Nivolumab是治疗转移性唾液腺导管癌的一种很有前途的方法。

IF 2.9 4区 医学 Q3 IMMUNOLOGY
Journal of Immunotherapy Pub Date : 2024-09-01 Epub Date: 2024-03-28 DOI:10.1097/CJI.0000000000000513
Luis Bugia, Frederic Jungbauer, Lena Zaubitzer, Christian Hörner, Kirsten Merx, Abo-Madyan Yasser, Thomas Germann, Anne Lammert, Claudia Scherl, Nicole Rotter, Annette Affolter
{"title":"Nivolumab是治疗转移性唾液腺导管癌的一种很有前途的方法。","authors":"Luis Bugia, Frederic Jungbauer, Lena Zaubitzer, Christian Hörner, Kirsten Merx, Abo-Madyan Yasser, Thomas Germann, Anne Lammert, Claudia Scherl, Nicole Rotter, Annette Affolter","doi":"10.1097/CJI.0000000000000513","DOIUrl":null,"url":null,"abstract":"<p><p>Salivary duct carcinomas (SDC) of the parotid gland are rarely occurring highly malignant tumors. A 65-year-old man presented with a preauricular mass. After surgical treatment and histologic examination, the findings were interpreted as a squamous cell carcinoma (SCC) metastasis of the parotid gland deriving from a cancer of unknown primary DD primary SCC of the parotid gland. Adjuvant platinum-based radiochemotherapy was administered in domo. However, re-staging revealed multiple size-progressive pulmonary round lesions. After resection and histological examination of a pulmonary mass and in synopsis with the primary tumor, the initial diagnosis of SCC was revised to SDC of the parotid gland. With positive HER-2 status, off-label trastuzumab/docetaxel was initiated in an individual healing attempt, during which the pulmonary metastases showed clear progression. Consequently, the patient received immunotherapy with nivolumab according to his negative PD-L1 status. After 57 cycles of nivolumab, the patient presents with partial remission and in good condition. We report, for the first time, a robust response of metastatic SDC to checkpoint inhibition with nivolumab without additional radiotherapy.</p>","PeriodicalId":15996,"journal":{"name":"Journal of Immunotherapy","volume":" ","pages":"258-262"},"PeriodicalIF":2.9000,"publicationDate":"2024-09-01","publicationTypes":"Journal Article","fieldsOfStudy":null,"isOpenAccess":false,"openAccessPdf":"https://www.ncbi.nlm.nih.gov/pmc/articles/PMC11299898/pdf/","citationCount":"0","resultStr":"{\"title\":\"Nivolumab as a Promising Treatment Option for Metastatic Salivary Duct Carcinoma.\",\"authors\":\"Luis Bugia, Frederic Jungbauer, Lena Zaubitzer, Christian Hörner, Kirsten Merx, Abo-Madyan Yasser, Thomas Germann, Anne Lammert, Claudia Scherl, Nicole Rotter, Annette Affolter\",\"doi\":\"10.1097/CJI.0000000000000513\",\"DOIUrl\":null,\"url\":null,\"abstract\":\"<p><p>Salivary duct carcinomas (SDC) of the parotid gland are rarely occurring highly malignant tumors. A 65-year-old man presented with a preauricular mass. After surgical treatment and histologic examination, the findings were interpreted as a squamous cell carcinoma (SCC) metastasis of the parotid gland deriving from a cancer of unknown primary DD primary SCC of the parotid gland. Adjuvant platinum-based radiochemotherapy was administered in domo. However, re-staging revealed multiple size-progressive pulmonary round lesions. After resection and histological examination of a pulmonary mass and in synopsis with the primary tumor, the initial diagnosis of SCC was revised to SDC of the parotid gland. With positive HER-2 status, off-label trastuzumab/docetaxel was initiated in an individual healing attempt, during which the pulmonary metastases showed clear progression. Consequently, the patient received immunotherapy with nivolumab according to his negative PD-L1 status. After 57 cycles of nivolumab, the patient presents with partial remission and in good condition. We report, for the first time, a robust response of metastatic SDC to checkpoint inhibition with nivolumab without additional radiotherapy.</p>\",\"PeriodicalId\":15996,\"journal\":{\"name\":\"Journal of Immunotherapy\",\"volume\":\" \",\"pages\":\"258-262\"},\"PeriodicalIF\":2.9000,\"publicationDate\":\"2024-09-01\",\"publicationTypes\":\"Journal Article\",\"fieldsOfStudy\":null,\"isOpenAccess\":false,\"openAccessPdf\":\"https://www.ncbi.nlm.nih.gov/pmc/articles/PMC11299898/pdf/\",\"citationCount\":\"0\",\"resultStr\":null,\"platform\":\"Semanticscholar\",\"paperid\":null,\"PeriodicalName\":\"Journal of Immunotherapy\",\"FirstCategoryId\":\"3\",\"ListUrlMain\":\"https://doi.org/10.1097/CJI.0000000000000513\",\"RegionNum\":4,\"RegionCategory\":\"医学\",\"ArticlePicture\":[],\"TitleCN\":null,\"AbstractTextCN\":null,\"PMCID\":null,\"EPubDate\":\"2024/3/28 0:00:00\",\"PubModel\":\"Epub\",\"JCR\":\"Q3\",\"JCRName\":\"IMMUNOLOGY\",\"Score\":null,\"Total\":0}","platform":"Semanticscholar","paperid":null,"PeriodicalName":"Journal of Immunotherapy","FirstCategoryId":"3","ListUrlMain":"https://doi.org/10.1097/CJI.0000000000000513","RegionNum":4,"RegionCategory":"医学","ArticlePicture":[],"TitleCN":null,"AbstractTextCN":null,"PMCID":null,"EPubDate":"2024/3/28 0:00:00","PubModel":"Epub","JCR":"Q3","JCRName":"IMMUNOLOGY","Score":null,"Total":0}
引用次数: 0

摘要

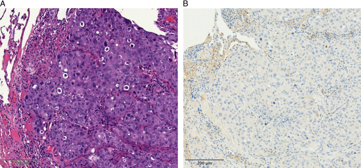
腮腺唾液腺导管癌(SDC)是一种罕见的高度恶性肿瘤。一名 65 岁的男子出现耳前肿块。经过手术治疗和组织学检查,结果被解释为腮腺鳞状细胞癌(SCC)转移瘤,来源于原发性不明的腮腺原发性 SCC。患者接受了以铂为基础的辅助放化疗。然而,重新分期后发现了多个大小呈进行性发展的肺圆形病灶。在对肺部肿块进行切除和组织学检查并与原发肿瘤进行对比后,最初的 SCC 诊断被修改为腮腺 SDC。由于患者的 HER-2 状态为阳性,在一次个体治疗尝试中,患者接受了标签外曲妥珠单抗/多西他赛治疗,在此期间,肺转移灶出现了明显的进展。因此,患者根据其 PD-L1 阴性状态接受了 nivolumab 免疫疗法。经过 57 个周期的尼夫单抗治疗后,患者病情得到部分缓解,目前状况良好。我们首次报道了转移性 SDC 对使用 nivolumab 的检查点抑制剂的强效反应,而无需额外的放疗。
本文章由计算机程序翻译,如有差异,请以英文原文为准。

Nivolumab as a Promising Treatment Option for Metastatic Salivary Duct Carcinoma.

Nivolumab as a Promising Treatment Option for Metastatic Salivary Duct Carcinoma.

Nivolumab as a Promising Treatment Option for Metastatic Salivary Duct Carcinoma.

Salivary duct carcinomas (SDC) of the parotid gland are rarely occurring highly malignant tumors. A 65-year-old man presented with a preauricular mass. After surgical treatment and histologic examination, the findings were interpreted as a squamous cell carcinoma (SCC) metastasis of the parotid gland deriving from a cancer of unknown primary DD primary SCC of the parotid gland. Adjuvant platinum-based radiochemotherapy was administered in domo. However, re-staging revealed multiple size-progressive pulmonary round lesions. After resection and histological examination of a pulmonary mass and in synopsis with the primary tumor, the initial diagnosis of SCC was revised to SDC of the parotid gland. With positive HER-2 status, off-label trastuzumab/docetaxel was initiated in an individual healing attempt, during which the pulmonary metastases showed clear progression. Consequently, the patient received immunotherapy with nivolumab according to his negative PD-L1 status. After 57 cycles of nivolumab, the patient presents with partial remission and in good condition. We report, for the first time, a robust response of metastatic SDC to checkpoint inhibition with nivolumab without additional radiotherapy.

求助全文
通过发布文献求助,成功后即可免费获取论文全文。 去求助
来源期刊
Journal of Immunotherapy
Journal of Immunotherapy 医学-免疫学
CiteScore
6.90
自引率
0.00%
发文量
79
审稿时长
6-12 weeks
期刊介绍: Journal of Immunotherapy features rapid publication of articles on immunomodulators, lymphokines, antibodies, cells, and cell products in cancer biology and therapy. Laboratory and preclinical studies, as well as investigative clinical reports, are presented. The journal emphasizes basic mechanisms and methods for the rapid transfer of technology from the laboratory to the clinic. JIT contains full-length articles, review articles, and short communications.
×
引用
GB/T 7714-2015
复制
MLA
复制
APA
复制
导出至
BibTeX EndNote RefMan NoteFirst NoteExpress
×
提示
您的信息不完整,为了账户安全,请先补充。
现在去补充
×
提示
您因"违规操作"
具体请查看互助需知
我知道了
×
提示
确定
请完成安全验证×
copy
已复制链接
快去分享给好友吧!
我知道了
右上角分享
点击右上角分享
0
联系我们:info@booksci.cn Book学术提供免费学术资源搜索服务,方便国内外学者检索中英文文献。致力于提供最便捷和优质的服务体验。 Copyright © 2023 布克学术 All rights reserved.
京ICP备2023020795号-1
ghs 京公网安备 11010802042870号
Book学术文献互助
Book学术文献互助群
群 号:604180095
Book学术官方微信