir workers' hands, carcasses, knives, cattle feces, abattoir water and effluents were collected. Bacterial culture and biochemical tests were conducted to isolate E. coli, while conventional polymerase chain reaction was performed to identify virulence genes. The antibiogram of diarrheagenic E. coli was tested against nine antimicrobials using the Kirby Bauer disk diffusion method.</p><p><strong>Results: </strong>A total of 115 (29.95%) E. coli were isolated from the 384 samples, and from these isolates, about 17 (14.8%) were confirmed to be diarrheagenic E. coli (DEC). Among the DEC pathotypes, nine (52.94%), five (29.4%), and three (17.65%) were Shiga toxin-producing, enterohemorrhagic, and enterotoxigenic E. coli, respectively. While 14 (82.35%) DEC isolates harbored the stx2 gene, five (29.41%) the eae gene, five (29.41%) the hlyA gene and three (17.65%) harbored the st gene. All the DEC isolates were resistant to erythromycin and vancomycin; whereas, they were susceptible to ampicillin, nalidixic acid and norfloxacin. Furthermore, 64.7% of DEC isolates showed resistance to both ceftazidime and kanamycin and 88.24% of the isolates showed multidrug resistance.</p><p><strong>Conclusion: </strong>This study detected DEC isolates having different virulence genes, which showed single and multiple antimicrobial resistance. Given the existing poor hygienic and sanitary practices along the abattoir-to-table food chain, coupled with the habit of raw meat consumption, this result indicates a potential public and animal health risk from the pathogen and antimicrobial resistance.</p>\",\"PeriodicalId\":94348,\"journal\":{\"name\":\"One health outlook\",\"volume\":\"6 1\",\"pages\":\"8\"},\"PeriodicalIF\":3.6000,\"publicationDate\":\"2024-05-06\",\"publicationTypes\":\"Journal Article\",\"fieldsOfStudy\":null,\"isOpenAccess\":false,\"openAccessPdf\":\"https://www.ncbi.nlm.nih.gov/pmc/articles/PMC11071326/pdf/\",\"citationCount\":\"0\",\"resultStr\":null,\"platform\":\"Semanticscholar\",\"paperid\":null,\"PeriodicalName\":\"One health outlook\",\"FirstCategoryId\":\"1085\",\"ListUrlMain\":\"https://doi.org/10.1186/s42522-024-00102-y\",\"RegionNum\":0,\"RegionCategory\":null,\"ArticlePicture\":[],\"TitleCN\":null,\"AbstractTextCN\":null,\"PMCID\":null,\"EPubDate\":\"\",\"PubModel\":\"\",\"JCR\":\"Q2\",\"JCRName\":\"INFECTIOUS DISEASES\",\"Score\":null,\"Total\":0}","platform":"Semanticscholar","paperid":null,"PeriodicalName":"One health outlook","FirstCategoryId":"1085","ListUrlMain":"https://doi.org/10.1186/s42522-024-00102-y","RegionNum":0,"RegionCategory":null,"ArticlePicture":[],"TitleCN":null,"AbstractTextCN":null,"PMCID":null,"EPubDate":"","PubModel":"","JCR":"Q2","JCRName":"INFECTIOUS DISEASES","Score":null,"Total":0}
引用次数: 0

摘要

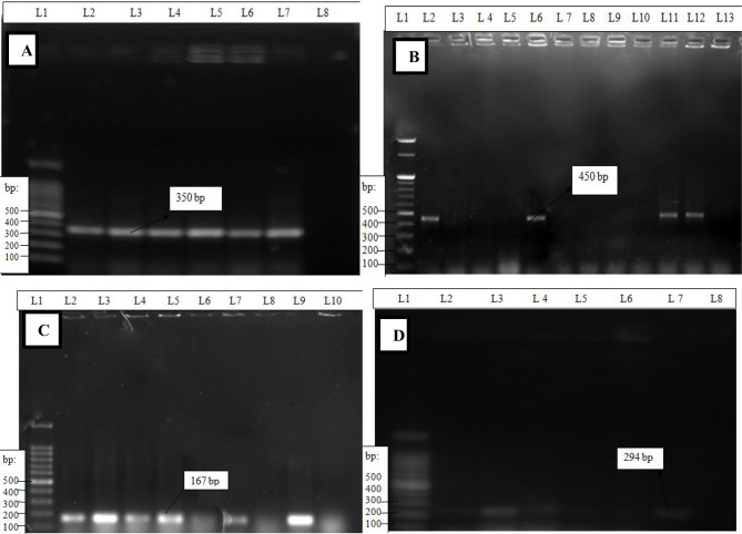
背景:致腹泻大肠杆菌(E. coli)是一种人畜共患病原,在屠宰场加工过程中会污染屠宰场工人、屠宰环境、屠宰设备和屠体。感染大肠杆菌与食用受污染的食物和水有关,对人类和动物的健康和福利构成潜在威胁。因此,本研究旨在检测腹泻性大肠杆菌,并评估其在两个屠宰场和一个卫生镜头中的抗生素图谱:方法:在 2020 年 12 月至 2021 年 6 月期间,采用一种健康方法开展了一项横断面研究。从屠宰场工人的手、屠体、刀具、牛的粪便、屠宰场用水和污水中收集了共 384 份样本。研究人员通过细菌培养和生化测试来分离大肠杆菌,并通过传统的聚合酶链反应来鉴定致病基因。采用柯比鲍尔盘扩散法测试了腹泻性大肠杆菌对九种抗菌药的抗药性:结果:从 384 个样本中共分离出 115 个(29.95%)大肠杆菌,其中约 17 个(14.8%)被确认为致泻性大肠杆菌(DEC)。在 DEC 病原型中,9 株(52.94%)、5 株(29.4%)和 3 株(17.65%)分别为产志贺毒素大肠杆菌、肠出血性大肠杆菌和肠毒性大肠杆菌。其中 14 个(82.35%)DEC 分离物携带 stx2 基因,5 个(29.41%)携带 eae 基因,5 个(29.41%)携带 hlyA 基因,3 个(17.65%)携带 st 基因。所有 DEC 分离物都对红霉素和万古霉素有抗药性,但对氨苄西林、萘啶酸和诺氟沙星敏感。此外,64.7%的 DEC 分离物对头孢他啶和卡那霉素均表现出耐药性,88.24%的分离物表现出多药耐药性:本研究检测到了具有不同毒力基因的 DEC 分离物,这些分离物表现出单一和多重抗菌药耐药性。鉴于目前从屠宰场到餐桌的食物链中存在的不良卫生习惯,再加上人们食用生肉的习惯,这一结果表明病原体和抗菌药耐药性可能会对公众和动物健康造成危害。
本文章由计算机程序翻译,如有差异,请以英文原文为准。

Detection and antibiogram profile of diarrheagenic Escherichia coli isolated from two abattoir settings in northwest Ethiopia: a one health perspective.

Detection and antibiogram profile of diarrheagenic Escherichia coli isolated from two abattoir settings in northwest Ethiopia: a one health perspective.

Detection and antibiogram profile of diarrheagenic Escherichia coli isolated from two abattoir settings in northwest Ethiopia: a one health perspective.

Detection and antibiogram profile of diarrheagenic Escherichia coli isolated from two abattoir settings in northwest Ethiopia: a one health perspective.

Background: Diarrheagenic Escherichia coli (E. coli) is a zoonotic pathogen that contaminates abattoir workers, slaughter environments, slaughter equipment, and carcasses during abattoir processing. Infection with E. coli is associated with the consumption of contaminated food and water, and it is a potential threat to the health and welfare of both humans and animals. Hence, this study aimed to detect diarrheagenic E. coli and assess its antibiogram profile in two abattoir settings, in one health lens.

Methods: A cross-sectional study in one health approach was conducted from December 2020 to June 2021. A total of 384 samples from abattoir workers' hands, carcasses, knives, cattle feces, abattoir water and effluents were collected. Bacterial culture and biochemical tests were conducted to isolate E. coli, while conventional polymerase chain reaction was performed to identify virulence genes. The antibiogram of diarrheagenic E. coli was tested against nine antimicrobials using the Kirby Bauer disk diffusion method.

Results: A total of 115 (29.95%) E. coli were isolated from the 384 samples, and from these isolates, about 17 (14.8%) were confirmed to be diarrheagenic E. coli (DEC). Among the DEC pathotypes, nine (52.94%), five (29.4%), and three (17.65%) were Shiga toxin-producing, enterohemorrhagic, and enterotoxigenic E. coli, respectively. While 14 (82.35%) DEC isolates harbored the stx2 gene, five (29.41%) the eae gene, five (29.41%) the hlyA gene and three (17.65%) harbored the st gene. All the DEC isolates were resistant to erythromycin and vancomycin; whereas, they were susceptible to ampicillin, nalidixic acid and norfloxacin. Furthermore, 64.7% of DEC isolates showed resistance to both ceftazidime and kanamycin and 88.24% of the isolates showed multidrug resistance.

Conclusion: This study detected DEC isolates having different virulence genes, which showed single and multiple antimicrobial resistance. Given the existing poor hygienic and sanitary practices along the abattoir-to-table food chain, coupled with the habit of raw meat consumption, this result indicates a potential public and animal health risk from the pathogen and antimicrobial resistance.

求助全文
通过发布文献求助,成功后即可免费获取论文全文。 去求助
来源期刊
自引率
0.00%
发文量
0
×
引用
GB/T 7714-2015
复制
MLA
复制
APA
复制
导出至
BibTeX EndNote RefMan NoteFirst NoteExpress
×
提示
您的信息不完整,为了账户安全,请先补充。
现在去补充
×
提示
您因"违规操作"
具体请查看互助需知
我知道了
×
提示
确定
请完成安全验证×
copy
已复制链接
快去分享给好友吧!
我知道了
右上角分享
点击右上角分享
0
联系我们:info@booksci.cn Book学术提供免费学术资源搜索服务,方便国内外学者检索中英文文献。致力于提供最便捷和优质的服务体验。 Copyright © 2023 布克学术 All rights reserved.
京ICP备2023020795号-1
ghs 京公网安备 11010802042870号
Book学术文献互助
Book学术文献互助群
群 号:604180095
Book学术官方微信