探索不寻常:分泌睾酮的卵巢肿瘤。

Q4 Medicine
Autopsy and Case Reports Pub Date : 2024-02-26 eCollection Date: 2024-01-01 DOI:10.4322/acr.2024.478
Harpreet Kaur, Neha Singh, Sushma Bharti, Gurwinder Kaur
{"title":"探索不寻常:分泌睾酮的卵巢肿瘤。","authors":"Harpreet Kaur, Neha Singh, Sushma Bharti, Gurwinder Kaur","doi":"10.4322/acr.2024.478","DOIUrl":null,"url":null,"abstract":"<p><p>Ovarian steroid cell tumors are rare, representing less than 0.1% of all ovarian neoplasms. Among the myriad causes of hirsutism, ovarian tumors account for 1% of the reported cases. We present the case of a 49-year-old parous postmenopausal woman who sought medical attention for hirsutism for 2 years. This case illustrates the unusual and interesting connection between rare ovarian pathology and the clinical manifestation of hirsutism in a postmenopausal patient. Her ultrasonography and MRI showed a right adnexal mass of solid-cystic consistency with thin septations. Her laboratory workup revealed high levels of total testosterone of 256 ng/ml (8.4-48.1ng/ml) and free testosterone of 7.36 pg/ml (0.2-4.1 pg/ml), while DHEAS - 234 µg/dl (35.4-256 µg/dl) and CA125 - 15.8U/L (0.0-35 U/L) were in the normal range. She underwent exploratory laparotomy with a total abdominal hysterectomy and oophorectomy. Histopathological examination and immunohistochemistry conclusively established the presence of a steroid cell tumor, specifically classified as \"Not Otherwise Specified\"(NOS), in the right ovary.</p>","PeriodicalId":53117,"journal":{"name":"Autopsy and Case Reports","volume":"14 ","pages":"e2024478"},"PeriodicalIF":0.0000,"publicationDate":"2024-02-26","publicationTypes":"Journal Article","fieldsOfStudy":null,"isOpenAccess":false,"openAccessPdf":"https://www.ncbi.nlm.nih.gov/pmc/articles/PMC10939184/pdf/","citationCount":"0","resultStr":"{\"title\":\"Exploring the unusual: a testosterone-secreting ovarian tumor.\",\"authors\":\"Harpreet Kaur, Neha Singh, Sushma Bharti, Gurwinder Kaur\",\"doi\":\"10.4322/acr.2024.478\",\"DOIUrl\":null,\"url\":null,\"abstract\":\"<p><p>Ovarian steroid cell tumors are rare, representing less than 0.1% of all ovarian neoplasms. Among the myriad causes of hirsutism, ovarian tumors account for 1% of the reported cases. We present the case of a 49-year-old parous postmenopausal woman who sought medical attention for hirsutism for 2 years. This case illustrates the unusual and interesting connection between rare ovarian pathology and the clinical manifestation of hirsutism in a postmenopausal patient. Her ultrasonography and MRI showed a right adnexal mass of solid-cystic consistency with thin septations. Her laboratory workup revealed high levels of total testosterone of 256 ng/ml (8.4-48.1ng/ml) and free testosterone of 7.36 pg/ml (0.2-4.1 pg/ml), while DHEAS - 234 µg/dl (35.4-256 µg/dl) and CA125 - 15.8U/L (0.0-35 U/L) were in the normal range. She underwent exploratory laparotomy with a total abdominal hysterectomy and oophorectomy. Histopathological examination and immunohistochemistry conclusively established the presence of a steroid cell tumor, specifically classified as \\\"Not Otherwise Specified\\\"(NOS), in the right ovary.</p>\",\"PeriodicalId\":53117,\"journal\":{\"name\":\"Autopsy and Case Reports\",\"volume\":\"14 \",\"pages\":\"e2024478\"},\"PeriodicalIF\":0.0000,\"publicationDate\":\"2024-02-26\",\"publicationTypes\":\"Journal Article\",\"fieldsOfStudy\":null,\"isOpenAccess\":false,\"openAccessPdf\":\"https://www.ncbi.nlm.nih.gov/pmc/articles/PMC10939184/pdf/\",\"citationCount\":\"0\",\"resultStr\":null,\"platform\":\"Semanticscholar\",\"paperid\":null,\"PeriodicalName\":\"Autopsy and Case Reports\",\"FirstCategoryId\":\"1085\",\"ListUrlMain\":\"https://doi.org/10.4322/acr.2024.478\",\"RegionNum\":0,\"RegionCategory\":null,\"ArticlePicture\":[],\"TitleCN\":null,\"AbstractTextCN\":null,\"PMCID\":null,\"EPubDate\":\"2024/1/1 0:00:00\",\"PubModel\":\"eCollection\",\"JCR\":\"Q4\",\"JCRName\":\"Medicine\",\"Score\":null,\"Total\":0}","platform":"Semanticscholar","paperid":null,"PeriodicalName":"Autopsy and Case Reports","FirstCategoryId":"1085","ListUrlMain":"https://doi.org/10.4322/acr.2024.478","RegionNum":0,"RegionCategory":null,"ArticlePicture":[],"TitleCN":null,"AbstractTextCN":null,"PMCID":null,"EPubDate":"2024/1/1 0:00:00","PubModel":"eCollection","JCR":"Q4","JCRName":"Medicine","Score":null,"Total":0}
引用次数: 0

摘要

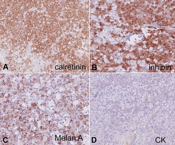
卵巢类固醇细胞肿瘤非常罕见,在所有卵巢肿瘤中占比不到 0.1%。在导致多毛症的众多原因中,卵巢肿瘤占报告病例的 1%。本病例是一名 49 岁的绝经后多毛妇女,因多毛症就医 2 年。该病例说明了绝经后患者罕见的卵巢病变与多毛症临床表现之间不同寻常的有趣联系。她的超声波检查和核磁共振成像显示,她的右侧附件肿块为实性囊性,有薄隔膜。实验室检查显示,她的总睾酮水平高达 256 ng/ml(8.4-48.1ng/ml),游离睾酮水平为 7.36 pg/ml(0.2-4.1 pg/ml),而 DHEAS - 234 µg/dl(35.4-256 µg/dl)和 CA125 - 15.8U/L (0.0-35 U/L)均在正常范围内。她接受了剖腹探查术,全腹子宫切除术和输卵管切除术。组织病理学检查和免疫组化最终确定右侧卵巢存在类固醇细胞瘤,具体分类为 "未另作说明"(NOS)。
本文章由计算机程序翻译,如有差异,请以英文原文为准。

Exploring the unusual: a testosterone-secreting ovarian tumor.

Exploring the unusual: a testosterone-secreting ovarian tumor.

Exploring the unusual: a testosterone-secreting ovarian tumor.

Ovarian steroid cell tumors are rare, representing less than 0.1% of all ovarian neoplasms. Among the myriad causes of hirsutism, ovarian tumors account for 1% of the reported cases. We present the case of a 49-year-old parous postmenopausal woman who sought medical attention for hirsutism for 2 years. This case illustrates the unusual and interesting connection between rare ovarian pathology and the clinical manifestation of hirsutism in a postmenopausal patient. Her ultrasonography and MRI showed a right adnexal mass of solid-cystic consistency with thin septations. Her laboratory workup revealed high levels of total testosterone of 256 ng/ml (8.4-48.1ng/ml) and free testosterone of 7.36 pg/ml (0.2-4.1 pg/ml), while DHEAS - 234 µg/dl (35.4-256 µg/dl) and CA125 - 15.8U/L (0.0-35 U/L) were in the normal range. She underwent exploratory laparotomy with a total abdominal hysterectomy and oophorectomy. Histopathological examination and immunohistochemistry conclusively established the presence of a steroid cell tumor, specifically classified as "Not Otherwise Specified"(NOS), in the right ovary.

求助全文
通过发布文献求助,成功后即可免费获取论文全文。 去求助
来源期刊
Autopsy and Case Reports
Autopsy and Case Reports Medicine-Internal Medicine
CiteScore
1.20
自引率
0.00%
发文量
60
审稿时长
9 weeks
×
引用
GB/T 7714-2015
复制
MLA
复制
APA
复制
导出至
BibTeX EndNote RefMan NoteFirst NoteExpress
×
提示
您的信息不完整,为了账户安全,请先补充。
现在去补充
×
提示
您因"违规操作"
具体请查看互助需知
我知道了
×
提示
确定
请完成安全验证×
copy
已复制链接
快去分享给好友吧!
我知道了
右上角分享
点击右上角分享
0
联系我们:info@booksci.cn Book学术提供免费学术资源搜索服务,方便国内外学者检索中英文文献。致力于提供最便捷和优质的服务体验。 Copyright © 2023 布克学术 All rights reserved.
京ICP备2023020795号-1
ghs 京公网安备 11010802042870号
Book学术文献互助
Book学术文献互助群
群 号:604180095
Book学术官方微信