利用微波消融术有效、安全地治疗不适合深度麻醉的合并肺部疾病患者的局部肝脏肿瘤。

IF 1.1 Q2 MEDICINE, GENERAL & INTERNAL
Murat Asik
{"title":"利用微波消融术有效、安全地治疗不适合深度麻醉的合并肺部疾病患者的局部肝脏肿瘤。","authors":"Murat Asik","doi":"10.4274/MMJ.galenos.2024.54358","DOIUrl":null,"url":null,"abstract":"<p><strong>Objective: </strong>To assess the safety and efficacy of percutaneous microwave ablation (MWA) in treating high-risk localized liver tumors in patients unable to undergo deep anesthesia because of comorbid lung diseases.</p><p><strong>Methods: </strong>Between January 2019 and January 2022, percutaneous MWA procedures were performed for 50 liver tumors. These lesions were situated in close proximity to anatomically essential structures, with a maximum distance to surrounding structures being 10 mm. Because of comorbid lung diseases, patients could not undergo deep anesthesia. Regular follow-ups were performed using blood tests and dynamic contrast-enhanced computed tomography or magnetic resonance imaging.</p><p><strong>Results: </strong>The patient cohort consisted of 30 (68%) men and 14 (32%) women, with a mean age of 64.36±11.65 years (range: 40-80 years). The lesions were challenging to access and were located in proximity to critical structures such as the diaphragm (32, 64%), gallbladder (8, 16%), major vessels (5, 10%), and heart (5, 10%). During the follow-up period, 10 patients (23%) had local tumor recurrence and 14 (32%) had new primary foci in a different location and metastasis [liver (10) and non-liver organs (4)]. No major complications developed, and 21 of 44 patients experienced minor complications, which were treated with local medications during follow-up.</p><p><strong>Conclusions: </strong>Percutaneous MWA results in very low mortality and morbidity, coupled with high complete ablation rates for liver cancer. Most liver tumors can be treated safely and effectively with percutaneous MWA, even in cases of high-risk localization, without the need for deep anesthesia.</p>","PeriodicalId":37427,"journal":{"name":"Medeniyet medical journal","volume":"39 1","pages":"8-15"},"PeriodicalIF":1.1000,"publicationDate":"2024-03-21","publicationTypes":"Journal Article","fieldsOfStudy":null,"isOpenAccess":false,"openAccessPdf":"https://www.ncbi.nlm.nih.gov/pmc/articles/PMC10961661/pdf/","citationCount":"0","resultStr":"{\"title\":\"Effective and Safe Treatment of Risky Localized Liver Tumors Using Microwave Ablation in Patients with Comorbid Lung Diseases Unfit for Deep Anesthesia.\",\"authors\":\"Murat Asik\",\"doi\":\"10.4274/MMJ.galenos.2024.54358\",\"DOIUrl\":null,\"url\":null,\"abstract\":\"<p><strong>Objective: </strong>To assess the safety and efficacy of percutaneous microwave ablation (MWA) in treating high-risk localized liver tumors in patients unable to undergo deep anesthesia because of comorbid lung diseases.</p><p><strong>Methods: </strong>Between January 2019 and January 2022, percutaneous MWA procedures were performed for 50 liver tumors. These lesions were situated in close proximity to anatomically essential structures, with a maximum distance to surrounding structures being 10 mm. Because of comorbid lung diseases, patients could not undergo deep anesthesia. Regular follow-ups were performed using blood tests and dynamic contrast-enhanced computed tomography or magnetic resonance imaging.</p><p><strong>Results: </strong>The patient cohort consisted of 30 (68%) men and 14 (32%) women, with a mean age of 64.36±11.65 years (range: 40-80 years). The lesions were challenging to access and were located in proximity to critical structures such as the diaphragm (32, 64%), gallbladder (8, 16%), major vessels (5, 10%), and heart (5, 10%). During the follow-up period, 10 patients (23%) had local tumor recurrence and 14 (32%) had new primary foci in a different location and metastasis [liver (10) and non-liver organs (4)]. No major complications developed, and 21 of 44 patients experienced minor complications, which were treated with local medications during follow-up.</p><p><strong>Conclusions: </strong>Percutaneous MWA results in very low mortality and morbidity, coupled with high complete ablation rates for liver cancer. Most liver tumors can be treated safely and effectively with percutaneous MWA, even in cases of high-risk localization, without the need for deep anesthesia.</p>\",\"PeriodicalId\":37427,\"journal\":{\"name\":\"Medeniyet medical journal\",\"volume\":\"39 1\",\"pages\":\"8-15\"},\"PeriodicalIF\":1.1000,\"publicationDate\":\"2024-03-21\",\"publicationTypes\":\"Journal Article\",\"fieldsOfStudy\":null,\"isOpenAccess\":false,\"openAccessPdf\":\"https://www.ncbi.nlm.nih.gov/pmc/articles/PMC10961661/pdf/\",\"citationCount\":\"0\",\"resultStr\":null,\"platform\":\"Semanticscholar\",\"paperid\":null,\"PeriodicalName\":\"Medeniyet medical journal\",\"FirstCategoryId\":\"1085\",\"ListUrlMain\":\"https://doi.org/10.4274/MMJ.galenos.2024.54358\",\"RegionNum\":0,\"RegionCategory\":null,\"ArticlePicture\":[],\"TitleCN\":null,\"AbstractTextCN\":null,\"PMCID\":null,\"EPubDate\":\"\",\"PubModel\":\"\",\"JCR\":\"Q2\",\"JCRName\":\"MEDICINE, GENERAL & INTERNAL\",\"Score\":null,\"Total\":0}","platform":"Semanticscholar","paperid":null,"PeriodicalName":"Medeniyet medical journal","FirstCategoryId":"1085","ListUrlMain":"https://doi.org/10.4274/MMJ.galenos.2024.54358","RegionNum":0,"RegionCategory":null,"ArticlePicture":[],"TitleCN":null,"AbstractTextCN":null,"PMCID":null,"EPubDate":"","PubModel":"","JCR":"Q2","JCRName":"MEDICINE, GENERAL & INTERNAL","Score":null,"Total":0}
引用次数: 0

摘要

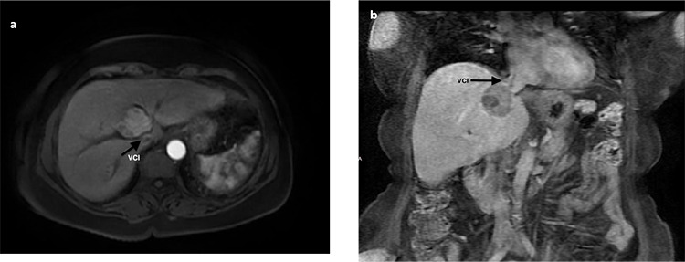
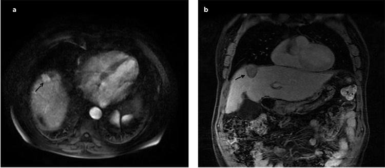
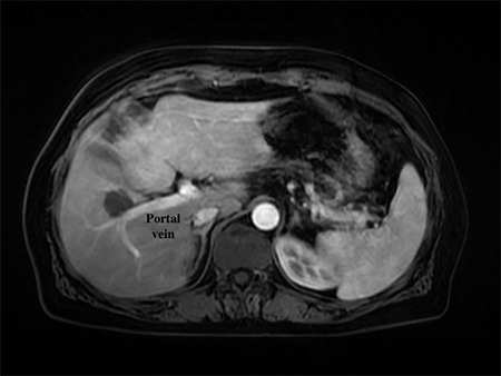
目的评估经皮微波消融术(MWA)治疗因合并肺部疾病而无法进行深度麻醉的高危局部肝脏肿瘤的安全性和有效性:2019年1月至2022年1月期间,对50例肝脏肿瘤进行了经皮MWA手术。这些病灶紧邻解剖学上的重要结构,与周围结构的最大距离为 10 毫米。由于合并肺部疾病,患者无法进行深度麻醉。通过血液化验、动态对比增强计算机断层扫描或磁共振成像进行定期随访:患者中有 30 名男性(68%)和 14 名女性(32%),平均年龄为(64.36±11.65)岁(40-80 岁)。病变位置靠近重要结构,如膈(32,64%)、胆囊(8,16%)、大血管(5,10%)和心脏(5,10%)。在随访期间,10 名患者(23%)出现局部肿瘤复发,14 名患者(32%)在不同部位出现新的原发灶和转移[肝脏(10)和非肝脏器官(4)]。44名患者中没有出现重大并发症,21名患者出现了轻微并发症,在随访期间通过局部用药治疗了这些并发症:结论:经皮 MWA 治疗肝癌的死亡率和发病率都很低,完全消融率也很高。大多数肝脏肿瘤都能通过经皮MWA得到安全有效的治疗,即使是高危定位病例,也无需深度麻醉。
本文章由计算机程序翻译,如有差异,请以英文原文为准。

Effective and Safe Treatment of Risky Localized Liver Tumors Using Microwave Ablation in Patients with Comorbid Lung Diseases Unfit for Deep Anesthesia.

Effective and Safe Treatment of Risky Localized Liver Tumors Using Microwave Ablation in Patients with Comorbid Lung Diseases Unfit for Deep Anesthesia.

Effective and Safe Treatment of Risky Localized Liver Tumors Using Microwave Ablation in Patients with Comorbid Lung Diseases Unfit for Deep Anesthesia.

Effective and Safe Treatment of Risky Localized Liver Tumors Using Microwave Ablation in Patients with Comorbid Lung Diseases Unfit for Deep Anesthesia.

Objective: To assess the safety and efficacy of percutaneous microwave ablation (MWA) in treating high-risk localized liver tumors in patients unable to undergo deep anesthesia because of comorbid lung diseases.

Methods: Between January 2019 and January 2022, percutaneous MWA procedures were performed for 50 liver tumors. These lesions were situated in close proximity to anatomically essential structures, with a maximum distance to surrounding structures being 10 mm. Because of comorbid lung diseases, patients could not undergo deep anesthesia. Regular follow-ups were performed using blood tests and dynamic contrast-enhanced computed tomography or magnetic resonance imaging.

Results: The patient cohort consisted of 30 (68%) men and 14 (32%) women, with a mean age of 64.36±11.65 years (range: 40-80 years). The lesions were challenging to access and were located in proximity to critical structures such as the diaphragm (32, 64%), gallbladder (8, 16%), major vessels (5, 10%), and heart (5, 10%). During the follow-up period, 10 patients (23%) had local tumor recurrence and 14 (32%) had new primary foci in a different location and metastasis [liver (10) and non-liver organs (4)]. No major complications developed, and 21 of 44 patients experienced minor complications, which were treated with local medications during follow-up.

Conclusions: Percutaneous MWA results in very low mortality and morbidity, coupled with high complete ablation rates for liver cancer. Most liver tumors can be treated safely and effectively with percutaneous MWA, even in cases of high-risk localization, without the need for deep anesthesia.

求助全文
通过发布文献求助,成功后即可免费获取论文全文。 去求助
来源期刊
Medeniyet medical journal
Medeniyet medical journal Medicine-Medicine (all)
CiteScore
1.70
自引率
0.00%
发文量
88
审稿时长
5 weeks
期刊介绍: The Medeniyet Medical Journal (Medeniyet Med J) is an open access, peer-reviewed, and scientific journal of Istanbul Medeniyet University Faculty of Medicine on various academic disciplines in medicine, which is published in English four times a year, in March, June, September, and December by a group of academics. Medeniyet Medical Journal is the continuation of Göztepe Medical Journal (ISSN: 1300-526X) which was started publishing in 1985. It changed the name as Medeniyet Medical Journal in 2015. Submission and publication are free of charge. No fees are asked from the authors for evaluation or publication process. All published articles are available online in the journal website (www.medeniyetmedicaljournal.org) without any fee. The journal publishes intradisciplinary or interdisciplinary clinical, experimental, and basic researches as well as original case reports, reviews, invited reviews, or letters to the editor, Being published since 1985, the Medeniyet Med J recognizes that the best science should lead to better lives based on the fact that the medicine should serve to the needs of society, and knowledge should transform society. The journal aims to address current issues at both national and international levels, start debates, and exert an influence on decision-makers all over the world by integrating science in everyday life. Medeniyet Med J is committed to serve the public and influence people’s lives in a positive way by making science widely accessible. Believing that the only goal is improving lives, and research has an impact on people’s lives, we select the best research papers in line with this goal.
×
引用
GB/T 7714-2015
复制
MLA
复制
APA
复制
导出至
BibTeX EndNote RefMan NoteFirst NoteExpress
×
提示
您的信息不完整,为了账户安全,请先补充。
现在去补充
×
提示
您因"违规操作"
具体请查看互助需知
我知道了
×
提示
确定
请完成安全验证×
copy
已复制链接
快去分享给好友吧!
我知道了
右上角分享
点击右上角分享
0
联系我们:info@booksci.cn Book学术提供免费学术资源搜索服务,方便国内外学者检索中英文文献。致力于提供最便捷和优质的服务体验。 Copyright © 2023 布克学术 All rights reserved.
京ICP备2023020795号-1
ghs 京公网安备 11010802042870号
Book学术文献互助
Book学术文献互助群
群 号:604180095
Book学术官方微信