瘤周磁共振成像定量指纹识别技术提高了基于机器学习的结直肠癌总生存率预测。

Q3 Medicine
Exploration of targeted anti-tumor therapy Pub Date : 2024-01-01 Epub Date: 2024-02-19 DOI:10.37349/etat.2024.00205
Azadeh Tabari, Brian D'Amore, Janice Noh, Michael S Gee, Dania Daye
{"title":"瘤周磁共振成像定量指纹识别技术提高了基于机器学习的结直肠癌总生存率预测。","authors":"Azadeh Tabari, Brian D'Amore, Janice Noh, Michael S Gee, Dania Daye","doi":"10.37349/etat.2024.00205","DOIUrl":null,"url":null,"abstract":"<p><strong>Aim: </strong>To investigate magnetic resonance imaging (MRI)-based peritumoral texture features as prognostic indicators of survival in patients with colorectal liver metastasis (CRLM).</p><p><strong>Methods: </strong>From 2007-2015, forty-eight patients who underwent MRI within 3 months prior to initiating treatment for CRLM were identified. Clinicobiological prognostic variables were obtained from electronic medical records. Ninety-four metastatic hepatic lesions were identified on T1-weighted post-contrast images and volumetrically segmented. A total of 112 radiomic features (shape, first-order, texture) were derived from a 10 mm region surrounding each segmented tumor. A random forest model was applied, and performance was tested by receiver operating characteristic (ROC). Kaplan-Meier analysis was utilized to generate the survival curves.</p><p><strong>Results: </strong>Forty-eight patients (male:female = 23:25, age 55.3 years ± 18 years) were included in the study. The median lesion size was 25.73 mm (range 8.5-103.8 mm). Microsatellite instability was low in 40.4% (38/94) of tumors, with Ki-ras2 Kirsten rat sarcoma viral oncogene homolog (<i>KRAS</i>) mutation detected in 68 out of 94 (72%) tumors. The mean survival was 35 months ± 21 months, and local disease progression was observed in 35.5% of patients. Univariate regression analysis identified 42 texture features [8 first order, 5 gray level dependence matrix (GLDM), 5 gray level run time length matrix (GLRLM), 5 gray level size zone matrix (GLSZM), 2 neighboring gray tone difference matrix (NGTDM), and 17 gray level co-occurrence matrix (GLCM)] independently associated with metastatic disease progression (<i>P</i> < 0.03). The random forest model achieved an area under the curve (AUC) of 0.88.</p><p><strong>Conclusions: </strong>MRI-based peritumoral heterogeneity features may serve as predictive biomarkers for metastatic disease progression and patient survival in CRLM.</p>","PeriodicalId":73002,"journal":{"name":"Exploration of targeted anti-tumor therapy","volume":"5 1","pages":"74-84"},"PeriodicalIF":0.0000,"publicationDate":"2024-01-01","publicationTypes":"Journal Article","fieldsOfStudy":null,"isOpenAccess":false,"openAccessPdf":"https://www.ncbi.nlm.nih.gov/pmc/articles/PMC10918231/pdf/","citationCount":"0","resultStr":"{\"title\":\"Quantitative peritumoral magnetic resonance imaging fingerprinting improves machine learning-based prediction of overall survival in colorectal cancer.\",\"authors\":\"Azadeh Tabari, Brian D'Amore, Janice Noh, Michael S Gee, Dania Daye\",\"doi\":\"10.37349/etat.2024.00205\",\"DOIUrl\":null,\"url\":null,\"abstract\":\"<p><strong>Aim: </strong>To investigate magnetic resonance imaging (MRI)-based peritumoral texture features as prognostic indicators of survival in patients with colorectal liver metastasis (CRLM).</p><p><strong>Methods: </strong>From 2007-2015, forty-eight patients who underwent MRI within 3 months prior to initiating treatment for CRLM were identified. Clinicobiological prognostic variables were obtained from electronic medical records. Ninety-four metastatic hepatic lesions were identified on T1-weighted post-contrast images and volumetrically segmented. A total of 112 radiomic features (shape, first-order, texture) were derived from a 10 mm region surrounding each segmented tumor. A random forest model was applied, and performance was tested by receiver operating characteristic (ROC). Kaplan-Meier analysis was utilized to generate the survival curves.</p><p><strong>Results: </strong>Forty-eight patients (male:female = 23:25, age 55.3 years ± 18 years) were included in the study. The median lesion size was 25.73 mm (range 8.5-103.8 mm). Microsatellite instability was low in 40.4% (38/94) of tumors, with Ki-ras2 Kirsten rat sarcoma viral oncogene homolog (<i>KRAS</i>) mutation detected in 68 out of 94 (72%) tumors. The mean survival was 35 months ± 21 months, and local disease progression was observed in 35.5% of patients. Univariate regression analysis identified 42 texture features [8 first order, 5 gray level dependence matrix (GLDM), 5 gray level run time length matrix (GLRLM), 5 gray level size zone matrix (GLSZM), 2 neighboring gray tone difference matrix (NGTDM), and 17 gray level co-occurrence matrix (GLCM)] independently associated with metastatic disease progression (<i>P</i> < 0.03). The random forest model achieved an area under the curve (AUC) of 0.88.</p><p><strong>Conclusions: </strong>MRI-based peritumoral heterogeneity features may serve as predictive biomarkers for metastatic disease progression and patient survival in CRLM.</p>\",\"PeriodicalId\":73002,\"journal\":{\"name\":\"Exploration of targeted anti-tumor therapy\",\"volume\":\"5 1\",\"pages\":\"74-84\"},\"PeriodicalIF\":0.0000,\"publicationDate\":\"2024-01-01\",\"publicationTypes\":\"Journal Article\",\"fieldsOfStudy\":null,\"isOpenAccess\":false,\"openAccessPdf\":\"https://www.ncbi.nlm.nih.gov/pmc/articles/PMC10918231/pdf/\",\"citationCount\":\"0\",\"resultStr\":null,\"platform\":\"Semanticscholar\",\"paperid\":null,\"PeriodicalName\":\"Exploration of targeted anti-tumor therapy\",\"FirstCategoryId\":\"1085\",\"ListUrlMain\":\"https://doi.org/10.37349/etat.2024.00205\",\"RegionNum\":0,\"RegionCategory\":null,\"ArticlePicture\":[],\"TitleCN\":null,\"AbstractTextCN\":null,\"PMCID\":null,\"EPubDate\":\"2024/2/19 0:00:00\",\"PubModel\":\"Epub\",\"JCR\":\"Q3\",\"JCRName\":\"Medicine\",\"Score\":null,\"Total\":0}","platform":"Semanticscholar","paperid":null,"PeriodicalName":"Exploration of targeted anti-tumor therapy","FirstCategoryId":"1085","ListUrlMain":"https://doi.org/10.37349/etat.2024.00205","RegionNum":0,"RegionCategory":null,"ArticlePicture":[],"TitleCN":null,"AbstractTextCN":null,"PMCID":null,"EPubDate":"2024/2/19 0:00:00","PubModel":"Epub","JCR":"Q3","JCRName":"Medicine","Score":null,"Total":0}
引用次数: 0

摘要

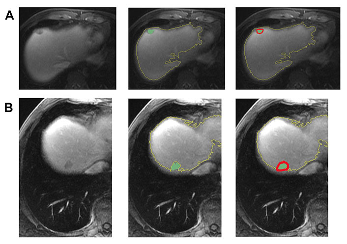
目的:研究基于磁共振成像(MRI)的瘤周纹理特征作为结直肠肝转移(CRLM)患者生存率的预后指标:2007-2015年,48名患者在开始治疗CRLM前3个月内接受了MRI检查。临床生物学预后变量来自电子病历。在T1加权对比后图像上确定了94个转移性肝病灶,并对其进行了体积分割。从每个分割后的肿瘤周围 10 毫米区域中得出了 112 个放射学特征(形状、一阶、纹理)。应用随机森林模型,并通过接收器操作特征(ROC)测试其性能。采用 Kaplan-Meier 分析法生成生存曲线:研究共纳入 48 名患者(男女比例 = 23:25,年龄 55.3 岁 ± 18 岁)。中位病灶大小为 25.73 毫米(范围为 8.5-103.8 毫米)。40.4%(38/94)的肿瘤微卫星不稳定,94个肿瘤中有68个(72%)检测到Ki-ras2 Kirsten鼠肉瘤病毒癌基因同源体(KRAS)突变。平均生存期为35个月(±21个月),35.5%的患者出现局部疾病进展。单变量回归分析发现,42个纹理特征[8个一阶、5个灰度级依赖矩阵(GLDM)、5个灰度级运行时间长度矩阵(GLRLM)、5个灰度级大小区矩阵(GLSZM)、2个相邻灰度级差异矩阵(NGTDM)和17个灰度级共现矩阵(GLCM)]与转移性疾病进展独立相关(P < 0.03)。随机森林模型的曲线下面积(AUC)为 0.88:基于 MRI 的瘤周异质性特征可作为 CRLM 转移性疾病进展和患者生存的预测性生物标志物。
本文章由计算机程序翻译,如有差异,请以英文原文为准。

Quantitative peritumoral magnetic resonance imaging fingerprinting improves machine learning-based prediction of overall survival in colorectal cancer.

Quantitative peritumoral magnetic resonance imaging fingerprinting improves machine learning-based prediction of overall survival in colorectal cancer.

Quantitative peritumoral magnetic resonance imaging fingerprinting improves machine learning-based prediction of overall survival in colorectal cancer.

Quantitative peritumoral magnetic resonance imaging fingerprinting improves machine learning-based prediction of overall survival in colorectal cancer.

Aim: To investigate magnetic resonance imaging (MRI)-based peritumoral texture features as prognostic indicators of survival in patients with colorectal liver metastasis (CRLM).

Methods: From 2007-2015, forty-eight patients who underwent MRI within 3 months prior to initiating treatment for CRLM were identified. Clinicobiological prognostic variables were obtained from electronic medical records. Ninety-four metastatic hepatic lesions were identified on T1-weighted post-contrast images and volumetrically segmented. A total of 112 radiomic features (shape, first-order, texture) were derived from a 10 mm region surrounding each segmented tumor. A random forest model was applied, and performance was tested by receiver operating characteristic (ROC). Kaplan-Meier analysis was utilized to generate the survival curves.

Results: Forty-eight patients (male:female = 23:25, age 55.3 years ± 18 years) were included in the study. The median lesion size was 25.73 mm (range 8.5-103.8 mm). Microsatellite instability was low in 40.4% (38/94) of tumors, with Ki-ras2 Kirsten rat sarcoma viral oncogene homolog (KRAS) mutation detected in 68 out of 94 (72%) tumors. The mean survival was 35 months ± 21 months, and local disease progression was observed in 35.5% of patients. Univariate regression analysis identified 42 texture features [8 first order, 5 gray level dependence matrix (GLDM), 5 gray level run time length matrix (GLRLM), 5 gray level size zone matrix (GLSZM), 2 neighboring gray tone difference matrix (NGTDM), and 17 gray level co-occurrence matrix (GLCM)] independently associated with metastatic disease progression (P < 0.03). The random forest model achieved an area under the curve (AUC) of 0.88.

Conclusions: MRI-based peritumoral heterogeneity features may serve as predictive biomarkers for metastatic disease progression and patient survival in CRLM.

求助全文
通过发布文献求助,成功后即可免费获取论文全文。 去求助
来源期刊
CiteScore
2.80
自引率
0.00%
发文量
0
审稿时长
13 weeks
×
引用
GB/T 7714-2015
复制
MLA
复制
APA
复制
导出至
BibTeX EndNote RefMan NoteFirst NoteExpress
×
提示
您的信息不完整,为了账户安全,请先补充。
现在去补充
×
提示
您因"违规操作"
具体请查看互助需知
我知道了
×
提示
确定
请完成安全验证×
copy
已复制链接
快去分享给好友吧!
我知道了
右上角分享
点击右上角分享
0
联系我们:info@booksci.cn Book学术提供免费学术资源搜索服务,方便国内外学者检索中英文文献。致力于提供最便捷和优质的服务体验。 Copyright © 2023 布克学术 All rights reserved.
京ICP备2023020795号-1
ghs 京公网安备 11010802042870号
Book学术文献互助
Book学术文献互助群
群 号:604180095
Book学术官方微信