肩部散发性恶性天疱疮:病例报告。

Mohammad Al-Alwan, Ghaith Abu Noar, Ayat Al-Alwan, Sura Alrwabdeh, Mahmood Etawi
{"title":"肩部散发性恶性天疱疮:病例报告。","authors":"Mohammad Al-Alwan, Ghaith Abu Noar, Ayat Al-Alwan, Sura Alrwabdeh, Mahmood Etawi","doi":"10.5455/medarh.2024.78.174-176","DOIUrl":null,"url":null,"abstract":"<p><strong>Background: </strong>Malignant triton tumors (MTT) are subtype of malignant peripheral nerve sheath tumor (MPNST) which develop from Schwan cells of peripheral nerves or within neurofibromas, and shows rhabdomyoblastic differentiation. It is a rare soft tissue tumor with poor prognosis.</p><p><strong>Objective: </strong>We report a case of Malignant Triton Tumor (MTT) arising in the right shoulder in a 46 year old male patient presented to our Musculoskeletal Oncology Clinic at Royal Rehabilitation center at King Hussein Medical Center during June 2018.</p><p><strong>Case presentation: </strong>The patient was complaining of an 8 months long progressive right shoulder pain and swelling at the posterior lateral area of the shoulder. As accurate diagnosis is crucial in such case, investigations that included x-rays and magnetic resonance imaging (MRI) demonstrated an soft tissue tumor involving the right shoulder area leading to the differential diagnosis of aggressive soft tissue tumor which laid down the plan of an open incisional biopsy to be reported histopathological as a case of Malignant Triton Tumor which is a very rare and aggressive sarcoma originates from the peripheral nerve sheaths as it is subtype of malignant peripheral nerve sheath tumors after which excision of the entire tumor with safety margin was performed and referred for adjuvant chemotherapy.</p><p><strong>Conclusion: </strong>The treatment of choice is radical tumor excision with wide margins followed by chemotherapy and /or radiotherapy to improve the 5 years survival rates.</p>","PeriodicalId":94135,"journal":{"name":"Medical archives (Sarajevo, Bosnia and Herzegovina)","volume":"78 2","pages":"174-176"},"PeriodicalIF":0.0000,"publicationDate":"2024-01-01","publicationTypes":"Journal Article","fieldsOfStudy":null,"isOpenAccess":false,"openAccessPdf":"https://www.ncbi.nlm.nih.gov/pmc/articles/PMC10983085/pdf/","citationCount":"0","resultStr":"{\"title\":\"Sporadic Malignant Triton Tumor of Shoulder: a Case Report.\",\"authors\":\"Mohammad Al-Alwan, Ghaith Abu Noar, Ayat Al-Alwan, Sura Alrwabdeh, Mahmood Etawi\",\"doi\":\"10.5455/medarh.2024.78.174-176\",\"DOIUrl\":null,\"url\":null,\"abstract\":\"<p><strong>Background: </strong>Malignant triton tumors (MTT) are subtype of malignant peripheral nerve sheath tumor (MPNST) which develop from Schwan cells of peripheral nerves or within neurofibromas, and shows rhabdomyoblastic differentiation. It is a rare soft tissue tumor with poor prognosis.</p><p><strong>Objective: </strong>We report a case of Malignant Triton Tumor (MTT) arising in the right shoulder in a 46 year old male patient presented to our Musculoskeletal Oncology Clinic at Royal Rehabilitation center at King Hussein Medical Center during June 2018.</p><p><strong>Case presentation: </strong>The patient was complaining of an 8 months long progressive right shoulder pain and swelling at the posterior lateral area of the shoulder. As accurate diagnosis is crucial in such case, investigations that included x-rays and magnetic resonance imaging (MRI) demonstrated an soft tissue tumor involving the right shoulder area leading to the differential diagnosis of aggressive soft tissue tumor which laid down the plan of an open incisional biopsy to be reported histopathological as a case of Malignant Triton Tumor which is a very rare and aggressive sarcoma originates from the peripheral nerve sheaths as it is subtype of malignant peripheral nerve sheath tumors after which excision of the entire tumor with safety margin was performed and referred for adjuvant chemotherapy.</p><p><strong>Conclusion: </strong>The treatment of choice is radical tumor excision with wide margins followed by chemotherapy and /or radiotherapy to improve the 5 years survival rates.</p>\",\"PeriodicalId\":94135,\"journal\":{\"name\":\"Medical archives (Sarajevo, Bosnia and Herzegovina)\",\"volume\":\"78 2\",\"pages\":\"174-176\"},\"PeriodicalIF\":0.0000,\"publicationDate\":\"2024-01-01\",\"publicationTypes\":\"Journal Article\",\"fieldsOfStudy\":null,\"isOpenAccess\":false,\"openAccessPdf\":\"https://www.ncbi.nlm.nih.gov/pmc/articles/PMC10983085/pdf/\",\"citationCount\":\"0\",\"resultStr\":null,\"platform\":\"Semanticscholar\",\"paperid\":null,\"PeriodicalName\":\"Medical archives (Sarajevo, Bosnia and Herzegovina)\",\"FirstCategoryId\":\"1085\",\"ListUrlMain\":\"https://doi.org/10.5455/medarh.2024.78.174-176\",\"RegionNum\":0,\"RegionCategory\":null,\"ArticlePicture\":[],\"TitleCN\":null,\"AbstractTextCN\":null,\"PMCID\":null,\"EPubDate\":\"\",\"PubModel\":\"\",\"JCR\":\"\",\"JCRName\":\"\",\"Score\":null,\"Total\":0}","platform":"Semanticscholar","paperid":null,"PeriodicalName":"Medical archives (Sarajevo, Bosnia and Herzegovina)","FirstCategoryId":"1085","ListUrlMain":"https://doi.org/10.5455/medarh.2024.78.174-176","RegionNum":0,"RegionCategory":null,"ArticlePicture":[],"TitleCN":null,"AbstractTextCN":null,"PMCID":null,"EPubDate":"","PubModel":"","JCR":"","JCRName":"","Score":null,"Total":0}
引用次数: 0

摘要

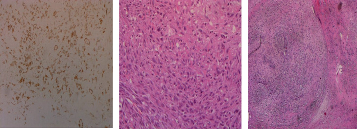
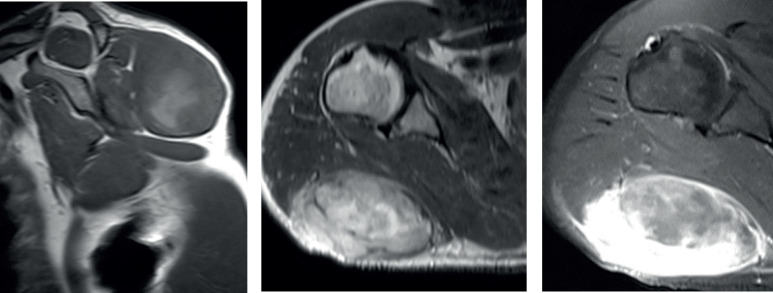
背景:恶性三联瘤(MTT)是恶性周围神经鞘瘤(MPNST)的一种亚型,由周围神经的施万细胞或神经纤维瘤内的施万细胞发展而来,呈横纹肌母细胞分化。它是一种罕见的软组织肿瘤,预后较差:我们报告了一例于 2018 年 6 月在侯赛因国王医疗中心皇家康复中心肌肉骨骼肿瘤门诊就诊的 46 岁男性患者右肩发生的恶性天疱疮(MTT)病例:患者主诉长达 8 个月的进行性右肩疼痛和肩部后外侧区域肿胀。在这种情况下,准确诊断至关重要、检查包括 XX射线和磁共振成像(MRI)检查显示,患者右肩部位患有软组织肿瘤,因此鉴别诊断为侵袭性软组织肿瘤,并制定了开放切口活检计划,组织病理学报告为恶性Triton肿瘤,这是一种非常罕见的侵袭性肉瘤,起源于周围神经鞘,是恶性周围神经鞘瘤的一种亚型。结论首选的治疗方法是根治性肿瘤切除术,并留有较宽的切缘,然后进行化疗和/或放疗,以提高患者的 5 年生存率。
本文章由计算机程序翻译,如有差异,请以英文原文为准。

Sporadic Malignant Triton Tumor of Shoulder: a Case Report.

Sporadic Malignant Triton Tumor of Shoulder: a Case Report.

Sporadic Malignant Triton Tumor of Shoulder: a Case Report.

Background: Malignant triton tumors (MTT) are subtype of malignant peripheral nerve sheath tumor (MPNST) which develop from Schwan cells of peripheral nerves or within neurofibromas, and shows rhabdomyoblastic differentiation. It is a rare soft tissue tumor with poor prognosis.

Objective: We report a case of Malignant Triton Tumor (MTT) arising in the right shoulder in a 46 year old male patient presented to our Musculoskeletal Oncology Clinic at Royal Rehabilitation center at King Hussein Medical Center during June 2018.

Case presentation: The patient was complaining of an 8 months long progressive right shoulder pain and swelling at the posterior lateral area of the shoulder. As accurate diagnosis is crucial in such case, investigations that included x-rays and magnetic resonance imaging (MRI) demonstrated an soft tissue tumor involving the right shoulder area leading to the differential diagnosis of aggressive soft tissue tumor which laid down the plan of an open incisional biopsy to be reported histopathological as a case of Malignant Triton Tumor which is a very rare and aggressive sarcoma originates from the peripheral nerve sheaths as it is subtype of malignant peripheral nerve sheath tumors after which excision of the entire tumor with safety margin was performed and referred for adjuvant chemotherapy.

Conclusion: The treatment of choice is radical tumor excision with wide margins followed by chemotherapy and /or radiotherapy to improve the 5 years survival rates.

求助全文
通过发布文献求助,成功后即可免费获取论文全文。 去求助
来源期刊
自引率
0.00%
发文量
0
×
引用
GB/T 7714-2015
复制
MLA
复制
APA
复制
导出至
BibTeX EndNote RefMan NoteFirst NoteExpress
×
提示
您的信息不完整,为了账户安全,请先补充。
现在去补充
×
提示
您因"违规操作"
具体请查看互助需知
我知道了
×
提示
确定
请完成安全验证×
copy
已复制链接
快去分享给好友吧!
我知道了
右上角分享
点击右上角分享
0
联系我们:info@booksci.cn Book学术提供免费学术资源搜索服务,方便国内外学者检索中英文文献。致力于提供最便捷和优质的服务体验。 Copyright © 2023 布克学术 All rights reserved.
京ICP备2023020795号-1
ghs 京公网安备 11010802042870号
Book学术文献互助
Book学术文献互助群
群 号:604180095
Book学术官方微信