原发性乳腺骨髓肉瘤伴骨肉瘤分化。

Q4 Medicine
Autopsy and Case Reports Pub Date : 2024-02-26 eCollection Date: 2024-01-01 DOI:10.4322/acr.2024.476
Ekta Sethi, Sunayana Misra, Arvind Ahuja
{"title":"原发性乳腺骨髓肉瘤伴骨肉瘤分化。","authors":"Ekta Sethi, Sunayana Misra, Arvind Ahuja","doi":"10.4322/acr.2024.476","DOIUrl":null,"url":null,"abstract":"<p><p>Primary leiomyosarcoma with osteosarcomatous differentiation of the breast is an uncommon entity. We present the case of a 37-year-old female who presented with a lump in the breast and pulmonary lesions on PET-CT, for which she underwent a toilet mastectomy. Histopathological examination revealed a tumor with cells arranged in sheets. These tumor cells had moderate eosinophilic cytoplasm, highly pleomorphic, irregular hyperchromatic nuclei, coarse chromatin, and prominent nucleoli. Areas with spindle-cell morphology were noted. Osteoid was seen intermingling with the tumor along with numerous osteoclast-like multinucleate giant cells. A wide panel of Immunohistochemistry was applied, and Desmin, h-Caldesmon, SMA, and Vimentin were positive. The patient died 3 months post-surgery and had a recurrence at the surgical site.</p>","PeriodicalId":53117,"journal":{"name":"Autopsy and Case Reports","volume":"14 ","pages":"e2024476"},"PeriodicalIF":0.0000,"publicationDate":"2024-02-26","publicationTypes":"Journal Article","fieldsOfStudy":null,"isOpenAccess":false,"openAccessPdf":"https://www.ncbi.nlm.nih.gov/pmc/articles/PMC10939181/pdf/","citationCount":"0","resultStr":"{\"title\":\"Primary leiomyosarcoma with osteosarcomatous differentiation of the breast.\",\"authors\":\"Ekta Sethi, Sunayana Misra, Arvind Ahuja\",\"doi\":\"10.4322/acr.2024.476\",\"DOIUrl\":null,\"url\":null,\"abstract\":\"<p><p>Primary leiomyosarcoma with osteosarcomatous differentiation of the breast is an uncommon entity. We present the case of a 37-year-old female who presented with a lump in the breast and pulmonary lesions on PET-CT, for which she underwent a toilet mastectomy. Histopathological examination revealed a tumor with cells arranged in sheets. These tumor cells had moderate eosinophilic cytoplasm, highly pleomorphic, irregular hyperchromatic nuclei, coarse chromatin, and prominent nucleoli. Areas with spindle-cell morphology were noted. Osteoid was seen intermingling with the tumor along with numerous osteoclast-like multinucleate giant cells. A wide panel of Immunohistochemistry was applied, and Desmin, h-Caldesmon, SMA, and Vimentin were positive. The patient died 3 months post-surgery and had a recurrence at the surgical site.</p>\",\"PeriodicalId\":53117,\"journal\":{\"name\":\"Autopsy and Case Reports\",\"volume\":\"14 \",\"pages\":\"e2024476\"},\"PeriodicalIF\":0.0000,\"publicationDate\":\"2024-02-26\",\"publicationTypes\":\"Journal Article\",\"fieldsOfStudy\":null,\"isOpenAccess\":false,\"openAccessPdf\":\"https://www.ncbi.nlm.nih.gov/pmc/articles/PMC10939181/pdf/\",\"citationCount\":\"0\",\"resultStr\":null,\"platform\":\"Semanticscholar\",\"paperid\":null,\"PeriodicalName\":\"Autopsy and Case Reports\",\"FirstCategoryId\":\"1085\",\"ListUrlMain\":\"https://doi.org/10.4322/acr.2024.476\",\"RegionNum\":0,\"RegionCategory\":null,\"ArticlePicture\":[],\"TitleCN\":null,\"AbstractTextCN\":null,\"PMCID\":null,\"EPubDate\":\"2024/1/1 0:00:00\",\"PubModel\":\"eCollection\",\"JCR\":\"Q4\",\"JCRName\":\"Medicine\",\"Score\":null,\"Total\":0}","platform":"Semanticscholar","paperid":null,"PeriodicalName":"Autopsy and Case Reports","FirstCategoryId":"1085","ListUrlMain":"https://doi.org/10.4322/acr.2024.476","RegionNum":0,"RegionCategory":null,"ArticlePicture":[],"TitleCN":null,"AbstractTextCN":null,"PMCID":null,"EPubDate":"2024/1/1 0:00:00","PubModel":"eCollection","JCR":"Q4","JCRName":"Medicine","Score":null,"Total":0}
引用次数: 0

摘要

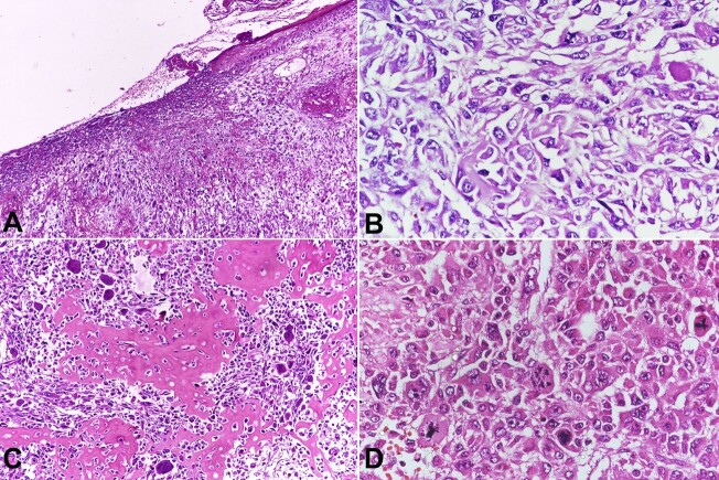
乳腺原发性骨肉瘤是一种不常见的疾病。我们介绍了一例 37 岁女性的病例,她因乳房肿块和 PET-CT 发现肺部病变而接受了乳房切除术。组织病理学检查发现肿瘤细胞呈片状排列。这些肿瘤细胞具有中等程度的嗜酸性胞质、高度多形性、不规则的高色素核、粗染色质和突出的核小体。有纺锤形细胞形态的区域。肿瘤中夹杂着类骨质和大量破骨细胞样多核巨细胞。免疫组化检查结果显示,Desmin、h-Caldesmon、SMA 和 Vimentin 均呈阳性。患者术后 3 个月死亡,手术部位复发。
本文章由计算机程序翻译,如有差异,请以英文原文为准。

Primary leiomyosarcoma with osteosarcomatous differentiation of the breast.

Primary leiomyosarcoma with osteosarcomatous differentiation of the breast.

Primary leiomyosarcoma with osteosarcomatous differentiation of the breast.

Primary leiomyosarcoma with osteosarcomatous differentiation of the breast.

Primary leiomyosarcoma with osteosarcomatous differentiation of the breast is an uncommon entity. We present the case of a 37-year-old female who presented with a lump in the breast and pulmonary lesions on PET-CT, for which she underwent a toilet mastectomy. Histopathological examination revealed a tumor with cells arranged in sheets. These tumor cells had moderate eosinophilic cytoplasm, highly pleomorphic, irregular hyperchromatic nuclei, coarse chromatin, and prominent nucleoli. Areas with spindle-cell morphology were noted. Osteoid was seen intermingling with the tumor along with numerous osteoclast-like multinucleate giant cells. A wide panel of Immunohistochemistry was applied, and Desmin, h-Caldesmon, SMA, and Vimentin were positive. The patient died 3 months post-surgery and had a recurrence at the surgical site.

求助全文
通过发布文献求助,成功后即可免费获取论文全文。 去求助
来源期刊
Autopsy and Case Reports
Autopsy and Case Reports Medicine-Internal Medicine
CiteScore
1.20
自引率
0.00%
发文量
60
审稿时长
9 weeks
×
引用
GB/T 7714-2015
复制
MLA
复制
APA
复制
导出至
BibTeX EndNote RefMan NoteFirst NoteExpress
×
提示
您的信息不完整,为了账户安全,请先补充。
现在去补充
×
提示
您因"违规操作"
具体请查看互助需知
我知道了
×
提示
确定
请完成安全验证×
copy
已复制链接
快去分享给好友吧!
我知道了
右上角分享
点击右上角分享
0
联系我们:info@booksci.cn Book学术提供免费学术资源搜索服务,方便国内外学者检索中英文文献。致力于提供最便捷和优质的服务体验。 Copyright © 2023 布克学术 All rights reserved.
京ICP备2023020795号-1
ghs 京公网安备 11010802042870号
Book学术文献互助
Book学术文献互助群
群 号:604180095
Book学术官方微信