已知患有尿路上皮癌的患者在广泛性深静脉血栓中发现循环肿瘤细胞的病例。

IF 0.7 Q4 HEMATOLOGY
Case Reports in Hematology Pub Date : 2024-03-09 eCollection Date: 2024-01-01 DOI:10.1155/2024/6144020
Ekrem Yetiskul, Ali Kimyaghalam, Shahkar Khan, Yisroel Grabie, Taqi A Rizvi, Salman Khan
{"title":"已知患有尿路上皮癌的患者在广泛性深静脉血栓中发现循环肿瘤细胞的病例。","authors":"Ekrem Yetiskul, Ali Kimyaghalam, Shahkar Khan, Yisroel Grabie, Taqi A Rizvi, Salman Khan","doi":"10.1155/2024/6144020","DOIUrl":null,"url":null,"abstract":"<p><strong>Background: </strong>Currently, minimal data are available to explore the composition of venous thromboembolism in patients with cancer. This case report discusses a presentation of venous thromboembolism in a patient with high-grade urothelial carcinoma and highlights the pathology findings in thrombi. <i>Case Presentation</i>. A 55-year-old female who was diagnosed with high-grade urothelial carcinoma with multiple metastases developed an extensive deep vein thrombosis in her left lower extremity. Endovascular revascularization was indicated due to left lower extremity pain and swelling not responsive to anticoagulation. A mechanical thrombectomy was performed, and samples were sent for pathology. Pathologic examination discovered minute fragments of metastatic carcinoma, admixed with laminated blood clots (thrombus). The morphology of metastatic carcinoma and the immunostain profile were compatible with metastatic carcinoma of bladder origin.</p><p><strong>Conclusion: </strong>Cancer is a well-known risk factor for developing VTEs, and it is estimated that approximately 4-20% of cancer patients will experience VTE at some stage, the rate being the highest in the initial period following diagnosis. Annually, 0.5% of cancer patients will experience thrombosis compared with a 0.1% incidence rate in the general population (Elyamany et al., 2014). Despite knowing the increased incidence of VTEs in cancer patients, there are few studies to date that analyze the composition of thrombi in patients with cancer.</p>","PeriodicalId":46307,"journal":{"name":"Case Reports in Hematology","volume":"2024 ","pages":"6144020"},"PeriodicalIF":0.7000,"publicationDate":"2024-03-09","publicationTypes":"Journal Article","fieldsOfStudy":null,"isOpenAccess":false,"openAccessPdf":"https://www.ncbi.nlm.nih.gov/pmc/articles/PMC10944343/pdf/","citationCount":"0","resultStr":"{\"title\":\"Case of Circulating Tumor Cells Discovered in Extensive Deep Venous Thrombosis in a Patient with Known Urothelial Carcinoma.\",\"authors\":\"Ekrem Yetiskul, Ali Kimyaghalam, Shahkar Khan, Yisroel Grabie, Taqi A Rizvi, Salman Khan\",\"doi\":\"10.1155/2024/6144020\",\"DOIUrl\":null,\"url\":null,\"abstract\":\"<p><strong>Background: </strong>Currently, minimal data are available to explore the composition of venous thromboembolism in patients with cancer. This case report discusses a presentation of venous thromboembolism in a patient with high-grade urothelial carcinoma and highlights the pathology findings in thrombi. <i>Case Presentation</i>. A 55-year-old female who was diagnosed with high-grade urothelial carcinoma with multiple metastases developed an extensive deep vein thrombosis in her left lower extremity. Endovascular revascularization was indicated due to left lower extremity pain and swelling not responsive to anticoagulation. A mechanical thrombectomy was performed, and samples were sent for pathology. Pathologic examination discovered minute fragments of metastatic carcinoma, admixed with laminated blood clots (thrombus). The morphology of metastatic carcinoma and the immunostain profile were compatible with metastatic carcinoma of bladder origin.</p><p><strong>Conclusion: </strong>Cancer is a well-known risk factor for developing VTEs, and it is estimated that approximately 4-20% of cancer patients will experience VTE at some stage, the rate being the highest in the initial period following diagnosis. Annually, 0.5% of cancer patients will experience thrombosis compared with a 0.1% incidence rate in the general population (Elyamany et al., 2014). Despite knowing the increased incidence of VTEs in cancer patients, there are few studies to date that analyze the composition of thrombi in patients with cancer.</p>\",\"PeriodicalId\":46307,\"journal\":{\"name\":\"Case Reports in Hematology\",\"volume\":\"2024 \",\"pages\":\"6144020\"},\"PeriodicalIF\":0.7000,\"publicationDate\":\"2024-03-09\",\"publicationTypes\":\"Journal Article\",\"fieldsOfStudy\":null,\"isOpenAccess\":false,\"openAccessPdf\":\"https://www.ncbi.nlm.nih.gov/pmc/articles/PMC10944343/pdf/\",\"citationCount\":\"0\",\"resultStr\":null,\"platform\":\"Semanticscholar\",\"paperid\":null,\"PeriodicalName\":\"Case Reports in Hematology\",\"FirstCategoryId\":\"1085\",\"ListUrlMain\":\"https://doi.org/10.1155/2024/6144020\",\"RegionNum\":0,\"RegionCategory\":null,\"ArticlePicture\":[],\"TitleCN\":null,\"AbstractTextCN\":null,\"PMCID\":null,\"EPubDate\":\"2024/1/1 0:00:00\",\"PubModel\":\"eCollection\",\"JCR\":\"Q4\",\"JCRName\":\"HEMATOLOGY\",\"Score\":null,\"Total\":0}","platform":"Semanticscholar","paperid":null,"PeriodicalName":"Case Reports in Hematology","FirstCategoryId":"1085","ListUrlMain":"https://doi.org/10.1155/2024/6144020","RegionNum":0,"RegionCategory":null,"ArticlePicture":[],"TitleCN":null,"AbstractTextCN":null,"PMCID":null,"EPubDate":"2024/1/1 0:00:00","PubModel":"eCollection","JCR":"Q4","JCRName":"HEMATOLOGY","Score":null,"Total":0}
引用次数: 0

摘要

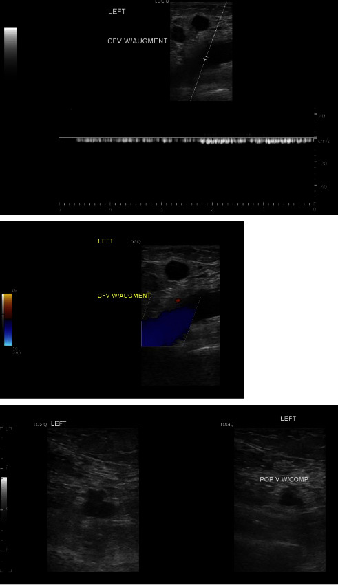
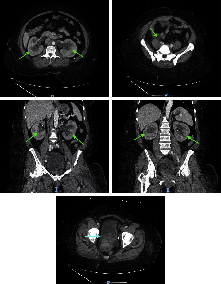
背景:目前,用于探讨癌症患者静脉血栓栓塞症构成的数据极少。本病例报告讨论了一名高级别尿路上皮癌患者的静脉血栓栓塞症状,并重点介绍了血栓的病理学发现。病例介绍。一名 55 岁的女性患者被诊断为高级别尿路上皮癌并有多处转移,左下肢出现广泛的深静脉血栓。由于左下肢疼痛和肿胀,抗凝治疗无效,因此需要进行血管内再通术。医生为她进行了机械性血栓切除术,并将样本送去进行病理检查。病理检查发现了微小的转移癌碎片,并混有层状血块(血栓)。转移癌的形态和免疫染色谱与膀胱转移癌相符:据估计,约有 4-20% 的癌症患者会在某个阶段出现 VTE,确诊后初期的 VTE 发生率最高。每年有 0.5% 的癌症患者会出现血栓,而普通人群的发病率为 0.1%(Elyamany 等人,2014 年)。尽管知道癌症患者的 VTE 发生率增加,但迄今为止分析癌症患者血栓组成的研究却很少。
本文章由计算机程序翻译,如有差异,请以英文原文为准。

Case of Circulating Tumor Cells Discovered in Extensive Deep Venous Thrombosis in a Patient with Known Urothelial Carcinoma.

Case of Circulating Tumor Cells Discovered in Extensive Deep Venous Thrombosis in a Patient with Known Urothelial Carcinoma.

Case of Circulating Tumor Cells Discovered in Extensive Deep Venous Thrombosis in a Patient with Known Urothelial Carcinoma.

Case of Circulating Tumor Cells Discovered in Extensive Deep Venous Thrombosis in a Patient with Known Urothelial Carcinoma.

Background: Currently, minimal data are available to explore the composition of venous thromboembolism in patients with cancer. This case report discusses a presentation of venous thromboembolism in a patient with high-grade urothelial carcinoma and highlights the pathology findings in thrombi. Case Presentation. A 55-year-old female who was diagnosed with high-grade urothelial carcinoma with multiple metastases developed an extensive deep vein thrombosis in her left lower extremity. Endovascular revascularization was indicated due to left lower extremity pain and swelling not responsive to anticoagulation. A mechanical thrombectomy was performed, and samples were sent for pathology. Pathologic examination discovered minute fragments of metastatic carcinoma, admixed with laminated blood clots (thrombus). The morphology of metastatic carcinoma and the immunostain profile were compatible with metastatic carcinoma of bladder origin.

Conclusion: Cancer is a well-known risk factor for developing VTEs, and it is estimated that approximately 4-20% of cancer patients will experience VTE at some stage, the rate being the highest in the initial period following diagnosis. Annually, 0.5% of cancer patients will experience thrombosis compared with a 0.1% incidence rate in the general population (Elyamany et al., 2014). Despite knowing the increased incidence of VTEs in cancer patients, there are few studies to date that analyze the composition of thrombi in patients with cancer.

求助全文
通过发布文献求助,成功后即可免费获取论文全文。 去求助
来源期刊
自引率
0.00%
发文量
51
审稿时长
13 weeks
×
引用
GB/T 7714-2015
复制
MLA
复制
APA
复制
导出至
BibTeX EndNote RefMan NoteFirst NoteExpress
×
提示
您的信息不完整,为了账户安全,请先补充。
现在去补充
×
提示
您因"违规操作"
具体请查看互助需知
我知道了
×
提示
确定
请完成安全验证×
copy
已复制链接
快去分享给好友吧!
我知道了
右上角分享
点击右上角分享
0
联系我们:info@booksci.cn Book学术提供免费学术资源搜索服务,方便国内外学者检索中英文文献。致力于提供最便捷和优质的服务体验。 Copyright © 2023 布克学术 All rights reserved.
京ICP备2023020795号-1
ghs 京公网安备 11010802042870号
Book学术文献互助
Book学术文献互助群
群 号:604180095
Book学术官方微信