高血压患者升主动脉和弓部梅毒性囊状动脉瘤的急性夹层--罕见现象。

Q4 Medicine
Autopsy and Case Reports Pub Date : 2024-02-26 eCollection Date: 2024-01-01 DOI:10.4322/acr.2024.475
Hubert Daisley, Dennecia George, Johann Daisley
{"title":"高血压患者升主动脉和弓部梅毒性囊状动脉瘤的急性夹层--罕见现象。","authors":"Hubert Daisley, Dennecia George, Johann Daisley","doi":"10.4322/acr.2024.475","DOIUrl":null,"url":null,"abstract":"<p><p>We report the case of a 77-year-old male who suffered from hypertension and died suddenly. At autopsy, he was found to have hypertensive cardiomegaly and a dissecting syphilitic saccular aneurysm of the ascending aorta and arch with tamponade. Chronic aortic regurgitation, which is often seen in syphilitic aortitis, produces an additive effect to the concentric left ventricular hypertrophy seen in hypertension.</p>","PeriodicalId":53117,"journal":{"name":"Autopsy and Case Reports","volume":"14 ","pages":"e2024475"},"PeriodicalIF":0.0000,"publicationDate":"2024-02-26","publicationTypes":"Journal Article","fieldsOfStudy":null,"isOpenAccess":false,"openAccessPdf":"https://www.ncbi.nlm.nih.gov/pmc/articles/PMC10939182/pdf/","citationCount":"0","resultStr":"{\"title\":\"Acute dissection of a syphilitic saccular aneurysm of the ascending aorta and arch in a hypertensive patient - a rare phenomenon.\",\"authors\":\"Hubert Daisley, Dennecia George, Johann Daisley\",\"doi\":\"10.4322/acr.2024.475\",\"DOIUrl\":null,\"url\":null,\"abstract\":\"<p><p>We report the case of a 77-year-old male who suffered from hypertension and died suddenly. At autopsy, he was found to have hypertensive cardiomegaly and a dissecting syphilitic saccular aneurysm of the ascending aorta and arch with tamponade. Chronic aortic regurgitation, which is often seen in syphilitic aortitis, produces an additive effect to the concentric left ventricular hypertrophy seen in hypertension.</p>\",\"PeriodicalId\":53117,\"journal\":{\"name\":\"Autopsy and Case Reports\",\"volume\":\"14 \",\"pages\":\"e2024475\"},\"PeriodicalIF\":0.0000,\"publicationDate\":\"2024-02-26\",\"publicationTypes\":\"Journal Article\",\"fieldsOfStudy\":null,\"isOpenAccess\":false,\"openAccessPdf\":\"https://www.ncbi.nlm.nih.gov/pmc/articles/PMC10939182/pdf/\",\"citationCount\":\"0\",\"resultStr\":null,\"platform\":\"Semanticscholar\",\"paperid\":null,\"PeriodicalName\":\"Autopsy and Case Reports\",\"FirstCategoryId\":\"1085\",\"ListUrlMain\":\"https://doi.org/10.4322/acr.2024.475\",\"RegionNum\":0,\"RegionCategory\":null,\"ArticlePicture\":[],\"TitleCN\":null,\"AbstractTextCN\":null,\"PMCID\":null,\"EPubDate\":\"2024/1/1 0:00:00\",\"PubModel\":\"eCollection\",\"JCR\":\"Q4\",\"JCRName\":\"Medicine\",\"Score\":null,\"Total\":0}","platform":"Semanticscholar","paperid":null,"PeriodicalName":"Autopsy and Case Reports","FirstCategoryId":"1085","ListUrlMain":"https://doi.org/10.4322/acr.2024.475","RegionNum":0,"RegionCategory":null,"ArticlePicture":[],"TitleCN":null,"AbstractTextCN":null,"PMCID":null,"EPubDate":"2024/1/1 0:00:00","PubModel":"eCollection","JCR":"Q4","JCRName":"Medicine","Score":null,"Total":0}
引用次数: 0

摘要

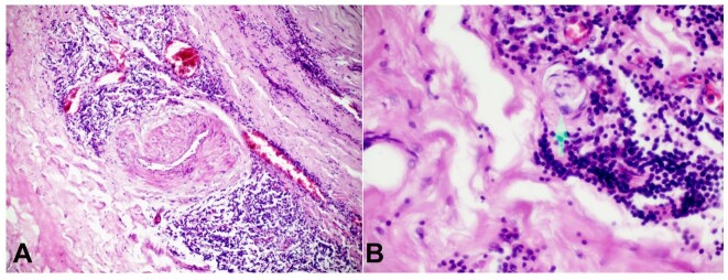
我们报告了一例患有高血压并突然死亡的 77 岁男性病例。尸检时发现他患有高血压性心脏肥大,升主动脉和弓部有一个伴有填塞的解剖性梅毒囊状动脉瘤。梅毒性主动脉炎常伴有慢性主动脉瓣反流,与高血压引起的左心室同心性肥大形成叠加效应。
本文章由计算机程序翻译,如有差异,请以英文原文为准。

Acute dissection of a syphilitic saccular aneurysm of the ascending aorta and arch in a hypertensive patient - a rare phenomenon.

Acute dissection of a syphilitic saccular aneurysm of the ascending aorta and arch in a hypertensive patient - a rare phenomenon.

Acute dissection of a syphilitic saccular aneurysm of the ascending aorta and arch in a hypertensive patient - a rare phenomenon.

We report the case of a 77-year-old male who suffered from hypertension and died suddenly. At autopsy, he was found to have hypertensive cardiomegaly and a dissecting syphilitic saccular aneurysm of the ascending aorta and arch with tamponade. Chronic aortic regurgitation, which is often seen in syphilitic aortitis, produces an additive effect to the concentric left ventricular hypertrophy seen in hypertension.

求助全文
通过发布文献求助,成功后即可免费获取论文全文。 去求助
来源期刊
Autopsy and Case Reports
Autopsy and Case Reports Medicine-Internal Medicine
CiteScore
1.20
自引率
0.00%
发文量
60
审稿时长
9 weeks
×
引用
GB/T 7714-2015
复制
MLA
复制
APA
复制
导出至
BibTeX EndNote RefMan NoteFirst NoteExpress
×
提示
您的信息不完整,为了账户安全,请先补充。
现在去补充
×
提示
您因"违规操作"
具体请查看互助需知
我知道了
×
提示
确定
请完成安全验证×
copy
已复制链接
快去分享给好友吧!
我知道了
右上角分享
点击右上角分享
0
联系我们:info@booksci.cn Book学术提供免费学术资源搜索服务,方便国内外学者检索中英文文献。致力于提供最便捷和优质的服务体验。 Copyright © 2023 布克学术 All rights reserved.
京ICP备2023020795号-1
ghs 京公网安备 11010802042870号
Book学术文献互助
Book学术文献互助群
群 号:604180095
Book学术官方微信