口腔颗粒细胞瘤:病例报告,重点是口腔病变中的假上皮细胞瘤增生。

Saede Atarbashi-Moghadam, Ali Lotfi, Parsa Eftekhari-Moghadam
{"title":"口腔颗粒细胞瘤:病例报告,重点是口腔病变中的假上皮细胞瘤增生。","authors":"Saede Atarbashi-Moghadam, Ali Lotfi, Parsa Eftekhari-Moghadam","doi":"10.30476/dentjods.2023.98784.2108","DOIUrl":null,"url":null,"abstract":"<p><p>A granular cell tumor (GCT) is an unusual benign mesenchymal neoplasm with Schwann cells origin. The most common site is the dorsum of the tongue. It has a striking tendency to occur in females and is more frequent in adult patients. GCT typically shows an asymptomatic, slow-growing, single nodule. Histopathologically, it reveals a proliferation of polygonal cells with granular cytoplasm penetrating the adjacent muscles. In some cases, the overlying epithelium demonstrates pseudoepitheliomatous hyperplasia (PEH), which can complicate its precise diagnosis and may mimic squamous cell carcinoma (SCC). This paper presents a 58-year-old woman with a chief complaint of painless mass on the dorsal of the tongue for two years. The lesion was pink and circumscribed with firm consistency measuring 1×1cm. The surface of the lesion was intact. Microscopic examination demonstrated unencapsulated sheets of large, polygonal cells with abundant eosinophilic, granular cytoplasm, and vesicular nuclei. The overlying epithelium showed florid PEH and keratin pearl formation. S100 protein was positive diffusely. The diagnosis of oral GCT was made. Though GCT is a non-aggressive lesion, it may be confused with SCC due to florid PEH and keratin pearl formation. Although PEH is a neglected topic among oral pathologists, it is of great importance in the field of research. Diagnosis can sometimes be problematic because they mimic other lesions. The pathogenesis of PEH is still uncertain. Therefore, familiarity with these characteristics and determining the cause of the PEH leads to correct treatment. This article intends to raise the insight of oral pathologists about PEH in oral lesions.</p>","PeriodicalId":73702,"journal":{"name":"Journal of dentistry (Shiraz, Iran)","volume":"25 1","pages":"91-94"},"PeriodicalIF":0.0000,"publicationDate":"2024-03-01","publicationTypes":"Journal Article","fieldsOfStudy":null,"isOpenAccess":false,"openAccessPdf":"https://www.ncbi.nlm.nih.gov/pmc/articles/PMC10963868/pdf/","citationCount":"0","resultStr":"{\"title\":\"Oral Granular Cell Tumor: A Case Report with Emphasis on Pseudoepitheliomatous Hyperplasia in Oral Lesions.\",\"authors\":\"Saede Atarbashi-Moghadam, Ali Lotfi, Parsa Eftekhari-Moghadam\",\"doi\":\"10.30476/dentjods.2023.98784.2108\",\"DOIUrl\":null,\"url\":null,\"abstract\":\"<p><p>A granular cell tumor (GCT) is an unusual benign mesenchymal neoplasm with Schwann cells origin. The most common site is the dorsum of the tongue. It has a striking tendency to occur in females and is more frequent in adult patients. GCT typically shows an asymptomatic, slow-growing, single nodule. Histopathologically, it reveals a proliferation of polygonal cells with granular cytoplasm penetrating the adjacent muscles. In some cases, the overlying epithelium demonstrates pseudoepitheliomatous hyperplasia (PEH), which can complicate its precise diagnosis and may mimic squamous cell carcinoma (SCC). This paper presents a 58-year-old woman with a chief complaint of painless mass on the dorsal of the tongue for two years. The lesion was pink and circumscribed with firm consistency measuring 1×1cm. The surface of the lesion was intact. Microscopic examination demonstrated unencapsulated sheets of large, polygonal cells with abundant eosinophilic, granular cytoplasm, and vesicular nuclei. The overlying epithelium showed florid PEH and keratin pearl formation. S100 protein was positive diffusely. The diagnosis of oral GCT was made. Though GCT is a non-aggressive lesion, it may be confused with SCC due to florid PEH and keratin pearl formation. Although PEH is a neglected topic among oral pathologists, it is of great importance in the field of research. Diagnosis can sometimes be problematic because they mimic other lesions. The pathogenesis of PEH is still uncertain. Therefore, familiarity with these characteristics and determining the cause of the PEH leads to correct treatment. This article intends to raise the insight of oral pathologists about PEH in oral lesions.</p>\",\"PeriodicalId\":73702,\"journal\":{\"name\":\"Journal of dentistry (Shiraz, Iran)\",\"volume\":\"25 1\",\"pages\":\"91-94\"},\"PeriodicalIF\":0.0000,\"publicationDate\":\"2024-03-01\",\"publicationTypes\":\"Journal Article\",\"fieldsOfStudy\":null,\"isOpenAccess\":false,\"openAccessPdf\":\"https://www.ncbi.nlm.nih.gov/pmc/articles/PMC10963868/pdf/\",\"citationCount\":\"0\",\"resultStr\":null,\"platform\":\"Semanticscholar\",\"paperid\":null,\"PeriodicalName\":\"Journal of dentistry (Shiraz, Iran)\",\"FirstCategoryId\":\"1085\",\"ListUrlMain\":\"https://doi.org/10.30476/dentjods.2023.98784.2108\",\"RegionNum\":0,\"RegionCategory\":null,\"ArticlePicture\":[],\"TitleCN\":null,\"AbstractTextCN\":null,\"PMCID\":null,\"EPubDate\":\"\",\"PubModel\":\"\",\"JCR\":\"\",\"JCRName\":\"\",\"Score\":null,\"Total\":0}","platform":"Semanticscholar","paperid":null,"PeriodicalName":"Journal of dentistry (Shiraz, Iran)","FirstCategoryId":"1085","ListUrlMain":"https://doi.org/10.30476/dentjods.2023.98784.2108","RegionNum":0,"RegionCategory":null,"ArticlePicture":[],"TitleCN":null,"AbstractTextCN":null,"PMCID":null,"EPubDate":"","PubModel":"","JCR":"","JCRName":"","Score":null,"Total":0}
引用次数: 0

摘要

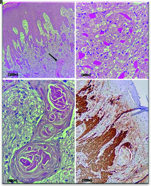
颗粒细胞瘤(GCT)是一种不常见的良性间叶肿瘤,起源于许旺细胞。最常见的部位是舌背。它明显倾向于发生在女性身上,在成年患者中更为常见。GCT 通常表现为无症状、生长缓慢的单个结节。从组织病理学角度看,它显示出多角形细胞的增生,细胞质呈颗粒状,穿透邻近的肌肉。在某些病例中,其上覆盖的上皮表现为假上皮细胞增生(PEH),这可能会使其精确诊断复杂化,并可能与鳞状细胞癌(SCC)相仿。本文介绍了一名 58 岁女性的病例,主诉为舌背无痛性肿块两年。病变呈粉红色,周缘坚实,大小为 1×1 厘米。病变表面完好无损。显微镜检查显示,未包被的大片状多角形细胞,具有丰富的嗜酸性颗粒状胞质和泡状核。覆盖的上皮细胞显示出丰富的 PEH 和角蛋白珠形成。S100 蛋白呈弥漫性阳性。诊断结果为口腔 GCT。虽然 GCT 是一种非侵袭性病变,但由于其表面有大量的 PEH 和角蛋白珍珠形成,可能会与 SCC 相混淆。尽管PEH在口腔病理学家中是一个被忽视的话题,但它在研究领域却具有重要意义。由于它们会模仿其他病变,因此诊断有时会很困难。PEH 的发病机制仍不确定。因此,熟悉这些特征并确定 PEH 的病因有助于正确治疗。本文旨在提高口腔病理学家对口腔病变中的 PEH 的认识。
本文章由计算机程序翻译,如有差异,请以英文原文为准。

Oral Granular Cell Tumor: A Case Report with Emphasis on Pseudoepitheliomatous Hyperplasia in Oral Lesions.

Oral Granular Cell Tumor: A Case Report with Emphasis on Pseudoepitheliomatous Hyperplasia in Oral Lesions.

Oral Granular Cell Tumor: A Case Report with Emphasis on Pseudoepitheliomatous Hyperplasia in Oral Lesions.

A granular cell tumor (GCT) is an unusual benign mesenchymal neoplasm with Schwann cells origin. The most common site is the dorsum of the tongue. It has a striking tendency to occur in females and is more frequent in adult patients. GCT typically shows an asymptomatic, slow-growing, single nodule. Histopathologically, it reveals a proliferation of polygonal cells with granular cytoplasm penetrating the adjacent muscles. In some cases, the overlying epithelium demonstrates pseudoepitheliomatous hyperplasia (PEH), which can complicate its precise diagnosis and may mimic squamous cell carcinoma (SCC). This paper presents a 58-year-old woman with a chief complaint of painless mass on the dorsal of the tongue for two years. The lesion was pink and circumscribed with firm consistency measuring 1×1cm. The surface of the lesion was intact. Microscopic examination demonstrated unencapsulated sheets of large, polygonal cells with abundant eosinophilic, granular cytoplasm, and vesicular nuclei. The overlying epithelium showed florid PEH and keratin pearl formation. S100 protein was positive diffusely. The diagnosis of oral GCT was made. Though GCT is a non-aggressive lesion, it may be confused with SCC due to florid PEH and keratin pearl formation. Although PEH is a neglected topic among oral pathologists, it is of great importance in the field of research. Diagnosis can sometimes be problematic because they mimic other lesions. The pathogenesis of PEH is still uncertain. Therefore, familiarity with these characteristics and determining the cause of the PEH leads to correct treatment. This article intends to raise the insight of oral pathologists about PEH in oral lesions.

求助全文
通过发布文献求助,成功后即可免费获取论文全文。 去求助
来源期刊
CiteScore
0.50
自引率
0.00%
发文量
0
×
引用
GB/T 7714-2015
复制
MLA
复制
APA
复制
导出至
BibTeX EndNote RefMan NoteFirst NoteExpress
×
提示
您的信息不完整,为了账户安全,请先补充。
现在去补充
×
提示
您因"违规操作"
具体请查看互助需知
我知道了
×
提示
确定
请完成安全验证×
copy
已复制链接
快去分享给好友吧!
我知道了
右上角分享
点击右上角分享
0
联系我们:info@booksci.cn Book学术提供免费学术资源搜索服务,方便国内外学者检索中英文文献。致力于提供最便捷和优质的服务体验。 Copyright © 2023 布克学术 All rights reserved.
京ICP备2023020795号-1
ghs 京公网安备 11010802042870号
Book学术文献互助
Book学术文献互助群
群 号:604180095
Book学术官方微信