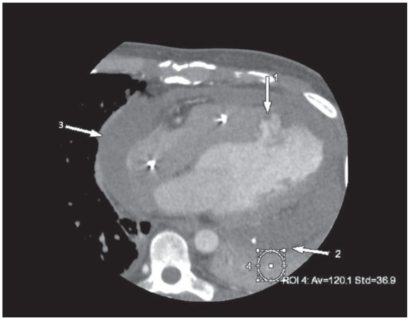
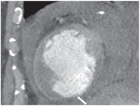
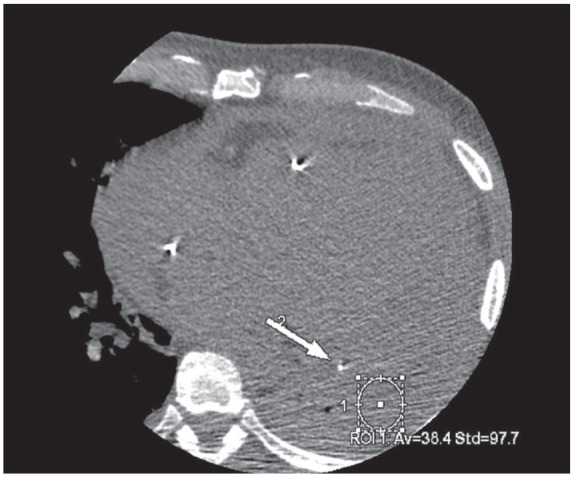
一个漏气的假囊:心脏计算机断层扫描血管造影发现左心室假性动脉瘤伴活动性心包积血。

IF 3.3 Q2 CARDIAC & CARDIOVASCULAR SYSTEMS
Clinical Medicine Insights. Cardiology Pub Date : 2024-04-27 eCollection Date: 2024-01-01 DOI:10.1177/11795468241249059
Shiva Barforoshi, Chandana Shekar, Zoe Yu, Eugene Liu, Venkat Manubolu, Matthew J Budoff, Sion K Roy
{"title":"一个漏气的假囊:心脏计算机断层扫描血管造影发现左心室假性动脉瘤伴活动性心包积血。","authors":"Shiva Barforoshi, Chandana Shekar, Zoe Yu, Eugene Liu, Venkat Manubolu, Matthew J Budoff, Sion K Roy","doi":"10.1177/11795468241249059","DOIUrl":null,"url":null,"abstract":"<p><p>Pseudoaneurysm is a rare but fatal complication of myocardial infarction (MI). With the advances in cardiovascular disease detection and treatments, fatal structural complications post-MI are now rare. When they occur, advanced diagnostic modalities can be used for early diagnosis, aiding surgical planning, and improving prognosis. In our case, post-MI left ventricle pseudoaneurysm complicated by hemopericardium was diagnosed using cardiac computed tomography angiography (CCTA). Use of attenuation measurement on CCTA helped diagnose active extravasation into the hemopericardium. This case highlights the high index of suspicion needed for rare but fatal complications post-MI and the utility of CCTA in their management.</p>","PeriodicalId":10419,"journal":{"name":"Clinical Medicine Insights. Cardiology","volume":"18 ","pages":"11795468241249059"},"PeriodicalIF":3.3000,"publicationDate":"2024-04-27","publicationTypes":"Journal Article","fieldsOfStudy":null,"isOpenAccess":false,"openAccessPdf":"https://www.ncbi.nlm.nih.gov/pmc/articles/PMC11057338/pdf/","citationCount":"0","resultStr":"{\"title\":\"A Leaky False Pouch: Left Ventricle Pseudoaneurysm with Active Hemopericardium Detected on Cardiac Computed Tomography Angiography.\",\"authors\":\"Shiva Barforoshi, Chandana Shekar, Zoe Yu, Eugene Liu, Venkat Manubolu, Matthew J Budoff, Sion K Roy\",\"doi\":\"10.1177/11795468241249059\",\"DOIUrl\":null,\"url\":null,\"abstract\":\"<p><p>Pseudoaneurysm is a rare but fatal complication of myocardial infarction (MI). With the advances in cardiovascular disease detection and treatments, fatal structural complications post-MI are now rare. When they occur, advanced diagnostic modalities can be used for early diagnosis, aiding surgical planning, and improving prognosis. In our case, post-MI left ventricle pseudoaneurysm complicated by hemopericardium was diagnosed using cardiac computed tomography angiography (CCTA). Use of attenuation measurement on CCTA helped diagnose active extravasation into the hemopericardium. This case highlights the high index of suspicion needed for rare but fatal complications post-MI and the utility of CCTA in their management.</p>\",\"PeriodicalId\":10419,\"journal\":{\"name\":\"Clinical Medicine Insights. Cardiology\",\"volume\":\"18 \",\"pages\":\"11795468241249059\"},\"PeriodicalIF\":3.3000,\"publicationDate\":\"2024-04-27\",\"publicationTypes\":\"Journal Article\",\"fieldsOfStudy\":null,\"isOpenAccess\":false,\"openAccessPdf\":\"https://www.ncbi.nlm.nih.gov/pmc/articles/PMC11057338/pdf/\",\"citationCount\":\"0\",\"resultStr\":null,\"platform\":\"Semanticscholar\",\"paperid\":null,\"PeriodicalName\":\"Clinical Medicine Insights. Cardiology\",\"FirstCategoryId\":\"1085\",\"ListUrlMain\":\"https://doi.org/10.1177/11795468241249059\",\"RegionNum\":0,\"RegionCategory\":null,\"ArticlePicture\":[],\"TitleCN\":null,\"AbstractTextCN\":null,\"PMCID\":null,\"EPubDate\":\"2024/1/1 0:00:00\",\"PubModel\":\"eCollection\",\"JCR\":\"Q2\",\"JCRName\":\"CARDIAC & CARDIOVASCULAR SYSTEMS\",\"Score\":null,\"Total\":0}","platform":"Semanticscholar","paperid":null,"PeriodicalName":"Clinical Medicine Insights. Cardiology","FirstCategoryId":"1085","ListUrlMain":"https://doi.org/10.1177/11795468241249059","RegionNum":0,"RegionCategory":null,"ArticlePicture":[],"TitleCN":null,"AbstractTextCN":null,"PMCID":null,"EPubDate":"2024/1/1 0:00:00","PubModel":"eCollection","JCR":"Q2","JCRName":"CARDIAC & CARDIOVASCULAR SYSTEMS","Score":null,"Total":0}
引用次数: 0

摘要

假性动脉瘤是心肌梗死(MI)的一种罕见但致命的并发症。随着心血管疾病检测和治疗技术的进步,心肌梗死后致命的结构性并发症现在已经很少见了。一旦发生,先进的诊断方法可用于早期诊断,帮助制定手术计划并改善预后。在我们的病例中,心脏计算机断层扫描血管造影术(CCTA)诊断出了心肌梗死后左心室假性动脉瘤并发血心包。CCTA 的衰减测量有助于诊断血心包的活动性外渗。该病例强调了对心肌梗死后罕见但致命的并发症需要高度怀疑,以及 CCTA 在治疗中的作用。
本文章由计算机程序翻译,如有差异,请以英文原文为准。

A Leaky False Pouch: Left Ventricle Pseudoaneurysm with Active Hemopericardium Detected on Cardiac Computed Tomography Angiography.

A Leaky False Pouch: Left Ventricle Pseudoaneurysm with Active Hemopericardium Detected on Cardiac Computed Tomography Angiography.

A Leaky False Pouch: Left Ventricle Pseudoaneurysm with Active Hemopericardium Detected on Cardiac Computed Tomography Angiography.

A Leaky False Pouch: Left Ventricle Pseudoaneurysm with Active Hemopericardium Detected on Cardiac Computed Tomography Angiography.

Pseudoaneurysm is a rare but fatal complication of myocardial infarction (MI). With the advances in cardiovascular disease detection and treatments, fatal structural complications post-MI are now rare. When they occur, advanced diagnostic modalities can be used for early diagnosis, aiding surgical planning, and improving prognosis. In our case, post-MI left ventricle pseudoaneurysm complicated by hemopericardium was diagnosed using cardiac computed tomography angiography (CCTA). Use of attenuation measurement on CCTA helped diagnose active extravasation into the hemopericardium. This case highlights the high index of suspicion needed for rare but fatal complications post-MI and the utility of CCTA in their management.

求助全文
通过发布文献求助,成功后即可免费获取论文全文。 去求助
来源期刊
Clinical Medicine Insights. Cardiology
Clinical Medicine Insights. Cardiology CARDIAC & CARDIOVASCULAR SYSTEMS-
CiteScore
5.20
自引率
3.30%
发文量
16
审稿时长
8 weeks
×
引用
GB/T 7714-2015
复制
MLA
复制
APA
复制
导出至
BibTeX EndNote RefMan NoteFirst NoteExpress
×
提示
您的信息不完整,为了账户安全,请先补充。
现在去补充
×
提示
您因"违规操作"
具体请查看互助需知
我知道了
×
提示
确定
请完成安全验证×
copy
已复制链接
快去分享给好友吧!
我知道了
右上角分享
点击右上角分享
0
联系我们:info@booksci.cn Book学术提供免费学术资源搜索服务,方便国内外学者检索中英文文献。致力于提供最便捷和优质的服务体验。 Copyright © 2023 布克学术 All rights reserved.
京ICP备2023020795号-1
ghs 京公网安备 11010802042870号
Book学术文献互助
Book学术文献互助群
群 号:604180095
Book学术官方微信