小细胞肺癌患者的双侧虹膜转移:病例报告。

Beyoglu Eye Journal Pub Date : 2024-03-01 eCollection Date: 2024-01-01 DOI:10.14744/bej.2023.39200
Mukaddes Damla Ciftci, Sinan Ezirmik, Banu Yaman, Melis Palamar
{"title":"小细胞肺癌患者的双侧虹膜转移:病例报告。","authors":"Mukaddes Damla Ciftci, Sinan Ezirmik, Banu Yaman, Melis Palamar","doi":"10.14744/bej.2023.39200","DOIUrl":null,"url":null,"abstract":"<p><p>Small cell lung carcinoma (SCLC) is a neuroendocrine tumor with high probability of early disseminated disease and paraneoplastic syndromes. Choroid is the most common uveal tissue affected by metastatic disease followed by iris and ciliary body. Herein, we present a 46-year-old male with bilateral multiple iris metastasis. Once diagnosed, the patient already had diagnosis of SCLC with cranial and bone metastases.</p>","PeriodicalId":8740,"journal":{"name":"Beyoglu Eye Journal","volume":"9 1","pages":"55-58"},"PeriodicalIF":0.0000,"publicationDate":"2024-03-01","publicationTypes":"Journal Article","fieldsOfStudy":null,"isOpenAccess":false,"openAccessPdf":"https://www.ncbi.nlm.nih.gov/pmc/articles/PMC10944849/pdf/","citationCount":"0","resultStr":"{\"title\":\"Bilateral Iris Metastasis in a Patient with Small Cell Lung Carcinoma: A Case Report.\",\"authors\":\"Mukaddes Damla Ciftci, Sinan Ezirmik, Banu Yaman, Melis Palamar\",\"doi\":\"10.14744/bej.2023.39200\",\"DOIUrl\":null,\"url\":null,\"abstract\":\"<p><p>Small cell lung carcinoma (SCLC) is a neuroendocrine tumor with high probability of early disseminated disease and paraneoplastic syndromes. Choroid is the most common uveal tissue affected by metastatic disease followed by iris and ciliary body. Herein, we present a 46-year-old male with bilateral multiple iris metastasis. Once diagnosed, the patient already had diagnosis of SCLC with cranial and bone metastases.</p>\",\"PeriodicalId\":8740,\"journal\":{\"name\":\"Beyoglu Eye Journal\",\"volume\":\"9 1\",\"pages\":\"55-58\"},\"PeriodicalIF\":0.0000,\"publicationDate\":\"2024-03-01\",\"publicationTypes\":\"Journal Article\",\"fieldsOfStudy\":null,\"isOpenAccess\":false,\"openAccessPdf\":\"https://www.ncbi.nlm.nih.gov/pmc/articles/PMC10944849/pdf/\",\"citationCount\":\"0\",\"resultStr\":null,\"platform\":\"Semanticscholar\",\"paperid\":null,\"PeriodicalName\":\"Beyoglu Eye Journal\",\"FirstCategoryId\":\"1085\",\"ListUrlMain\":\"https://doi.org/10.14744/bej.2023.39200\",\"RegionNum\":0,\"RegionCategory\":null,\"ArticlePicture\":[],\"TitleCN\":null,\"AbstractTextCN\":null,\"PMCID\":null,\"EPubDate\":\"2024/1/1 0:00:00\",\"PubModel\":\"eCollection\",\"JCR\":\"\",\"JCRName\":\"\",\"Score\":null,\"Total\":0}","platform":"Semanticscholar","paperid":null,"PeriodicalName":"Beyoglu Eye Journal","FirstCategoryId":"1085","ListUrlMain":"https://doi.org/10.14744/bej.2023.39200","RegionNum":0,"RegionCategory":null,"ArticlePicture":[],"TitleCN":null,"AbstractTextCN":null,"PMCID":null,"EPubDate":"2024/1/1 0:00:00","PubModel":"eCollection","JCR":"","JCRName":"","Score":null,"Total":0}
引用次数: 0

摘要

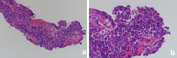
小细胞肺癌(SCLC)是一种神经内分泌肿瘤,极易发生早期播散性疾病和副肿瘤综合征。脉络膜是受转移性疾病影响最常见的葡萄膜组织,其次是虹膜和睫状体。在此,我们介绍一名患有双侧多发性虹膜转移的 46 岁男性患者。确诊时,患者已被诊断为 SCLC,并伴有颅骨和骨转移。
本文章由计算机程序翻译,如有差异,请以英文原文为准。

Bilateral Iris Metastasis in a Patient with Small Cell Lung Carcinoma: A Case Report.

Bilateral Iris Metastasis in a Patient with Small Cell Lung Carcinoma: A Case Report.

Bilateral Iris Metastasis in a Patient with Small Cell Lung Carcinoma: A Case Report.

Bilateral Iris Metastasis in a Patient with Small Cell Lung Carcinoma: A Case Report.

Small cell lung carcinoma (SCLC) is a neuroendocrine tumor with high probability of early disseminated disease and paraneoplastic syndromes. Choroid is the most common uveal tissue affected by metastatic disease followed by iris and ciliary body. Herein, we present a 46-year-old male with bilateral multiple iris metastasis. Once diagnosed, the patient already had diagnosis of SCLC with cranial and bone metastases.

求助全文
通过发布文献求助,成功后即可免费获取论文全文。 去求助
来源期刊
自引率
0.00%
发文量
42
审稿时长
16 weeks
×
引用
GB/T 7714-2015
复制
MLA
复制
APA
复制
导出至
BibTeX EndNote RefMan NoteFirst NoteExpress
×
提示
您的信息不完整,为了账户安全,请先补充。
现在去补充
×
提示
您因"违规操作"
具体请查看互助需知
我知道了
×
提示
确定
请完成安全验证×
copy
已复制链接
快去分享给好友吧!
我知道了
右上角分享
点击右上角分享
0
联系我们:info@booksci.cn Book学术提供免费学术资源搜索服务,方便国内外学者检索中英文文献。致力于提供最便捷和优质的服务体验。 Copyright © 2023 布克学术 All rights reserved.
京ICP备2023020795号-1
ghs 京公网安备 11010802042870号
Book学术文献互助
Book学术文献互助群
群 号:604180095
Book学术官方微信