aquaporin-4(aqp-4)免疫球蛋白 g 血清阳性神经脊髓炎视网膜炎:综述和病例报告。

Annals of Ibadan postgraduate medicine Pub Date : 2023-12-01 Epub Date: 2024-01-30
C Nwaze, Y Eghwrudjakpor, N Chinedu-Anunaso
{"title":"aquaporin-4(aqp-4)免疫球蛋白 g 血清阳性神经脊髓炎视网膜炎:综述和病例报告。","authors":"C Nwaze, Y Eghwrudjakpor, N Chinedu-Anunaso","doi":"","DOIUrl":null,"url":null,"abstract":"<p><strong>Background: </strong>Neuromyelitis optica spectrum disorder (NMOSD) is a relatively new terminology composed to encompass patients with neuromyelitis optica (NMO) and related immunological conditions. The diagnosis of this condition requires a seropositive aquaporin-4 immunoglobulin G (AQP-4 IgG), the presence of at least one core clinical characteristic and the exclusion of alternative diagnoses. Very few cases have been reported in sub-Saharan Africa.</p><p><strong>Objective: </strong>The aim of this article is to report a classical case of NMOSD with AQP-4 IgG seropositivity and normal brain, cervical and thoracic MRI findings.</p><p><strong>Result: </strong>We report a 25-year-old Nigerian woman who presented with recurrent and alternating weakness, pain and numbness of all limbs, associated with episodic painful left-sided tonic spasms and urinary incontinence. She had earlier had symptoms of recurrent, episodic and alternating loss of vision in both eyes, associated with ocular pain.Examination findings revealed an intact mental status, no cranial nerve deficit and no focal limb weakness. Right-sided deep tendon reflexes were exaggerated. Vital signs were within normal limits. Brain MRI, Cervical spine MRI and Thoracic spine MRI all revealed normal findings. Serum aquaporin-4 IgG assay returned positive with a titer of 1:32.She was commenced on high dose steroids and there was gradual improvement of symptoms.</p><p><strong>Conclusion: </strong>These findings confirmed the diagnosis of neuromyelitis optica spectrum disorder, and satisfies the diagnostic criteria published in 2015 by the International Panel for NMO Diagnosis (IPND).</p>","PeriodicalId":72221,"journal":{"name":"Annals of Ibadan postgraduate medicine","volume":"21 3","pages":"79-84"},"PeriodicalIF":0.0000,"publicationDate":"2023-12-01","publicationTypes":"Journal Article","fieldsOfStudy":null,"isOpenAccess":false,"openAccessPdf":"https://www.ncbi.nlm.nih.gov/pmc/articles/PMC11065186/pdf/","citationCount":"0","resultStr":"{\"title\":\"AQUAPORIN-4 (AQP-4) IMMUNOGLOBULIN G SEROPOSITIVE NEUROMYELITIS OPTICA: A REVIEW AND CASE REPORT.\",\"authors\":\"C Nwaze, Y Eghwrudjakpor, N Chinedu-Anunaso\",\"doi\":\"\",\"DOIUrl\":null,\"url\":null,\"abstract\":\"<p><strong>Background: </strong>Neuromyelitis optica spectrum disorder (NMOSD) is a relatively new terminology composed to encompass patients with neuromyelitis optica (NMO) and related immunological conditions. The diagnosis of this condition requires a seropositive aquaporin-4 immunoglobulin G (AQP-4 IgG), the presence of at least one core clinical characteristic and the exclusion of alternative diagnoses. Very few cases have been reported in sub-Saharan Africa.</p><p><strong>Objective: </strong>The aim of this article is to report a classical case of NMOSD with AQP-4 IgG seropositivity and normal brain, cervical and thoracic MRI findings.</p><p><strong>Result: </strong>We report a 25-year-old Nigerian woman who presented with recurrent and alternating weakness, pain and numbness of all limbs, associated with episodic painful left-sided tonic spasms and urinary incontinence. She had earlier had symptoms of recurrent, episodic and alternating loss of vision in both eyes, associated with ocular pain.Examination findings revealed an intact mental status, no cranial nerve deficit and no focal limb weakness. Right-sided deep tendon reflexes were exaggerated. Vital signs were within normal limits. Brain MRI, Cervical spine MRI and Thoracic spine MRI all revealed normal findings. Serum aquaporin-4 IgG assay returned positive with a titer of 1:32.She was commenced on high dose steroids and there was gradual improvement of symptoms.</p><p><strong>Conclusion: </strong>These findings confirmed the diagnosis of neuromyelitis optica spectrum disorder, and satisfies the diagnostic criteria published in 2015 by the International Panel for NMO Diagnosis (IPND).</p>\",\"PeriodicalId\":72221,\"journal\":{\"name\":\"Annals of Ibadan postgraduate medicine\",\"volume\":\"21 3\",\"pages\":\"79-84\"},\"PeriodicalIF\":0.0000,\"publicationDate\":\"2023-12-01\",\"publicationTypes\":\"Journal Article\",\"fieldsOfStudy\":null,\"isOpenAccess\":false,\"openAccessPdf\":\"https://www.ncbi.nlm.nih.gov/pmc/articles/PMC11065186/pdf/\",\"citationCount\":\"0\",\"resultStr\":null,\"platform\":\"Semanticscholar\",\"paperid\":null,\"PeriodicalName\":\"Annals of Ibadan postgraduate medicine\",\"FirstCategoryId\":\"1085\",\"ListUrlMain\":\"\",\"RegionNum\":0,\"RegionCategory\":null,\"ArticlePicture\":[],\"TitleCN\":null,\"AbstractTextCN\":null,\"PMCID\":null,\"EPubDate\":\"2024/1/30 0:00:00\",\"PubModel\":\"Epub\",\"JCR\":\"\",\"JCRName\":\"\",\"Score\":null,\"Total\":0}","platform":"Semanticscholar","paperid":null,"PeriodicalName":"Annals of Ibadan postgraduate medicine","FirstCategoryId":"1085","ListUrlMain":"","RegionNum":0,"RegionCategory":null,"ArticlePicture":[],"TitleCN":null,"AbstractTextCN":null,"PMCID":null,"EPubDate":"2024/1/30 0:00:00","PubModel":"Epub","JCR":"","JCRName":"","Score":null,"Total":0}
引用次数: 0

摘要

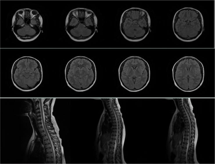
背景:神经脊髓炎视网膜频谱障碍(NMOSD)是一个相对较新的术语,包括神经脊髓炎视网膜病变(NMO)和相关免疫学疾病患者。该病的诊断要求血清中水波素-4免疫球蛋白 G(AQP-4 IgG)呈阳性,至少有一个核心临床特征,并排除其他诊断。撒哈拉以南非洲地区的病例极少:本文旨在报告一例血清 AQP-4 IgG 阳性且大脑、颈椎和胸部磁共振成像结果正常的典型 NMOSD 病例:我们报告了一名 25 岁的尼日利亚妇女,她出现了反复发作、交替出现的四肢无力、疼痛和麻木,伴有阵发性左侧强直性痉挛疼痛和尿失禁。检查结果显示,患者精神状态正常,无颅神经缺损,无局灶性肢体无力。右侧深腱反射亢进。生命体征在正常范围内。脑部磁共振成像、颈椎磁共振成像和胸椎磁共振成像均显示正常。她开始服用大剂量类固醇,症状逐渐得到改善:这些结果证实了神经脊髓炎视网膜频谱障碍的诊断,符合国际NMO诊断小组(IPND)于2015年公布的诊断标准。
本文章由计算机程序翻译,如有差异,请以英文原文为准。

AQUAPORIN-4 (AQP-4) IMMUNOGLOBULIN G SEROPOSITIVE NEUROMYELITIS OPTICA: A REVIEW AND CASE REPORT.

AQUAPORIN-4 (AQP-4) IMMUNOGLOBULIN G SEROPOSITIVE NEUROMYELITIS OPTICA: A REVIEW AND CASE REPORT.

Background: Neuromyelitis optica spectrum disorder (NMOSD) is a relatively new terminology composed to encompass patients with neuromyelitis optica (NMO) and related immunological conditions. The diagnosis of this condition requires a seropositive aquaporin-4 immunoglobulin G (AQP-4 IgG), the presence of at least one core clinical characteristic and the exclusion of alternative diagnoses. Very few cases have been reported in sub-Saharan Africa.

Objective: The aim of this article is to report a classical case of NMOSD with AQP-4 IgG seropositivity and normal brain, cervical and thoracic MRI findings.

Result: We report a 25-year-old Nigerian woman who presented with recurrent and alternating weakness, pain and numbness of all limbs, associated with episodic painful left-sided tonic spasms and urinary incontinence. She had earlier had symptoms of recurrent, episodic and alternating loss of vision in both eyes, associated with ocular pain.Examination findings revealed an intact mental status, no cranial nerve deficit and no focal limb weakness. Right-sided deep tendon reflexes were exaggerated. Vital signs were within normal limits. Brain MRI, Cervical spine MRI and Thoracic spine MRI all revealed normal findings. Serum aquaporin-4 IgG assay returned positive with a titer of 1:32.She was commenced on high dose steroids and there was gradual improvement of symptoms.

Conclusion: These findings confirmed the diagnosis of neuromyelitis optica spectrum disorder, and satisfies the diagnostic criteria published in 2015 by the International Panel for NMO Diagnosis (IPND).

求助全文
通过发布文献求助,成功后即可免费获取论文全文。 去求助
来源期刊
自引率
0.00%
发文量
0
×
引用
GB/T 7714-2015
复制
MLA
复制
APA
复制
导出至
BibTeX EndNote RefMan NoteFirst NoteExpress
×
提示
您的信息不完整,为了账户安全,请先补充。
现在去补充
×
提示
您因"违规操作"
具体请查看互助需知
我知道了
×
提示
确定
请完成安全验证×
copy
已复制链接
快去分享给好友吧!
我知道了
右上角分享
点击右上角分享
0
联系我们:info@booksci.cn Book学术提供免费学术资源搜索服务,方便国内外学者检索中英文文献。致力于提供最便捷和优质的服务体验。 Copyright © 2023 布克学术 All rights reserved.
京ICP备2023020795号-1
ghs 京公网安备 11010802042870号
Book学术文献互助
Book学术文献互助群
群 号:604180095
Book学术官方微信