一例成人心上全肺静脉连接异常的晚期病例

IF 1 Q4 CARDIAC & CARDIOVASCULAR SYSTEMS
Journal of Cardiovascular Echography Pub Date : 2023-10-01 Epub Date: 2024-02-26 DOI:10.4103/jcecho.jcecho_62_23
Avinash Prakash, Ishan Jhalani, Anshuman Darbari, Ajay Kumar
{"title":"一例成人心上全肺静脉连接异常的晚期病例","authors":"Avinash Prakash, Ishan Jhalani, Anshuman Darbari, Ajay Kumar","doi":"10.4103/jcecho.jcecho_62_23","DOIUrl":null,"url":null,"abstract":"<p><p>Total anomalous pulmonary venous connection (TAPVC) is a rare cyanotic congenital heart disease and their survival into adulthood is even rarer. Here, we present the case of a 26-year-old female who was incidentally diagnosed with a case of supracardiac TAPVC during her pregnancy. All four pulmonary veins were joining to form a common venous confluence which drained into a left-sided vertical vein which drained into the innominate vein.</p>","PeriodicalId":15191,"journal":{"name":"Journal of Cardiovascular Echography","volume":"33 4","pages":"202-205"},"PeriodicalIF":1.0000,"publicationDate":"2023-10-01","publicationTypes":"Journal Article","fieldsOfStudy":null,"isOpenAccess":false,"openAccessPdf":"https://www.ncbi.nlm.nih.gov/pmc/articles/PMC10936703/pdf/","citationCount":"0","resultStr":"{\"title\":\"A Case of Late Presentation of Supracardiac Total Anomalous Pulmonary Venous Connection in an Adult.\",\"authors\":\"Avinash Prakash, Ishan Jhalani, Anshuman Darbari, Ajay Kumar\",\"doi\":\"10.4103/jcecho.jcecho_62_23\",\"DOIUrl\":null,\"url\":null,\"abstract\":\"<p><p>Total anomalous pulmonary venous connection (TAPVC) is a rare cyanotic congenital heart disease and their survival into adulthood is even rarer. Here, we present the case of a 26-year-old female who was incidentally diagnosed with a case of supracardiac TAPVC during her pregnancy. All four pulmonary veins were joining to form a common venous confluence which drained into a left-sided vertical vein which drained into the innominate vein.</p>\",\"PeriodicalId\":15191,\"journal\":{\"name\":\"Journal of Cardiovascular Echography\",\"volume\":\"33 4\",\"pages\":\"202-205\"},\"PeriodicalIF\":1.0000,\"publicationDate\":\"2023-10-01\",\"publicationTypes\":\"Journal Article\",\"fieldsOfStudy\":null,\"isOpenAccess\":false,\"openAccessPdf\":\"https://www.ncbi.nlm.nih.gov/pmc/articles/PMC10936703/pdf/\",\"citationCount\":\"0\",\"resultStr\":null,\"platform\":\"Semanticscholar\",\"paperid\":null,\"PeriodicalName\":\"Journal of Cardiovascular Echography\",\"FirstCategoryId\":\"1085\",\"ListUrlMain\":\"https://doi.org/10.4103/jcecho.jcecho_62_23\",\"RegionNum\":0,\"RegionCategory\":null,\"ArticlePicture\":[],\"TitleCN\":null,\"AbstractTextCN\":null,\"PMCID\":null,\"EPubDate\":\"2024/2/26 0:00:00\",\"PubModel\":\"Epub\",\"JCR\":\"Q4\",\"JCRName\":\"CARDIAC & CARDIOVASCULAR SYSTEMS\",\"Score\":null,\"Total\":0}","platform":"Semanticscholar","paperid":null,"PeriodicalName":"Journal of Cardiovascular Echography","FirstCategoryId":"1085","ListUrlMain":"https://doi.org/10.4103/jcecho.jcecho_62_23","RegionNum":0,"RegionCategory":null,"ArticlePicture":[],"TitleCN":null,"AbstractTextCN":null,"PMCID":null,"EPubDate":"2024/2/26 0:00:00","PubModel":"Epub","JCR":"Q4","JCRName":"CARDIAC & CARDIOVASCULAR SYSTEMS","Score":null,"Total":0}
引用次数: 0

摘要

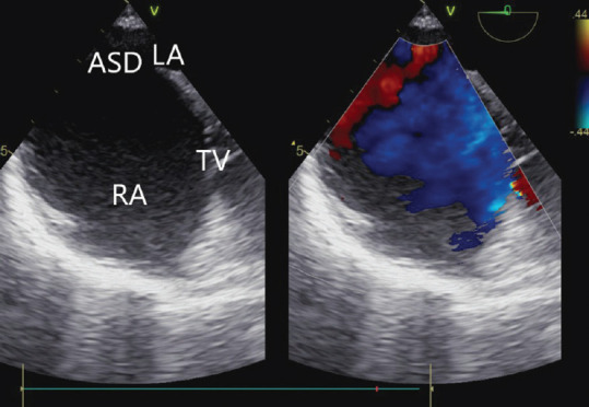
全肺静脉连接异常(TAPVC)是一种罕见的紫绀型先天性心脏病,成年后存活的患者更是少之又少。在此,我们介绍了一例 26 岁女性的病例,她在怀孕期间偶然被诊断出患有心上型 TAPVC。所有四条肺静脉汇合成一条共同的静脉汇流口,排入一条左侧垂直静脉,该静脉排入腹股沟静脉。
本文章由计算机程序翻译,如有差异,请以英文原文为准。

A Case of Late Presentation of Supracardiac Total Anomalous Pulmonary Venous Connection in an Adult.

A Case of Late Presentation of Supracardiac Total Anomalous Pulmonary Venous Connection in an Adult.

A Case of Late Presentation of Supracardiac Total Anomalous Pulmonary Venous Connection in an Adult.

A Case of Late Presentation of Supracardiac Total Anomalous Pulmonary Venous Connection in an Adult.

Total anomalous pulmonary venous connection (TAPVC) is a rare cyanotic congenital heart disease and their survival into adulthood is even rarer. Here, we present the case of a 26-year-old female who was incidentally diagnosed with a case of supracardiac TAPVC during her pregnancy. All four pulmonary veins were joining to form a common venous confluence which drained into a left-sided vertical vein which drained into the innominate vein.

求助全文
通过发布文献求助,成功后即可免费获取论文全文。 去求助
来源期刊
Journal of Cardiovascular Echography
Journal of Cardiovascular Echography CARDIAC & CARDIOVASCULAR SYSTEMS-
CiteScore
1.40
自引率
12.50%
发文量
27
×
引用
GB/T 7714-2015
复制
MLA
复制
APA
复制
导出至
BibTeX EndNote RefMan NoteFirst NoteExpress
×
提示
您的信息不完整,为了账户安全,请先补充。
现在去补充
×
提示
您因"违规操作"
具体请查看互助需知
我知道了
×
提示
确定
请完成安全验证×
copy
已复制链接
快去分享给好友吧!
我知道了
右上角分享
点击右上角分享
0
联系我们:info@booksci.cn Book学术提供免费学术资源搜索服务,方便国内外学者检索中英文文献。致力于提供最便捷和优质的服务体验。 Copyright © 2023 布克学术 All rights reserved.
京ICP备2023020795号-1
ghs 京公网安备 11010802042870号
Book学术文献互助
Book学术文献互助群
群 号:604180095
Book学术官方微信