双侧水平凝视麻痹是临床孤立综合征的最初表现:病例报告。

IF 1.2 Q4 OPHTHALMOLOGY
Saudi Journal of Ophthalmology Pub Date : 2023-10-12 eCollection Date: 2024-01-01 DOI:10.4103/sjopt.sjopt_106_23
Ghadah Alnosair, Khalid A Alanazi, Fatima I Alhumaid, Bayan S Alshuhayb
{"title":"双侧水平凝视麻痹是临床孤立综合征的最初表现:病例报告。","authors":"Ghadah Alnosair, Khalid A Alanazi, Fatima I Alhumaid, Bayan S Alshuhayb","doi":"10.4103/sjopt.sjopt_106_23","DOIUrl":null,"url":null,"abstract":"<p><p>Multiple sclerosis (MS) is the most common demyelinating disease affecting the central nervous system. It has a wide range of manifestations and commonly affects the visual system. Many patients with MS report decreased vision, diplopia, nystagmus, and abnormal ocular motility. Nevertheless, bilateral horizontal gaze palsies are exceptionally rarely seen. We present the case of a 24-year-old female who came to our pediatric ophthalmology clinic complaining of bilateral horizontal gaze palsy, photophobia, and eye pain for 2 days. Although the patient had a family history of MS, there was no similar or previous complaint, with an unremarkable past medical and surgical history. During the examination, she was found to have a complete bilateral absence of horizontal saccade and pursuit, with slight limitations in vertical ones. There was no nystagmus or skew deviation, and the rest of the cranial nerves (CNs) were intact. Her ocular vital signs were normal, and her corrected visual acuity was 20/20 with full-color vision. The rest of the physical and neurological examinations were unremarkable. After referral to neurology, the magnetic resonance imaging showed multiple hyperintense lesions in deep white matter, pons, and midbrain. The correlation of imaging findings with clinical presentation confirmed the diagnosis of a clinically isolated syndrome. Extra-ocular motility (EOM) significantly improved after pulse steroid therapy and five sessions of plasma exchange, but the patient developed 35 prism diopter of acquired concomitant esotropia. She underwent a right medial rectus botulinum toxin injection which dramatically improved her condition, and became orthotropic during the last 2 months of follow-up after the injection.</p>","PeriodicalId":46810,"journal":{"name":"Saudi Journal of Ophthalmology","volume":"38 1","pages":"59-63"},"PeriodicalIF":1.2000,"publicationDate":"2023-10-12","publicationTypes":"Journal Article","fieldsOfStudy":null,"isOpenAccess":false,"openAccessPdf":"https://www.ncbi.nlm.nih.gov/pmc/articles/PMC11017011/pdf/","citationCount":"0","resultStr":"{\"title\":\"Bilateral horizontal gaze palsy as an initial presentation of a clinically isolated syndrome: A case report.\",\"authors\":\"Ghadah Alnosair, Khalid A Alanazi, Fatima I Alhumaid, Bayan S Alshuhayb\",\"doi\":\"10.4103/sjopt.sjopt_106_23\",\"DOIUrl\":null,\"url\":null,\"abstract\":\"<p><p>Multiple sclerosis (MS) is the most common demyelinating disease affecting the central nervous system. It has a wide range of manifestations and commonly affects the visual system. Many patients with MS report decreased vision, diplopia, nystagmus, and abnormal ocular motility. Nevertheless, bilateral horizontal gaze palsies are exceptionally rarely seen. We present the case of a 24-year-old female who came to our pediatric ophthalmology clinic complaining of bilateral horizontal gaze palsy, photophobia, and eye pain for 2 days. Although the patient had a family history of MS, there was no similar or previous complaint, with an unremarkable past medical and surgical history. During the examination, she was found to have a complete bilateral absence of horizontal saccade and pursuit, with slight limitations in vertical ones. There was no nystagmus or skew deviation, and the rest of the cranial nerves (CNs) were intact. Her ocular vital signs were normal, and her corrected visual acuity was 20/20 with full-color vision. The rest of the physical and neurological examinations were unremarkable. After referral to neurology, the magnetic resonance imaging showed multiple hyperintense lesions in deep white matter, pons, and midbrain. The correlation of imaging findings with clinical presentation confirmed the diagnosis of a clinically isolated syndrome. Extra-ocular motility (EOM) significantly improved after pulse steroid therapy and five sessions of plasma exchange, but the patient developed 35 prism diopter of acquired concomitant esotropia. She underwent a right medial rectus botulinum toxin injection which dramatically improved her condition, and became orthotropic during the last 2 months of follow-up after the injection.</p>\",\"PeriodicalId\":46810,\"journal\":{\"name\":\"Saudi Journal of Ophthalmology\",\"volume\":\"38 1\",\"pages\":\"59-63\"},\"PeriodicalIF\":1.2000,\"publicationDate\":\"2023-10-12\",\"publicationTypes\":\"Journal Article\",\"fieldsOfStudy\":null,\"isOpenAccess\":false,\"openAccessPdf\":\"https://www.ncbi.nlm.nih.gov/pmc/articles/PMC11017011/pdf/\",\"citationCount\":\"0\",\"resultStr\":null,\"platform\":\"Semanticscholar\",\"paperid\":null,\"PeriodicalName\":\"Saudi Journal of Ophthalmology\",\"FirstCategoryId\":\"1085\",\"ListUrlMain\":\"https://doi.org/10.4103/sjopt.sjopt_106_23\",\"RegionNum\":0,\"RegionCategory\":null,\"ArticlePicture\":[],\"TitleCN\":null,\"AbstractTextCN\":null,\"PMCID\":null,\"EPubDate\":\"2024/1/1 0:00:00\",\"PubModel\":\"eCollection\",\"JCR\":\"Q4\",\"JCRName\":\"OPHTHALMOLOGY\",\"Score\":null,\"Total\":0}","platform":"Semanticscholar","paperid":null,"PeriodicalName":"Saudi Journal of Ophthalmology","FirstCategoryId":"1085","ListUrlMain":"https://doi.org/10.4103/sjopt.sjopt_106_23","RegionNum":0,"RegionCategory":null,"ArticlePicture":[],"TitleCN":null,"AbstractTextCN":null,"PMCID":null,"EPubDate":"2024/1/1 0:00:00","PubModel":"eCollection","JCR":"Q4","JCRName":"OPHTHALMOLOGY","Score":null,"Total":0}
引用次数: 0

摘要

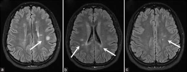
多发性硬化症(MS)是影响中枢神经系统的最常见的脱髓鞘疾病。它的表现多种多样,通常会影响视觉系统。许多多发性硬化症患者会出现视力下降、复视、眼球震颤和眼球运动异常。然而,双侧水平凝视麻痹却极为罕见。我们为大家介绍一例 24 岁女性患者的病例,她来到我们的儿童眼科门诊就诊,主诉双侧水平凝视麻痹、畏光和眼痛 2 天。虽然患者有多发性硬化症家族史,但没有类似或既往的主诉,既往病史和手术史也不突出。检查发现,她的双侧水平囊回和追视功能完全丧失,垂直囊回和追视功能稍有受限。她没有眼球震颤或偏斜,其他颅神经(CN)完好无损。她的眼部生命体征正常,矫正视力为 20/20,全色觉。其他身体和神经系统检查均无异常。转到神经内科后,磁共振成像显示深部白质、脑桥和中脑有多处高强度病变。成像结果与临床表现的相关性证实了临床孤立综合征的诊断。经过脉冲类固醇治疗和五次血浆置换后,患者的眼外肌运动(EOM)明显好转,但同时出现了35棱镜屈光度的后天性内斜视。她接受了右内侧直肌肉毒毒素注射,病情得到明显改善,并在注射后的最后两个月随访中实现了视力矫正。
本文章由计算机程序翻译,如有差异,请以英文原文为准。

Bilateral horizontal gaze palsy as an initial presentation of a clinically isolated syndrome: A case report.

Bilateral horizontal gaze palsy as an initial presentation of a clinically isolated syndrome: A case report.

Bilateral horizontal gaze palsy as an initial presentation of a clinically isolated syndrome: A case report.

Bilateral horizontal gaze palsy as an initial presentation of a clinically isolated syndrome: A case report.

Multiple sclerosis (MS) is the most common demyelinating disease affecting the central nervous system. It has a wide range of manifestations and commonly affects the visual system. Many patients with MS report decreased vision, diplopia, nystagmus, and abnormal ocular motility. Nevertheless, bilateral horizontal gaze palsies are exceptionally rarely seen. We present the case of a 24-year-old female who came to our pediatric ophthalmology clinic complaining of bilateral horizontal gaze palsy, photophobia, and eye pain for 2 days. Although the patient had a family history of MS, there was no similar or previous complaint, with an unremarkable past medical and surgical history. During the examination, she was found to have a complete bilateral absence of horizontal saccade and pursuit, with slight limitations in vertical ones. There was no nystagmus or skew deviation, and the rest of the cranial nerves (CNs) were intact. Her ocular vital signs were normal, and her corrected visual acuity was 20/20 with full-color vision. The rest of the physical and neurological examinations were unremarkable. After referral to neurology, the magnetic resonance imaging showed multiple hyperintense lesions in deep white matter, pons, and midbrain. The correlation of imaging findings with clinical presentation confirmed the diagnosis of a clinically isolated syndrome. Extra-ocular motility (EOM) significantly improved after pulse steroid therapy and five sessions of plasma exchange, but the patient developed 35 prism diopter of acquired concomitant esotropia. She underwent a right medial rectus botulinum toxin injection which dramatically improved her condition, and became orthotropic during the last 2 months of follow-up after the injection.

求助全文
通过发布文献求助,成功后即可免费获取论文全文。 去求助
来源期刊
CiteScore
0.90
自引率
0.00%
发文量
79
审稿时长
13 weeks
期刊介绍: Saudi Journal of Ophthalmology is an English language, peer-reviewed scholarly publication in the area of ophthalmology. Saudi Journal of Ophthalmology publishes original papers, clinical studies, reviews and case reports. Saudi Journal of Ophthalmology is the official publication of the Saudi Ophthalmological Society and is published by King Saud University in collaboration with Elsevier and is edited by an international group of eminent researchers.
×
引用
GB/T 7714-2015
复制
MLA
复制
APA
复制
导出至
BibTeX EndNote RefMan NoteFirst NoteExpress
×
提示
您的信息不完整,为了账户安全,请先补充。
现在去补充
×
提示
您因"违规操作"
具体请查看互助需知
我知道了
×
提示
确定
请完成安全验证×
copy
已复制链接
快去分享给好友吧!
我知道了
右上角分享
点击右上角分享
0
联系我们:info@booksci.cn Book学术提供免费学术资源搜索服务,方便国内外学者检索中英文文献。致力于提供最便捷和优质的服务体验。 Copyright © 2023 布克学术 All rights reserved.
京ICP备2023020795号-1
ghs 京公网安备 11010802042870号
Book学术文献互助
Book学术文献互助群
群 号:604180095
Book学术官方微信