扩展疼痛性指甲的鉴别诊断:一例伴有神经瘤的趾甲瘤

IF 0.8 Q4 DERMATOLOGY
Case Reports in Dermatology Pub Date : 2024-03-28 eCollection Date: 2024-01-01 DOI:10.1159/000538087
Jade Conway, Cynthia M Magro, Shari R Lipner
{"title":"扩展疼痛性指甲的鉴别诊断:一例伴有神经瘤的趾甲瘤","authors":"Jade Conway, Cynthia M Magro, Shari R Lipner","doi":"10.1159/000538087","DOIUrl":null,"url":null,"abstract":"<p><strong>Introduction: </strong>Onychopapilloma most commonly presents as longitudinal erythronychia, but diagnosis may be challenging in some cases due to varied clinical presentations. Most patients with onychopapillomas do not report associated pain but instead more commonly report functional interference.</p><p><strong>Case report: </strong>We present a case of a 74-year-old female with a 5-year history of splitting and lifting of the right thumbnail, accompanied by nail sensitivity and intermittent painful throbbing. Clinical examination was significant for a less than 1 mm red line with distal onycholysis. Love's test and a cold test performed with ice pack were negative. X-ray of the right thumb was negative for erosion or exostosis. Nail biopsy was performed, and dermatopathology was consistent with onychopapilloma with a concomitant traumatic neuroma.</p><p><strong>Conclusion: </strong>We report a case of onychopapilloma with a concomitant traumatic neuroma. Subungual neuromas are extremely rare and have not previously been associated with onychopapilloma. Our case supports the expansion of the differential diagnosis for a painful nail and demonstrates the importance of diagnostic confirmation with biopsy and histopathology.</p>","PeriodicalId":9619,"journal":{"name":"Case Reports in Dermatology","volume":"16 1","pages":"88-93"},"PeriodicalIF":0.8000,"publicationDate":"2024-03-28","publicationTypes":"Journal Article","fieldsOfStudy":null,"isOpenAccess":false,"openAccessPdf":"https://www.ncbi.nlm.nih.gov/pmc/articles/PMC10978039/pdf/","citationCount":"0","resultStr":"{\"title\":\"Expanding the Differential Diagnosis of the Painful Nail: A Case of an Onychopapilloma with Neuroma.\",\"authors\":\"Jade Conway, Cynthia M Magro, Shari R Lipner\",\"doi\":\"10.1159/000538087\",\"DOIUrl\":null,\"url\":null,\"abstract\":\"<p><strong>Introduction: </strong>Onychopapilloma most commonly presents as longitudinal erythronychia, but diagnosis may be challenging in some cases due to varied clinical presentations. Most patients with onychopapillomas do not report associated pain but instead more commonly report functional interference.</p><p><strong>Case report: </strong>We present a case of a 74-year-old female with a 5-year history of splitting and lifting of the right thumbnail, accompanied by nail sensitivity and intermittent painful throbbing. Clinical examination was significant for a less than 1 mm red line with distal onycholysis. Love's test and a cold test performed with ice pack were negative. X-ray of the right thumb was negative for erosion or exostosis. Nail biopsy was performed, and dermatopathology was consistent with onychopapilloma with a concomitant traumatic neuroma.</p><p><strong>Conclusion: </strong>We report a case of onychopapilloma with a concomitant traumatic neuroma. Subungual neuromas are extremely rare and have not previously been associated with onychopapilloma. Our case supports the expansion of the differential diagnosis for a painful nail and demonstrates the importance of diagnostic confirmation with biopsy and histopathology.</p>\",\"PeriodicalId\":9619,\"journal\":{\"name\":\"Case Reports in Dermatology\",\"volume\":\"16 1\",\"pages\":\"88-93\"},\"PeriodicalIF\":0.8000,\"publicationDate\":\"2024-03-28\",\"publicationTypes\":\"Journal Article\",\"fieldsOfStudy\":null,\"isOpenAccess\":false,\"openAccessPdf\":\"https://www.ncbi.nlm.nih.gov/pmc/articles/PMC10978039/pdf/\",\"citationCount\":\"0\",\"resultStr\":null,\"platform\":\"Semanticscholar\",\"paperid\":null,\"PeriodicalName\":\"Case Reports in Dermatology\",\"FirstCategoryId\":\"1085\",\"ListUrlMain\":\"https://doi.org/10.1159/000538087\",\"RegionNum\":0,\"RegionCategory\":null,\"ArticlePicture\":[],\"TitleCN\":null,\"AbstractTextCN\":null,\"PMCID\":null,\"EPubDate\":\"2024/1/1 0:00:00\",\"PubModel\":\"eCollection\",\"JCR\":\"Q4\",\"JCRName\":\"DERMATOLOGY\",\"Score\":null,\"Total\":0}","platform":"Semanticscholar","paperid":null,"PeriodicalName":"Case Reports in Dermatology","FirstCategoryId":"1085","ListUrlMain":"https://doi.org/10.1159/000538087","RegionNum":0,"RegionCategory":null,"ArticlePicture":[],"TitleCN":null,"AbstractTextCN":null,"PMCID":null,"EPubDate":"2024/1/1 0:00:00","PubModel":"eCollection","JCR":"Q4","JCRName":"DERMATOLOGY","Score":null,"Total":0}
引用次数: 0

摘要

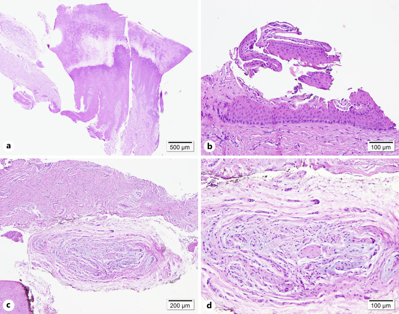
导言:网状乳头状瘤最常见的表现是纵向红斑,但由于临床表现各异,有些病例的诊断可能具有挑战性。大多数网状乳头状瘤患者并不伴有疼痛,而更多地表现为功能障碍:我们报告了一例 74 岁女性患者的病例,她的右手拇指指甲有 5 年的劈裂和翘起病史,并伴有指甲敏感和间歇性刺痛。临床检查结果表明,其远端甲沟炎红线不到 1 毫米。爱氏试验和用冰袋进行的冷试验均为阴性。右手拇指的 X 射线检查未发现糜烂或骨质增生。进行了指甲活组织检查,皮肤病理学检查结果与甲状软骨瘤一致,同时伴有创伤性神经瘤:我们报告了一例甲上皮脂瘤并发外伤性神经瘤的病例。舌下神经瘤极为罕见,以前从未与甲状软骨瘤联系在一起。我们的病例支持扩大指甲疼痛的鉴别诊断范围,并证明了活检和组织病理学确诊的重要性。
本文章由计算机程序翻译,如有差异,请以英文原文为准。

Expanding the Differential Diagnosis of the Painful Nail: A Case of an Onychopapilloma with Neuroma.

Expanding the Differential Diagnosis of the Painful Nail: A Case of an Onychopapilloma with Neuroma.

Expanding the Differential Diagnosis of the Painful Nail: A Case of an Onychopapilloma with Neuroma.

Expanding the Differential Diagnosis of the Painful Nail: A Case of an Onychopapilloma with Neuroma.

Introduction: Onychopapilloma most commonly presents as longitudinal erythronychia, but diagnosis may be challenging in some cases due to varied clinical presentations. Most patients with onychopapillomas do not report associated pain but instead more commonly report functional interference.

Case report: We present a case of a 74-year-old female with a 5-year history of splitting and lifting of the right thumbnail, accompanied by nail sensitivity and intermittent painful throbbing. Clinical examination was significant for a less than 1 mm red line with distal onycholysis. Love's test and a cold test performed with ice pack were negative. X-ray of the right thumb was negative for erosion or exostosis. Nail biopsy was performed, and dermatopathology was consistent with onychopapilloma with a concomitant traumatic neuroma.

Conclusion: We report a case of onychopapilloma with a concomitant traumatic neuroma. Subungual neuromas are extremely rare and have not previously been associated with onychopapilloma. Our case supports the expansion of the differential diagnosis for a painful nail and demonstrates the importance of diagnostic confirmation with biopsy and histopathology.

求助全文
通过发布文献求助,成功后即可免费获取论文全文。 去求助
来源期刊
CiteScore
1.60
自引率
0.00%
发文量
57
审稿时长
9 weeks
×
引用
GB/T 7714-2015
复制
MLA
复制
APA
复制
导出至
BibTeX EndNote RefMan NoteFirst NoteExpress
×
提示
您的信息不完整,为了账户安全,请先补充。
现在去补充
×
提示
您因"违规操作"
具体请查看互助需知
我知道了
×
提示
确定
请完成安全验证×
copy
已复制链接
快去分享给好友吧!
我知道了
右上角分享
点击右上角分享
0
联系我们:info@booksci.cn Book学术提供免费学术资源搜索服务,方便国内外学者检索中英文文献。致力于提供最便捷和优质的服务体验。 Copyright © 2023 布克学术 All rights reserved.
京ICP备2023020795号-1
ghs 京公网安备 11010802042870号
Book学术文献互助
Book学术文献互助群
群 号:604180095
Book学术官方微信