具有低级别鳞状上皮内病变形态的宫颈低风险 HPV 相关分化良好的鳞状细胞癌:临床和病理诊断困难及文献综述。

IF 2.1 Q4 PATHOLOGY
Deniz Ates, Esra Nur Sahin, Kübra Katipoglu, Alp Usubutun
{"title":"具有低级别鳞状上皮内病变形态的宫颈低风险 HPV 相关分化良好的鳞状细胞癌:临床和病理诊断困难及文献综述。","authors":"Deniz Ates, Esra Nur Sahin, Kübra Katipoglu, Alp Usubutun","doi":"10.5146/tjpath.2024.13189","DOIUrl":null,"url":null,"abstract":"<p><p>Approximately 95% of cervical squamous cell carcinomas are associated with high-risk HPV, with a small number of HPV-independent tumors. However, low-risk HPV types have also been detected in rare cervical squamous cell carcinomas. Low-grade squamous intraepithelial lesion-related changes are a rare morphologic finding in cervical squamous cell carcinoma. We present the case of a 30-yr-old woman who presented with pelvic pain and foul-smelling vaginal discharge showing an exophytic lesion protruding from the cervix. Repeated superficial biopsies showed a low-grade squamous intraepithelial lesion (LSIL) characterized by binucleation and koilocytosis. Chromogenic in-situ hybridization revealed the presence of HPV6/11. The absence of high-risk HPV was confirmed by PCR. After following the patient for nine months without intervention, type III hysterectomy and bilateral pelvic paraaortic lymphadenectomy were performed. Microscopic examination showed well-differentiated squamous cell carcinoma with solid epithelial islands and extensive eosinophilic cytoplasm without pleomorphism. HPV 6 and 11 were also detected with chromogenic in-situ hybridization. Neoplasm invaded the full-thickness of the cervical wall and infiltrated the vagina, parametrium, the proximal ureter and bladder. The patient who received chemoradiotherapy is disease-free at 36 months follow-up. Low-risk HPV-related well-differentiated invasive squamous lesions exist, and such lesions could be a diagnostic pitfall for gynecologists and pathologists; in these cases, radiologic-pathologic correlation and radiologic guided biopsy are mandatory.</p>","PeriodicalId":45415,"journal":{"name":"Turkish Journal of Pathology","volume":" ","pages":"196-201"},"PeriodicalIF":2.1000,"publicationDate":"2024-01-01","publicationTypes":"Journal Article","fieldsOfStudy":null,"isOpenAccess":false,"openAccessPdf":"https://www.ncbi.nlm.nih.gov/pmc/articles/PMC11391893/pdf/","citationCount":"0","resultStr":"{\"title\":\"A Low-Risk HPV-Associated Well-Differentiated Squamous Cell Carcinoma of the Cervix with Low-Grade Squamous Intraepithelial Lesion Morphology: Clinical and Pathologic Diagnostic Difficulties and Review of the Literature.\",\"authors\":\"Deniz Ates, Esra Nur Sahin, Kübra Katipoglu, Alp Usubutun\",\"doi\":\"10.5146/tjpath.2024.13189\",\"DOIUrl\":null,\"url\":null,\"abstract\":\"<p><p>Approximately 95% of cervical squamous cell carcinomas are associated with high-risk HPV, with a small number of HPV-independent tumors. However, low-risk HPV types have also been detected in rare cervical squamous cell carcinomas. Low-grade squamous intraepithelial lesion-related changes are a rare morphologic finding in cervical squamous cell carcinoma. We present the case of a 30-yr-old woman who presented with pelvic pain and foul-smelling vaginal discharge showing an exophytic lesion protruding from the cervix. Repeated superficial biopsies showed a low-grade squamous intraepithelial lesion (LSIL) characterized by binucleation and koilocytosis. Chromogenic in-situ hybridization revealed the presence of HPV6/11. The absence of high-risk HPV was confirmed by PCR. After following the patient for nine months without intervention, type III hysterectomy and bilateral pelvic paraaortic lymphadenectomy were performed. Microscopic examination showed well-differentiated squamous cell carcinoma with solid epithelial islands and extensive eosinophilic cytoplasm without pleomorphism. HPV 6 and 11 were also detected with chromogenic in-situ hybridization. Neoplasm invaded the full-thickness of the cervical wall and infiltrated the vagina, parametrium, the proximal ureter and bladder. The patient who received chemoradiotherapy is disease-free at 36 months follow-up. Low-risk HPV-related well-differentiated invasive squamous lesions exist, and such lesions could be a diagnostic pitfall for gynecologists and pathologists; in these cases, radiologic-pathologic correlation and radiologic guided biopsy are mandatory.</p>\",\"PeriodicalId\":45415,\"journal\":{\"name\":\"Turkish Journal of Pathology\",\"volume\":\" \",\"pages\":\"196-201\"},\"PeriodicalIF\":2.1000,\"publicationDate\":\"2024-01-01\",\"publicationTypes\":\"Journal Article\",\"fieldsOfStudy\":null,\"isOpenAccess\":false,\"openAccessPdf\":\"https://www.ncbi.nlm.nih.gov/pmc/articles/PMC11391893/pdf/\",\"citationCount\":\"0\",\"resultStr\":null,\"platform\":\"Semanticscholar\",\"paperid\":null,\"PeriodicalName\":\"Turkish Journal of Pathology\",\"FirstCategoryId\":\"1085\",\"ListUrlMain\":\"https://doi.org/10.5146/tjpath.2024.13189\",\"RegionNum\":0,\"RegionCategory\":null,\"ArticlePicture\":[],\"TitleCN\":null,\"AbstractTextCN\":null,\"PMCID\":null,\"EPubDate\":\"\",\"PubModel\":\"\",\"JCR\":\"Q4\",\"JCRName\":\"PATHOLOGY\",\"Score\":null,\"Total\":0}","platform":"Semanticscholar","paperid":null,"PeriodicalName":"Turkish Journal of Pathology","FirstCategoryId":"1085","ListUrlMain":"https://doi.org/10.5146/tjpath.2024.13189","RegionNum":0,"RegionCategory":null,"ArticlePicture":[],"TitleCN":null,"AbstractTextCN":null,"PMCID":null,"EPubDate":"","PubModel":"","JCR":"Q4","JCRName":"PATHOLOGY","Score":null,"Total":0}
引用次数: 0

摘要

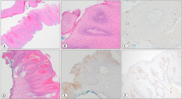
大约 95% 的宫颈鳞状细胞癌与高危型 HPV 相关,少数肿瘤与 HPV 无关。不过,在罕见的宫颈鳞状细胞癌中也检测到了低风险的 HPV 类型。低级别鳞状上皮内病变相关改变是宫颈鳞状细胞癌中罕见的形态学发现。我们介绍了一例 30 岁女性的病例,她因盆腔疼痛和恶臭的阴道分泌物而就诊,宫颈上有一个突出的外生病灶。反复进行的表层活检显示,该病变为低度鳞状上皮内病变(LSIL),其特征为双核和柯氏细胞增多。染色原位杂交显示存在 HPV6/11。聚合酶链反应(PCR)证实不存在高危型人乳头瘤病毒。在对患者进行了九个月的跟踪观察而未采取干预措施后,对患者进行了 III 型子宫切除术和双侧盆腔主动脉旁淋巴结切除术。显微镜检查显示,患者为分化良好的鳞状细胞癌,有实性上皮岛和广泛的嗜酸性细胞质,无多形性。染色原位杂交还检测到了 HPV 6 和 11。肿瘤侵犯宫颈壁全厚度,并浸润阴道、宫旁、输尿管近端和膀胱。接受放化疗的患者在 36 个月的随访中保持无病状态。存在与低风险 HPV 相关的分化良好的浸润性鳞状病变,此类病变可能成为妇科医生和病理学家的诊断陷阱;在这些病例中,必须进行放射病理相关性检查和放射引导下的活检。
本文章由计算机程序翻译,如有差异,请以英文原文为准。

A Low-Risk HPV-Associated Well-Differentiated Squamous Cell Carcinoma of the Cervix with Low-Grade Squamous Intraepithelial Lesion Morphology: Clinical and Pathologic Diagnostic Difficulties and Review of the Literature.

A Low-Risk HPV-Associated Well-Differentiated Squamous Cell Carcinoma of the Cervix with Low-Grade Squamous Intraepithelial Lesion Morphology: Clinical and Pathologic Diagnostic Difficulties and Review of the Literature.

A Low-Risk HPV-Associated Well-Differentiated Squamous Cell Carcinoma of the Cervix with Low-Grade Squamous Intraepithelial Lesion Morphology: Clinical and Pathologic Diagnostic Difficulties and Review of the Literature.

Approximately 95% of cervical squamous cell carcinomas are associated with high-risk HPV, with a small number of HPV-independent tumors. However, low-risk HPV types have also been detected in rare cervical squamous cell carcinomas. Low-grade squamous intraepithelial lesion-related changes are a rare morphologic finding in cervical squamous cell carcinoma. We present the case of a 30-yr-old woman who presented with pelvic pain and foul-smelling vaginal discharge showing an exophytic lesion protruding from the cervix. Repeated superficial biopsies showed a low-grade squamous intraepithelial lesion (LSIL) characterized by binucleation and koilocytosis. Chromogenic in-situ hybridization revealed the presence of HPV6/11. The absence of high-risk HPV was confirmed by PCR. After following the patient for nine months without intervention, type III hysterectomy and bilateral pelvic paraaortic lymphadenectomy were performed. Microscopic examination showed well-differentiated squamous cell carcinoma with solid epithelial islands and extensive eosinophilic cytoplasm without pleomorphism. HPV 6 and 11 were also detected with chromogenic in-situ hybridization. Neoplasm invaded the full-thickness of the cervical wall and infiltrated the vagina, parametrium, the proximal ureter and bladder. The patient who received chemoradiotherapy is disease-free at 36 months follow-up. Low-risk HPV-related well-differentiated invasive squamous lesions exist, and such lesions could be a diagnostic pitfall for gynecologists and pathologists; in these cases, radiologic-pathologic correlation and radiologic guided biopsy are mandatory.

求助全文
通过发布文献求助,成功后即可免费获取论文全文。 去求助
来源期刊
CiteScore
1.90
自引率
10.00%
发文量
23
审稿时长
14 weeks
×
引用
GB/T 7714-2015
复制
MLA
复制
APA
复制
导出至
BibTeX EndNote RefMan NoteFirst NoteExpress
×
提示
您的信息不完整,为了账户安全,请先补充。
现在去补充
×
提示
您因"违规操作"
具体请查看互助需知
我知道了
×
提示
确定
请完成安全验证×
copy
已复制链接
快去分享给好友吧!
我知道了
右上角分享
点击右上角分享
0
联系我们:info@booksci.cn Book学术提供免费学术资源搜索服务,方便国内外学者检索中英文文献。致力于提供最便捷和优质的服务体验。 Copyright © 2023 布克学术 All rights reserved.
京ICP备2023020795号-1
ghs 京公网安备 11010802042870号
Book学术文献互助
Book学术文献互助群
群 号:604180095
Book学术官方微信