不同成分的脂质体对 II-IIIA 度热烧伤后皮肤及其衍生物的影响

IF 2 4区 生物学 Q4 CELL BIOLOGY
N I Pashkevich, D V Vilyanen, A F Marcinkevich, M M Borisova-Mubarakshina, S S Osochuk
{"title":"不同成分的脂质体对 II-IIIA 度热烧伤后皮肤及其衍生物的影响","authors":"N I Pashkevich, D V Vilyanen, A F Marcinkevich, M M Borisova-Mubarakshina, S S Osochuk","doi":"10.32607/actanaturae.27329","DOIUrl":null,"url":null,"abstract":"<p><p>This study examines the pathological processes and conditions arising from an experimental modeling of II-IIIA degree thermal burns in laboratory animals. These conditions are characterized by skin structure defects, diminished skin functions, especially the barrier function, and damage to skin derivatives like hair follicles and sebaceous glands. We compared the effect of liposomes composed of soybean lecithin of 90% phosphatidylcholine content and liposomes composed of lecithin of 26% phosphatidylcholine content on the epidermis, dermis and its capillaries, hair follicles, and the sebaceous glands of the laboratory animals 24 h after experimental modeling of II-IIIA degree thermal skin burns. We discuss the dependency of liposome effects on the skin and its derivatives on the fatty acid composition of the lecithin used, with particular focus on phosphatidylinositol, phosphatidic acids, as well as oleic and linoleic acids.</p>","PeriodicalId":6989,"journal":{"name":"Acta Naturae","volume":"16 1","pages":"67-76"},"PeriodicalIF":2.0000,"publicationDate":"2024-01-01","publicationTypes":"Journal Article","fieldsOfStudy":null,"isOpenAccess":false,"openAccessPdf":"https://www.ncbi.nlm.nih.gov/pmc/articles/PMC11062103/pdf/","citationCount":"0","resultStr":"{\"title\":\"The Effect of Liposomes of Various Compositions on the Skin and Its Derivatives After II-IIIA Degree Thermal Burns.\",\"authors\":\"N I Pashkevich, D V Vilyanen, A F Marcinkevich, M M Borisova-Mubarakshina, S S Osochuk\",\"doi\":\"10.32607/actanaturae.27329\",\"DOIUrl\":null,\"url\":null,\"abstract\":\"<p><p>This study examines the pathological processes and conditions arising from an experimental modeling of II-IIIA degree thermal burns in laboratory animals. These conditions are characterized by skin structure defects, diminished skin functions, especially the barrier function, and damage to skin derivatives like hair follicles and sebaceous glands. We compared the effect of liposomes composed of soybean lecithin of 90% phosphatidylcholine content and liposomes composed of lecithin of 26% phosphatidylcholine content on the epidermis, dermis and its capillaries, hair follicles, and the sebaceous glands of the laboratory animals 24 h after experimental modeling of II-IIIA degree thermal skin burns. We discuss the dependency of liposome effects on the skin and its derivatives on the fatty acid composition of the lecithin used, with particular focus on phosphatidylinositol, phosphatidic acids, as well as oleic and linoleic acids.</p>\",\"PeriodicalId\":6989,\"journal\":{\"name\":\"Acta Naturae\",\"volume\":\"16 1\",\"pages\":\"67-76\"},\"PeriodicalIF\":2.0000,\"publicationDate\":\"2024-01-01\",\"publicationTypes\":\"Journal Article\",\"fieldsOfStudy\":null,\"isOpenAccess\":false,\"openAccessPdf\":\"https://www.ncbi.nlm.nih.gov/pmc/articles/PMC11062103/pdf/\",\"citationCount\":\"0\",\"resultStr\":null,\"platform\":\"Semanticscholar\",\"paperid\":null,\"PeriodicalName\":\"Acta Naturae\",\"FirstCategoryId\":\"99\",\"ListUrlMain\":\"https://doi.org/10.32607/actanaturae.27329\",\"RegionNum\":4,\"RegionCategory\":\"生物学\",\"ArticlePicture\":[],\"TitleCN\":null,\"AbstractTextCN\":null,\"PMCID\":null,\"EPubDate\":\"\",\"PubModel\":\"\",\"JCR\":\"Q4\",\"JCRName\":\"CELL BIOLOGY\",\"Score\":null,\"Total\":0}","platform":"Semanticscholar","paperid":null,"PeriodicalName":"Acta Naturae","FirstCategoryId":"99","ListUrlMain":"https://doi.org/10.32607/actanaturae.27329","RegionNum":4,"RegionCategory":"生物学","ArticlePicture":[],"TitleCN":null,"AbstractTextCN":null,"PMCID":null,"EPubDate":"","PubModel":"","JCR":"Q4","JCRName":"CELL BIOLOGY","Score":null,"Total":0}
引用次数: 0

摘要

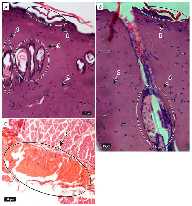
本研究探讨了实验室动物 II-IIIA 度热烧伤的实验模型所产生的病理过程和病症。这些病症的特点是皮肤结构缺陷、皮肤功能减退(尤其是屏障功能)以及毛囊和皮脂腺等皮肤衍生物受损。我们比较了由磷脂酰胆碱含量为 90% 的大豆卵磷脂和磷脂酰胆碱含量为 26% 的卵磷脂组成的脂质体对实验动物表皮、真皮及其毛细血管、毛囊和皮脂腺的影响。我们讨论了脂质体对皮肤及其衍生物的影响取决于所用卵磷脂的脂肪酸组成,尤其侧重于磷脂酰肌醇、磷脂酸以及油酸和亚油酸。
本文章由计算机程序翻译,如有差异,请以英文原文为准。

The Effect of Liposomes of Various Compositions on the Skin and Its Derivatives After II-IIIA Degree Thermal Burns.

The Effect of Liposomes of Various Compositions on the Skin and Its Derivatives After II-IIIA Degree Thermal Burns.

The Effect of Liposomes of Various Compositions on the Skin and Its Derivatives After II-IIIA Degree Thermal Burns.

The Effect of Liposomes of Various Compositions on the Skin and Its Derivatives After II-IIIA Degree Thermal Burns.

This study examines the pathological processes and conditions arising from an experimental modeling of II-IIIA degree thermal burns in laboratory animals. These conditions are characterized by skin structure defects, diminished skin functions, especially the barrier function, and damage to skin derivatives like hair follicles and sebaceous glands. We compared the effect of liposomes composed of soybean lecithin of 90% phosphatidylcholine content and liposomes composed of lecithin of 26% phosphatidylcholine content on the epidermis, dermis and its capillaries, hair follicles, and the sebaceous glands of the laboratory animals 24 h after experimental modeling of II-IIIA degree thermal skin burns. We discuss the dependency of liposome effects on the skin and its derivatives on the fatty acid composition of the lecithin used, with particular focus on phosphatidylinositol, phosphatidic acids, as well as oleic and linoleic acids.

求助全文
通过发布文献求助,成功后即可免费获取论文全文。 去求助
来源期刊
Acta Naturae
Acta Naturae 农林科学-林学
CiteScore
3.50
自引率
5.00%
发文量
0
审稿时长
>12 weeks
期刊介绍: Acta Naturae is an international journal on life sciences based in Moscow, Russia. Our goal is to present scientific work and discovery in molecular biology, biochemistry, biomedical disciplines and biotechnology. These fields represent the most important priorities for the research and engineering development both in Russia and worldwide. Acta Naturae is also a periodical for those who are curious in various aspects of biotechnological business, innovations in pharmaceutical areas, intellectual property protection and social consequences of scientific progress. The journal publishes analytical industrial surveys focused on the development of different spheres of modern life science and technology. Being a radically new and totally unique journal in Russia, Acta Naturae is useful to both representatives of fundamental research and experts in applied sciences.
×
引用
GB/T 7714-2015
复制
MLA
复制
APA
复制
导出至
BibTeX EndNote RefMan NoteFirst NoteExpress
×
提示
您的信息不完整,为了账户安全,请先补充。
现在去补充
×
提示
您因"违规操作"
具体请查看互助需知
我知道了
×
提示
确定
请完成安全验证×
copy
已复制链接
快去分享给好友吧!
我知道了
右上角分享
点击右上角分享
0
联系我们:info@booksci.cn Book学术提供免费学术资源搜索服务,方便国内外学者检索中英文文献。致力于提供最便捷和优质的服务体验。 Copyright © 2023 布克学术 All rights reserved.
京ICP备2023020795号-1
ghs 京公网安备 11010802042870号
Book学术文献互助
Book学术文献互助群
群 号:604180095
Book学术官方微信