下颌纤维骨病变:使用预测指数对可能的恶性病变进行分级并回顾病例。

Akindayo Olufunto Akinyamoju, Seyi John Akinloye, Robinson Obos Okiti, Bukola Folasade Adeyemi
{"title":"下颌纤维骨病变:使用预测指数对可能的恶性病变进行分级并回顾病例。","authors":"Akindayo Olufunto Akinyamoju, Seyi John Akinloye, Robinson Obos Okiti, Bukola Folasade Adeyemi","doi":"10.30476/dentjods.2023.96389.1935","DOIUrl":null,"url":null,"abstract":"<p><strong>Statement of the problem: </strong>Fibro-osseous lesions (FLs), may rarely exhibit malignant features likewise undergo malignant transformation. Awareness of these features can assist in screening for potentially malignant cases and identifying low-grade central osteogenic sarcoma (LGCOS) that may mimic FLs.</p><p><strong>Purpose: </strong>The objective of this study was to determine the usability of an index in predicting malignant changes in jaw FLs.</p><p><strong>Materials and method: </strong>This was a retrospective study where hematoxylin and eosin (H&E) slides and archival records of fibrous dysplasia (FD) and ossifying fibroma (OF) cases were reviewed. The sections were assessed for permeation of marrow spaces, stromal growth pattern, cytologic atypia, mitotic activity, and pattern of bone growth, which are parameters for diagnosing LGCOS. The predictive histologic index of malignancy (PHIM) was determined by a sum of the scores and graded as 0=nil, 1=low, 2 & 3=moderate, and 4 & 5=high. Data were presented using descriptive analysis.</p><p><strong>Results: </strong>Ninety-three cases of FLs met the inclusion criteria, consisting of 40(43%) cases of FD and 53(57%) cases of OF. The peak age of presentation for FD and OF was 2<sup>nd</sup> and 3<sup>rd</sup> decade. There was a female preponderance of 1:1.6. The maxilla was the most common site affected by FD, while the mandible was most commonly affected by OF. For FD cases, the PHIM was moderate in 10(25%) cases and low in 21(52.5%) cases. Similarly, for OF cases, 30(56.6%) cases had low grade PHIM while 10(17%) cases had moderate grade PHIM.</p><p><strong>Conclusion: </strong>The PHIM depicted low to moderate malignancy grade in some of the cases studied. Follow up studies would be necessary to assess the PHIM.</p>","PeriodicalId":73702,"journal":{"name":"Journal of dentistry (Shiraz, Iran)","volume":"25 1","pages":"32-38"},"PeriodicalIF":0.0000,"publicationDate":"2024-03-01","publicationTypes":"Journal Article","fieldsOfStudy":null,"isOpenAccess":false,"openAccessPdf":"https://www.ncbi.nlm.nih.gov/pmc/articles/PMC10963869/pdf/","citationCount":"0","resultStr":"{\"title\":\"Jaw Fibro-Osseous Lesions: Use of a Predictive Index in Grading Probable Malignant Changes and a Review of Cases.\",\"authors\":\"Akindayo Olufunto Akinyamoju, Seyi John Akinloye, Robinson Obos Okiti, Bukola Folasade Adeyemi\",\"doi\":\"10.30476/dentjods.2023.96389.1935\",\"DOIUrl\":null,\"url\":null,\"abstract\":\"<p><strong>Statement of the problem: </strong>Fibro-osseous lesions (FLs), may rarely exhibit malignant features likewise undergo malignant transformation. Awareness of these features can assist in screening for potentially malignant cases and identifying low-grade central osteogenic sarcoma (LGCOS) that may mimic FLs.</p><p><strong>Purpose: </strong>The objective of this study was to determine the usability of an index in predicting malignant changes in jaw FLs.</p><p><strong>Materials and method: </strong>This was a retrospective study where hematoxylin and eosin (H&E) slides and archival records of fibrous dysplasia (FD) and ossifying fibroma (OF) cases were reviewed. The sections were assessed for permeation of marrow spaces, stromal growth pattern, cytologic atypia, mitotic activity, and pattern of bone growth, which are parameters for diagnosing LGCOS. The predictive histologic index of malignancy (PHIM) was determined by a sum of the scores and graded as 0=nil, 1=low, 2 & 3=moderate, and 4 & 5=high. Data were presented using descriptive analysis.</p><p><strong>Results: </strong>Ninety-three cases of FLs met the inclusion criteria, consisting of 40(43%) cases of FD and 53(57%) cases of OF. The peak age of presentation for FD and OF was 2<sup>nd</sup> and 3<sup>rd</sup> decade. There was a female preponderance of 1:1.6. The maxilla was the most common site affected by FD, while the mandible was most commonly affected by OF. For FD cases, the PHIM was moderate in 10(25%) cases and low in 21(52.5%) cases. Similarly, for OF cases, 30(56.6%) cases had low grade PHIM while 10(17%) cases had moderate grade PHIM.</p><p><strong>Conclusion: </strong>The PHIM depicted low to moderate malignancy grade in some of the cases studied. Follow up studies would be necessary to assess the PHIM.</p>\",\"PeriodicalId\":73702,\"journal\":{\"name\":\"Journal of dentistry (Shiraz, Iran)\",\"volume\":\"25 1\",\"pages\":\"32-38\"},\"PeriodicalIF\":0.0000,\"publicationDate\":\"2024-03-01\",\"publicationTypes\":\"Journal Article\",\"fieldsOfStudy\":null,\"isOpenAccess\":false,\"openAccessPdf\":\"https://www.ncbi.nlm.nih.gov/pmc/articles/PMC10963869/pdf/\",\"citationCount\":\"0\",\"resultStr\":null,\"platform\":\"Semanticscholar\",\"paperid\":null,\"PeriodicalName\":\"Journal of dentistry (Shiraz, Iran)\",\"FirstCategoryId\":\"1085\",\"ListUrlMain\":\"https://doi.org/10.30476/dentjods.2023.96389.1935\",\"RegionNum\":0,\"RegionCategory\":null,\"ArticlePicture\":[],\"TitleCN\":null,\"AbstractTextCN\":null,\"PMCID\":null,\"EPubDate\":\"\",\"PubModel\":\"\",\"JCR\":\"\",\"JCRName\":\"\",\"Score\":null,\"Total\":0}","platform":"Semanticscholar","paperid":null,"PeriodicalName":"Journal of dentistry (Shiraz, Iran)","FirstCategoryId":"1085","ListUrlMain":"https://doi.org/10.30476/dentjods.2023.96389.1935","RegionNum":0,"RegionCategory":null,"ArticlePicture":[],"TitleCN":null,"AbstractTextCN":null,"PMCID":null,"EPubDate":"","PubModel":"","JCR":"","JCRName":"","Score":null,"Total":0}
引用次数: 0

摘要

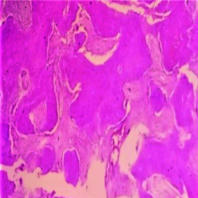
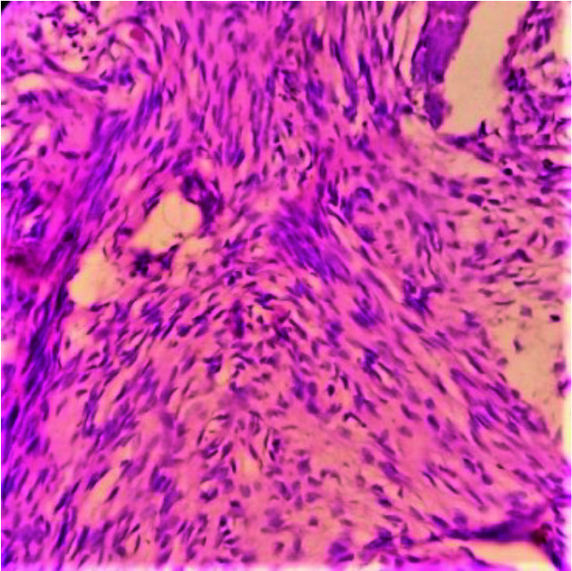
问题陈述:骨纤维性病变(FLs)可能很少表现出恶性特征,同样也会发生恶性转化。对这些特征的认识有助于筛查潜在的恶性病例,并识别可能模仿FLs的低级别中心性骨肉瘤(LGCOS):这是一项回顾性研究,对纤维发育不良(FD)和骨化性纤维瘤(OF)病例的苏木精和伊红(H&E)切片和档案记录进行了审查。对切片的骨髓间隙渗透、基质生长模式、细胞学不典型性、有丝分裂活性和骨生长模式进行了评估,这些都是诊断 LGCOS 的参数。恶性肿瘤组织学预测指数(PHIM)由各项得分之和决定,分为 0=无,1=低,2 和 3=中等,4 和 5=高。数据采用描述性分析:93例FL符合纳入标准,其中40例(43%)为FD,53例(57%)为OF。FD和OF的高发年龄分别为第2和第3个十年。女性占多数,比例为1:1.6。上颌骨是FD最常见的发病部位,而下颌骨则是OF最常见的发病部位。在 FD 病例中,10 例(25%)的 PHIM 为中度,21 例(52.5%)为低度。同样,在 OF 病例中,30 例(56.6%)的 PHIM 为低度,10 例(17%)为中度:结论:在所研究的病例中,部分病例的 PHIM 为低度至中度恶性程度。有必要进行后续研究以评估 PHIM。
本文章由计算机程序翻译,如有差异,请以英文原文为准。

Jaw Fibro-Osseous Lesions: Use of a Predictive Index in Grading Probable Malignant Changes and a Review of Cases.

Jaw Fibro-Osseous Lesions: Use of a Predictive Index in Grading Probable Malignant Changes and a Review of Cases.

Jaw Fibro-Osseous Lesions: Use of a Predictive Index in Grading Probable Malignant Changes and a Review of Cases.

Jaw Fibro-Osseous Lesions: Use of a Predictive Index in Grading Probable Malignant Changes and a Review of Cases.

Statement of the problem: Fibro-osseous lesions (FLs), may rarely exhibit malignant features likewise undergo malignant transformation. Awareness of these features can assist in screening for potentially malignant cases and identifying low-grade central osteogenic sarcoma (LGCOS) that may mimic FLs.

Purpose: The objective of this study was to determine the usability of an index in predicting malignant changes in jaw FLs.

Materials and method: This was a retrospective study where hematoxylin and eosin (H&E) slides and archival records of fibrous dysplasia (FD) and ossifying fibroma (OF) cases were reviewed. The sections were assessed for permeation of marrow spaces, stromal growth pattern, cytologic atypia, mitotic activity, and pattern of bone growth, which are parameters for diagnosing LGCOS. The predictive histologic index of malignancy (PHIM) was determined by a sum of the scores and graded as 0=nil, 1=low, 2 & 3=moderate, and 4 & 5=high. Data were presented using descriptive analysis.

Results: Ninety-three cases of FLs met the inclusion criteria, consisting of 40(43%) cases of FD and 53(57%) cases of OF. The peak age of presentation for FD and OF was 2nd and 3rd decade. There was a female preponderance of 1:1.6. The maxilla was the most common site affected by FD, while the mandible was most commonly affected by OF. For FD cases, the PHIM was moderate in 10(25%) cases and low in 21(52.5%) cases. Similarly, for OF cases, 30(56.6%) cases had low grade PHIM while 10(17%) cases had moderate grade PHIM.

Conclusion: The PHIM depicted low to moderate malignancy grade in some of the cases studied. Follow up studies would be necessary to assess the PHIM.

求助全文
通过发布文献求助,成功后即可免费获取论文全文。 去求助
来源期刊
CiteScore
0.50
自引率
0.00%
发文量
0
×
引用
GB/T 7714-2015
复制
MLA
复制
APA
复制
导出至
BibTeX EndNote RefMan NoteFirst NoteExpress
×
提示
您的信息不完整,为了账户安全,请先补充。
现在去补充
×
提示
您因"违规操作"
具体请查看互助需知
我知道了
×
提示
确定
请完成安全验证×
copy
已复制链接
快去分享给好友吧!
我知道了
右上角分享
点击右上角分享
0
联系我们:info@booksci.cn Book学术提供免费学术资源搜索服务,方便国内外学者检索中英文文献。致力于提供最便捷和优质的服务体验。 Copyright © 2023 布克学术 All rights reserved.
京ICP备2023020795号-1
ghs 京公网安备 11010802042870号
Book学术文献互助
Book学术文献互助群
群 号:604180095
Book学术官方微信