对比后三维 MP RAGE T1WI 序列与脑 MRV 序列诊断脑窦静脉血栓形成的比较。

Q2 Medicine
Maysoon Banihani, Qamar Malabeh, Jameel Shawaqfeh, Maher Khawaldeh, Mohammad AlHazaimeh
{"title":"对比后三维 MP RAGE T1WI 序列与脑 MRV 序列诊断脑窦静脉血栓形成的比较。","authors":"Maysoon Banihani, Qamar Malabeh, Jameel Shawaqfeh, Maher Khawaldeh, Mohammad AlHazaimeh","doi":"10.5455/aim.2024.32.43-46","DOIUrl":null,"url":null,"abstract":"<p><strong>Background: </strong>Dural sinus thrombosis is considered as a one of the clinical and radiological emergencies that require special attention and high index of suspicion and needs combined effort of both the treating physician and the radiologist to obtain proper diagnosis and subsequently proper management.</p><p><strong>Objective: </strong>The aim of this article was to compare the accuracy of MRV TOF and post contrast MP-RAGE sequences in diagnosis of cerebral sinus venous thrombosis.</p><p><strong>Methods: </strong>After all informed consents were obtained and upon ethical committee approval from the ethical committee in Joradanian Royal medical services in Amman we perform this study as a retrospective study done on 50 patients with cerebral sinus venous thrombosis with 50 pateints control group done at king Hussein medical center in Amman Jordan.</p><p><strong>Results: </strong>The guidelines and regulations of studies conducted in Royal medical services were followed. 68 females and 32 males with age range between 19 and 52 years. All patients underwent brain MRI for evaluation of cerebral sinus thrombosis, all studies were done on seimens skyra 3 Tesla machine with standardized protocol including 2 D TOF MRV, axial T2WI, axial FLAIR, Axial T1, SWI and diffusion weighted images along with 3D MP-RAGE post contrast. Images were reviewed by two well experienced neuroradiologists (Maysoon and Qamar) in separate sessions, each MRI sequence was reported separately without knowing patients name or clinical history. <b>Conclusion:</b> The results for T2 WI, SWI, MRV TOF and MP-RAGE post contrast were reported. We used a confidence level score to standardize the results. Then the results were analyzed using simple statistical methods.</p>","PeriodicalId":7074,"journal":{"name":"Acta Informatica Medica","volume":"32 1","pages":"43-46"},"PeriodicalIF":0.0000,"publicationDate":"2023-01-01","publicationTypes":"Journal Article","fieldsOfStudy":null,"isOpenAccess":false,"openAccessPdf":"https://www.ncbi.nlm.nih.gov/pmc/articles/PMC10997175/pdf/","citationCount":"0","resultStr":"{\"title\":\"Post -contrast Three -dimensional MP RAGE T1WI Sequence Compared to Brain MRV Sequence for Diagnosing Brain Sinus Venous Thrombosis.\",\"authors\":\"Maysoon Banihani, Qamar Malabeh, Jameel Shawaqfeh, Maher Khawaldeh, Mohammad AlHazaimeh\",\"doi\":\"10.5455/aim.2024.32.43-46\",\"DOIUrl\":null,\"url\":null,\"abstract\":\"<p><strong>Background: </strong>Dural sinus thrombosis is considered as a one of the clinical and radiological emergencies that require special attention and high index of suspicion and needs combined effort of both the treating physician and the radiologist to obtain proper diagnosis and subsequently proper management.</p><p><strong>Objective: </strong>The aim of this article was to compare the accuracy of MRV TOF and post contrast MP-RAGE sequences in diagnosis of cerebral sinus venous thrombosis.</p><p><strong>Methods: </strong>After all informed consents were obtained and upon ethical committee approval from the ethical committee in Joradanian Royal medical services in Amman we perform this study as a retrospective study done on 50 patients with cerebral sinus venous thrombosis with 50 pateints control group done at king Hussein medical center in Amman Jordan.</p><p><strong>Results: </strong>The guidelines and regulations of studies conducted in Royal medical services were followed. 68 females and 32 males with age range between 19 and 52 years. All patients underwent brain MRI for evaluation of cerebral sinus thrombosis, all studies were done on seimens skyra 3 Tesla machine with standardized protocol including 2 D TOF MRV, axial T2WI, axial FLAIR, Axial T1, SWI and diffusion weighted images along with 3D MP-RAGE post contrast. Images were reviewed by two well experienced neuroradiologists (Maysoon and Qamar) in separate sessions, each MRI sequence was reported separately without knowing patients name or clinical history. <b>Conclusion:</b> The results for T2 WI, SWI, MRV TOF and MP-RAGE post contrast were reported. We used a confidence level score to standardize the results. Then the results were analyzed using simple statistical methods.</p>\",\"PeriodicalId\":7074,\"journal\":{\"name\":\"Acta Informatica Medica\",\"volume\":\"32 1\",\"pages\":\"43-46\"},\"PeriodicalIF\":0.0000,\"publicationDate\":\"2023-01-01\",\"publicationTypes\":\"Journal Article\",\"fieldsOfStudy\":null,\"isOpenAccess\":false,\"openAccessPdf\":\"https://www.ncbi.nlm.nih.gov/pmc/articles/PMC10997175/pdf/\",\"citationCount\":\"0\",\"resultStr\":null,\"platform\":\"Semanticscholar\",\"paperid\":null,\"PeriodicalName\":\"Acta Informatica Medica\",\"FirstCategoryId\":\"1085\",\"ListUrlMain\":\"https://doi.org/10.5455/aim.2024.32.43-46\",\"RegionNum\":0,\"RegionCategory\":null,\"ArticlePicture\":[],\"TitleCN\":null,\"AbstractTextCN\":null,\"PMCID\":null,\"EPubDate\":\"\",\"PubModel\":\"\",\"JCR\":\"Q2\",\"JCRName\":\"Medicine\",\"Score\":null,\"Total\":0}","platform":"Semanticscholar","paperid":null,"PeriodicalName":"Acta Informatica Medica","FirstCategoryId":"1085","ListUrlMain":"https://doi.org/10.5455/aim.2024.32.43-46","RegionNum":0,"RegionCategory":null,"ArticlePicture":[],"TitleCN":null,"AbstractTextCN":null,"PMCID":null,"EPubDate":"","PubModel":"","JCR":"Q2","JCRName":"Medicine","Score":null,"Total":0}
引用次数: 0

摘要

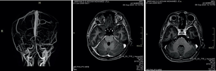
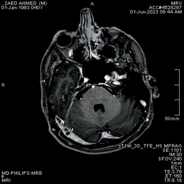
背景:硬脑膜窦血栓被认为是临床和放射学急症之一,需要特别关注和高度怀疑,并需要治疗医生和放射科医生的共同努力才能获得正确诊断和随后的适当处理:本文旨在比较MRV TOF和造影后MP-RAGE序列诊断脑窦静脉血栓的准确性:在获得所有知情同意并经安曼 Joradanian 皇家医疗服务机构伦理委员会批准后,我们在约旦安曼侯赛因国王医疗中心对 50 名脑窦静脉血栓患者和 50 名对照组患者进行了回顾性研究:研究遵循了皇家医疗服务研究的指导方针和规定。研究对象包括 68 名女性和 32 名男性,年龄在 19 至 52 岁之间。所有研究均在 seimens skyra 3 Tesla 仪器上进行,采用标准化方案,包括 2 D TOF MRV、轴向 T2WI、轴向 FLAIR、轴向 T1、SWI 和弥散加权图像以及 3D MP-RAGE 后对比。两名经验丰富的神经放射科医生(Maysoon 和 Qamar)分别对图像进行了审查,在不知道患者姓名或临床病史的情况下,对每个 MRI 序列分别进行了报告。结论报告了 T2 WI、SWI、MRV TOF 和 MP-RAGE 后对比的结果。我们使用置信度评分对结果进行标准化。然后使用简单的统计方法对结果进行分析。
本文章由计算机程序翻译,如有差异,请以英文原文为准。

Post -contrast Three -dimensional MP RAGE T1WI Sequence Compared to Brain MRV Sequence for Diagnosing Brain Sinus Venous Thrombosis.

Post -contrast Three -dimensional MP RAGE T1WI Sequence Compared to Brain MRV Sequence for Diagnosing Brain Sinus Venous Thrombosis.

Post -contrast Three -dimensional MP RAGE T1WI Sequence Compared to Brain MRV Sequence for Diagnosing Brain Sinus Venous Thrombosis.

Background: Dural sinus thrombosis is considered as a one of the clinical and radiological emergencies that require special attention and high index of suspicion and needs combined effort of both the treating physician and the radiologist to obtain proper diagnosis and subsequently proper management.

Objective: The aim of this article was to compare the accuracy of MRV TOF and post contrast MP-RAGE sequences in diagnosis of cerebral sinus venous thrombosis.

Methods: After all informed consents were obtained and upon ethical committee approval from the ethical committee in Joradanian Royal medical services in Amman we perform this study as a retrospective study done on 50 patients with cerebral sinus venous thrombosis with 50 pateints control group done at king Hussein medical center in Amman Jordan.

Results: The guidelines and regulations of studies conducted in Royal medical services were followed. 68 females and 32 males with age range between 19 and 52 years. All patients underwent brain MRI for evaluation of cerebral sinus thrombosis, all studies were done on seimens skyra 3 Tesla machine with standardized protocol including 2 D TOF MRV, axial T2WI, axial FLAIR, Axial T1, SWI and diffusion weighted images along with 3D MP-RAGE post contrast. Images were reviewed by two well experienced neuroradiologists (Maysoon and Qamar) in separate sessions, each MRI sequence was reported separately without knowing patients name or clinical history. Conclusion: The results for T2 WI, SWI, MRV TOF and MP-RAGE post contrast were reported. We used a confidence level score to standardize the results. Then the results were analyzed using simple statistical methods.

求助全文
通过发布文献求助,成功后即可免费获取论文全文。 去求助
来源期刊
Acta Informatica Medica
Acta Informatica Medica Medicine-Medicine (all)
CiteScore
2.90
自引率
0.00%
发文量
37
×
引用
GB/T 7714-2015
复制
MLA
复制
APA
复制
导出至
BibTeX EndNote RefMan NoteFirst NoteExpress
×
提示
您的信息不完整,为了账户安全,请先补充。
现在去补充
×
提示
您因"违规操作"
具体请查看互助需知
我知道了
×
提示
确定
请完成安全验证×
copy
已复制链接
快去分享给好友吧!
我知道了
右上角分享
点击右上角分享
0
联系我们:info@booksci.cn Book学术提供免费学术资源搜索服务,方便国内外学者检索中英文文献。致力于提供最便捷和优质的服务体验。 Copyright © 2023 布克学术 All rights reserved.
京ICP备2023020795号-1
ghs 京公网安备 11010802042870号
Book学术文献互助
Book学术文献互助群
群 号:604180095
Book学术官方微信