面部梅克尔细胞癌:病例报告。

Q3 Medicine
JMIR dermatology Pub Date : 2024-04-08 DOI:10.2196/56658
Shaikha Salah Alhaj, Fatma Abdulghaffar Qaderi, Tarek Ibrahim, Maha Almohammad
{"title":"面部梅克尔细胞癌:病例报告。","authors":"Shaikha Salah Alhaj, Fatma Abdulghaffar Qaderi, Tarek Ibrahim, Maha Almohammad","doi":"10.2196/56658","DOIUrl":null,"url":null,"abstract":"<p><p>Merkel cell carcinoma (MCC) is a rare primary neuroendocrine skin tumor that presents as a flesh-colored or bluish-red nodule on the face, neck, or head. Long-term ultraviolet radiation exposure and Merkel cell polyomavirus are associated with MCC pathogenesis. We present a case of MCC on the right cheek in a male patient aged 87 years. Our primary goal in presenting the case is to bring MCC, which is a diagnostic challenge, to the notice of dermatologists and oncologists, as early detection and prompt treatment are important. The patient had a significant past medical history, including diabetes mellitus, hypertension, dyslipidemia, stage 3 chronic kidney disease, benign prostatic hyperplasia, chronic hyponatremia, acute pancreatitis, essential thrombocytosis on hydroxyurea, and ischemic heart disease. The patient presented with a mildly swollen right upper lip showing a poorly defined, relatively homogeneous subcutaneous lesion with a history of persistence for 1.5 months. The clinical examination revealed a 5 × 3-cm nodular lesion on the right side of the cheek with swelling of the right upper lip. Immunohistochemistry markers and histopathological features confirmed the diagnosis of MCC. The patient was referred to the oncology department for further management. MCC of the skin is an aggressive lesion with a high risk of metastasis and recurrence, which is more common in immunocompromised people. Prompt management and treatment of MCC is essential because if left untreated, it can spread to other parts of the body and can also metastasize to lymph nodes and other organs. The patient is 87 years old and has a significant past medical history of diabetes mellitus, hypertension, dyslipidemia, chronic kidney disease stage 3, benign prostatic hyperplasia, chronic hyponatremia, acute pancreatitis, essential thrombocytosis on hydroxyurea, and ischemic heart disease. Currently, the patient presented with a mildly swollen right upper lip showing a poorly defined, relatively homogenous subcutaneous lesion with a history of persistence for 1.5 months. The clinical examination revealed a 5x3 cm nodular lesion on the right side of the cheek with swelling of the right upper lip. Immunohistochemistry markers results and histopathological features confirmed the diagnosis of Merkel cell carcinoma. The patient was referred to the oncology department for further management. Merkel cell carcinoma of the skin is an aggressive lesion with a high risk of metastasis and recurrence, which is more common in immunocompromised people. Prompt management and treatment of Merkel cell carcinoma is essential because if left untreated, it can spread to other parts of the body and can also metastasize to lymph nodes and other organs.</p>","PeriodicalId":73553,"journal":{"name":"JMIR dermatology","volume":" ","pages":"e56658"},"PeriodicalIF":0.0000,"publicationDate":"2024-04-08","publicationTypes":"Journal Article","fieldsOfStudy":null,"isOpenAccess":false,"openAccessPdf":"https://www.ncbi.nlm.nih.gov/pmc/articles/PMC11036181/pdf/","citationCount":"0","resultStr":"{\"title\":\"Merkel Cell Carcinoma on the Face: Case Report.\",\"authors\":\"Shaikha Salah Alhaj, Fatma Abdulghaffar Qaderi, Tarek Ibrahim, Maha Almohammad\",\"doi\":\"10.2196/56658\",\"DOIUrl\":null,\"url\":null,\"abstract\":\"<p><p>Merkel cell carcinoma (MCC) is a rare primary neuroendocrine skin tumor that presents as a flesh-colored or bluish-red nodule on the face, neck, or head. Long-term ultraviolet radiation exposure and Merkel cell polyomavirus are associated with MCC pathogenesis. We present a case of MCC on the right cheek in a male patient aged 87 years. Our primary goal in presenting the case is to bring MCC, which is a diagnostic challenge, to the notice of dermatologists and oncologists, as early detection and prompt treatment are important. The patient had a significant past medical history, including diabetes mellitus, hypertension, dyslipidemia, stage 3 chronic kidney disease, benign prostatic hyperplasia, chronic hyponatremia, acute pancreatitis, essential thrombocytosis on hydroxyurea, and ischemic heart disease. The patient presented with a mildly swollen right upper lip showing a poorly defined, relatively homogeneous subcutaneous lesion with a history of persistence for 1.5 months. The clinical examination revealed a 5 × 3-cm nodular lesion on the right side of the cheek with swelling of the right upper lip. Immunohistochemistry markers and histopathological features confirmed the diagnosis of MCC. The patient was referred to the oncology department for further management. MCC of the skin is an aggressive lesion with a high risk of metastasis and recurrence, which is more common in immunocompromised people. Prompt management and treatment of MCC is essential because if left untreated, it can spread to other parts of the body and can also metastasize to lymph nodes and other organs. The patient is 87 years old and has a significant past medical history of diabetes mellitus, hypertension, dyslipidemia, chronic kidney disease stage 3, benign prostatic hyperplasia, chronic hyponatremia, acute pancreatitis, essential thrombocytosis on hydroxyurea, and ischemic heart disease. Currently, the patient presented with a mildly swollen right upper lip showing a poorly defined, relatively homogenous subcutaneous lesion with a history of persistence for 1.5 months. The clinical examination revealed a 5x3 cm nodular lesion on the right side of the cheek with swelling of the right upper lip. Immunohistochemistry markers results and histopathological features confirmed the diagnosis of Merkel cell carcinoma. The patient was referred to the oncology department for further management. Merkel cell carcinoma of the skin is an aggressive lesion with a high risk of metastasis and recurrence, which is more common in immunocompromised people. Prompt management and treatment of Merkel cell carcinoma is essential because if left untreated, it can spread to other parts of the body and can also metastasize to lymph nodes and other organs.</p>\",\"PeriodicalId\":73553,\"journal\":{\"name\":\"JMIR dermatology\",\"volume\":\" \",\"pages\":\"e56658\"},\"PeriodicalIF\":0.0000,\"publicationDate\":\"2024-04-08\",\"publicationTypes\":\"Journal Article\",\"fieldsOfStudy\":null,\"isOpenAccess\":false,\"openAccessPdf\":\"https://www.ncbi.nlm.nih.gov/pmc/articles/PMC11036181/pdf/\",\"citationCount\":\"0\",\"resultStr\":null,\"platform\":\"Semanticscholar\",\"paperid\":null,\"PeriodicalName\":\"JMIR dermatology\",\"FirstCategoryId\":\"1085\",\"ListUrlMain\":\"https://doi.org/10.2196/56658\",\"RegionNum\":0,\"RegionCategory\":null,\"ArticlePicture\":[],\"TitleCN\":null,\"AbstractTextCN\":null,\"PMCID\":null,\"EPubDate\":\"\",\"PubModel\":\"\",\"JCR\":\"Q3\",\"JCRName\":\"Medicine\",\"Score\":null,\"Total\":0}","platform":"Semanticscholar","paperid":null,"PeriodicalName":"JMIR dermatology","FirstCategoryId":"1085","ListUrlMain":"https://doi.org/10.2196/56658","RegionNum":0,"RegionCategory":null,"ArticlePicture":[],"TitleCN":null,"AbstractTextCN":null,"PMCID":null,"EPubDate":"","PubModel":"","JCR":"Q3","JCRName":"Medicine","Score":null,"Total":0}
引用次数: 0

摘要

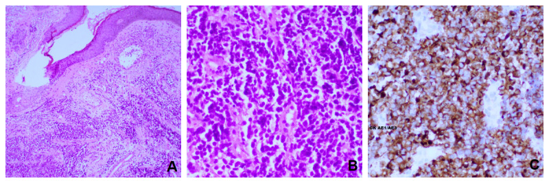
非结构化:背景:梅克尔细胞癌(MCC)是一种罕见的原发性神经内分泌皮肤肿瘤,表现为面部、颈部或头部的肉色或蓝红色结节。长期暴露于紫外线(UV)辐射和梅克尔细胞多瘤病毒(MCV)与梅克尔细胞癌的发病机制有关。我们为您介绍一例 87 岁男性患者的右脸颊梅克尔细胞癌病例。目的:本病例的主要目的是让皮肤科医生和肿瘤科医生注意到梅克尔细胞癌这一诊断难题,因为早期发现和及时治疗非常重要。病例报告:患者 87 岁,有糖尿病、高血压、血脂异常、慢性肾病 3 期、良性前列腺增生、慢性低钠血症、急性胰腺炎、服用羟基脲后出现血小板增多和缺血性心脏病等严重病史。目前,患者右上唇轻度肿胀,皮下病变界限不清,相对均匀,病史持续 1.5 个月。临床检查发现,患者右侧脸颊有一个 5x3 厘米的结节性病变,右上唇肿胀。免疫组化标记结果和组织病理学特征证实了梅克尔细胞癌的诊断。患者被转到肿瘤科接受进一步治疗。结论皮肤梅克尔细胞癌是一种侵袭性病变,转移和复发的风险很高,在免疫力低下的人群中更为常见。如果不及时治疗,梅克尔细胞癌可能会扩散到身体其他部位,也可能转移到淋巴结和其他器官,因此及时处理和治疗梅克尔细胞癌至关重要。
本文章由计算机程序翻译,如有差异,请以英文原文为准。

Merkel Cell Carcinoma on the Face: Case Report.

Merkel Cell Carcinoma on the Face: Case Report.

Merkel Cell Carcinoma on the Face: Case Report.

Merkel cell carcinoma (MCC) is a rare primary neuroendocrine skin tumor that presents as a flesh-colored or bluish-red nodule on the face, neck, or head. Long-term ultraviolet radiation exposure and Merkel cell polyomavirus are associated with MCC pathogenesis. We present a case of MCC on the right cheek in a male patient aged 87 years. Our primary goal in presenting the case is to bring MCC, which is a diagnostic challenge, to the notice of dermatologists and oncologists, as early detection and prompt treatment are important. The patient had a significant past medical history, including diabetes mellitus, hypertension, dyslipidemia, stage 3 chronic kidney disease, benign prostatic hyperplasia, chronic hyponatremia, acute pancreatitis, essential thrombocytosis on hydroxyurea, and ischemic heart disease. The patient presented with a mildly swollen right upper lip showing a poorly defined, relatively homogeneous subcutaneous lesion with a history of persistence for 1.5 months. The clinical examination revealed a 5 × 3-cm nodular lesion on the right side of the cheek with swelling of the right upper lip. Immunohistochemistry markers and histopathological features confirmed the diagnosis of MCC. The patient was referred to the oncology department for further management. MCC of the skin is an aggressive lesion with a high risk of metastasis and recurrence, which is more common in immunocompromised people. Prompt management and treatment of MCC is essential because if left untreated, it can spread to other parts of the body and can also metastasize to lymph nodes and other organs. The patient is 87 years old and has a significant past medical history of diabetes mellitus, hypertension, dyslipidemia, chronic kidney disease stage 3, benign prostatic hyperplasia, chronic hyponatremia, acute pancreatitis, essential thrombocytosis on hydroxyurea, and ischemic heart disease. Currently, the patient presented with a mildly swollen right upper lip showing a poorly defined, relatively homogenous subcutaneous lesion with a history of persistence for 1.5 months. The clinical examination revealed a 5x3 cm nodular lesion on the right side of the cheek with swelling of the right upper lip. Immunohistochemistry markers results and histopathological features confirmed the diagnosis of Merkel cell carcinoma. The patient was referred to the oncology department for further management. Merkel cell carcinoma of the skin is an aggressive lesion with a high risk of metastasis and recurrence, which is more common in immunocompromised people. Prompt management and treatment of Merkel cell carcinoma is essential because if left untreated, it can spread to other parts of the body and can also metastasize to lymph nodes and other organs.

求助全文
通过发布文献求助,成功后即可免费获取论文全文。 去求助
来源期刊
CiteScore
1.20
自引率
0.00%
发文量
0
审稿时长
18 weeks
×
引用
GB/T 7714-2015
复制
MLA
复制
APA
复制
导出至
BibTeX EndNote RefMan NoteFirst NoteExpress
×
提示
您的信息不完整,为了账户安全,请先补充。
现在去补充
×
提示
您因"违规操作"
具体请查看互助需知
我知道了
×
提示
确定
请完成安全验证×
copy
已复制链接
快去分享给好友吧!
我知道了
右上角分享
点击右上角分享
0
联系我们:info@booksci.cn Book学术提供免费学术资源搜索服务,方便国内外学者检索中英文文献。致力于提供最便捷和优质的服务体验。 Copyright © 2023 布克学术 All rights reserved.
京ICP备2023020795号-1
ghs 京公网安备 11010802042870号
Book学术文献互助
Book学术文献互助群
群 号:604180095
Book学术官方微信