成功治疗罕见的远牙髓病变:病例报告

Q3 Dentistry
Mohammad Jafar Eghbal, Ardavan Parhizkar, Saeed Asgary
{"title":"成功治疗罕见的远牙髓病变:病例报告","authors":"Mohammad Jafar Eghbal, Ardavan Parhizkar, Saeed Asgary","doi":"10.22037/iej.v19i2.44860","DOIUrl":null,"url":null,"abstract":"<p><p>The current case report aims to document a rare presentation of a distant odontogenic lesion of a 35-year-old male patient with mild clinical discomfort in the mandibular right first molar; exploring the diagnostic and therapeutic intricacies of an uncommon distant endodontic pathosis ultimately resolved through meticulous nonsurgical retreatment. Despite a normal oral examination, diagnostic radiography revealed a suboptimal root canal treatment and apical lesions surrounding mesial- and distal-root apices; including a distinct radiolucency beneath the apex of the second mandibular molar discovered through panoramic radiography, and confirmed via cone-beam computed tomography. In addition, the computed tomography disclosed a previously unreported and unusually large endodontic lesion that extended toward the mandibular canal; highlighting a necessity for the continued exploration of a unique endodontic presentation. A nonsurgical endodontic retreatment led to a remarkable reduction in the radiolucent lesions within one year; emphasizing the significance of comprehensive diagnostic approaches and individualized treatments.</p>","PeriodicalId":14534,"journal":{"name":"Iranian Endodontic Journal","volume":"19 2","pages":"124-129"},"PeriodicalIF":0.0000,"publicationDate":"2024-01-01","publicationTypes":"Journal Article","fieldsOfStudy":null,"isOpenAccess":false,"openAccessPdf":"https://www.ncbi.nlm.nih.gov/pmc/articles/PMC10988639/pdf/","citationCount":"0","resultStr":"{\"title\":\"Successful Management of a Rare Distant Endodontic Lesion: A Case Report.\",\"authors\":\"Mohammad Jafar Eghbal, Ardavan Parhizkar, Saeed Asgary\",\"doi\":\"10.22037/iej.v19i2.44860\",\"DOIUrl\":null,\"url\":null,\"abstract\":\"<p><p>The current case report aims to document a rare presentation of a distant odontogenic lesion of a 35-year-old male patient with mild clinical discomfort in the mandibular right first molar; exploring the diagnostic and therapeutic intricacies of an uncommon distant endodontic pathosis ultimately resolved through meticulous nonsurgical retreatment. Despite a normal oral examination, diagnostic radiography revealed a suboptimal root canal treatment and apical lesions surrounding mesial- and distal-root apices; including a distinct radiolucency beneath the apex of the second mandibular molar discovered through panoramic radiography, and confirmed via cone-beam computed tomography. In addition, the computed tomography disclosed a previously unreported and unusually large endodontic lesion that extended toward the mandibular canal; highlighting a necessity for the continued exploration of a unique endodontic presentation. A nonsurgical endodontic retreatment led to a remarkable reduction in the radiolucent lesions within one year; emphasizing the significance of comprehensive diagnostic approaches and individualized treatments.</p>\",\"PeriodicalId\":14534,\"journal\":{\"name\":\"Iranian Endodontic Journal\",\"volume\":\"19 2\",\"pages\":\"124-129\"},\"PeriodicalIF\":0.0000,\"publicationDate\":\"2024-01-01\",\"publicationTypes\":\"Journal Article\",\"fieldsOfStudy\":null,\"isOpenAccess\":false,\"openAccessPdf\":\"https://www.ncbi.nlm.nih.gov/pmc/articles/PMC10988639/pdf/\",\"citationCount\":\"0\",\"resultStr\":null,\"platform\":\"Semanticscholar\",\"paperid\":null,\"PeriodicalName\":\"Iranian Endodontic Journal\",\"FirstCategoryId\":\"1085\",\"ListUrlMain\":\"https://doi.org/10.22037/iej.v19i2.44860\",\"RegionNum\":0,\"RegionCategory\":null,\"ArticlePicture\":[],\"TitleCN\":null,\"AbstractTextCN\":null,\"PMCID\":null,\"EPubDate\":\"\",\"PubModel\":\"\",\"JCR\":\"Q3\",\"JCRName\":\"Dentistry\",\"Score\":null,\"Total\":0}","platform":"Semanticscholar","paperid":null,"PeriodicalName":"Iranian Endodontic Journal","FirstCategoryId":"1085","ListUrlMain":"https://doi.org/10.22037/iej.v19i2.44860","RegionNum":0,"RegionCategory":null,"ArticlePicture":[],"TitleCN":null,"AbstractTextCN":null,"PMCID":null,"EPubDate":"","PubModel":"","JCR":"Q3","JCRName":"Dentistry","Score":null,"Total":0}
引用次数: 0

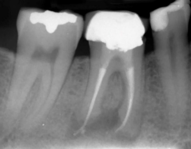
摘要

本病例报告旨在记录一名 35 岁男性患者的罕见远端牙源性病变,该患者下颌右侧第一磨牙有轻微的临床不适;探讨了不常见的远端牙髓病变的诊断和治疗的复杂性,最终通过细致的非手术再治疗得到了解决。尽管口腔检查结果正常,但放射诊断检查却显示根管治疗效果不佳,根尖中、远端病变环绕根尖;包括通过全景放射检查发现的下颌第二磨牙根尖下方的明显放射线,并经锥形束计算机断层扫描证实。此外,计算机断层扫描还发现了一个以前从未报道过的、异常巨大的牙髓病变,该病变向下颌管延伸;这凸显了继续探索这一独特牙髓病变的必要性。非手术的牙髓再治疗使放射状病变在一年内显著缩小;强调了综合诊断方法和个体化治疗的重要性。
本文章由计算机程序翻译,如有差异,请以英文原文为准。

Successful Management of a Rare Distant Endodontic Lesion: A Case Report.

Successful Management of a Rare Distant Endodontic Lesion: A Case Report.

Successful Management of a Rare Distant Endodontic Lesion: A Case Report.

Successful Management of a Rare Distant Endodontic Lesion: A Case Report.

The current case report aims to document a rare presentation of a distant odontogenic lesion of a 35-year-old male patient with mild clinical discomfort in the mandibular right first molar; exploring the diagnostic and therapeutic intricacies of an uncommon distant endodontic pathosis ultimately resolved through meticulous nonsurgical retreatment. Despite a normal oral examination, diagnostic radiography revealed a suboptimal root canal treatment and apical lesions surrounding mesial- and distal-root apices; including a distinct radiolucency beneath the apex of the second mandibular molar discovered through panoramic radiography, and confirmed via cone-beam computed tomography. In addition, the computed tomography disclosed a previously unreported and unusually large endodontic lesion that extended toward the mandibular canal; highlighting a necessity for the continued exploration of a unique endodontic presentation. A nonsurgical endodontic retreatment led to a remarkable reduction in the radiolucent lesions within one year; emphasizing the significance of comprehensive diagnostic approaches and individualized treatments.

求助全文
通过发布文献求助,成功后即可免费获取论文全文。 去求助
来源期刊
Iranian Endodontic Journal
Iranian Endodontic Journal Dentistry-Dentistry (all)
CiteScore
1.30
自引率
0.00%
发文量
0
审稿时长
12 weeks
期刊介绍: The Iranian Endodontic Journal (IEJ) is an international peer-reviewed biomedical publication, the aim of which is to provide a scientific medium of communication for researchers throughout the globe. IEJ aims to publish the highest quality articles, both clinical and scientific, on all aspects of Endodontics. The journal is an official Journal of the Iranian Center for Endodontic Research (ICER) and the Iranian Association of Endodontists (IAE). The Journal welcomes articles related to the scientific or applied aspects of endodontics e.g. original researches, systematic reviews, meta-analyses, review articles, clinical trials, case series/reports, hypotheses, letters to the editor, etc. From the beginning (i.e. since 2006), the IEJ was the first open access endodontic journal in the world, which gave readers free and instant access to published articles and enabling them faster discovery of the latest endodontic research.
×
引用
GB/T 7714-2015
复制
MLA
复制
APA
复制
导出至
BibTeX EndNote RefMan NoteFirst NoteExpress
×
提示
您的信息不完整,为了账户安全,请先补充。
现在去补充
×
提示
您因"违规操作"
具体请查看互助需知
我知道了
×
提示
确定
请完成安全验证×
copy
已复制链接
快去分享给好友吧!
我知道了
右上角分享
点击右上角分享
0
联系我们:info@booksci.cn Book学术提供免费学术资源搜索服务,方便国内外学者检索中英文文献。致力于提供最便捷和优质的服务体验。 Copyright © 2023 布克学术 All rights reserved.
京ICP备2023020795号-1
ghs 京公网安备 11010802042870号
Book学术文献互助
Book学术文献互助群
群 号:604180095
Book学术官方微信