由念珠菌属感染引起的自发性糖尿病鸟居鼠肉芽肿性心肌炎

Kinuko Uno, Soon Hui Teoh, Keita Sekiguchi, Noriko Suzuki-Kemuriyama, Takeshi Ohta, Katsuhiro Miyajima
{"title":"由念珠菌属感染引起的自发性糖尿病鸟居鼠肉芽肿性心肌炎","authors":"Kinuko Uno, Soon Hui Teoh, Keita Sekiguchi, Noriko Suzuki-Kemuriyama, Takeshi Ohta, Katsuhiro Miyajima","doi":"10.5455/medarh.2024.78.177-179","DOIUrl":null,"url":null,"abstract":"<p><strong>Background: </strong>Myocarditis refers to myocardial inflammation with necrosis caused by non-infectious of infectious agents such as bacteria, fungi, or drugs. Candida is known to cause myocarditis in healthy and immunocompromised individuals. Diabetes mellitus causes chronic hyperglycemia due to impaired secretion or hypofunction of insulin, induces a compromised state, and increases the risk of contracting various infections.</p><p><strong>Objective: </strong>We report a case of granulomatous myocarditis caused by Candida in a Spontaneously Diabetic Torii rat, a non-obese diabetic model.</p><p><strong>Case report: </strong>A male SDT rat, 61 weeks of age, was housed in conventional environment. The rat was provided a commercial diet and tap water ad libitum. The heart was sampled and prepared the specimen of hematoxylin-and-eosin-, Sirius-red-, Giemsa-, Grocott-stain. Histologically, formation of large granulation tissue was observed in the left ventricular wall. A center of the foci showed necrosis. Moreover, inflammatory cells infiltration and fibrous component were increased surrounding the foci and between myocardial cells. A Grocott and Giemsa staining-positive cell masses occasionally appearing in the foci were considered to be Candida because of their characteristic form.</p><p><strong>Conclusion: </strong>The development and progression of myocarditis were potentially related to a diabetes-induced compromised state.</p>","PeriodicalId":94135,"journal":{"name":"Medical archives (Sarajevo, Bosnia and Herzegovina)","volume":"78 2","pages":"177-179"},"PeriodicalIF":0.0000,"publicationDate":"2024-01-01","publicationTypes":"Journal Article","fieldsOfStudy":null,"isOpenAccess":false,"openAccessPdf":"https://www.ncbi.nlm.nih.gov/pmc/articles/PMC10983084/pdf/","citationCount":"0","resultStr":"{\"title\":\"Granulomatous Myocarditis Caused by Candida Spp Infection in a Spontaneously Diabetic Torii Rat.\",\"authors\":\"Kinuko Uno, Soon Hui Teoh, Keita Sekiguchi, Noriko Suzuki-Kemuriyama, Takeshi Ohta, Katsuhiro Miyajima\",\"doi\":\"10.5455/medarh.2024.78.177-179\",\"DOIUrl\":null,\"url\":null,\"abstract\":\"<p><strong>Background: </strong>Myocarditis refers to myocardial inflammation with necrosis caused by non-infectious of infectious agents such as bacteria, fungi, or drugs. Candida is known to cause myocarditis in healthy and immunocompromised individuals. Diabetes mellitus causes chronic hyperglycemia due to impaired secretion or hypofunction of insulin, induces a compromised state, and increases the risk of contracting various infections.</p><p><strong>Objective: </strong>We report a case of granulomatous myocarditis caused by Candida in a Spontaneously Diabetic Torii rat, a non-obese diabetic model.</p><p><strong>Case report: </strong>A male SDT rat, 61 weeks of age, was housed in conventional environment. The rat was provided a commercial diet and tap water ad libitum. The heart was sampled and prepared the specimen of hematoxylin-and-eosin-, Sirius-red-, Giemsa-, Grocott-stain. Histologically, formation of large granulation tissue was observed in the left ventricular wall. A center of the foci showed necrosis. Moreover, inflammatory cells infiltration and fibrous component were increased surrounding the foci and between myocardial cells. A Grocott and Giemsa staining-positive cell masses occasionally appearing in the foci were considered to be Candida because of their characteristic form.</p><p><strong>Conclusion: </strong>The development and progression of myocarditis were potentially related to a diabetes-induced compromised state.</p>\",\"PeriodicalId\":94135,\"journal\":{\"name\":\"Medical archives (Sarajevo, Bosnia and Herzegovina)\",\"volume\":\"78 2\",\"pages\":\"177-179\"},\"PeriodicalIF\":0.0000,\"publicationDate\":\"2024-01-01\",\"publicationTypes\":\"Journal Article\",\"fieldsOfStudy\":null,\"isOpenAccess\":false,\"openAccessPdf\":\"https://www.ncbi.nlm.nih.gov/pmc/articles/PMC10983084/pdf/\",\"citationCount\":\"0\",\"resultStr\":null,\"platform\":\"Semanticscholar\",\"paperid\":null,\"PeriodicalName\":\"Medical archives (Sarajevo, Bosnia and Herzegovina)\",\"FirstCategoryId\":\"1085\",\"ListUrlMain\":\"https://doi.org/10.5455/medarh.2024.78.177-179\",\"RegionNum\":0,\"RegionCategory\":null,\"ArticlePicture\":[],\"TitleCN\":null,\"AbstractTextCN\":null,\"PMCID\":null,\"EPubDate\":\"\",\"PubModel\":\"\",\"JCR\":\"\",\"JCRName\":\"\",\"Score\":null,\"Total\":0}","platform":"Semanticscholar","paperid":null,"PeriodicalName":"Medical archives (Sarajevo, Bosnia and Herzegovina)","FirstCategoryId":"1085","ListUrlMain":"https://doi.org/10.5455/medarh.2024.78.177-179","RegionNum":0,"RegionCategory":null,"ArticlePicture":[],"TitleCN":null,"AbstractTextCN":null,"PMCID":null,"EPubDate":"","PubModel":"","JCR":"","JCRName":"","Score":null,"Total":0}
引用次数: 0

摘要

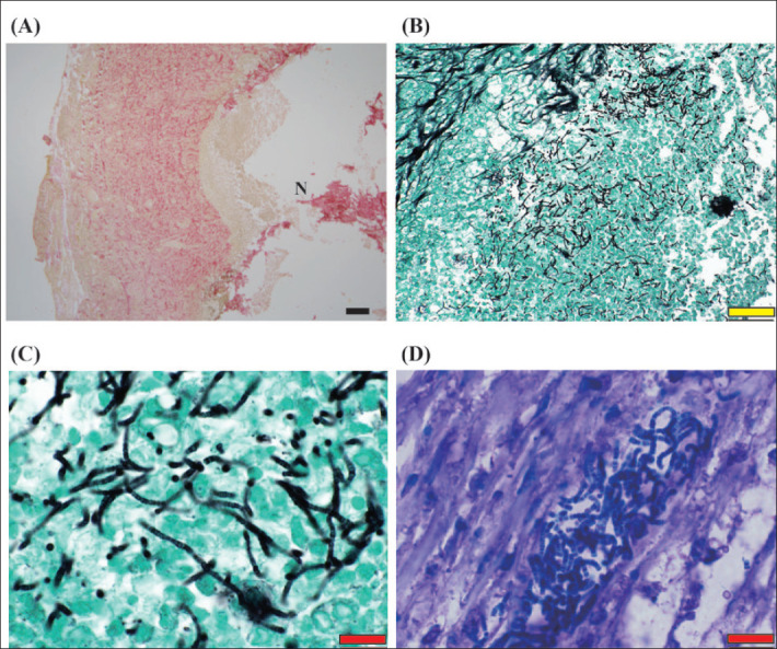
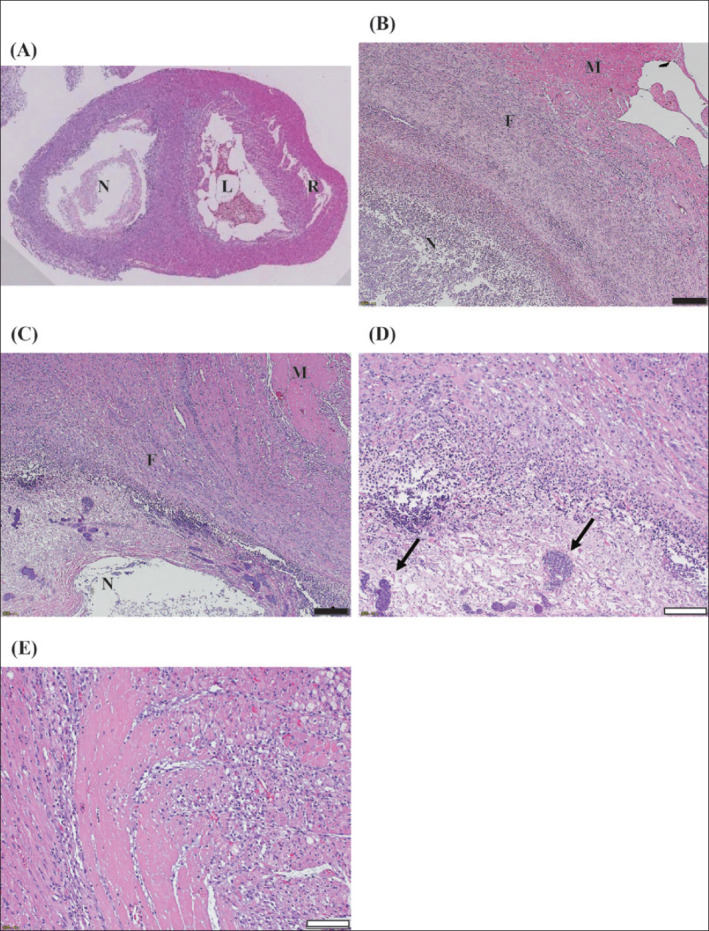
背景:心肌炎是指由细菌、真菌或药物等非传染性或传染性病原体引起的心肌炎症和坏死。念珠菌可导致健康人和免疫力低下的人患心肌炎。糖尿病患者由于胰岛素分泌障碍或功能减退而导致慢性高血糖,诱发心肌损害,并增加感染各种感染的风险:我们报告了一例由念珠菌引起的自发性糖尿病大鼠(一种非肥胖糖尿病模型)肉芽肿性心肌炎:雄性 SDT 大鼠,61 周龄,在常规环境中饲养。大鼠自由食用商品饲料和自来水。对大鼠心脏进行取样,并制备苏木精-伊红、天狼星-红、吉尔萨-、格罗高特-染色标本。在组织学上,观察到左心室壁形成大的肉芽组织。病灶中心出现坏死。此外,病灶周围和心肌细胞之间的炎性细胞浸润和纤维成分增多。病灶中偶尔出现的 Grocott 和 Giemsa 染色阳性细胞团因其特征性形态而被认为是念珠菌:结论:心肌炎的发生和发展可能与糖尿病引起的损害状态有关。
本文章由计算机程序翻译,如有差异,请以英文原文为准。

Granulomatous Myocarditis Caused by Candida Spp Infection in a Spontaneously Diabetic Torii Rat.

Granulomatous Myocarditis Caused by Candida Spp Infection in a Spontaneously Diabetic Torii Rat.

Granulomatous Myocarditis Caused by Candida Spp Infection in a Spontaneously Diabetic Torii Rat.

Granulomatous Myocarditis Caused by Candida Spp Infection in a Spontaneously Diabetic Torii Rat.

Background: Myocarditis refers to myocardial inflammation with necrosis caused by non-infectious of infectious agents such as bacteria, fungi, or drugs. Candida is known to cause myocarditis in healthy and immunocompromised individuals. Diabetes mellitus causes chronic hyperglycemia due to impaired secretion or hypofunction of insulin, induces a compromised state, and increases the risk of contracting various infections.

Objective: We report a case of granulomatous myocarditis caused by Candida in a Spontaneously Diabetic Torii rat, a non-obese diabetic model.

Case report: A male SDT rat, 61 weeks of age, was housed in conventional environment. The rat was provided a commercial diet and tap water ad libitum. The heart was sampled and prepared the specimen of hematoxylin-and-eosin-, Sirius-red-, Giemsa-, Grocott-stain. Histologically, formation of large granulation tissue was observed in the left ventricular wall. A center of the foci showed necrosis. Moreover, inflammatory cells infiltration and fibrous component were increased surrounding the foci and between myocardial cells. A Grocott and Giemsa staining-positive cell masses occasionally appearing in the foci were considered to be Candida because of their characteristic form.

Conclusion: The development and progression of myocarditis were potentially related to a diabetes-induced compromised state.

求助全文
通过发布文献求助,成功后即可免费获取论文全文。 去求助
来源期刊
自引率
0.00%
发文量
0
×
引用
GB/T 7714-2015
复制
MLA
复制
APA
复制
导出至
BibTeX EndNote RefMan NoteFirst NoteExpress
×
提示
您的信息不完整,为了账户安全,请先补充。
现在去补充
×
提示
您因"违规操作"
具体请查看互助需知
我知道了
×
提示
确定
请完成安全验证×
copy
已复制链接
快去分享给好友吧!
我知道了
右上角分享
点击右上角分享
0
联系我们:info@booksci.cn Book学术提供免费学术资源搜索服务,方便国内外学者检索中英文文献。致力于提供最便捷和优质的服务体验。 Copyright © 2023 布克学术 All rights reserved.
京ICP备2023020795号-1
ghs 京公网安备 11010802042870号
Book学术文献互助
Book学术文献互助群
群 号:604180095
Book学术官方微信