具有结节外表现和异常 CD10 表达的套细胞淋巴瘤 Blastoid 变异。

IF 0.8 Q3 MEDICINE, GENERAL & INTERNAL
Arthy Raman, Sree Rekha Jinkala, Roobashri Murugan, Prabhu Manivannan
{"title":"具有结节外表现和异常 CD10 表达的套细胞淋巴瘤 Blastoid 变异。","authors":"Arthy Raman, Sree Rekha Jinkala, Roobashri Murugan, Prabhu Manivannan","doi":"10.4103/ijabmr.ijabmr_406_23","DOIUrl":null,"url":null,"abstract":"<p><p>Mantle cell lymphoma (MCL) constitutes 3%-10% of non-Hodgkin lymphoma and is characterized by <i>t</i> (11:14)(q13;q32). The common presentation is generalized lymphadenopathy with weight loss, infrequently night sweats, and fever. Among histological subtypes of MCL, the blastoid variant of MCL constitutes 10%-15% of all the cases. It is challenging to diagnose the blastoid variant of MCL based on its morphology alone as it mimics large B-cell lymphoma. Hence, the immunophenotyping and molecular studies aid in its correct diagnosis. We report an elderly man diagnosed with blastoid variant MCL. He presented with disseminated soft-tissue and subcutaneous nodules, and showed aberrant CD10 expression. Presentation of the extranodal site and aberrant CD10 expressions carries an overall poor prognosis. CD10-positive MCL can be mistaken for large B-cell lymphoma.</p>","PeriodicalId":13727,"journal":{"name":"International Journal of Applied and Basic Medical Research","volume":"14 1","pages":"63-66"},"PeriodicalIF":0.8000,"publicationDate":"2024-01-01","publicationTypes":"Journal Article","fieldsOfStudy":null,"isOpenAccess":false,"openAccessPdf":"https://www.ncbi.nlm.nih.gov/pmc/articles/PMC10947762/pdf/","citationCount":"0","resultStr":"{\"title\":\"Blastoid Variant of Mantle Cell Lymphoma with Extranodal Presentation and Aberrant CD10 Expression.\",\"authors\":\"Arthy Raman, Sree Rekha Jinkala, Roobashri Murugan, Prabhu Manivannan\",\"doi\":\"10.4103/ijabmr.ijabmr_406_23\",\"DOIUrl\":null,\"url\":null,\"abstract\":\"<p><p>Mantle cell lymphoma (MCL) constitutes 3%-10% of non-Hodgkin lymphoma and is characterized by <i>t</i> (11:14)(q13;q32). The common presentation is generalized lymphadenopathy with weight loss, infrequently night sweats, and fever. Among histological subtypes of MCL, the blastoid variant of MCL constitutes 10%-15% of all the cases. It is challenging to diagnose the blastoid variant of MCL based on its morphology alone as it mimics large B-cell lymphoma. Hence, the immunophenotyping and molecular studies aid in its correct diagnosis. We report an elderly man diagnosed with blastoid variant MCL. He presented with disseminated soft-tissue and subcutaneous nodules, and showed aberrant CD10 expression. Presentation of the extranodal site and aberrant CD10 expressions carries an overall poor prognosis. CD10-positive MCL can be mistaken for large B-cell lymphoma.</p>\",\"PeriodicalId\":13727,\"journal\":{\"name\":\"International Journal of Applied and Basic Medical Research\",\"volume\":\"14 1\",\"pages\":\"63-66\"},\"PeriodicalIF\":0.8000,\"publicationDate\":\"2024-01-01\",\"publicationTypes\":\"Journal Article\",\"fieldsOfStudy\":null,\"isOpenAccess\":false,\"openAccessPdf\":\"https://www.ncbi.nlm.nih.gov/pmc/articles/PMC10947762/pdf/\",\"citationCount\":\"0\",\"resultStr\":null,\"platform\":\"Semanticscholar\",\"paperid\":null,\"PeriodicalName\":\"International Journal of Applied and Basic Medical Research\",\"FirstCategoryId\":\"1085\",\"ListUrlMain\":\"https://doi.org/10.4103/ijabmr.ijabmr_406_23\",\"RegionNum\":0,\"RegionCategory\":null,\"ArticlePicture\":[],\"TitleCN\":null,\"AbstractTextCN\":null,\"PMCID\":null,\"EPubDate\":\"2024/2/20 0:00:00\",\"PubModel\":\"Epub\",\"JCR\":\"Q3\",\"JCRName\":\"MEDICINE, GENERAL & INTERNAL\",\"Score\":null,\"Total\":0}","platform":"Semanticscholar","paperid":null,"PeriodicalName":"International Journal of Applied and Basic Medical Research","FirstCategoryId":"1085","ListUrlMain":"https://doi.org/10.4103/ijabmr.ijabmr_406_23","RegionNum":0,"RegionCategory":null,"ArticlePicture":[],"TitleCN":null,"AbstractTextCN":null,"PMCID":null,"EPubDate":"2024/2/20 0:00:00","PubModel":"Epub","JCR":"Q3","JCRName":"MEDICINE, GENERAL & INTERNAL","Score":null,"Total":0}
引用次数: 0

摘要

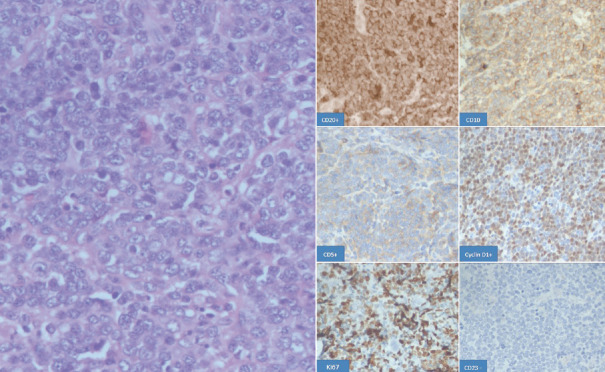
套细胞淋巴瘤(MCL)占非霍奇金淋巴瘤的 3%-10%,其特征为 t (11:14)(q13;q32)。常见表现为全身淋巴结肿大,伴有体重减轻、盗汗和发热。在 MCL 的组织学亚型中,鼓泡变异型 MCL 占所有病例的 10%-15%。由于囊泡型 MCL 与大 B 细胞淋巴瘤相似,因此仅根据其形态诊断囊泡型 MCL 具有挑战性。因此,免疫分型和分子研究有助于正确诊断。我们报告了一名被诊断为囊泡状变异型 MCL 的老年男性。他出现了播散性软组织和皮下结节,CD10表达异常。出现结节外部位和CD10异常表达意味着总体预后较差。CD10阳性的MCL可能被误诊为大B细胞淋巴瘤。
本文章由计算机程序翻译,如有差异,请以英文原文为准。

Blastoid Variant of Mantle Cell Lymphoma with Extranodal Presentation and Aberrant CD10 Expression.

Blastoid Variant of Mantle Cell Lymphoma with Extranodal Presentation and Aberrant CD10 Expression.

Blastoid Variant of Mantle Cell Lymphoma with Extranodal Presentation and Aberrant CD10 Expression.

Mantle cell lymphoma (MCL) constitutes 3%-10% of non-Hodgkin lymphoma and is characterized by t (11:14)(q13;q32). The common presentation is generalized lymphadenopathy with weight loss, infrequently night sweats, and fever. Among histological subtypes of MCL, the blastoid variant of MCL constitutes 10%-15% of all the cases. It is challenging to diagnose the blastoid variant of MCL based on its morphology alone as it mimics large B-cell lymphoma. Hence, the immunophenotyping and molecular studies aid in its correct diagnosis. We report an elderly man diagnosed with blastoid variant MCL. He presented with disseminated soft-tissue and subcutaneous nodules, and showed aberrant CD10 expression. Presentation of the extranodal site and aberrant CD10 expressions carries an overall poor prognosis. CD10-positive MCL can be mistaken for large B-cell lymphoma.

求助全文
通过发布文献求助,成功后即可免费获取论文全文。 去求助
来源期刊
自引率
0.00%
发文量
46
×
引用
GB/T 7714-2015
复制
MLA
复制
APA
复制
导出至
BibTeX EndNote RefMan NoteFirst NoteExpress
×
提示
您的信息不完整,为了账户安全,请先补充。
现在去补充
×
提示
您因"违规操作"
具体请查看互助需知
我知道了
×
提示
确定
请完成安全验证×
copy
已复制链接
快去分享给好友吧!
我知道了
右上角分享
点击右上角分享
0
联系我们:info@booksci.cn Book学术提供免费学术资源搜索服务,方便国内外学者检索中英文文献。致力于提供最便捷和优质的服务体验。 Copyright © 2023 布克学术 All rights reserved.
京ICP备2023020795号-1
ghs 京公网安备 11010802042870号
Book学术文献互助
Book学术文献互助群
群 号:604180095
Book学术官方微信