未成熟百里香林麝香的水提取物对大鼠生殖参数的影响

IF 3.3 Q1 INTEGRATIVE & COMPLEMENTARY MEDICINE
Collins Azubuike Onyeto, Akachukwu Marytheresa Onwuka, Ikechukwu Emmanuel Peter, Chukwuemeka Sylvester Nworu, Peter Achunike Akah
{"title":"未成熟百里香林麝香的水提取物对大鼠生殖参数的影响","authors":"Collins Azubuike Onyeto, Akachukwu Marytheresa Onwuka, Ikechukwu Emmanuel Peter, Chukwuemeka Sylvester Nworu, Peter Achunike Akah","doi":"10.1177/2515690X241249534","DOIUrl":null,"url":null,"abstract":"<p><strong>Objective: </strong>Aqueous extract of unripe <i>Musa paradisiaca</i> fruit is commonly used for the treatment of ulcers in eastern Nigeria. This study aimed to assess the acute and subacute effects of an aqueous extract of unripe fruit on male and female fertility in rats.</p><p><strong>Methods: </strong>Aqueous extracts obtained by maceration were analyzed for acute and subacute toxicity and for the presence of phytochemical constituents using standard procedures. The extract (100, 500, and 1000 mg/kg) was administered daily to rats of both sexes for 28 d. Blood samples collected on days 0 and 28 were assessed for follicle-stimulating hormone (FSH), luteinizing hormone (LH), catalase (CAT), superoxide dismutase (SOD), and malondialdehyde (MDA). Testes and ovaries were harvested for histopathological analysis. Sperm were also collected to determine the sperm count and motility.</p><p><strong>Results: </strong>Phytochemical screening revealed the presence of saponins, tannins, alkaloids, and resins. After an oral dose of up to 5000 mg/kg, there were no deaths in the acute toxicity test. The extract (500 mg/kg) significantly (<i>P </i>< .05) enhanced sperm count and motility relative to the untreated control; significantly (<i>P </i>< .05) reduced SOD, CAT, and glutathione levels, while significantly (<i>P </i>< .05) elevated LH, FSH, and MDA levels in male and female rats. Histological examination revealed significant structural damage to the ovaries.</p><p><strong>Conclusion: </strong>Unripe <i>Musa paradisiaca</i> fruit exhibited an adverse toxicological profile following prolonged administration and caused oxidative stress in rodents.</p>","PeriodicalId":15714,"journal":{"name":"Journal of Evidence-based Integrative Medicine","volume":"29 ","pages":"2515690X241249534"},"PeriodicalIF":3.3000,"publicationDate":"2024-01-01","publicationTypes":"Journal Article","fieldsOfStudy":null,"isOpenAccess":false,"openAccessPdf":"https://www.ncbi.nlm.nih.gov/pmc/articles/PMC11057342/pdf/","citationCount":"0","resultStr":"{\"title\":\"Effect of Aqueous Extract of Unripe <i>Musa Paradisiaca</i> Linn on Parameters Affecting Reproduction in Rats.\",\"authors\":\"Collins Azubuike Onyeto, Akachukwu Marytheresa Onwuka, Ikechukwu Emmanuel Peter, Chukwuemeka Sylvester Nworu, Peter Achunike Akah\",\"doi\":\"10.1177/2515690X241249534\",\"DOIUrl\":null,\"url\":null,\"abstract\":\"<p><strong>Objective: </strong>Aqueous extract of unripe <i>Musa paradisiaca</i> fruit is commonly used for the treatment of ulcers in eastern Nigeria. This study aimed to assess the acute and subacute effects of an aqueous extract of unripe fruit on male and female fertility in rats.</p><p><strong>Methods: </strong>Aqueous extracts obtained by maceration were analyzed for acute and subacute toxicity and for the presence of phytochemical constituents using standard procedures. The extract (100, 500, and 1000 mg/kg) was administered daily to rats of both sexes for 28 d. Blood samples collected on days 0 and 28 were assessed for follicle-stimulating hormone (FSH), luteinizing hormone (LH), catalase (CAT), superoxide dismutase (SOD), and malondialdehyde (MDA). Testes and ovaries were harvested for histopathological analysis. Sperm were also collected to determine the sperm count and motility.</p><p><strong>Results: </strong>Phytochemical screening revealed the presence of saponins, tannins, alkaloids, and resins. After an oral dose of up to 5000 mg/kg, there were no deaths in the acute toxicity test. The extract (500 mg/kg) significantly (<i>P </i>< .05) enhanced sperm count and motility relative to the untreated control; significantly (<i>P </i>< .05) reduced SOD, CAT, and glutathione levels, while significantly (<i>P </i>< .05) elevated LH, FSH, and MDA levels in male and female rats. Histological examination revealed significant structural damage to the ovaries.</p><p><strong>Conclusion: </strong>Unripe <i>Musa paradisiaca</i> fruit exhibited an adverse toxicological profile following prolonged administration and caused oxidative stress in rodents.</p>\",\"PeriodicalId\":15714,\"journal\":{\"name\":\"Journal of Evidence-based Integrative Medicine\",\"volume\":\"29 \",\"pages\":\"2515690X241249534\"},\"PeriodicalIF\":3.3000,\"publicationDate\":\"2024-01-01\",\"publicationTypes\":\"Journal Article\",\"fieldsOfStudy\":null,\"isOpenAccess\":false,\"openAccessPdf\":\"https://www.ncbi.nlm.nih.gov/pmc/articles/PMC11057342/pdf/\",\"citationCount\":\"0\",\"resultStr\":null,\"platform\":\"Semanticscholar\",\"paperid\":null,\"PeriodicalName\":\"Journal of Evidence-based Integrative Medicine\",\"FirstCategoryId\":\"1085\",\"ListUrlMain\":\"https://doi.org/10.1177/2515690X241249534\",\"RegionNum\":0,\"RegionCategory\":null,\"ArticlePicture\":[],\"TitleCN\":null,\"AbstractTextCN\":null,\"PMCID\":null,\"EPubDate\":\"\",\"PubModel\":\"\",\"JCR\":\"Q1\",\"JCRName\":\"INTEGRATIVE & COMPLEMENTARY MEDICINE\",\"Score\":null,\"Total\":0}","platform":"Semanticscholar","paperid":null,"PeriodicalName":"Journal of Evidence-based Integrative Medicine","FirstCategoryId":"1085","ListUrlMain":"https://doi.org/10.1177/2515690X241249534","RegionNum":0,"RegionCategory":null,"ArticlePicture":[],"TitleCN":null,"AbstractTextCN":null,"PMCID":null,"EPubDate":"","PubModel":"","JCR":"Q1","JCRName":"INTEGRATIVE & COMPLEMENTARY MEDICINE","Score":null,"Total":0}
引用次数: 0

摘要

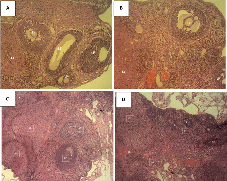
目的:在尼日利亚东部,未成熟麝香果的水提取物通常用于治疗溃疡。本研究旨在评估未成熟果实的水提取物对雄性和雌性大鼠生育能力的急性和亚急性影响:方法:采用标准程序分析浸渍法提取的水提取物的急性和亚急性毒性以及植物化学成分。第 0 天和第 28 天采集的血样用于评估卵泡刺激素(FSH)、黄体生成素(LH)、过氧化氢酶(CAT)、超氧化物歧化酶(SOD)和丙二醛(MDA)。采集睾丸和卵巢进行组织病理学分析。还采集了精子,以确定精子数量和活力:结果:植物化学筛选显示存在皂苷、鞣质、生物碱和树脂。在急性毒性试验中,口服剂量达到 5000 毫克/千克后,没有人死亡。萃取物(500 毫克/千克)在急性毒性试验中明显(P P P P 结论):未成熟的麝香果实在长期给药后表现出不良的毒理学特征,并对啮齿动物造成氧化应激。
本文章由计算机程序翻译,如有差异,请以英文原文为准。

Effect of Aqueous Extract of Unripe <i>Musa Paradisiaca</i> Linn on Parameters Affecting Reproduction in Rats.

Effect of Aqueous Extract of Unripe <i>Musa Paradisiaca</i> Linn on Parameters Affecting Reproduction in Rats.

Effect of Aqueous Extract of Unripe <i>Musa Paradisiaca</i> Linn on Parameters Affecting Reproduction in Rats.

Effect of Aqueous Extract of Unripe Musa Paradisiaca Linn on Parameters Affecting Reproduction in Rats.

Objective: Aqueous extract of unripe Musa paradisiaca fruit is commonly used for the treatment of ulcers in eastern Nigeria. This study aimed to assess the acute and subacute effects of an aqueous extract of unripe fruit on male and female fertility in rats.

Methods: Aqueous extracts obtained by maceration were analyzed for acute and subacute toxicity and for the presence of phytochemical constituents using standard procedures. The extract (100, 500, and 1000 mg/kg) was administered daily to rats of both sexes for 28 d. Blood samples collected on days 0 and 28 were assessed for follicle-stimulating hormone (FSH), luteinizing hormone (LH), catalase (CAT), superoxide dismutase (SOD), and malondialdehyde (MDA). Testes and ovaries were harvested for histopathological analysis. Sperm were also collected to determine the sperm count and motility.

Results: Phytochemical screening revealed the presence of saponins, tannins, alkaloids, and resins. After an oral dose of up to 5000 mg/kg, there were no deaths in the acute toxicity test. The extract (500 mg/kg) significantly (P < .05) enhanced sperm count and motility relative to the untreated control; significantly (P < .05) reduced SOD, CAT, and glutathione levels, while significantly (P < .05) elevated LH, FSH, and MDA levels in male and female rats. Histological examination revealed significant structural damage to the ovaries.

Conclusion: Unripe Musa paradisiaca fruit exhibited an adverse toxicological profile following prolonged administration and caused oxidative stress in rodents.

求助全文
通过发布文献求助,成功后即可免费获取论文全文。 去求助
来源期刊
Journal of Evidence-based Integrative Medicine
Journal of Evidence-based Integrative Medicine INTEGRATIVE & COMPLEMENTARY MEDICINE-
CiteScore
5.90
自引率
0.00%
发文量
43
审稿时长
15 weeks
×
引用
GB/T 7714-2015
复制
MLA
复制
APA
复制
导出至
BibTeX EndNote RefMan NoteFirst NoteExpress
×
提示
您的信息不完整,为了账户安全,请先补充。
现在去补充
×
提示
您因"违规操作"
具体请查看互助需知
我知道了
×
提示
确定
请完成安全验证×
copy
已复制链接
快去分享给好友吧!
我知道了
右上角分享
点击右上角分享
0
联系我们:info@booksci.cn Book学术提供免费学术资源搜索服务,方便国内外学者检索中英文文献。致力于提供最便捷和优质的服务体验。 Copyright © 2023 布克学术 All rights reserved.
京ICP备2023020795号-1
ghs 京公网安备 11010802042870号
Book学术文献互助
Book学术文献互助群
群 号:604180095
Book学术官方微信