诊断成年重症疟疾并发症的挑战:病例报告。

IF 2.2 Q3 INFECTIOUS DISEASES
Rika Bur, Erni Juwita Nelwan, Ira Danasasmita, Gardian Lukman Hakim, Syukrini Bahri, Febby Elvanesa Sandra Dewi, Rana Zara Athaya, Leonard Nainggolan
{"title":"诊断成年重症疟疾并发症的挑战:病例报告。","authors":"Rika Bur, Erni Juwita Nelwan, Ira Danasasmita, Gardian Lukman Hakim, Syukrini Bahri, Febby Elvanesa Sandra Dewi, Rana Zara Athaya, Leonard Nainggolan","doi":"10.1186/s40794-023-00216-7","DOIUrl":null,"url":null,"abstract":"<p><strong>Background: </strong>Malaria is known to be the main cause of death in malaria-endemic areas. The authors report a case of severe malaria in an adult with no history of travel from an endemic area with good outcomes after hospitalization.</p><p><strong>Case presentation: </strong>A 46-year-old man was brought to the Emergency Room (ER) because of fever and chills for 6 days. Complaints were accompanied by nausea and vomiting three times a day. The patient also experienced headaches, weakness, coughing, and a runny nose after two days of admission. The patient had no history of traveling from a malaria-endemic area. The patient was transferred from the Emergency Department (ED) to the High Care Unit (HCU), and during 1 day of intensive care at the HCU, there was a clinical deterioration characterized by dyspnea, icteric sclerae, acral edema, tenderness in both calves, and rash in the abdominal area. Due to worsening respiratory function, the patient was placed on a ventilator. During intensive treatment, the patient continued to show deterioration. The clinical findings suggested a possible feature of Weil's disease or fulminant hepatitis, and although the patient was in intensive care, there was no clinically significant improvement. Furthermore, microscopic blood smear examination and rapid diagnostic tests (RDTs) for malaria were carried out on the 4th day of treatment with negative results. As there was no clinically significant improvement, it was decided to take a blood smear and repeat RDT on the twelfth day, which showed a positive result for falciparum malaria. Subsequently, artesunate was administered intravenously, and the patient's condition began to improve with a negative parasite count the following day. The patient was discharged in good clinical condition on day 25 of treatment.</p><p><strong>Conclusion: </strong>Good quality malaria diagnostic techniques are essential to diagnose malaria. A timely diagnosis of malaria has the potential to save the patient. Because Jakarta is not a malaria endemic area, it was concluded that this case was an introduced malaria case.</p>","PeriodicalId":23303,"journal":{"name":"Tropical Diseases, Travel Medicine and Vaccines","volume":"10 1","pages":"7"},"PeriodicalIF":2.2000,"publicationDate":"2024-04-01","publicationTypes":"Journal Article","fieldsOfStudy":null,"isOpenAccess":false,"openAccessPdf":"https://www.ncbi.nlm.nih.gov/pmc/articles/PMC10983720/pdf/","citationCount":"0","resultStr":"{\"title\":\"Challenges of diagnosing severe malaria with complications in adult patients: a case report.\",\"authors\":\"Rika Bur, Erni Juwita Nelwan, Ira Danasasmita, Gardian Lukman Hakim, Syukrini Bahri, Febby Elvanesa Sandra Dewi, Rana Zara Athaya, Leonard Nainggolan\",\"doi\":\"10.1186/s40794-023-00216-7\",\"DOIUrl\":null,\"url\":null,\"abstract\":\"<p><strong>Background: </strong>Malaria is known to be the main cause of death in malaria-endemic areas. The authors report a case of severe malaria in an adult with no history of travel from an endemic area with good outcomes after hospitalization.</p><p><strong>Case presentation: </strong>A 46-year-old man was brought to the Emergency Room (ER) because of fever and chills for 6 days. Complaints were accompanied by nausea and vomiting three times a day. The patient also experienced headaches, weakness, coughing, and a runny nose after two days of admission. The patient had no history of traveling from a malaria-endemic area. The patient was transferred from the Emergency Department (ED) to the High Care Unit (HCU), and during 1 day of intensive care at the HCU, there was a clinical deterioration characterized by dyspnea, icteric sclerae, acral edema, tenderness in both calves, and rash in the abdominal area. Due to worsening respiratory function, the patient was placed on a ventilator. During intensive treatment, the patient continued to show deterioration. The clinical findings suggested a possible feature of Weil's disease or fulminant hepatitis, and although the patient was in intensive care, there was no clinically significant improvement. Furthermore, microscopic blood smear examination and rapid diagnostic tests (RDTs) for malaria were carried out on the 4th day of treatment with negative results. As there was no clinically significant improvement, it was decided to take a blood smear and repeat RDT on the twelfth day, which showed a positive result for falciparum malaria. Subsequently, artesunate was administered intravenously, and the patient's condition began to improve with a negative parasite count the following day. The patient was discharged in good clinical condition on day 25 of treatment.</p><p><strong>Conclusion: </strong>Good quality malaria diagnostic techniques are essential to diagnose malaria. A timely diagnosis of malaria has the potential to save the patient. Because Jakarta is not a malaria endemic area, it was concluded that this case was an introduced malaria case.</p>\",\"PeriodicalId\":23303,\"journal\":{\"name\":\"Tropical Diseases, Travel Medicine and Vaccines\",\"volume\":\"10 1\",\"pages\":\"7\"},\"PeriodicalIF\":2.2000,\"publicationDate\":\"2024-04-01\",\"publicationTypes\":\"Journal Article\",\"fieldsOfStudy\":null,\"isOpenAccess\":false,\"openAccessPdf\":\"https://www.ncbi.nlm.nih.gov/pmc/articles/PMC10983720/pdf/\",\"citationCount\":\"0\",\"resultStr\":null,\"platform\":\"Semanticscholar\",\"paperid\":null,\"PeriodicalName\":\"Tropical Diseases, Travel Medicine and Vaccines\",\"FirstCategoryId\":\"1085\",\"ListUrlMain\":\"https://doi.org/10.1186/s40794-023-00216-7\",\"RegionNum\":0,\"RegionCategory\":null,\"ArticlePicture\":[],\"TitleCN\":null,\"AbstractTextCN\":null,\"PMCID\":null,\"EPubDate\":\"\",\"PubModel\":\"\",\"JCR\":\"Q3\",\"JCRName\":\"INFECTIOUS DISEASES\",\"Score\":null,\"Total\":0}","platform":"Semanticscholar","paperid":null,"PeriodicalName":"Tropical Diseases, Travel Medicine and Vaccines","FirstCategoryId":"1085","ListUrlMain":"https://doi.org/10.1186/s40794-023-00216-7","RegionNum":0,"RegionCategory":null,"ArticlePicture":[],"TitleCN":null,"AbstractTextCN":null,"PMCID":null,"EPubDate":"","PubModel":"","JCR":"Q3","JCRName":"INFECTIOUS DISEASES","Score":null,"Total":0}
引用次数: 0

摘要

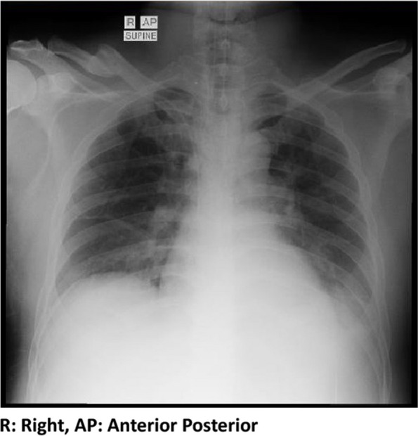
背景:众所周知,疟疾是疟疾流行地区的主要死因。作者报告了一例无疟疾流行地区旅行史的成人重症疟疾病例,住院治疗后效果良好:一名 46 岁的男子因连续 6 天发烧和发冷被送到急诊室。患者伴有恶心和呕吐,每天三次。入院两天后,患者还出现头痛、乏力、咳嗽和流鼻涕。患者没有从疟疾流行地区出过远门的病史。患者从急诊科(ED)转入重症监护室(HCU),在重症监护室接受重症监护 1 天期间,患者的临床症状出现恶化,表现为呼吸困难、巩膜结冰、口角水肿、双小腿触痛和腹部皮疹。由于呼吸功能恶化,患者被安置在呼吸机上。在强化治疗期间,患者病情继续恶化。临床结果表明,患者可能患有韦氏病或暴发性肝炎,虽然患者一直在接受重症监护,但临床症状并没有明显改善。此外,在治疗的第 4 天进行了显微血涂片检查和疟疾快速诊断检测(RDT),结果均为阴性。由于临床症状没有明显改善,因此决定在第 12 天进行血液涂片检查和快速诊断检测,结果显示恶性疟原虫疟疾呈阳性。随后,患者接受了青蒿琥酯静脉注射,第二天寄生虫计数为阴性,病情开始好转。治疗第 25 天,患者出院时临床状况良好:结论:高质量的疟疾诊断技术对于诊断疟疾至关重要。结论:高质量的疟疾诊断技术对疟疾诊断至关重要,及时诊断疟疾有可能挽救病人。由于雅加达不是疟疾流行区,因此可以断定该病例是一个外来疟疾病例。
本文章由计算机程序翻译,如有差异,请以英文原文为准。

Challenges of diagnosing severe malaria with complications in adult patients: a case report.

Challenges of diagnosing severe malaria with complications in adult patients: a case report.

Challenges of diagnosing severe malaria with complications in adult patients: a case report.

Challenges of diagnosing severe malaria with complications in adult patients: a case report.

Background: Malaria is known to be the main cause of death in malaria-endemic areas. The authors report a case of severe malaria in an adult with no history of travel from an endemic area with good outcomes after hospitalization.

Case presentation: A 46-year-old man was brought to the Emergency Room (ER) because of fever and chills for 6 days. Complaints were accompanied by nausea and vomiting three times a day. The patient also experienced headaches, weakness, coughing, and a runny nose after two days of admission. The patient had no history of traveling from a malaria-endemic area. The patient was transferred from the Emergency Department (ED) to the High Care Unit (HCU), and during 1 day of intensive care at the HCU, there was a clinical deterioration characterized by dyspnea, icteric sclerae, acral edema, tenderness in both calves, and rash in the abdominal area. Due to worsening respiratory function, the patient was placed on a ventilator. During intensive treatment, the patient continued to show deterioration. The clinical findings suggested a possible feature of Weil's disease or fulminant hepatitis, and although the patient was in intensive care, there was no clinically significant improvement. Furthermore, microscopic blood smear examination and rapid diagnostic tests (RDTs) for malaria were carried out on the 4th day of treatment with negative results. As there was no clinically significant improvement, it was decided to take a blood smear and repeat RDT on the twelfth day, which showed a positive result for falciparum malaria. Subsequently, artesunate was administered intravenously, and the patient's condition began to improve with a negative parasite count the following day. The patient was discharged in good clinical condition on day 25 of treatment.

Conclusion: Good quality malaria diagnostic techniques are essential to diagnose malaria. A timely diagnosis of malaria has the potential to save the patient. Because Jakarta is not a malaria endemic area, it was concluded that this case was an introduced malaria case.

求助全文
通过发布文献求助,成功后即可免费获取论文全文。 去求助
来源期刊
CiteScore
5.20
自引率
0.00%
发文量
25
审稿时长
17 weeks
期刊介绍: Tropical Diseases, Travel Medicine and Vaccines is an open access journal that considers basic, translational and applied research, as well as reviews and commentary, related to the prevention and management of healthcare and diseases in international travelers. Given the changes in demographic trends of travelers globally, as well as the epidemiological transitions which many countries are experiencing, the journal considers non-infectious problems including chronic disease among target populations of interest as well as infectious diseases.
×
引用
GB/T 7714-2015
复制
MLA
复制
APA
复制
导出至
BibTeX EndNote RefMan NoteFirst NoteExpress
×
提示
您的信息不完整,为了账户安全,请先补充。
现在去补充
×
提示
您因"违规操作"
具体请查看互助需知
我知道了
×
提示
确定
请完成安全验证×
copy
已复制链接
快去分享给好友吧!
我知道了
右上角分享
点击右上角分享
0
联系我们:info@booksci.cn Book学术提供免费学术资源搜索服务,方便国内外学者检索中英文文献。致力于提供最便捷和优质的服务体验。 Copyright © 2023 布克学术 All rights reserved.
京ICP备2023020795号-1
ghs 京公网安备 11010802042870号
Book学术文献互助
Book学术文献互助群
群 号:604180095
Book学术官方微信