一匹重型草马的雄性生殖器官中出现非化脓性坏死性睾丸动脉炎。

Q3 Veterinary
Journal of Equine Science Pub Date : 2024-03-01 Epub Date: 2024-03-19 DOI:10.1294/jes.35.15
Yusuke Tanaka, Kenichi Watanabe, Akiko Takeyama, Masaaki Tagami, Hayato Hamano, Natsuko Fukumoto, Yasuo Nambo, Yoshiyasu Kobayashi
{"title":"一匹重型草马的雄性生殖器官中出现非化脓性坏死性睾丸动脉炎。","authors":"Yusuke Tanaka, Kenichi Watanabe, Akiko Takeyama, Masaaki Tagami, Hayato Hamano, Natsuko Fukumoto, Yasuo Nambo, Yoshiyasu Kobayashi","doi":"10.1294/jes.35.15","DOIUrl":null,"url":null,"abstract":"<p><p>Equine testicular arteritis commonly occurs as a consequence of the migration of nematode larvae or equine arteritis virus (EAV) infection. However, testicular arteritis without evidence of these infections has been reported, and the underlying pathogenesis remains unclear. We encountered testicular arteritis without evidence of nematode or EAV infection in a 3-year-old male heavy draft horse with scrotal enlargement. Grossly, the volume of the pampiniform plexus was markedly increased due to edema. Histologically, non-suppurative and necrotizing testicular arteritis, characterized by lymphocyte infiltration and fibrinoid necrosis of the arterial walls, was diffusely observed in the spermatic cord, pampiniform plexus (most severe), testis, and epididymis. We were unable to identify the cause of arteritis, such as a viral infection or autoimmune abnormality.</p>","PeriodicalId":35701,"journal":{"name":"Journal of Equine Science","volume":"35 1","pages":"15-19"},"PeriodicalIF":0.0000,"publicationDate":"2024-03-01","publicationTypes":"Journal Article","fieldsOfStudy":null,"isOpenAccess":false,"openAccessPdf":"https://www.ncbi.nlm.nih.gov/pmc/articles/PMC10955268/pdf/","citationCount":"0","resultStr":"{\"title\":\"Non-suppurative and necrotizing testicular arteritis in the male reproductive organs of a heavy draft horse.\",\"authors\":\"Yusuke Tanaka, Kenichi Watanabe, Akiko Takeyama, Masaaki Tagami, Hayato Hamano, Natsuko Fukumoto, Yasuo Nambo, Yoshiyasu Kobayashi\",\"doi\":\"10.1294/jes.35.15\",\"DOIUrl\":null,\"url\":null,\"abstract\":\"<p><p>Equine testicular arteritis commonly occurs as a consequence of the migration of nematode larvae or equine arteritis virus (EAV) infection. However, testicular arteritis without evidence of these infections has been reported, and the underlying pathogenesis remains unclear. We encountered testicular arteritis without evidence of nematode or EAV infection in a 3-year-old male heavy draft horse with scrotal enlargement. Grossly, the volume of the pampiniform plexus was markedly increased due to edema. Histologically, non-suppurative and necrotizing testicular arteritis, characterized by lymphocyte infiltration and fibrinoid necrosis of the arterial walls, was diffusely observed in the spermatic cord, pampiniform plexus (most severe), testis, and epididymis. We were unable to identify the cause of arteritis, such as a viral infection or autoimmune abnormality.</p>\",\"PeriodicalId\":35701,\"journal\":{\"name\":\"Journal of Equine Science\",\"volume\":\"35 1\",\"pages\":\"15-19\"},\"PeriodicalIF\":0.0000,\"publicationDate\":\"2024-03-01\",\"publicationTypes\":\"Journal Article\",\"fieldsOfStudy\":null,\"isOpenAccess\":false,\"openAccessPdf\":\"https://www.ncbi.nlm.nih.gov/pmc/articles/PMC10955268/pdf/\",\"citationCount\":\"0\",\"resultStr\":null,\"platform\":\"Semanticscholar\",\"paperid\":null,\"PeriodicalName\":\"Journal of Equine Science\",\"FirstCategoryId\":\"1085\",\"ListUrlMain\":\"https://doi.org/10.1294/jes.35.15\",\"RegionNum\":0,\"RegionCategory\":null,\"ArticlePicture\":[],\"TitleCN\":null,\"AbstractTextCN\":null,\"PMCID\":null,\"EPubDate\":\"2024/3/19 0:00:00\",\"PubModel\":\"Epub\",\"JCR\":\"Q3\",\"JCRName\":\"Veterinary\",\"Score\":null,\"Total\":0}","platform":"Semanticscholar","paperid":null,"PeriodicalName":"Journal of Equine Science","FirstCategoryId":"1085","ListUrlMain":"https://doi.org/10.1294/jes.35.15","RegionNum":0,"RegionCategory":null,"ArticlePicture":[],"TitleCN":null,"AbstractTextCN":null,"PMCID":null,"EPubDate":"2024/3/19 0:00:00","PubModel":"Epub","JCR":"Q3","JCRName":"Veterinary","Score":null,"Total":0}
引用次数: 0

摘要

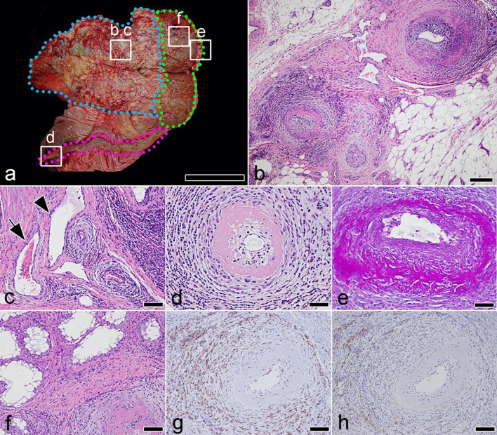
马睾丸动脉炎通常是线虫幼虫迁移或马动脉炎病毒(EAV)感染的结果。然而,也有报道称睾丸动脉炎没有这些感染的证据,其潜在的发病机制仍不清楚。我们在一匹阴囊肿大的 3 岁雄性重型草马身上发现了没有线虫或 EAV 感染证据的睾丸动脉炎。从外观上看,由于水肿,睾丸静脉丛的体积明显增大。从组织学角度看,在精索、睾丸鞘膜丛(最严重)、睾丸和附睾弥漫性地观察到非化脓性坏死性睾丸动脉炎,其特征是淋巴细胞浸润和动脉壁纤维素性坏死。我们无法确定动脉炎的病因,如病毒感染或自身免疫异常。
本文章由计算机程序翻译,如有差异,请以英文原文为准。

Non-suppurative and necrotizing testicular arteritis in the male reproductive organs of a heavy draft horse.

Non-suppurative and necrotizing testicular arteritis in the male reproductive organs of a heavy draft horse.

Non-suppurative and necrotizing testicular arteritis in the male reproductive organs of a heavy draft horse.

Non-suppurative and necrotizing testicular arteritis in the male reproductive organs of a heavy draft horse.

Equine testicular arteritis commonly occurs as a consequence of the migration of nematode larvae or equine arteritis virus (EAV) infection. However, testicular arteritis without evidence of these infections has been reported, and the underlying pathogenesis remains unclear. We encountered testicular arteritis without evidence of nematode or EAV infection in a 3-year-old male heavy draft horse with scrotal enlargement. Grossly, the volume of the pampiniform plexus was markedly increased due to edema. Histologically, non-suppurative and necrotizing testicular arteritis, characterized by lymphocyte infiltration and fibrinoid necrosis of the arterial walls, was diffusely observed in the spermatic cord, pampiniform plexus (most severe), testis, and epididymis. We were unable to identify the cause of arteritis, such as a viral infection or autoimmune abnormality.

求助全文
通过发布文献求助,成功后即可免费获取论文全文。 去求助
来源期刊
Journal of Equine Science
Journal of Equine Science Veterinary-Equine
CiteScore
1.60
自引率
0.00%
发文量
9
×
引用
GB/T 7714-2015
复制
MLA
复制
APA
复制
导出至
BibTeX EndNote RefMan NoteFirst NoteExpress
×
提示
您的信息不完整,为了账户安全,请先补充。
现在去补充
×
提示
您因"违规操作"
具体请查看互助需知
我知道了
×
提示
确定
请完成安全验证×
copy
已复制链接
快去分享给好友吧!
我知道了
右上角分享
点击右上角分享
0
联系我们:info@booksci.cn Book学术提供免费学术资源搜索服务,方便国内外学者检索中英文文献。致力于提供最便捷和优质的服务体验。 Copyright © 2023 布克学术 All rights reserved.
京ICP备2023020795号-1
ghs 京公网安备 11010802042870号
Book学术文献互助
Book学术文献互助群
群 号:604180095
Book学术官方微信