肝泡棘球蚴病模拟转移性恶性肿瘤。

Q4 Medicine
Autopsy and Case Reports Pub Date : 2024-02-08 eCollection Date: 2024-01-01 DOI:10.4322/acr.2024.474
Suvradeep Mitra, Payal Charaya, Shrinath Gururaj Deshpande, Mayur Parkhi, Thakur Deen Yadav
{"title":"肝泡棘球蚴病模拟转移性恶性肿瘤。","authors":"Suvradeep Mitra, Payal Charaya, Shrinath Gururaj Deshpande, Mayur Parkhi, Thakur Deen Yadav","doi":"10.4322/acr.2024.474","DOIUrl":null,"url":null,"abstract":"<p><p>Echinococcosis is a parasitic disease caused by infection with tiny tapeworms of the genus <i>Echinococcus</i>. Echinococcosis is classified as either cystic echinococcosis or alveolar echinococcosis. The common form is a zoonosis from goats and sheep that tends to cause liver lesions. The larval stage of <i>Echinococcus multilocularis</i> causes alveolar echinococcosis/alveolar hydatid disease. It is a zoonosis with field mice and tundra voles as intermediate and wild carnivores like foxes and wolves as definitive hosts. This zoonosis is highly uncommon compared to the other form known as cystic echinococcosis but poses a great human threat if untreated. We report the case of a young man who was working in the Kashmir Valley, North India, and presented with jaundice and right upper quadrant abdominal pain. Computed tomography revealed a large solid-cystic intrahepatic lesion measuring 125x118x123 mm, suggestive of a malignant tumor with central necrosis. A liver biopsy showed necrosis with PAS-positive membranes morphologically consistent with echinococcosis. Alveolar echinococcosis can present as a solid-cystic mass in the liver and can simulate metastatic malignancy.</p>","PeriodicalId":53117,"journal":{"name":"Autopsy and Case Reports","volume":"14 ","pages":"e2024474"},"PeriodicalIF":0.0000,"publicationDate":"2024-02-08","publicationTypes":"Journal Article","fieldsOfStudy":null,"isOpenAccess":false,"openAccessPdf":"https://www.ncbi.nlm.nih.gov/pmc/articles/PMC10927241/pdf/","citationCount":"0","resultStr":"{\"title\":\"Hepatic alveolar echinococcosis simulating metastatic malignancy.\",\"authors\":\"Suvradeep Mitra, Payal Charaya, Shrinath Gururaj Deshpande, Mayur Parkhi, Thakur Deen Yadav\",\"doi\":\"10.4322/acr.2024.474\",\"DOIUrl\":null,\"url\":null,\"abstract\":\"<p><p>Echinococcosis is a parasitic disease caused by infection with tiny tapeworms of the genus <i>Echinococcus</i>. Echinococcosis is classified as either cystic echinococcosis or alveolar echinococcosis. The common form is a zoonosis from goats and sheep that tends to cause liver lesions. The larval stage of <i>Echinococcus multilocularis</i> causes alveolar echinococcosis/alveolar hydatid disease. It is a zoonosis with field mice and tundra voles as intermediate and wild carnivores like foxes and wolves as definitive hosts. This zoonosis is highly uncommon compared to the other form known as cystic echinococcosis but poses a great human threat if untreated. We report the case of a young man who was working in the Kashmir Valley, North India, and presented with jaundice and right upper quadrant abdominal pain. Computed tomography revealed a large solid-cystic intrahepatic lesion measuring 125x118x123 mm, suggestive of a malignant tumor with central necrosis. A liver biopsy showed necrosis with PAS-positive membranes morphologically consistent with echinococcosis. Alveolar echinococcosis can present as a solid-cystic mass in the liver and can simulate metastatic malignancy.</p>\",\"PeriodicalId\":53117,\"journal\":{\"name\":\"Autopsy and Case Reports\",\"volume\":\"14 \",\"pages\":\"e2024474\"},\"PeriodicalIF\":0.0000,\"publicationDate\":\"2024-02-08\",\"publicationTypes\":\"Journal Article\",\"fieldsOfStudy\":null,\"isOpenAccess\":false,\"openAccessPdf\":\"https://www.ncbi.nlm.nih.gov/pmc/articles/PMC10927241/pdf/\",\"citationCount\":\"0\",\"resultStr\":null,\"platform\":\"Semanticscholar\",\"paperid\":null,\"PeriodicalName\":\"Autopsy and Case Reports\",\"FirstCategoryId\":\"1085\",\"ListUrlMain\":\"https://doi.org/10.4322/acr.2024.474\",\"RegionNum\":0,\"RegionCategory\":null,\"ArticlePicture\":[],\"TitleCN\":null,\"AbstractTextCN\":null,\"PMCID\":null,\"EPubDate\":\"2024/1/1 0:00:00\",\"PubModel\":\"eCollection\",\"JCR\":\"Q4\",\"JCRName\":\"Medicine\",\"Score\":null,\"Total\":0}","platform":"Semanticscholar","paperid":null,"PeriodicalName":"Autopsy and Case Reports","FirstCategoryId":"1085","ListUrlMain":"https://doi.org/10.4322/acr.2024.474","RegionNum":0,"RegionCategory":null,"ArticlePicture":[],"TitleCN":null,"AbstractTextCN":null,"PMCID":null,"EPubDate":"2024/1/1 0:00:00","PubModel":"eCollection","JCR":"Q4","JCRName":"Medicine","Score":null,"Total":0}
引用次数: 0

摘要

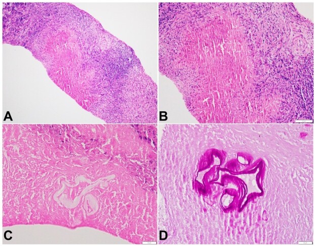
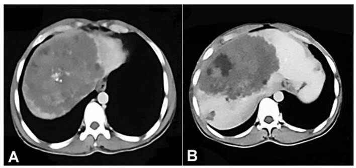
棘球蚴病是一种由棘球蚴属微小绦虫感染引起的寄生虫病。棘球蚴病分为囊性棘球蚴病和肺泡棘球蚴病两种。常见的是来自山羊和绵羊的人畜共患疾病,往往会引起肝脏病变。多形棘球蚴的幼虫阶段会导致肺泡棘球蚴病/肺泡水肿病。这是一种人畜共患病,田鼠和苔原田鼠是中间宿主,狐狸和狼等野生食肉动物是最终宿主。与另一种称为囊性棘球蚴病的疾病相比,这种人畜共患疾病并不常见,但如果不及时治疗,会对人类造成极大威胁。我们报告了一例在北印度克什米尔山谷工作的年轻男子的病例,他出现黄疸和右上腹疼痛。计算机断层扫描显示肝内有一个 125x118x123 毫米的巨大实性囊性病变,提示为恶性肿瘤,中央坏死。肝脏活检显示肝脏坏死并伴有PAS阳性膜,形态上与棘球蚴病一致。肺泡棘球蚴病可表现为肝脏中的实性囊性肿块,并可模拟转移性恶性肿瘤。
本文章由计算机程序翻译,如有差异,请以英文原文为准。

Hepatic alveolar echinococcosis simulating metastatic malignancy.

Hepatic alveolar echinococcosis simulating metastatic malignancy.

Hepatic alveolar echinococcosis simulating metastatic malignancy.

Echinococcosis is a parasitic disease caused by infection with tiny tapeworms of the genus Echinococcus. Echinococcosis is classified as either cystic echinococcosis or alveolar echinococcosis. The common form is a zoonosis from goats and sheep that tends to cause liver lesions. The larval stage of Echinococcus multilocularis causes alveolar echinococcosis/alveolar hydatid disease. It is a zoonosis with field mice and tundra voles as intermediate and wild carnivores like foxes and wolves as definitive hosts. This zoonosis is highly uncommon compared to the other form known as cystic echinococcosis but poses a great human threat if untreated. We report the case of a young man who was working in the Kashmir Valley, North India, and presented with jaundice and right upper quadrant abdominal pain. Computed tomography revealed a large solid-cystic intrahepatic lesion measuring 125x118x123 mm, suggestive of a malignant tumor with central necrosis. A liver biopsy showed necrosis with PAS-positive membranes morphologically consistent with echinococcosis. Alveolar echinococcosis can present as a solid-cystic mass in the liver and can simulate metastatic malignancy.

求助全文
通过发布文献求助,成功后即可免费获取论文全文。 去求助
来源期刊
Autopsy and Case Reports
Autopsy and Case Reports Medicine-Internal Medicine
CiteScore
1.20
自引率
0.00%
发文量
60
审稿时长
9 weeks
×
引用
GB/T 7714-2015
复制
MLA
复制
APA
复制
导出至
BibTeX EndNote RefMan NoteFirst NoteExpress
×
提示
您的信息不完整,为了账户安全,请先补充。
现在去补充
×
提示
您因"违规操作"
具体请查看互助需知
我知道了
×
提示
确定
请完成安全验证×
copy
已复制链接
快去分享给好友吧!
我知道了
右上角分享
点击右上角分享
0
联系我们:info@booksci.cn Book学术提供免费学术资源搜索服务,方便国内外学者检索中英文文献。致力于提供最便捷和优质的服务体验。 Copyright © 2023 布克学术 All rights reserved.
京ICP备2023020795号-1
ghs 京公网安备 11010802042870号
Book学术文献互助
Book学术文献互助群
群 号:604180095
Book学术官方微信